Рак почки 4 стадии с метастазами

Низкий процент выживаемости при почечной онкологии определяется поздним выявлением болезни.
Рак почки 4 степени с метастазами дает шанс лишь 8—16% онкобольным при условии соблюдения реабилитационного регламента и изначально крепкого здоровья.
Но и при таких прогнозах бороться с патологией нужно и важно, ведь исход, независимо от статистики, индивидуальный и определяется множеством факторов.
Почему развивается патология?
Этиология и патогенез почечно-клеточного рака (ПКР), как и других локализаций злокачественного процесса, досконально не изучены. Выделяют ряд провокаторов, что повышают риски мутации здоровых клеток организма. Основные из них:
- Вредные привычки:
- Высокий индекс массы тела — ожирение.
- Воздействие канцерогенов и токсинов на работе, из атмосферы воздуха.
- Плохая наследственность.
- Хроническая гипертония.
- Болезни почек:
Причины позднего обнаружения
Почечный рак опасен бессимптомностью течения и редким обнаружением на УЗИ. Обычно люди жалуются на ноющие боли в пояснице, но признак характерен разным болезням почек. В результате большая часть пациентов поступает с 4 стадией и метастазами.
Онкологическое заболевание органа отличается образованием метастаз на ранней стадии, что значительно усугубляет лечение.
Особенностью ПКР является высокий процент раннего метастазирования. В результате у 25% пациентов обнаруживают почечный рак 4 степени. При этом у 1/3 прооперированных больных при повторной диагностике выявляется рецидив с генерализацией онкопроцесса.
Высокие риски повторного развития онкопроцесса после радикальной операции объясняются трудностями в определении микроскопических отсевов раковых клеток, а также их стойкостью к цитостатикам (противоопухолевым химиопрепаратам).
Поэтому действенная послеоперационная терапия при раке почки не разработана.
Симптоматика
К 4 степени рак дал метастазы в соседние органы и ткани: поразил брюшную полость, сосуды, надпочечники. Нередко обнаруживаются и отдаленные патологические очаги — в печени, легких, костях. Сама почка или обе подверглись генерализованному некрозу с полным прекращением работы. Такие масштабные нарушения в организме ведут к выраженной клинической картине.
Симптомы, позволяющие определить ПКР 4 стадии, следующие:
- Со стороны почек и мочевыделительной системы:
- интенсивные, некупируемые анальгетиками, боли в области поясницы и крестца с отдачей в живот;
- кровь в моче — от капель до червеобразных сгустков;
- выраженная почечная дисфункция;
- припухлость в области проекции больного органа;
- сильный отек ног.
- Со стороны других систем:
- внезапные сильные кровотечения из-за поражения сосудов;
- варикоз вен в нижней части живота;
- истощение, сильная и резкая потеря массы тела;
- общее отравление организма токсинами, выделяемыми опухолью, и продуктами ее распада с температурой, слабостью, тошнотой и рвотой;
- желтушность и зуд кожи из-за поражения печени;
- кровохарканье и лающий кашель при проникновении в легкие;
- мучительный болевой синдром во всем теле на фоне заражения костной ткани.
Диагностические процедуры
Постановка диагноза состоит из ряда мероприятий и включает в себя лабораторные исследования крови и урины.
Схемы диагностики подбирается индивидуально, но есть общий перечень методов, состоящий из таких процедур:
- Осмотр больного врачом с пальпацией и прослушиванием.
- Лабораторные анализы биожидкостей (мочи, крови) и испражнений (кала) пациента на общие показатели, биохимические и специфические (онкомаркеры).
- Инструментальные методы, необходимые для определения масштабов онкопроцесса:
- УЗИ брюшины;
- рентген с контрастом;
- КТ и МРТ всего тела;
- сканирование скелета.
Терапевтическая тактика
Ввиду высоких рисков рецидива на последней стадии больным предлагается поддерживающая терапия, улучшающая качество жизни и снимающая тяжелую симптоматику. Улучшение длится от месяца до нескольких.
Несмотря на далеко зашедший процесс, онкобольных не оставляют умирать, и ПКР 4 степени продолжает лечиться. На терминальной фазе после определения масштабов распространения злокачественного процесса подбирается индивидуальная схема терапии.
Применяется химиотерапия (таргетная) для уничтожения метастаз и уменьшения первичной опухоли. По результатам принимается решение об операции. Как правило, проводится радикальная нефрэктомия с удалением метастаз.
Лечение рака почки 4 стадии облучением актуально лишь при распространении рака к кости.
Сколько живут: статистика и прогнозы
В борьбе с онкологией, помимо правильного лечения, помогает позитивное мышление и настрой на жизнь.
Согласно экспертным данным, количество выживших при раке терминальной фазы в течение 5-ти лет составляет 8—16%. Повысить шансы возможно при таких условиях:
- Ранее диагностирование. На 1—2 этапе выживаемость — 75%.
- Отсутствие метастаз в отдаленных органах.
- Эффективность комплекса лечебных тактик — сочетание резекции, таргетной химиотерапии и иммунной терапии.
- Изначально хороший иммунитет человека, психологический настрой на жизнь.
Ухудшить прогноз способны:
- слабая сопротивляемость организма;
- хронические патологии почек, в том числе аномалии развития;
- системные нарушения (диабет, анемия, недуги сердца и сосудов);
- обнаружение после операции опухолевых структур, отличного вида от почечной — низкодифференцированный вид рака;
- быстрое образование кровеносной сети, питающей опухоль.
Для полной прогностической картины в таблице приведена постадийная статика:
| Степень рака | Риски | Выживаемость, % |
| 1 | Сложность раннего выявления | 100 |
| 2 | Смертность из-за изначальной слабости организма | 96 |
| 3 | Зависит от осложнений и сопротивляемости организма | 59 |
| 4 | Отягощенность метастазами | 16 |
4 стадия рака без метастазов | Медицинский справочник

Каждый день в человеческом организме происходит появление нескольких тысяч раковых клеток. Как правило, они успешно распознаются иммунной системой и уничтожаются. Если в иммунной системе происходит сбой, дальнейшее распространение раковых клеток становится неизбежным, с последующим их размножением и переходом в метастазы 4 степени.
Классификация
Единичные образования принадлежат ко II и III стадии рака. Если их количество начинает превышать показатель два, то, по мнению онкологов, речь идёт о множественных образованиях, это уже метастазы 4 степени.
Важнейшие критерии определяются тем, что с изменением своей численности, повторные отсевы начинают самостоятельное воспроизводство гормонов роста. Метастазы 4 степени стимулируют формирование сетки капилляров вокруг клеток опухоли.
Так, клетки злокачественной опухоли получают питательные компоненты, нанося ущерб здоровым тканям в организме.
• Рак молочной железы — поджелудочная железа, печень, структуры костей;
• Новообразования яичников — брюшная полость, лёгкие и печень;
• Рак желудка — печень, лёгкие, брюшная полость;
• Рак лёгких — надпочечники, печень, а также второе легкое.
Как возникают метастазы
Вначале клетки фрагментов опухоли проникают в область просветов суженных кровеносных сосудов. Речь идёт о гематогенном пути распространения, иногда затрагиваются лимфатические структуры, представляющие лимфогенный путь.
К примеру, проявление вторичных опухолей в шейных лимфоузлах происходит в случае регионарного поражения лимфоузлов. Ток лимфы производит транспортировку метастаз в отдалённые органы.
Случается, что при выявлении вторичных опухолей первичную опухоль не обнаруживают. В данном случае ставится диагноз: рак из невыявленного первоисточника.
К образованию повторных образований в лимфоузлах шеи приводят опухоли языка, гортани и желудка.
Провоцирующим фактором появления вторичных опухолей в лимфатических узлах над ключицей зачастую являются:
Метастазы 4 степени парааортальных лимфоузлов происходят от рака желудка, наличие их в лимфатических узлах средостения связано с опухолями лёгкого или пищевода.
Характерные симптомы
Кровотечение, начинающиеся без видимых причин, является прямым признакам нарушения работы внутренних органов. Например:
– кровотечение из прямой кишки – не только признак геморроя, но и возможно опухоли в малом тазу.
– при наличии злокачественной опухоли в матке или шейке матки возможны межменструальные кровотечения, если это происходит в климактерическом периоде требуется срочное обращение к врачу.
– мокрота с кровью при кашле может представлять собой признак рака лёгких IV степени.
– наличие крови в рвоте может означать рак желудка или язву. Для получения точного ответа на вопрос потребуется обратиться к медицинскому специалисту.
– чрезмерное похудание, при чрезмерном снижении веса в короткий промежуток времени, если не было стрессовых ситуаций, сильных физических перегрузок и диет, речь идёт о серьёзном поводе для того, чтобы записаться к врачу.
– одышка, кашель и хрипота. Причиной им могут быть инфекционные и воспалительные патологии, а также рак лёгких. Если одышка и кашель длятся свыше 2 недель, потребуется немедленное обращение к врачу. Это же следует сделать, если в мокроте присутствует кровь.
Основные методы лечения
При лечении метастаз 4 степени применяется комплексный подход, среди новых методов распространены:
– эмболизация артерий, обеспечивающих питание метастатических новообразований. Если устранить злокачественные очаги нельзя, к ним ограничивается доступ кислорода и питательных веществ посредством эмболизации, в ходе которой перекрываются крупные сосуды;
– клеточная иммунотерапия в онкологии относится к перспективным методам лечения. Основана на воздействии на иммунитет пациента биовакцинами, моноклональными антителами.
– таргетная или целевая терапия основана на воздействии специально предназначенных препаратов на клетки-мишени с рецепторами, ответственными за рост и размножение опухолей злокачественного типа. Хирургическое лечение применяется если присутствуют одиночные очаги, при множественных образованиях терапия направлена на облегчение самочувствия пациента и продление срока его жизни.
Сколько проживёт больной
В данный момент наблюдается существенное различие в показателях 5-ти летней выживаемости пациентов, страдающих поздними стадиями онкологии. Это зависит от первично возникшего очага и степени разрастания метастазов 4 степени.
При раке лёгкого IV стадии и окончательно установленном диагнозе 10% больных имеют пятилетнюю выживаемость. 15–20% больных имеют пятилетнюю выживаемость при онкологии желудочно-кишечного тракта.
Самые плохие показатели (менее 5%) встречается среди пациентов, у кого найден рак поджелудочной железы, меланомы, глиобластомы.
– инновационная терапия; – как получить квоту в онкоцентр; – участие в экспериментальной терапии;
– помощь в срочной госпитализации.
Стадии рака
В этом разделе мы ответим на такие вопросы, как: Что такое стадия рака? Какие бывают стадии рака? Что такое начальная стадия рака? Что такое 4 стадия рака? Какой прогноз при каждой стадии рака? Что означают буквы TNM при описании стадии рака?
Когда человеку говорят, что у него обнаружено онкологическое заболевание, первое, что он хочет узнать – это стадия и прогноз. Многие онкобольные боятся узнать стадию своего заболевания. Пациенты боятся 4 стадии рака, думая, что это приговор, и прогноз только неблагоприятный.
К ним относятся гистологические особенности опухоли (мутации, индекс Ki67, дифференцировка клеток), ее локализация, тип обнаруженных метастазов.
Стадирование новообразований на группы в зависимости от их распространённости необходимо для учёта данных об опухолях той или иной локализации, планирования лечения, учёте прогностических факторов, оценке результатов лечения и контролем за злокачественными новообразованиями. Другими словами, определение стадии рака необходимо для того, чтобы спланировать наиболее эффективную тактику лечения, а также для работы статистов.
TNM классификация
Существует специальная система стадирования каждого онкологического заболевания, которая принята всеми национальными комитетами здравоохранения, – это TNM классификация злокачественных новообразований, которая была разработана Пьером Денуа в 1952 году. С развитием онкологии она пережила несколько пересмотров, и на данный момент актуальным является седьмое издание, опубликованное в 2009 году. Оно содержит самые последние правила классификации и стадирования онкологических заболеваний.
В основе классификации TNM для описания распространённости новообразований лежит 3 компонента:
Второй компонент — N (лат. Nodus – узел), он указывает на наличие или отсутствие метастазов в лимфатических узлах. Точно так же, как и в случае с компонентом Т, для каждой локализации опухоли существуют свои правила определения этого компонента. Градация идет от N0 (отсутствие пораженных лимфоузлов), до N3 (распространённое поражение лимфатических узлов).
Третий – M (греч. Metástasis – перемещение) – обозначает наличие или отсутствие отдалённых метастазов в различные органы. Цифра рядом с компонентом указывает на степень распространённости злокачественного новообразования. Так, М0 подтверждает отсутствие отдаленных метастазов, а М1 – их наличие. После обозначения М, обычно, в скобках пишут название органа, в котором выявлен отдаленный метастаз. Например М1 (oss) означает, что есть отдаленные метастазы в костях, а M1 (brа) – что найдены метастазы в головном мозге. Для остальных органов используют обозначения, приведенные в таблице ниже.
Подписаться на обновления
Запишитесь к специалисту прямо на сайте. Мы перезвоним Вам в течении 2-х минут .
Перезвоним Вам в течении 1 минуты
Многочисленные виды новообразований на коже бывают как совсем безопасными для здоровья, так и способными нанести вред окружающим тканям и даже создать угрозу для жизни человека
Метод, который носит название ударно-волновой терапии, применяется для лечения костно-мышечных заболеваний и любого заболевания опорно-двигательного аппарата
процесс взятия клеток или ткани из организма для дальнейшего микроскопического исследования на проверку наличия онкологических заболеваний
Рак без метастаз
Современная чума в виде онкологии имеет массу разновидностей, чем вынуждает самых умных людей планеты столетиями трудиться над проблемой излечивания человека от раковой опухоли. Рак без метастаз может поражать только головной мозг, и то определенные его участки.
Все же остальные органы человека в запущенной стадии заболевания обязательно пустят свои метастазирующие отростки в соседние ткани и структуры. Размножение злокачественных клеток внутри организма может произойти при малейшей внешней провокации, с которой иммунная система не в силах справиться самостоятельно.
Постепенное вытеснение здоровых клеток путем их мутации формирует опухоль, которая способна убить человека за определенный период времени.
Метастазы появляются при переходе болезни во вторую – третью стадию тяжести, для которых характерно разрастание клеток за пределы первичного очага локализации.
Отсутствие тенденции злокачественных клеток к самоуничтожению и естественному отмиранию вынуждает их быстрое размножение вытеснять в другие органы и ткани. Таким образом, формируются метастазы, являющиеся вторичными раковыми новообразованиями.
Рак без метастаз имеет место на начальной стадии своего формирования и при первой степени тяжести болезни.
Наличие метастазирования при онкологической опухоли заметно ухудшает внешний вид человека, превращая его в истощавшую фигуру с серозностью кожных покровов.
Такая метаморфоза происходит по причине активного кровоснабжения очагов метастазирования, которые провоцируют катастрофический дефицит кислорода в здоровых клетках.
Поэтому начальный рак без метастаз не влияет на ухудшение общего состояния человека внешне.
Диагностическое выявление онкологии
Злокачественное новообразование в любом органе тела уточняется с помощью современной медицинской аппаратуры. Даже первичный и начальный рак без метастаз необходимо уточнить с помощью таких обследований:
• Ультразвуковое исследование проводится для выявления абсолютно всех видов опухолей, и помогает уточнить клиническую картину болезни по качественным характеристикам и степени масштабности поражений.
• Рентгенологическое исследование целых систем внутренних органов помогает рассмотреть опухоль в нескольких проекциях, то есть со всех сторон: боковой, передней, задней.
• Магнитно – резонансная томография детализирует наличие метастазирования и его направление.
• Сцинтиграфия – радиологическое обследование тканей при подозрении на раковую опухоль костей. Проводится по определенному показанию или с целью уточнения метастазирования в костную структуру.
• Компьютерная томография может быть показана при уточнении сложных случаев в онкологической практике, чаще всего проводится при раковых образованиях в головном мозге.
• Гистология биологического материала, взятого с помощью пункционной биопсии – необходимое исследование для всех форм злокачественных опухолей. Так называемый анализ изнутри очага несет в себе важную информацию о качестве содержимого новообразования и тенденции его к росту и размножению.
• Лабораторная диагностика общего состояния здоровья дополняется многочисленным количеством специальных анализов, показанных для уточнения локализации опухоли и воздействия ее на организм в целом. Проведение онкологического маркирования позволяет выявить рак без метастаз на самой ранней стадии его формирования.
Основные принципы лечения
Онкология с каждым годом все лучше поддается терапии, причем методы и способы лечебных мероприятий приобретают более щадящую форму для организма пациента в целом.
Рак без метастаз вылечить, несомненно, намного проще, причем склонность его к рецидиву будет значительно уменьшена.
К сожалению, большинство злокачественных образований диагностируется в запущенных степенях тяжести, поэтому лечебный процесс затягивается и не всегда является достаточно эффективным.
Обычно рак без метастаз лечится с помощью таких методов:
• Хирургическое удаление – самый результативный метод.
• Химиотерапевтические инъекции помогают замедлить рост опухоли перед оперативным вмешательством.
• Лучевая терапия способствует профилактической зачистке организма от активных злокачественных клеток, способных вызвать рецидив.
Продолжительность жизни при раке 4 стадии с метастазами
Рак само по себе довольно неприятное заболевание с риском для жизни, а если это рак 4 стадии с метастазами, то и без того хочется зацепиться хоть как-то за остатки жизни.
Сегодня мы как раз и рассмотрим эту тяжелую тему о больных раком на 4 стадии, когда уже процесс метастазирования набрал обороты.
Поймем, каково жить при раке 4 стадии с метастазами и сколько живут такие пациенты. Поехали!
Бывают случаи, когда онкобольной, которого уже отправили домой «умирать» в одночасье излечивался и проживал долгую и счастливую жизнь. А бывали и недолгую, но причина смерти никак не была связана с раком.
К чему это – главное в любой сложной ситуации продолжать бороться и верить в благоприятный исход.
Не будем мучить читателя и сразу же выложим текущие рабочие цифры по раковым заболеваниям и выживаемости. Напомним, что прогноз выживаемости здесь измеряется в пятилетней выживаемости – проценту пациентов, переживших 5-летний порог после обнаружения у них этого заболевания. Вот статистика по некоторым конкретным видам:
Последняя 4 стадия рака

Онкологические заболевания, в особенности последняя стадия рака, тяжело переносятся больным как физически, так и морально. Пациент и его родственники часто задаются вопросом, излечим ли рак на столь поздних сроках, можно ли хотя бы продлить или улучшить качество жизни без боли и страданий, и вообще, сколько осталось жить больному. На эти вопросы постараемся ответить в данной статье.
Характеристика
Некоторые раковые заболевания весьма успешно лечатся при своевременном постановке диагноза, особенно если это рак первой стадии. Но, не смотря на предупреждение врачей, постоянных бесед на эту тему в средствах массовой информации, люди зачастую не обращают внимания на те или иные патологические изменения в организме. Оставляют все на самотек.
Лишь когда симптомы болезни очевидные, обращаются за медицинской помощью. Зачастую это происходит поздно, и болезнь принимает масштабное распространение по всему организму. По статистике в 80% случаев онкозаболеваний, больные обращаются впервые к специалистам уже на последней стадии рака.
Рак на данном этапе является необратимым и не поддающимся никакой терапии.
Последняя стадия рака легких
Определить стадию рака, способ его лечения, могут только специалисты. Так, существует специально созданная система TNM, в которой детально диагностируется стадия болезни, ее локализация и степень распространения.
Например, в заключении могут быть обнаружены такие записи как PT1N0M0, T4nxmx, T4nxm0, T3nxm1, Pt1an0m0.
Буквы здесь обозначают следующее: T – размеры новообразования, N – метастазы в близлежащих лимфоузлах, M – метастазы на других органах, G – степень, P – на сколько проросла опухоль внутрь органа (для ЖКТ). Расшифровкой результатов анализов занимается только врач.
Специалисты отмечают, что для рака 4 степени развития присуще стремительное распространение раковых клеток по всему организму, метастазы опухоли охватывают такие жизненно-важные органы как легкие и головной мозг. Образуется рак кожи, так называемая меланома.
Зачастую помочь больному в запущенной стадии болезни практически невозможно. Но все зависит от вида и локализации злокачественного образования. Врачи могут продлить жизнь больному с помощью определенных препаратов и процедур лишь на незначительное время. В редких случаях благодаря усилиям специалистов больным удавалось жить до 5 лет.
Симптомы
В онкологии симптоматика болезни на последних стадиях весьма яркая. И проявляются они практически одинаково, вне зависимости от локализации опухоли, так как на четвертой стадии болезни раковые клетки распространяются практически по всему организму.
Общие проявления болезни таковы:
| 1 | Резкое снижение массы тела | Отсутствует аппетит во время болезни, человека мучает тошнота и рвота . Из-за психологической угнетенности, человек может худеть |
| 2 | Вялость, быстрая утомляемость | Причин данных симптомов может быть множество. У большинства больных раком наблюдается анемия, которая может быть вызвана из-за отсутствия аппетита, нарушения работы кроветворных органов, интоксикацией организма, или внутренним кровотечением |
| 3 | Увеличение лимфоузлов | При наличии злокачественных опухолей, прежде всего, страдает лимфатическая система, так как большинство органов снабжены ими. Раковые клетки, распространяясь по всему организму, поражают их |
| 4 | Наличие болевых синдромов | Опухоли, по мере роста могут сдавливать органы, приводить к некрозам, нагноениям, ранам |
| 5 | Высокая температура тела | Обусловлена интоксикацией организма, наличием большого количества продуктов распада злокачественных клеток в крови , существующими воспалительными процессами , некрозами |
| 6 | Острая ишемия | Связана с тем, что нарушается обмен веществ в организме. Из-за нарушения работы почек, в крови увеличивается концентрация калия, который в избытке приводит к нарушению работы сердца |
| 7 | Желтизна кожных покровов | Нарушается работа печени , ухудшается отток желчи, что приводит к желтухе у человека |
Некоторым видам рака соответствуют определенные признаки:
- При раке легких, гортани больного мучает сильный кашель с кровью, нарушается дыхание;
- Рак органов ЖКТ сопровождается рвотой с кровью, дисфагией (непроходимостью пищи),
- При меланоме на коже образовываются незаживающие язвочки, из ран выделяются гной с кровью. Места локализации опухолей приобретают отечность;
- При раке шейки матки на последних стадиях выделения имеют зловонный запах, мучают боли;
- Рак костной ткани сопровождается сильной болью, которая не проходит без сильных наркотических препаратов;
- При раке мозга чаще всего ухудшается зрение вплоть до полной ее потери, головные боли становятся невыносимыми. Человек теряет равновесие. Возможна частичная или полная потеря слуха и памяти.
Практически любой вид рака в четвертой клинической группе сопровождается болью.
Лечение
Вылечить рак на данном этапе практически невозможно. Лечение на четвертой стадии рака больше направлено на облегчение страданий больного, поскольку любой вид терапии, будь то хирургическая операция, радиотерапия или химиотерапия, уже не принесут исцеления. Так, например, оперируют в случаях, когда размер опухоли настолько большой, что способен сдавливать органы вокруг.
Рак 4 степени с метастазами

Рак 4-ой степени с метастазами в позвоночник?
- Зная нескольких человек, которые дожили до последней стадии рака, скажу, что максимум жизни отмерено им полгода. Причем лечение придется проводить на дому, так как больницы не любят принимать этих несчастных.
- Когда у бабушки обнаружили рак, пытались лечить, но врачи увидели метастазы и отпустили из больницы домой. Она прожила еще около двух месяцев. Причем с каждым днем становилось все хуже. Это ужасно видеть мучения близкого человека и не иметь возможность что-то сделать. Слава богу, до сильных уколов не дошло. Видеть это, просто мука. До сих пор перед глазами, хотя почти год прошел.Мужайтесь.
- Не слишком долго. Современное лечение его скорее всего быстрее убьт. Онкология — это не болезнь которая лечится какими-то внешними влияниями. Онкология — это болезнь иммунной(защитной) системы организма направленная на самоуничтожение этого организма. И поэтому, рак это болезнь, которая исчезает вместе с исчезновением каких-то внешних и/или внутренних факторов, которые привели к этому заболеванию.Рак излечивается(реально излечивается, а не приостанавливается), только в случае активного участия и желания самого больного в изменении своего образа жизни который, собственно, и привл его к этому заболеванию. Рак — это как-бы система самоуничтожения организма в текущих сложившихся условиях окружающей среды, образе жизни. Поэтому, больному раком, просто необходимо чтобы выздороветь, найти иные смыслы существования и изменить свой образ жизни.
- В новостях показывали человека, который рассказывал, что победил рак 4-й стадии с помощью соды и других средств.
- Очень часто, как бы не печально это звучало, но с раком 4 той степени, еще и с метастазами в другие органы, то продолжительности жизни измеряется в месяцах, обычно это не более полугода. Современный методы лечения, результатов не принесут уже при таком диагнозе, лучше не мучить человека химией, ухудшая общее состояние.
- Продлевать мучения не надо капельницами, сердечными, витаминами, а вот обезболивающие и успокаивающие средства надо давать а колоть обязательно, чтобы облегчить боли и состояние, пусть лучше человек больше спит и уйдт в лучший мир во сне.Эвтаназия у нас запрещена, поэтому постарайтесь не передозировать эти средства, но получать их больной должен обязательно. Срок жизни думаю небольшой, точно, не глядя, никто не скажет, вс зависит от состояния сердца.Редко редко, но бывают случаи самоизлечения даже при таких стадиях заболевания, конечно это чудо, но бывает.
- недолго точно,так как метостазы быстро размножаются по всему организма человека.Думаю жизнь продлить можно,но не надолго,лучше и гуманней как по мне будет отстутить человека в мир иной,так как при раке смерть весьма мучительна.Помню тте повезло не дошло до вкалывания наркотина,раньше пала в кому и умерла.
- Диагноз не утешительный,все зависет насколько крепкое сердце.
- Зависит от восприимчивости вашего организма в химиотерапии и лучевому лечения (кстати, этот метод больше подходят для лечения рака молочной железы). Если вы нормально реагируете на лечение, вполне вероятно, что все еще впереди. Часто бывали случаи, когда жили намного дольше положенных 5 лет. Не отчаивайтесь! Берите от жизни все!
Сколько можно прожить при метастазирующем раке желудка 4 стадии
Все раковые опухоли имеют одну схожую черту – выявляются они крайне поздно, что и является основной причиной высокой летальности. То же касается и такой патологии, как рак желудка 4 стадия.
На этом этапе патология имеет свои особенности течения и уже практически в ста процентах случаев является точно диагностированной.
Вот тут-то и возникает у пациентов резонный вопрос: сколько живут при раке желудка при условии, что уже имеются метастазы? Ответить на него можно только внимательно разобравшись с особенностями заболевания.
Зачастую рак желудка на 4й стадии имеет неблагоприятный прогноз
Причины патологии
Рак желудка 4 степени не является патологией, возникшей резко. Как правило, до этого момента проходит как минимум 6 месяцев, но чаще заболевание развивается в течение нескольких лет. Здесь важными факторами являются:
- качество жизни пациента;
- состояние иммунитета;
- наличие провоцирующих факторов;
- присутствие иных патологий.
Вредные привычки могут спровоцировать развитие рака желудка
Что касается причин рака желудка 4 стадии, то они выглядят точно так же, как и в остальных случаях. Важное значение здесь имеет уровень интоксикации организма. Сюда же можно отнести вредные привычки, в том числе и нерациональное питание.
Достаточно часто предшествуют появлению опухоли воспалительные процессы, дегенеративные и прочие изменения тканей. Именно по этой причине важно как только появились симптомы патологии, сразу обращаться к врачам.
Например, если вовремя выявить язву и провести ее полноценное лечение, можно не только снять симптомы патологии, но и существенно снизить риск развития злокачественной опухоли.
Симптоматика патологии
Как правило, на четвертой стадии патология уже диагностированная. Но прогноз зависит от многих факторов. Поэтому важно вовремя начать лечение, а для этого следует знать, как проявляется последняя стадия патологии.
Появление опухоли в желудке сопровождается болевыми ощущениями
Симптомы практически всегда являются выраженными:
- Боль – она всегда присутствует у больных с данной патологией. Количество болевых приступов зависит от положения образования. Если при раке желудка узел растет внутрь органа, то боли возникают на более поздних стадиях. Если же образование прорастает стенки и быстро выходит за его пределы, боли появляются значительно раньше. При этом значение имеет вовлечение соседних органов. Если поражена поджелудочная железа, боли будут опоясывающими. При вовлечении ДПК или желчного пузыря присоединяются неприятные ощущения в подреберье.
- Тошнота и рвота – при раке тошнота появляется уже на второй стадии. У многих пациентов это первый признак патологии. Но чаще симптомы наблюдаются тогда, когда сильно меняется функция органа, а именно на третьей стадии. На четвертой же присоединяется рвота, причем часто она имеет примеси крови, так как ткани образования уже начинают разрушаться.
- Нарушение аппетита – из-за того, что опухоль нарушает функцию органа и постоянно беспокоит тошнота, появляется выраженное нарушение аппетита. Пациент полностью отказываются от еды и ограничивается киселями, компотами и чаем.
У пациентов с раком желудка отмечается ухудшение аппетита
- Нарушения стула – как правило, данный симптом объясняется тем, что патология вовлекает ткани кишечника. Там могут располагаться метастазы. Кроме того, измененная форма желудка может нарушить кишечную проходимость. Важное учесть и то, что при раке желудка симптомы диспепсии будут провоцироваться нарушением всасывающей способности органа.
Помимо перечисленного, отмечаются и общие симптомы. Это могут быть выраженная слабость, постоянные головные боли, отсутствие интереса к жизни и так далее. Все это связано, в первую очередь, с интоксикацией организма.
Также значение имеет и то, что при наличии любой раковой опухоли наблюдается изменение гормонального фона, что сказывается на общем самочувствии.
Немаловажное значение имеет и то, что организм недополучает питательных веществ, что вызывает истощение нервной системы.
Метастазирующий рак желудка вызывает нарушения стула
Особенности диагностики
Прежде чем составлять прогноз при патологии или подбирать лечение, важно точно поставить диагноз. Для этого назначаются следующие виды исследования:
| Анализ крови | Отражает все состояния организма. | Любые отклонения в самочувствии. | По анализу крови можно определить наличие воспалительного процесса. СОЭ отражает степень интоксикации, то есть при раке будет всегда сильно завышенным. За счет биохимии удается определить степень вовлечения соседних органов и нарушение их функции. |
| Анализ кала | Простота выполнения. | Нарушения функции органов пищеварения. | Помогает определить функцию кишечника и желудка, степень переваривания пищи и, что самое важное, наличие скрытой крови. |
| ФГДС | Высокая информативность | Нарушения в функции желудка. | Позволяет определить состояние желудка, осмотреть слизистую, размеры образования, его локализацию, а также взять ткани на биопсию. |
| Рентген | Простота выполнения. | Подозрения на дефекты стенки органа. | За счет применения контрастного вещества дает возможность получить четкие очертания желудка. |
| УЗИ | Мгновенный результат. | Любые отклонения в работе системы. | Исследования простое и быстро дающее результаты. Помогает осмотреть все органы без исключения и вовремя выявить метастазы. |
Только после проведения полного обследования назначается лечение рака желудка.
Особенности терапии и прогноз
Только после того, как будут оценены симптомы патологии и поставлен точный диагноз, можно переходить к рассуждению о том, сколько живут с раком желудка. Исход патологии в большинстве неблагоприятный, но во многом он зависит от тактики врачей.
Как правило, операция на данной стадии не выполняется. Исключения составляют ситуации, когда опухоль нарушает функцию органа и вызывает сильные боли. В таком случае для того, чтобы снять симптомы, выполняется паллиативная операция, заключающаяся в удалении части образования.
Метастазы 4 степени

Злокачественная опухоль, чаще имеющая название «рак», образуется посредством деления аномальных (раковых) клеток. Такое новообразование способно прорастать в различные ткани органы. В конечном итоге, клетки опухоли достигают лимфатической или кровеносной системы и разносятся по всему организму. Так образуются метастазы.
Метастазы 4 степени, что это?
Медицине известно большинство случаев, когда метастазы 4 степени рака уже сформировались. Но иногда они появляются гораздо раньше.
Некоторые отличия злокачественных новообразований 4 степени от других:
– сопровождаются лихорадками; – пациент чувствует непроходящую боль, причем она усиливается в ночное время; – пациентом чувствуется постоянная усталость; – отсутствует аппетит, что приводит к снижению массы тела; – сопровождаются кровотечениями; – нарушается функция выделительной системы;
– появляется кашель.
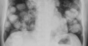
Метастазы 4 степени обычно поражают такие органы, как печень, кости и мозг.
Самые распространенные формы рака 4 степени:
1. рак легких; 2. рак печени; 3. рак позвоночника; 4. рак кишечника;
5. рак легких.
Такое новообразование бывает мелкоклеточной и немелкоклеточной формы. Особенно опасным считается мелкоклеточное, так как оно хуже поддается лечению.
Злокачественная опухоль рака легких обычно обнаруживается уже на 4 стадии, тогда, когда вылечить ее практически невозможно. В таком случае можно только обеспечить продолжительность жизни заболевшего.
Рак печени
Эта форма рака является одной из самых страшных. Дело в том, что печень, пораженная опухолью, не выполняет свои прямые функции, что отравляет организм в целом. Основные симптомы рака печени:
– боли в правом боку и животе; – отсутствие аппетита;
– рвота.
Важно! Метастазы при этой форме рака чаще всего находятся в головном мозге.
Рак позвоночника
опасность рака позвоночника в том, что его спутать с любыми другими заболеваниями спины, так как они имеют весьма схожие симптомы.
Основные симптомы:
– боли в спине; – слабость в мышцах; – паралич;
– трудности с передвижением.
При данных симптомах специалисты рекомендуют незамедлительно пройти диагностику. Ведь только с помощью диагностических мер можно выявить подобное заболевание.
Рак кишечника
4 степень метастаз такой формы рака лечению не поддается, но данное заболевание успешно лечится на более ранних стадиях. Часто при подобной форме рака не бывает особенных симптомов, поэтому необходимо пройти обследование, если:
– наблюдается резкое снижение веса; – наблюдается отсутствие аппетита; – наблюдаются боли в животе; – человек чувствует слабость;
– часто без причины повышается температура тела.
Выживаемость при таком заболевании 4 степени крайне низкая.
Для того чтобы избежать настолько запущенного заболевания, необходимо регулярно проходить медицинские обследования, сдавать общие анализы крови и мочи, а так же проходить флюрографию.
В случае обнаружения тревожных признаков, врачи используют для диагностики маркеры для выявления злокачественной опухоли.
Способы лечения 4 степени злокачественного новообразования.
– хирургический метод; – химиотерапия; – иммунотерапия;
– лучевая терапия.
Очень часто больные прибегают к средствам народной медицины для лечения рака. Но врачи скептически настроены к таким методам. Тем более, ни одно исследование не доказало их результативность.