Паренхиматозная киста почки: причины, лечение, диагностика кисты в паренхиме правой, левой и обеих почек

Обычно паренхиматозная киста почки появляется с ранних лет, долгое время может не прогрессировать. Многие больные и не подозревают о ее наличии, пока не появятся первые признаки патологии. Иногда в течение всей жизни терапия не требуется, если уплотнение никак себя не проявляет.
Основные причины, которые могут привести к появлению паренхиматозной кисты почки:
- Генетика – провоцирует уплотнения в большинстве случаев. При наличии предрасположенности паренхиматозная киста почки может появиться еще в период внутриутробного развития и при незначительных размерах никак себя не проявлять. Поэтому если возникали симптомы, образование начало расти.
- Застойные явления – возникают при недостаточном опорожнении лоханки почки. Чаще всего появляется у мужчин на фоне простатита или у женщин на последних стадиях беременности. Обычно провоцирует обострение симптомов паренхиматозных кист при их наличии с рождения.
- Травмы – при повреждениях поясничной области с паренхиматозным кровотечением могут появляться капсулы, заполненные жидкостью. Если они не рассасываются, развивается болезнь.
- Микробы – иногда киста в паренхиме почки появляется из-за местного воспаления. Это может быть гломеруло- или пиелонефрит, патологии провоцируют разрушение местных тканей и появление уплотнений.
Симптомы
Паренхиматозная киста правой или левой почки может никак не беспокоить пациента, если она не сдавливает окружающие ткани. Если ее размеры увеличиваются более 2 см, нарушается процесс фильтрации крови и образования мочи, в результате чего появляются местные и общие симптомы.
О наличии кисты в паренхиме правой или левой почки могут говорить следующие симптомы:
- боль в пояснице – из-за сдавливания здоровых тканей;
- слабость – вследствие нарушения фильтрации крови и образования мочи;
- частые позывы к мочеиспусканию – из-за раздражения ветвей копчикового и крестцового нервных сплетений;
- нарушения сна – при выраженной клинике вследствие беспокойства и тревожности.
Степень их выраженности напрямую зависит от границ паренхиматозной кисты в почке – чем они больше, тем ярче клиника. Если образование растет, симптомы усиливаются. При умеренных размерах (2-3 см) могут отмечаться не все признаки, иногда беспокоит ноющая боль и чувство слабости.
Диагностика
Чтобы доказать наличие кисты паренхимы левой или правой почки, проводится инструментальное и лабораторное обследование. В ходе диагностики выявляются прямые или косвенные признаки заболевания.
Пациенту может быть назначено:
- КТ или МРТ почек – помогают выявить локализацию и размеры кист;
- УЗИ – уступает по информативности, но может проводиться беременным женщинам и детям;
- допплерография – может дополнить инструментальное обследование;
- анализы крови и мочи – показывают косвенные признаки нарушения работы почек.
Когда установлено наличие интрапаренхиматозной кисты в левой или правой почке, врач принимает решение о назначении лечения. При размерах менее 5 см терапия не проводится, пациент становится на учет.
Лечение
Если обнаружены паренхиматозные кисты больших размеров или локализация патологии в обеих почках, принимается решение о проведении операции. Доктор может назначить следующие способы лечения:
- Чрескожная пункция – врач при помощи иглы отсасывает жидкость. Прокол делается в пояснице в области почек.
- Склеротерапия – аналогичный метод, только после выкачивания жидкости в кисту вводятся лекарства, способствующие ее рассасыванию.
- Резекция – проводится при множественных интрапаренхиматозных кистах правой или левой почки, сопровождающихся осложнениями или яркой клиникой. В таких случаях назначается длительная реабилитация.
Осложнения
Особую опасность представляют большие кисты или поражение паренхимы обеих почек. В таких случаях может развиться почечная недостаточность с последующей комой. К менее опасным осложнениям относится нарушение функций мочевыделительной системы, хроническое развитие патологии. Чтобы не допускать такого исхода, нужно своевременно лечить заболевание и стоять на учете у врача.
Профилактика
Если уже обнаружена киста паренхимы правой или левой почки, нужно периодики наблюдаться у нефролога. Также желательно ограничить потребление жидкости, соли, газировки, исключить из рациона фаст-фуд, чипсы, черный чай и кофе. В холодное время года необходимо тепло одеваться во избежание переохлаждений. При сквозняках следует беречь поясницу.
В большинстве случаев паренхиматозные кисты почек не проявляют себя, симптомы возникают при размерах более 2 см. Операция требуется только при выраженной клинике и разрастании уплотнений до 5 см. Наиболее оптимальным способом коррекции считается склеротерапия, после нее следует проводить профилактику.
про кисту почки
Список источников:
- Даников, Н. Заболевания почек и мочевыводящих путей. Лечение и профилактика / Н. Даников. — Москва: СИНТЕГ, 2009. — 320 c.
- Дифференциальная диагностика и лечение внутренних болезней. Руководство для врачей. В 4 томах. Том 3. Болезни органов дыхания, почек, системы крови. — М.: Медицина, 2003. — 480 c.
- Никольченко, А. П. Болезни почек. Лучшие методы лечения / А.П. Никольченко. — М.: Вектор, Невский проспект, 2008. — 128 c.
Паренхиматозная киста почек: причины и лечение

Около трети людей пожилого возраста имеют капсулы в мочевыводящих органах. Услышав диагноз «Паренхиматозная киста левой почки», они хотят знать, что это такое. Врач может назвать это новообразованием. Но не стоит паниковать.
Наиболее часто встречаемыми являются простые однокамерные капсулы с серозным содержимым. Они длительное время не беспокоят человека, имеют низкую вероятность перерождения.
Но пациент должен обязательно пройти обследование и обратиться за консультацией к нефрологу.
Представление о паренхиме почек
Паренхимой называют систему тканей, из которой состоит парный орган. Её формируют мозговое и корковое вещество. Паренхиматозная структура представляет собой большое количество капсул и сосудистой сетки.
Толщина здоровой ткани 14-25 мм. С возрастом паренхима становится тоньше. Она выполняет функцию накопления и выделения урины. Поверхность покрывающего слоя гладкая.
Ткань, из которой состоит почка, имеет высокую способность к восстановлению.
Паренхиматозные кисты почек
Возникновение паренхиматозной кисты – сложный процесс. Начинается он с формирования пустот между слоями ткани. Они заполняются серозным содержимым. В ответ на это близлежащие клетки продуцируют коллаген, который сдерживает проникновение жидкости, и образуется капсула.
Дальнейший прогноз определяет размер, локализация новообразования, состояние здоровья человека. Чем ближе к поверхности органа находится киста, тем выше риск возникновения осложнений. Так субкапсулярное положение предполагает наличие патологии близко к наружному краю почки.
Причины развития и провоцирующие факторы
Причины появления кистозного образования в парном мочевыводящем органе полностью не изучены. Врожденное развитие свидетельствует о генетической патологии у ребёнка.
У взрослых интрапаренхиматозная киста левой почки может быть следствием влияния таких факторов:
- удара;
- мочекаменной болезни;
- задержки оттока мочи при простатите;
- бактериального инфицирования;
- тяжёлые формы гипертонии.
Все эти факторы могут провоцировать появление новообразования. Особенно внимательно нужно наблюдать за мочевыделительной системой людям, имеющим отягощенную наследственность.
Признаки патологии
Паренхиматозные кисты почек по МКБ 10 имеют код N28.1 часто протекают бессимптомно или характеризуются редкими неприятными ощущениями в пояснице. Болезнь обнаруживается случайно, при ультразвуковом обследовании. Патология развивается медленно. Когда образование достигает больших размеров, человека начинают беспокоить такие признаки:
- боли в проекции проблемного органа;
- кровь в моче;
- повышение нижних показателей артериального давления;
- неприятные ощущения в мочевом пузыре;
- нарушенный отток урины.
Болезненность особенно выражена при физической нагрузке, подъёме тяжестей. Врач при пальпации обнаруживает увеличение органа.
Риск осложнений
Слабый иммунитет и присоединение инфекции становятся причиной развития воспалительного процесса. У пациента появляются симптомы острого пиелонефрита. Одним из самых опасных осложнений – разрыв капсулы.
Киста в паренхиме почки должна находиться под постоянным наблюдением. Её резкое увеличение, болезненность являются поводом для решения вопроса об оперативном вмешательстве. Также могут развиться следующие осложнения:
- нагноение образования;
- кровотечение;
- некроз паренхимы;
- воспалительный процесс;
- почечная недостаточность.
Особенности формирования кист правой и левой почек
Заболевание в большинстве случаев развивается у людей после 40 лет. Могут поражаться оба органа. Но наиболее часто паренхиматозная киста возникает с правой стороны.
Также существует статистика о преимущественном заболевании мужчин. Одним из объяснений этому служит высокое распространение простатита не только у пожилых, но и у молодых представителей сильного пола. Возникают застойные явления, следствием которых и является формирование капсулы в паренхиме. Может наблюдаться пристеночное образование.
Диагностика заболевания
Наличие характерных жалоб и тяжести в боку дают возможность поставить предварительный диагноз паренхиматозная киста почки. Подтвердить его и более детально изучить патологию помогают дополнительные методы обследования:
- общий анализ крови;
- исследование мочи;
- УЗИ;
- компьютерная томография;
- рентгенологический снимок с контрастным веществом;
- МРТ.
С помощью таких диагностических исследований можно увидеть кисту, уточнить её размеры, локализацию, заметить особенности, определить функциональное состояние почек. Это важные параметры для дальнейшего наблюдения и назначения при необходимости способов лечения.
Виды лечения
Консервативное медикаментозное лечение при паренхиматозной кисте правой или левой почки направлено на облегчение состояния пациента. Оно нацелено на снятие болевого синдрома, улучшения оттока мочи.
Возможно применение по согласованию с лечащим врачом народных средств. Присоединившуюся инфекцию устраняют с помощью антибиотиков широкого спектра действия.
Повышение артериального давления корректируется современными гипотензивными лекарственными препаратами.
При неосложнённом течении после удаления субстанции в полость впрыскивают специальные склерозирующие медикаменты, которые склеивают стенки капсулы. При данной процедуре есть риск попадания патологической жидкости в ткани почки, это может стать причиной сепсиса.
Увеличение образования, его давление на ткани, плохой отток мочи, нарушение функции органа являются симптомами, требующими рассмотрения важности хирургического вмешательства. Вопрос о его необходимости решается совместно с врачом нефрологом. Кроме дренирования, это может быть:
- биопсия;
- энуклеация (вылущивание);
- иссечение кисты;
- резекция части почки;
- нефрэктомия.
Удаление органа при диагнозе «Киста паренхимы левой почки» производится при поражениях, несущих угрозу жизни человека. Капсулы вырезают чаще всего лапароскопическим методом. Для этого на теле пациента делают три разреза величиной не больше 2 см. Через них вводят специальные инструменты, проникают в орган и удаляют образование.
Это наименее травматичный хирургический метод. После него период реабилитации проходит быстро, больной восстанавливается в кратчайшие сроки и приступает к привычному образу жизни. При неудобном расположении, больших размерах кисты может применяться полостной доступ. Также данный вид вмешательства используется при разрыве капсулы, произошедшем при ударе по корпусу, падении, ДТП.
Прогноз лечения
Прогноз течения заболевания при интрапаренхиматозной кисте левой почки чаще всего благоприятный. Патология развивается медленно, пациент долгие годы о нем не подозревает. Самочувствие человека зависит от размеров, локализации, характерных особенностей образования.
Совет! Пациент с установленным диагнозом должен наблюдаться у нефролога, регулярно проходить плановые осмотры. Наиболее благоприятное течение при капсулах без перегородок. Многокамерные кисты или их большое количество имеют менее оптимистичный прогноз.
Они часто приводят к развитию хронической почечной недостаточности, потере органа.
Для предупреждения возникновения патологии следует незамедлительно лечить инфекционные заболевания мочевыводящих путей. Важно следить за своевременным отхождением урины, не допускать её застоя.
Артериальное давление необходимо контролировать, поддерживать его показатели в пределах нормы. При наличии хронических заболеваний и лицам, относящимся к категории, входящей в группу риска, обязательно следует регулярно посещать врача, соблюдать щадящую для почек диету.
Если нет отягчающих проявлений, киста не является противопоказанием для беременности и рождения ребёнка.
Заключение
Паренхиматозная киста левой почки имеет невысокую степень распространения, особенно её парапельвикальный вид. Чаще встречается локализация патологии справа. При возникновении неприятных симптомов следует без промедления обращаться за медицинской помощью.
Своевременное диагностирование поможет качественно оценить функциональное состояние органа. Пациенту важно следить за здоровьем, соблюдать рекомендованное питание. При грамотном подходе возможно недопущение дальнейшего прогрессирования патологии, сохранение полноценной жизни человека.
Паренхиматозная киста почки: симптомы, диагностика и лечение

Сегодня очень часто встречаются различные доброкачественные образования, которыми в том числе является паренхиматозная киста почки. Данная патология представляет собой аномальное новообразование, которое локализовано в тканях почек.
При этом оно является тонкостенной полостью, содержащей внутри определенную жидкость. Поражает такая патология в равной степени мужчин и женщин, возрастом старше 50 лет. По статистике такая киста более часто появляется именно в правой почке.
Это обусловлено определенными анатомическими особенностями организма.
Что это такое
Зачастую подобные кистозные новообразования не представляют опасности, когда имеют маленький размер и являются единичными. За счет этого они никак не влияют и не нарушают работу органов.
При этом большая часть ученых считает, что такие образования не склонны к злокачественному перерождению, однако важно проводить своевременную диагностику, а также лечебную терапию, чтобы предотвратить возможное развитие серьезных осложнений.
Паренхиматозная патология имеет круглую форму, а её внутренняя полость наполнена жидкостью. При этом заболевание в подавляющем большинстве случаев поражает исключительно одну почку. Однако в практике встречаются крайне редкие ситуации, когда кисту находят на обоих органах сразу.
Паренхиматозная киста почки

Паренхиматозная киста почки – это доброкачественная урологическая патология, характеризующаяся образованием полости в тканях парного органа, которое покрыто биологической капсулой и содержит в себе жидкость светлого оттенка. Кистозное образование отличается круглой или сферической формой и обычно проявляется лишь на одной из почек. Заболевание в равном соотношении распространено среди представителей обоих полов.
Паренхиматозная киста левой почки, так же, как и правой, в большинстве своем не представляют серьезной опасности при наличии малого объема, единичного образования и отсутствии нарушений в работе мочевыводящей системы.
Несмотря на то, что специалисты отрицают вероятность малигнизации (озлокачествления) данных новообразований, крайне важно их своевременное выявление и последующее лечение.
Это объясняется высоким риском возникновения различных осложнений.
Классификация паренхиматозной кисты почки
Почечная ткань представлена структурой сложнейшего строения. Под влиянием некоторых факторов она способна разрастаться, отгораживаться от почечных канальцев и трансформироваться в кисту. Паренхиматозные образования подразделяют на:
- Интрапаренхиматозная киста почки – локализована в толще почечной структуры.
- Окололоханочная (синусная) – находится в непосредственной близости с лоханкой, но не сообщается с ней.
- Кортикальная – располагается в одноименном слое паренхимы.
- Субкапсулярная – локализуется под почечной капсулой.
- Мультилокулярная – многокамерная и редко встречающаяся.
По типу образования в паренхиме почки киста может быть:
- Врожденной. Возникает на фоне мутаций в результате нарушения внутриутробного развития в период формирования внутренних органов. Склонность к образованию кистозных полостей отличается генетической предрасположенностью и переходит от родителей к детям.
- Приобретенной. Развивается в следствие заболеваний, оказывающих поражающее действие на почечные каналы, которое неизбежно ведет к их закупорке. В роли патологий – катализаторов выступают гипертония, мочекаменная болезнь, аденома предстательной железы. Образования данного типа способны развиваться на протяжении всей жизни человека, но чаще всего появляется у пациентов преклонного возраста.
По количеству на почке паренхиматозная киста бывает:
- Одиночная – представлена единичной капсулой, чаще поражающей почку слева. Развитие патологии протекает без явной симптоматики, однако, достигнув определенного диаметра, она провоцирует возникновение ряда нарушений.
- Множественная – при ее появлении человек испытывает постоянную ноющую боль.
Паренхиматозные кисты обеих почек нечасто встречаются в урологической практике. Они относятся к ряду сверханомальных патологий.
Причины образования паренхиматозной кисты почки
Ключевыми причинами образования интрапаренхиматозной почечной кисты являются:
- Сбой внутриутробного развития (при врожденной патологии);
- Болезни мочевыделительной системы, в том числе инфекции и МКБ;
- Травмы почек;
- Туберкулез;
- Хирургическое вмешательство на парный орган в анамнезе.
Механизм формирования данной кисты обусловлен расширением нефронов (структурных почечных элементов). Размеры полости могут варьироваться от 2 мм до 9 – 12 см. Примечательно, что кисты врожденного характера имеют способность к самостоятельному рассасыванию.
Паренхиматозная киста правой почки или левой формируется в результате изменения канальцевого аппарата, которое приводит к нарушению оттока мочи. При подобном развитии событий моча застаивается, провоцируя выпячивание стенки паренхимы и затем на этом участке формируется кистозная капсула.
Симптомы паренхиматозной кисты на почках
Как это часто бывает, человек может и не предполагать, что в его организме формируется кистозное новообразование, пока не наступит необходимость пройти ультразвуковое исследование мочеполовой системы.
Если капсула имеет диаметр 1 – 1,5 см, то специфическая симптоматика в этом случае практически отсутствует или проявляется в маловыраженной форме. Если паренхиматозное образование отличается размером более полутора сантиметров, то пациента могут беспокоить следующие негативные проявления:
- Учащенные позывы к мочеиспусканию;
- Боли тянущего и ноющего характера в области поясницы;
- Появление отечности на ногах, руках и лице утром после пробуждения;
- Резкое изменение оттенка мочи;
- Беспокойный сон;
- Гнетущее чувство усталости и недомогания.
При появлении подобной симптоматики важно понимать, что она не всегда может свидетельствовать о наличии паренхиматозной полости. Нередко такое недомогание сигнализирует о прочих урологических проблемах. Поэтому крайне важно проводить регулярное обследование всего организма.
Диагностирование паренхиматозной кисты в почках
Диагностические мероприятия, направленные на обследование почечной паренхимы, состоят из комплекса обязательных исследований, которые включают в себя:
- Общее клиническое обследование, которое включает в себя сбор имеющихся жалоб и анамнеза пациента, пальпацию и перкуссию парного органа, позволяющие оценить примерный объем и локализацию капсулы.
- Лабораторное тестирование, состоящее из анализа крови (РОЭ, лейкоцитарная формула), общего анализа урины (белок, бактерии, лейкоциты), биохимического исследования крови (уровень мочевины и креатинина).
Инструментальные обследования представлены:
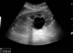
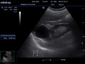
- Ультразвуковое исследование почек, позволяющее определить размеры, расположение и характер содержимого в капсуле новообразования;
- Магнитно – резонансная и компьютерная томографии, использующиеся для составления более полной картины и уточнения результатов, полученных благодаря УЗИ;
- Экскреторная урография – методика визуализации почек при помощи рентгеновского излучения и введения контрастного компонента.
Помимо вышеперечисленных методов, в диагностических целях могут быть назначены ангио- и кистография почек, ретроградная пиелография.
Лечение паренхиматозной кисты почки
Лечение паренхиматозной кисты почки находится в компетенции врача – уролога. Появление хотя бы одного неприятного симптома служит сигналом к срочному обращению за медицинской помощью. Не стоит терять время, занимаясь самолечением, ведь неверная терапия способствует возникновению серьезных осложнений.
При развитии данной патологии специалисты настаивают на соблюдении определенного рациона питания и образа жизни:
- Исключить продукты, обогащенные белком;
- Отказаться от жирных и соленых блюд;
- Воздержаться от употребления пряностей, копченостей;
- Исключить спиртные напитки, зерновой кофе, сигареты.
- Вести контроль потребления воды на основе нормы суточного потребления;
Диетическое питание при кистозных образованиях паренхимы предполагает употребление кисло – молочных и растительных продуктов.
В зависимости от проявляющейся симптоматики, врачом назначают следующие препараты:
- Обезболивающие (папаверин);
- Препараты, стабилизирующие водно – солевой баланс (аллопуринол, цитрат натрия);
- Антибактериальные средства (Амоксициллин);
Перечисленные группы лекарственных средств не способны уменьшить или вовсе избавить пациента от паренхиматозной кистозной капсулы в почке, зато ощутимо снимут болезненные ощущения и улучшат общее состояние.
В случае необходимости устранить паренхиматозную кисту часто применяется метод пунктирования. Он является малотравматичным вмешательством и практически не вызывает нежелательных реакций организма.
На основе результатов обследования и под контролем УЗИ в области локализации капсулы выполняется прокол кожи и мягких тканей. Специальной иглой уролог производит прокол капсульной стенки и извлекает из нее содержимое.
Далее полость заполняется компонентами, которые оказывают губительное действие на клетки, содержащиеся в кистозной капсуле. Благодаря данному способу стало возможным устранение и предупреждение возникновения рецидива.
- Полостное вмешательство – показано при разрыве кистозной капсулы, а также при ее нагноении. В случае достижения новообразованием критических объемов и наличии угрозы жизни пациента, хирургом проводится удаление кисты вместе с пострадавшей почкой.
- Лапароскопия – проводится через три прокола. Благодаря специальной аппаратуре и камере врач имеет возможность контролировать течение манипуляции. Данным методом показано удаление однокамерных паренхиматозных капсул малого размера.
Лечение паренхиматозной кисты почки народными средствами необходимо проводить при предварительной консультации с врачом для достижения наилучшего эффекта:
- Настойка эхинацеи. Ее можно приобрести в любом аптечном киоске и употреблять трижды в день по 15 капель.
- Грецкий орех. Ядра следует тщательно измельчить и перемешать с медом в стеклянной емкости. Тару убрать в темное место на 25 – 30 суток. По прошествии срока нужно принимать средство по чайной ложке перед едой.
- Отвар шиповника. Для его приготовления необходимо взять горсть плодов шиповника и залить водой. Варить плоды на умеренном огне около 40 минут. Затем перелить в термос и дать настояться в течение полутора часов, процедить и пить по стакану дважды в день.
- Лопух. Из свежих листьев репейника отжать сок. Принимать его курсом на протяжении двух месяцев в количестве одной чайной ложки до еды.
Такая патология, как паренхиматозная киста почки, имеет благоприятный исход при своевременном обращении к специалисту. В рамках профилактики рекомендовано не пренебрегать лечением различных урологических заболеваний и ответственно выполнять врачебные предписания.
Киста в паренхиме почки

Такое образование, как паренхиматозная киста почки довольно часто встречается у людей. Тем не менее заболеванию подвержены как мужчины, так и женщины после 35-ти лет. Кистозные образования не несут серьезной угрозы для жизни, но осложнения могут существенно повлиять на работу всех органов и систем.
Почему формируется?
Однозначно сказать, что провоцирует развитие заболевание, врачи не могут. Тем не менее существует ряд факторов, наличие которых способствует развитию кисты. К ним относятся: частые инфекционные заболевания мочеполовой системы, гипертония, туберкулез.
Существует также риск врожденной формы заболевания, на том этапе, когда в организме ребенка формируются будущие органы. Плюс ко всему врожденные кисты, как правило, развиваются параллельно с другими болезнями мочеполовой системы. Наследственный фактор также влияет на предрасположенность к развитию заболевания.
Вероятность рождения ребенка с врожденной патологией почки — 5%.
Как проявляется заболевание?
Паренхиматозная киста представляет собой образование, заполненное особой жидкостью, которое может располагаться как в единичном экземпляре, так и группами. Дислокация кистозного образования — паренхиматозная ткань органа.
Чаще диагностируется именно паренхиматозная киста правой почки. До того момента пока размеры кистозного образования не превысили критических отметок, о его наличии в организме можно будет только догадываться.
При проведении обследований,
Чаще всего паренхиматозная киста почки проявляется отеками.
связанных с лечением других органов, врачи чаще всего случайно и обнаруживают образования паренхимы почки. Проблема дает о себе знать, только когда киста разрастается и распространяет свое давление на ткани и соседние органы.
Симптомы проявляются в следующем:
- частые и навязчивые позывы в туалет;
- продолжительные болевые ощущения в поясничном отделе;
- отечность лица и нижних конечностей;
- нехарактерный цвет и запах урины;
- кровавые выделения в моче;
- упадок сил;
- проблемы со сном;
- жажда.
Конечно эти симптомы могут указывать и на другие заболевания, не имеющие связи с кистообразованием, однако при их наличии рекомендуется пройти комплексное обследование у врача.
Когда представляет опасность?
После того как у больного были диагностированы кисты паренхимы, необходимо сразу начать лечение во избежание осложнений. Врач назначает больному лечебную программу, которая будет включать некоторые изменения в привычном образе жизни больного, а также в питании. Если не придерживаться рекомендаций, возможны проявления следующих осложнений, таких как:
- разрыв кисты;
- воспалительные процессы и возможные нагноения;
- некрозы тканей почек и кровотечения;
- формирование злокачественной формы образования;
- инфекции;
- осложнения в виде почечной недостаточности.
Лучшие варианты диагностировать
Для постановки диагноза необходимо сдать анализы и пройти обследование.
Диагностировать у человека такую болезнь, как паренхиматозная киста левой почки, так же как и правой довольно сложно по той причине, что до определенного момента симптомы не проявляются.
Поэтому для постановки точного диагноза рекомендуется пройти полное обследование, включающее сдачу клинических анализов, инструментальную диагностику. Назначают также сбор анамнеза пациента и пальпацию, которая дает предварительную оценку размеров органов.
Анализы для исследования
Для диагностики заболевания сдаются следующие анализы:
- общий анализ мочи показывает присутствие белковых соединений и воспалительных структур, которые могут свидетельствовать о кисте паренхимы;
- анализ крови: такой показатель, как СОЭ при кистозных образованиях повышается;
- биохимический анализ крови: при увеличении уровня креатинина в крови могут возникнуть подозрения о наличии в почках кист.
Инструментальная диагностика
Инструментальная диагностика включает в себя следующие процедуры:
- ультразвуковое исследование — определяет наличие нехарактерного новообразования, в том числе и в почке;
- магнитно-резонансная томография — при помощи магнитных волн устанавливается точная локализация и объемы образования;
- экскреторная урография почек — принцип тот же, как и при УЗИ и МРТ, только исследование проводится с участием рентгеновского излучения.
Комплексное лечение
Проведение хирургической операции назначается, когда не оправдано медикаментозное лечение.
Чаще лечение кисты обеих почек как левой, так и правой, проводится с помощью оперативного вмешательства, чтобы исключить развитие осложнений.
Однако в случае когда у больного не наблюдается повышенного роста образования, и если киста не влияет на работу других органов и систем, то допускается альтернативный вариант, который заключается в соблюдении правил питания и медикаментозного лечения.
Лекарства при паренхиматозной кисте почки
Если паренхиматозные кисты являются провокатором повышения давления, или вместе с ними появляются болевые ощущения, тогда врачи рекомендуют принимать медикаменты, действие которых направлено на устранение симптомов данных проблем. Помимо этого, рекомендуется включать в лечебный план антибактериальные и противовоспалительные препараты, которые устранят инфекции мочеполовой системы в случае их обнаружения, а также нормализуют солевой баланс в организме.
Питание при болезни
Лечение практически всех почечных заболеваний нуждается в соблюдении диетических правил. Это важный шаг к тому, чтобы приостановить рост образования или уменьшить его объемы. Для лечения кисты паренхимы нужно придерживаться следующих правил:
Чтобы избежать рост кисты следует придерживаться правильного питания.
- сократить употребление соли;
- исключить пряности и копчености;
- жареную и жирную пищу убрать из рациона;
- пересмотреть количество потребления белковых продуктов;
- бросить курить и пить алкоголь;
- контролировать питьевой режим;
- употреблять в пищу фрукты и овощи, которые содержат минимум жиров и белков;
- исключить из меню продукты, содержащие щавелевую кислоту (шпинат, щавель).
Операция как форма лечения
В большинстве случаев для успешного лечения заболевания назначают хирургическую операцию по удалению образования. Обязательные показания для проведения операции:
- консервативное лечение не приносит эффект (медикаменты и диета);
- размеры кисты несут угрозу для нормальной работы органов и всего организма в целом;
- возникновение воспалительных процессов;
- развитие нагноения в полости образования;
- некроз кисты;
- разрыв кистозного образования, сопровождающийся вытеканием жидкости.
Если в процессе диагностики обнаружена одиночная киста небольшого размера, которая не гноится и не вызывает воспаления, удалить образование можно лапароскопическим путем.
Операция проводится путем прокола тканей, когда извлекается внутреннее содержимое образования, а вместо него закачивается специальное вещество, которое разрушает кисту.
Обязательное условие проведения операции — отсутствие осложнений кисты и обязательный контроль врача УЗИ.