
Указанные изменения, безусловно, являются отягощающими факторами, на фоне которых даже технологически грамотно выполненная операция по поводу катаракты может дать большую частоту операционных и послеоперационных осложнений.
Полнота оценки происходящих изменений в структурах глаза при осложненной катаракте складывается из суммарной оценки данных биомикроскопии с последующими результатами функциональных исследований, а также исследований локального и системного иммунитета.
Проведение полостных глазных операций предусматривает отсутствие патологических изменений придатков глаза, что позволяет сконцентрировать внимание на биомикроскопических исследованиях структур глазного яблока.
Исследование роговицы
Обширные интенсивные помутнения роговицы, затрагивающие ее центральную зону, создают ограничение или исключают визуальный контроль за положением ультразвуковой иглы факоэмульсификатора и хирургических инструментов. Подобные изменения могут иметь место при травматических катарактах вследствие обширных проникающих ранений глаза. Хирургу часто приходится решать вопрос о комбинированном хирургическом вмешательстве, включающем не только удаление катаракты и имплантацию ИОЛ, но и трансплантацию роговицы.
Лентовидная дистрофия роговицы, нередко закрывающая всю центральную зону, может быть диагностирована при увеальных катарактах, чаще при синдромных увеитах и свидетельствует о тяжести патологического процесса.
Точечные, нежные, облаковидные помутнения роговицы могут быть следствием перенесенных травм и воспалений глаза. При наличии прочих оптимальных условий локальные помутнения роговицы не препятствуют выбору различных технологий хирургии катаракты. При этом хирург ориентируется на свой опыт и качество используемой аппаратуры и вископротекторов.
Более частой находкой при осложненных катарактах является капельная дистрофия роговицы «cornea guttatae», «arcus senilis». Данные изменения являются нередкими при увеальных катарактах, глаукоме, синдроме Фукса. Мануальные технологии хирургии осложненной катаракты с качественными вископротекторами, по-видимому, будут более предпочтительны в подобных ситуациях.
При диабетических катарактах в ряде случаев обнаруживается расширенная капиллярная сеть у лимба. При этом роговица сохраняет свою прозрачность без каких-либо биомикроскопических признаков дистрофии. Данную симптоматику следует учесть при выборе локализации операционного доступа. Роговичный или роговично-склеральный операционный разрез исключит массивный гемостаз кровоточащих сосудов при формировании тоннеля и, как следствие, последующих геморрагических, воспалительных осложнений и гипертензии.
После перенесенных антиглаукоматозных операций биомикроскопически может быть выявлена истонченная, проминирующая или кистозно измененная фильтрационная подушка. Подобные изменения следует учесть в локализации операционного доступа, в характере и объеме дополнительных хирургических вмешательств.
Наличие старых преципитатов может иметь место при увеальных катарактах при отсутствии других признаков активного увеита. Точечные белесые преципитаты характерны и для катаракт при синдроме Фукса, но сами по себе не являются противопоказанием к экстракции катаракты и интраокулярной коррекции. Мелкоточечная пигментная запыленность эндотелия может быть косвенным симптомом перезревания катаракты, дистрофических изменений волокон цинновой связки и цилиарного тела. Этот симптом должен оцениваться в совокупности с данными биомикроскопии хрусталика, результатами ультразвуковой биомикроскопии, гидро- и гемодинамики глаза при выборе метода экстракции катаракты.
Роговица сохраняет свою прозрачность в большинстве случаев при контузионных катарактах. Однако различной локализации роговичные и роговично-склеральные рубцы сопутствуют травматическим катарактам после проникающих ранений более чем в 70% случаев. Наиболее частая локализация рубцов отмечена в нижне-внутреннем и нижне-наружном сегментах.
Нередко наблюдается васкуляризация рубцов, спаяние их с радужкой, реже — с капсулой хрусталика (пленчатые, полурассосавшиеся травматические катаракты). Передние и задние синехии являются явными признаками тяжести перенесенной травмы и последующего за травмой воспаления. Обширные роговично-склеральные рубцы настораживают в оценке тяжести исходного состояния глаза, нередко требуют не только неординарной техники хирургического вмешательства, но и необходимости коррекции больших степеней неправильного астигматизма.
В большинстве случаев глубина передней камеры в норме составляет 3,0-3,6 мм. Уменьшение, неравномерность могут быть симптомами набухания катаракты или дислокации хрусталика.
Врачи отмечают, что биомикроскопические особенности осложненных катаракт играют ключевую роль в диагностике и выборе метода лечения. При исследовании таких катаракт специалисты выявляют изменения в структуре хрусталика, включая помутнение и неравномерность его поверхности. Эти изменения могут быть связаны с различными факторами, такими как возрастные изменения, травмы или сопутствующие заболевания. Врачи подчеркивают, что тщательное изучение биомикроскопических характеристик позволяет не только оценить степень зрелости катаракты, но и выявить возможные осложнения, такие как воспаление или отек роговицы. Это, в свою очередь, помогает в планировании хирургического вмешательства и повышает его эффективность. Таким образом, внимание к биомикроскопическим особенностям осложненных катаракт является важным аспектом в офтальмологической практике.

Исследование радужки
Бномикроскопия радужки является ценным источником информации в решении вопросов подготовки к операции, использования дополнительных технологических приемов для достижения мидриаза, выбора метода удаления катаракты, а в ряде случаев — показаний к интраокулярой коррекции.
Дистрофия радужки сопутствует сенильным катарактам и является патогномоничным признаком, присущим практически всем осложненным катарактам. Инволюционные изменения радужки по степени выраженности наиболее полно описаны Сутягиной О.В..
- При I степени дистрофия радужки характеризуется появлением 1-2 очажков депигментации в зрачковой пигментной бахромке и едва заметным диффузным или очаговым истончением фибрилл стромы малого кольца в перипупиллярной зоне.
- При II степени дистрофии радужки определяются умеренно выраженная очаговая депигментация нижней половины зрачковой каймы, диффузная дистрофия стромы в перипупиллярной зоне с наличием дефектов в пигментном слое. Выявляются отдельные очажки дистрофии стромы радужной оболочки в прикорневой зоне. Характерна слабовыраженная пигментация радужки.
- Дистрофии III степени характеризуется полным разрушением пигментной каймы радужки. Отмечается значительная экзогенная пигментация радужки, появление псевдоэксфолиаций. В области большого кольца выявляется очаговая или диффузная атрофия стромы. В участках разрежения стромы легко доступен осмотру пигментный слой.
- Для IV степени характерны полное разрушение пигментной зрачковой каймы, атрофия стромы обоих поясов, большие дефекты в пигментном листке, резко выраженная экзогенная пигментация радужки, меланоз.
Наиболее резко сегментарная или диффузная дистрофия радужки проявляется при глаукоме, диабете, увеальной катаракте. Как правило, дистрофические изменения коррелируют с нарушением диафрагмальной функции радужки.
Оценка диафрагмальной функции радужки производится освещением щелевой лампы, изменяя ширину светового потока под углом 30-40°.
- При 0 степени радужка не реагирует на свет и диаметр зрачка не меняется.
- При I степени диаметр зрачка меняется на 1 мм, что свидетельствует о снижении диафрагмальной функции радужки.
- При II степени диаметр зрачка изменяется на 2-3 мм, что отражает сохранность нормальной диафрагмальной функции радужки.
- Большая амплитуда — III степень — не является нормой.
Подобные нарушения диафрагмальной функции радужки типичны для синдрома Фукса, могут быть выявлены при биомикроскопии травматических контузионных катаракт и во всех случаях позволяют трактовать помутнение хрусталика как осложненную катаракту. Наличие гетерохромии и «ватообразной» дистрофии радужки, а также мелких серых преципитатов подтверждает диагноз синдрома Фукса в подобных ситуациях.
Диафрагмальная функция радужки нередко снижена у больных глаукомой, длительно применявших миотики или перенесших антиглаукоматозные операции. При этом отмечено, что реакция зрачка на свет снижается при прогрессировании глаукомы и практически отсутствует при III стадии, особенно у больных после проникающих операций (более чем 86%). В то же время после антиглаукоматозных операций неперфорирующего типа отмечена сохранность диафрагмальной функции.
Дистрофические изменения радужки различной степени выраженности присущи увеальным и диабетическим катарактам. Дистрофия радужки может сочетаться с задними синехиями, формированием поствоспалительных зрачковых мембран, секклюзией, окклюзией зрачка, рубеозом радужки.
Ригидность радужки, различная степень иридопатии, независимо от возраста пациента и степени зрелости катаракты, специфичны для катаракт при пигментном ретините. Отмечаются деструкция и депигментация зрачковой каймы, сглаженность рисунка крипт, очаговая атрофия стромы и пигментного листка радужки. В ряде случаев наблюдаются эксфолиации. К характерной особенности осложненной катаракты при пигментном ретините следует отнести также слабость волокон цинновой связки, частота и выраженность которой не коррелирует со степенью зрелости катаракты и отмечается до 10% случаев..
Изменения радужки при травматических катарактах отличаются чрезвычайным полиморфизмом, как и состояние травмированного хрусталика. Повреждения радужки сопутствуют травматической катаракте после проникающей травмы более чем в 80% случаев. Посттравматические изменения включают как различные дефекты (колобомы, иридодиализ, мидриаз, множественные надрывы, разрывы радужки), так и различную степень атрофии, а также нарушение диафрагмальной функции. Передние и задние синехии являются неотъемлемой частью наблюдаемых при биомикроскопии изменений переднего сегмента глаза после перенесенной травмы.
Следует отметить, что специфические нарушения при катарактах, сопутствующие высокой близорукости, не всегда удается выявить. Как правило, изменения радужки носят инволюционный характер и соответствуют возрастным.
Особо следует представить изменения радужки и других структур глаза при псевдоэксфолиативном синдроме, специфическими симптомами которого при биомикроскопии являются белесые точечные, волокнистые или ватообразные наложения по зрачковому краю радужки, на капсуле хрусталика, эндотелии роговицы.
На основании клинико-функциональных, морфологических, гистохимических исследований выявлена прогрессирующая дистрофия структур переднего сегмента глаза, включая радужку, цилиарное тело, трабекулярную ткань, хрусталик. Дистрофические изменения проявляются повышенной проницаемостью, гиалинозом сосудов радужки и цилиарного тела, сужением и облитерацией их просвета, нарушением продукции и резорбции внутриглазной влаги, нарушениями связочного аппарата и помутнением хрусталика.
На стадии выраженного проявления патологии Кроль Д.С. (1970) отмечает 6 типичных симптомов псевдоэксфолиативного синдрома:
- отложение псевдоэксфолиаций на всех элементах переднего сегмента глаза;
- дистрофические изменения радужки и цилиарного тела, превосходящие возрастные;
- уменьшение прочности цинновой связки с возможностью смещения хрусталика;
- помутнение хрусталика;
- повышение пигментации угла передней камеры;
- нарушение гидродинамики со снижением показателей С и F.
Псевдоэксфолиативный синдром может наблюдаться как при сенильных катарактах, так и при осложненных, особенно при катарактах на глаукомных глазах. Ряд авторов считает наличие псевдоэксфолиативного синдрома при глаукоме маркером злокачественного течения болезни и меньшей результативности антиглаукоматозных операций. Достоверно чаще при псевдоэксфолиативном синдроме отмечается большая частота таких осложнений, как разрыв задней капсулы, выпадение стекловидного тела при хирургическом лечении катаракты.
В целях лучшей ориентации в факторах риска осложнений и хирургической тактике экстракции катаракты на глаукомных глазах Брошевская Е.Б. (1997) выделяет 3 степени выраженности дистрофических изменений в радужке, капсуле и связочном аппарате хрусталика:
- I степень характеризует легкую атрофию радужки, иногда ограниченную корнем, неравномерной зрачковой каймой, нежными эксфолиативными наложениями на передней капсуле хрусталика, по зрачковому краю, на эндотелии роговицы. Медикаментозный мидриаз ограничен (скополаминовая проба) до 5,0 мм;
- II степень: умеренная атрофия стромы радужки, резкая атрофия пигментной зрачковой каймы с выраженной дисперсией пигмента на поверхности радужки и тканях угла передней камеры. Выраженные псевдоэксфолиативные наложения. Зрачок медикаментозно расширяется до 3,5-4,0 мм;
- III степень: резкая атрофия стромы радужки, пигментная зрачковая кайма в виде целлофановой пленки, зрачок не расширяется, факодонез.
Определение степени выраженности эксфолиативного синдрома чрезвычайно важно не только в констатации степени дистрофии тканей глаза, но и для ориентации в тактике хирургического вмешательства, в прогнозе осложнений, в обеспечении своевременных мер их профилактики.
Достоверно отмечена большая частота сублюксации хрусталика в зависимости от выраженности симптоматики псевдоэксфолиативного синдрома. Биомикроскопически и методом ультразвуковой биомикроскопии слабость, лизис волокон цинновой связки и дислокация хрусталика имели место в 36% случаев при III стадии эксфолиативного синдрома.
Независимо от этиологии процесса доказана высокая степень соответствия между выраженностью иридопатии, нарушением диафрагмальной функции и микроциркуляции радужки. Отсутствие реакции зрачка на свет на фоне выраженной дистрофии у больных с диабетической катарактой, катарактой после перенесенного увеита, травмы и на глаукомных глазах может быть предвестником геморрагических осложнений в ходе операции и в послеоперационном периоде. В этих ситуациях не всегда удается добиться должного медикаментозного мидриаза перед операцией, что нередко требует не только инстилляций, но и инъекций мидриатиков. При стойком миозе необходимо продумать характер и объем манипуляций для достижения мидриаза в ходе хирургического вмешательства.
Наличие рубеоза радужки на фоне выраженной иридопатии нередко отражает вовлечение и патологический процесс сетчатки и зрительного нерва (при диабете, после перенесенного увеита) и может быть предвестником не только осложнений в хирургии, но и низких функций после хирургического вмешательства. Данные обстоятельства должны быть учтены как в медикаментозной терапии в предоперационном периоде, так и в определении целесообразности интраокулярной коррекции афакии.
Степень риска осложнений хирургического вмешательства, неблагоприятный прогноз функций оправдывает тактику отказа от интраокулярной коррекции при операциях в подобных ситуациях на единственных глазах.
Биомикроскопия хрусталика
Наиболее ответственный этап исследования, при котором хирург решает вопрос о методе удаления осложненной катаракты, прогнозирует возможные технические трудности и осложнения, необходимость включения дополнительных манипуляций в целях предупреждения осложнений и создания оптимальных условий выполнения операции, — это биомикроскопия хрусталика. Исследование проводится в условиях медикаментозного мидриаза, что позволяет наиболее полно оценить:
- величину и плотность ядра;
- степень дистрофических изменений капсулы;
- сохранность положения хрусталика, наличие явного или скрытого подвывиха хрусталика из-за дистрофических изменений, лизиса волокон цинновой связки.
К сожалению, еще сохранилась практика рекомендации хирургического лечения катаракты при констатации ее зрелости. Поэтому на момент обращения пациента и решения вопроса о хирургии осложненной катаракты, помутнения хрусталика могут быть различной интенсивности и локализации, утрачивая специфику начальных изменений, присущих той или иной этиологии. Не всегда представляется возможным при биомикроскопии хрусталика выявить характерные черты для той или иной этиологии катаракты. Нередко и сам этиологический фактор провоцирует и ускоряет сенильные изменения хрусталика. Так, при дооперационном исследовании более тысячи больных с осложненными катарактами зрелые и перезрелые составили соответственно 29,9 и 9,6 %.
При биомикроскопии перезрелых катаракт слоистость хрусталика плохо различима. Дистрофический процесс охватывает капсулу, кортикальные, ядерные слои и волокна цинновой связки. Неоднородность структуры, помутнение и истончение передней капсулы, практическое исчезновение субкапсулярного слоя отражают глубину дистрофических изменений и, как следствие этого, нарушение прочностных характеристик капсулы, что может затруднить выполнение переднего капсулорексиса. Перезревание катаракты в стадии дегидратации биомикроскопически проявляется локальным истончением передней капсулы с участками ее уплотнения и складчатости.
Дистрофические изменения передней капсулы при перезревании катаракты сочетаются с аналогичными изменениями задней капсулы и также сопровождаются нарушением ее прочностных характеристик. Не случайно потому отмечается большая частота разрыва задней капсулы и выпадение стекловидного тела именно при удалении перезрелых катаракт. Требуется чрезвычайная деликатность манипуляций при выполнении каждого узлового этапа операции в подобных ситуациях.
Деструкция капсулы хрустлика при перезревании катаракты сопровождается и деструкцией волокон цинновой связки. В условиях ригидности и и нарушения диафрагмальной функции радужки клинические симптомы сублюксации хрусталика (неравномерность глубины передней камеры, иридофакодонез) не всегда выражены. Однако тщательная биомикроскопия и использование ультразвуковой биомикроскопии позволяют с большой достоверностью уточнить диагноз и провести соответствующие меры операционных осложнений. Особого внимания заслуживают не только пациенты с перезрелыми катарактами, но и пациенты с псевдоэксфолиативным синдромом.
Ультразвуковая биомикроскопия позволяет оценить протяженность лизиса волокон цинновой связки, и в ряде случаев — при ригидной радужке — является ключевым диагностическим методом выявления несостоятельности связочного аппарата хрусталика. уточненный диагноз позволит правильно ориентироваться в выборе метода удаления осложненной катаракты, адекватной модели и способа фиксации ИОЛ.
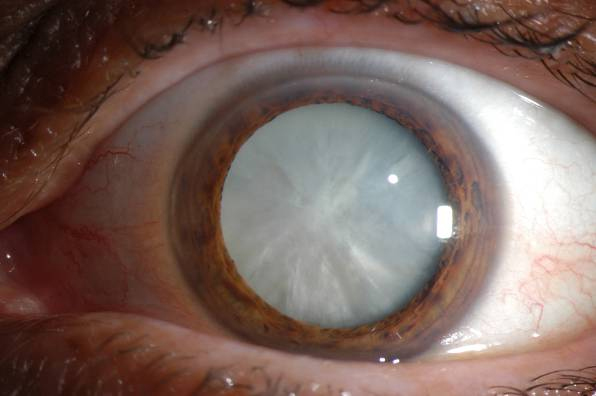
У большинства больных (до 70%) к моменту хирургического вмешательства осложненные катаракты представлены начальными и незрелыми, и слоистость хрусталика при биомикроскопии хорошо различима. Чрезвычайно редко имеют место чистое ядерные, кортикальные или субкапсулярные катаракты, помутнения хрусталика могут локализоваться преимущественно в центральных отделах, но хорошо просматриваются помутнения и под задней капсулой, которые могут иметь губчатый, пористый вид с характерной для осложненных катаракт полихромной переливчатостью или кристаллическим блеском.
В ряде случаев помутнения под задней капсулой диффузные, различной интенсивности. В хирургическом аспекте важно оценивать величину и плотность ядра катарактального хрусталика. Аналогично сенильным катарактам величина и плотность ядра при осложненной катаракте коррелирует с длительностью катарактального процесса и возрастом больного. Однако при контузионных катарактах плотность ядра незначительна. Именно по плотности и размерам ядра хрусталика производят расчеты суммарной ультразвуковой энергии при факоэмульсификации, отдают предпочтение той или иной модификации техники факоэмульсификации, выбирают один из вариантов мануальный тоннельной техники.
Общепринятой является колориметрическая характеристика плотности ядра хрусталика введённая в практику Emery, Little (1978 год) и адаптированная к выбору различных модификаций факоэмульсификации Buratto L. (1997 год).
- I степень — прозрачное или слегка сероватое ядро
- II степень — серое или серовато-желтое ядро
- III степень желтоватый цвет (ядерная катаракта),
- IV степень янтарный цвет, большое ядро,
- V степень бурое ядро.
Преимущественно ядерные катаракты с окраской ядра от желтого до бурого чаще встречаются при близорукости. Типичные чашеобразные катаракты диагностируются при сахарном диабете. При пигментном ретините, как правило, наблюдаются локальные помутнения под задней капсулой различной степени интенсивности, что приводит к резкому снижению зрения и требует решения вопроса о ранней хирургии осложненной катаракты. Поэтому зрелые катаракты при пигментном ретините диагностируются редко.
В каждом третьем случае при глаукоме выявляется зрелая или перезрелая катаракта. При начальных и незрелых формах помутнения могут преимущественно локализоваться под задней капсулой в виде диффузных белесых наложений.
Биомикроскопия хрусталика при увеальных катарактах может быть затруднена из-за плоскостных задних синехий, формирования зрачковой пленки. Тем не менее, даже при длительном существовании процесс созревания проходит медленно, и характерны начальные и незрелые формы с типичной локализацией под задней капсулой — чашеобразные катаракты. Позднее к ним присоединяются помутнения в центральных отделах с окраской ядра от серого до интенсивно желтого. Зрелые и перезрелые катаракты встречаются реже, чем при глаукоме (4,1%). При перезревании катаракты возможна сублюксация хрусталика.
При синдроме Фукса помутнения хрусталика в начальных стадиях локализуются под задней капсулой, имея типичную картину осложненной чашеобразной катаракты. Помутнения быстро прогрессируют, и к моменту операции наиболее типичны молочно-белые интенсивные помутнения с плохо различимой слоистостью и тонкой передней капсулой хрусталика“молочная” катаракта.
Наибольшим полиморфизмом отличаются травматические катаракты, что зависит от сроков и характера перенесенной травмы, степени абсорбции хрусталикового вещества, наличия и интенсивности прошедшего воспаления.
С позиций выбора хирургической тактики предложено разделение травматических катаракт на 2 категории. В I категорию объединены травматические катаракты с полной сохранностью формы и объема хрусталика, во II травматические катаракты с различной степенью абсорбции хрусталикового вещества.
Катаракты I категории в большинстве случаев являются исходом тупой травмы глазного яблока. Среди них наиболее часто встречаются чашеобразные помутнения, располагающиеся под задней капсулой, или помутнения, локализующиеся преимущественно в ядре и кортикальных слоях хрусталика. При полных катарактах (диффузные помутнения хрусталика) биомикроскопически просматриваются равномерные помутнения всего хрусталика, слои его в большинстве случаев не различимы (рис. 1-16). О тяжести перенесенной травмы можно судить по частоте эктопии хрусталика (10,2%), наличию дефектов радужки (29,4%) — множественные разрывы, мидриаз, появление гетерохромных катаракт Фукса. Катарактам I категории не свойственно наличие большого плотного ядра, но выбор энергетических методов экстракции может быть лимитирован наличием глубоких анатомических и функциональных изменений окружающих хрусталик структур глаза.
Травматические катаракты, отнесенные ко II категории, в большинстве случаев являются исходом проникающих травм глазного яблока. Многообразие клинических форм травматических катаракт в данной группе пациентов определяется как полнотой абсорбции хрусталикового вещества, так и участием в их формировании процессов воспаления, организации, регенерации. Крайне редко отмечается равномерное сморщивание хрусталика и уменьшение его размеров. При биомикроскопии в этих случаях передняя капсула хрусталика выглядит уплощенной, складчатой, а помутнения гомогенны, иногда с кристаллическим блеском.
Чаще приходится встречаться с такими видами полурассосавшихся катаракт, когда помутнения хрусталика неравномерны, как и его абсорбция. В центральной части хрусталик истончен, а по периферии сохраняются прозрачная структура и достаточный объем. В ряде случаев полурассосавшиеся катаракты занимают среднее положение, приближаясь по своему клиническому виду к пленчатым. При биомикроскопии в центре катаракт просматривается неравномерной плотности шварта, окруженная кольцом плотной гомогенной ткани. Ближе к экватору сохраняются прозрачные хрусталиковые массы.
Чрезвычайно важно провести биомикроскопическое исследование полурассосавшихся катаракт при максимально возможном медикаментозном мидриазе с оценкой сохранности экваториальной зоны передней и задней капсул хрусталика, а также наличия и протяженности нарушения волокон цинновой связки. Результаты исследования позволят выбрать адекватную модель ИОЛ и способ ее фиксации. Возможность разделения спаянных листков капсулы хрусталика с помощью шпателя и вискоэластика может обеспечить имплантацию заднекамерной ИОЛ с внутрикапсулы с фиксацией. Наличие лизиса волокон цинновой связки ограниченной протяженности определит показания к использованию внутрикапсульного кольца для стабилизации экваториальной зоны капсулы сумки и выполнению операции одним из методов малых разрезов.
Пленчатые травматические катаракты с почти полной абсорбцией хрусталикового вещества диагностируются реже полурассосавшихся. Клинически они имеют вид соединительнотканных шварт, сращенных с радужкой и роговицей. Нередко в такой «шварте» имеются новообразовавшиеся сосуды, идущие от роговичного рубца или из радужки. Эти катаракты несут в себе отпечаток взаимодействия деструктивных, воспалительных и регенеративных процессов, обусловленных травмой. У молодых пациентов катаракты в ряде случаев представлены нежной пленкой неравномерной плотности с напластованием клеток-шаров Адамюка-Эльшнига, явившихся следствием избыточной регенерации капсулярного эпителия. В редких случаях после сквозных ранений хрусталика с нарушением не только передней, но и задней его капсулы в формировании пленчатой катаракты могут принять участие волокна стекловидного тела. В свете щелевой лампы при этом просматривается округлой или овальной формы отверстие, затампонированное плотным и имеющим белесоватый вид стекловидным телом. Шульпина Н.Б. (1974) относит такие катаракты к ложным вторичным.
Посттравматические изменения глазного яблока, как правило, сопутствуют катарактам II категории. Разнообразие помутнений хрусталика при катарактах II категории требует индивидуального решения вопроса о характере хирургического вмешательства, применении методов и отдельных этапов операции с учетом плотности катаракты, сращений хрусталика с окружающими структурами, характера и обширности повреждения других структур глазного яблока. Лечение этого контингента больных нередко должно предусматривать не только удаление катаракты и имплантацию ИОЛ, но и комплекс восстановительных операции: пластику радужки, синехиотомию, швартотомию, витрэктомию, в ряде случаев — трансплантацию роговицы. Целью этих операций является создание оптимальных условий для имплантации ИОЛ (в ряде случаев с выбором нестандартном модели и способа ее фиксации), для обеспечения правильного положения ИОЛ в глазу, а также восстановления прозрачности оптических сред травмированного хрусталика.
Биомикроскопические особенности осложненных катаракт привлекают внимание специалистов и пациентов, так как они могут существенно влиять на выбор метода лечения. Многие врачи отмечают, что при осложненных формах катаракты наблюдаются изменения в структуре хрусталика, такие как помутнение, изменение его формы и плотности. Эти факторы могут затруднять хирургическое вмешательство и увеличивать риск послеоперационных осложнений.
Пациенты, сталкивающиеся с подобными проблемами, часто делятся своими переживаниями о снижении качества зрения и влиянии на повседневную жизнь. Некоторые отмечают, что своевременная диагностика и индивидуальный подход к лечению помогают избежать серьезных последствий. Важно, чтобы врачи уделяли внимание не только клиническим проявлениям, но и биомикроскопическим характеристикам, что позволяет более точно прогнозировать результаты хирургии и улучшать качество жизни пациентов.

Биомикроскопия стекловидного тела
При осложненных катарактах биомпкроскопия стекловидного тела возможна при отсутствии интенсивных помутнений хрусталика и достижении должного мидриаза. В большинстве случаев, независимо от этиологии процесса, обнаруживаются возрастные изменения в форме нитчатой деструкции с уплотнением волокон, повышенной их подвижностью, отложением пигмента. Нередко, особенно при близорукости, можно просмотреть образование темных, оптически пустых пространств на фоне компактно склеенных волокон. Боковая или задняя отслойка стекловидного тела является неотъемлемым признаком при катарактах на фоне высокой близорукости. Различной интенсивности нитчатая деструкция стекловидного тела имеет место и при катарактах на фоне пигментного ретинита.
Деструктивные изменения по типу “золотого” или “снежного дождя” (synchisrs scintillans, scintillatio albescens) чаще обнаруживаются при катарактах на глаукомных глазах. Грубые структурные изменения стекловидного тела с различной степенью выраженности нитчатой, зернистой деструкции, формированием оптических пустот, локальной или тотальной отслойкой стекловидного тела можно обнаружить практически во всех случаях, где удается провести биомикроскопию у пациентов с травматическими катарактами.
Наиболее полная информация о характере и интенсивности изменений стекловидного тела может быть получена после ультразвукового сканирования. Она имеет существенное значение в понимании генерализации патологического процесса, затронутости сетчатки, зрительного нерва, а при увеальных и диабетических катарактах дает возможность правильной ориентации в выборе метода и объема операции, прогнозе функций.
Исследование глазного дна
Офтальмоскопия нередко затруднена из-за интенсивности помутнений хрусталика. Однако представляет несомненный интерес тщательная офтальмоскопия парного глаза, особенно при диабете, увеите, миопии, пигментном ретините.
Сопоставление офтальмоскопической картины парного глаза с результатами электрофизиологического исследования сетчатки и зрительного нерва позволяет лучше ориентироваться в выборе тактики хирургического лечения, включая метод экстракции катаракты, объем вмешательства и прогноз функций.

Вопрос-ответ
Какая катаракта считается осложненной?
Катаракту называют осложненной, когда она развивается на фоне какой-то болезни. Время появления и скорость прогрессирования такой катаракты зависит не от возраста, а от тяжести фонового заболевания и его длительности.
Какова биохимическая основа катаракты?
Возрастная ядерная катаракта у человека обычно характеризуется четырьмя биохимическими изменениями, связанными с изменениями структурных белков, составляющих основную часть хрусталика: окрашиванием, окислением, нерастворимостью и ковалентным сшиванием. Каждый из этих признаков прогрессирует и усиливается по мере ухудшения состояния катаракты.
Что такое осложненная катаракта и увеит?
Катаракта — распространённое осложнение увеита, возникающее в результате хронического внутриглазного воспаления и применения кортикостероидов для его лечения. Такие катаракты называются осложнёнными и представляют собой серьёзную проблему для хирурга на каждом этапе лечения.
Советы
СОВЕТ №1
Изучите основные симптомы осложненных катаракт, такие как ухудшение зрения, появление бликов и искажений. Это поможет вам вовремя обратиться к врачу и начать лечение.
СОВЕТ №2
Регулярно проходите обследования у офтальмолога, особенно если у вас есть предрасположенность к катарактам. Раннее выявление может значительно улучшить прогноз и качество жизни.
СОВЕТ №3
Обратите внимание на свое питание и образ жизни. Употребление антиоксидантов, таких как витамины C и E, а также отказ от курения могут снизить риск развития катаракты.
СОВЕТ №4
Не игнорируйте рекомендации врача по лечению и наблюдению за состоянием глаз. Следуйте предписаниям и не стесняйтесь задавать вопросы, чтобы лучше понять свое состояние и возможные методы лечения.