Здравствуйте, уважаемые читатели. Пришло время поговорить о том, как лечат кариес у детей. Эта проблема может возникнуть и у грудничка, и у малыша в 5 лет. Некоторые родители, не считают нужным подавать ребенка лишнему стрессу и лечить молочные зубы. В этой статье мы поговорим о необходимости данной процедуры, о возможных осложнениях и о методах профилактики. Также рассмотрим причины, провоцирующие кариес, характерную симптоматику и диагностику.
Виды кариеса
Классификация данного недуга основывается на глубине, локализации поражения и интенсивности болезненных ощущений.
Различают: кариес на молочных зубках и постоянных (может встречаться у детей, достигших 5 лет).
Основываясь на глубине распространения различают:
- Начальная стадия заболевания — на поверхности зубов появляются белые пятна, разного размера. В этот период у малыша еще отсутствуют болевые ощущения. Если не начнется лечение, то данные пятна будут постепенно темнеть, в итоге станут черными.
- Поверхностная стадия характеризуется поверхностными повреждениями тканей зуба. Ребенок начинает испытывать боль, как правило, при употреблении сладостей или чего-то кислого, соленого.
- Средняя стадия. Сопровождается интенсивной болью, ускоренно поражается дентин и эмаль зуба.
- Глубокая степень. Является самой опасной стадией. На данном этапе происходит поражение большинства внутренних тканей, а также эмали зуба. О наличии такого состояния может свидетельствовать полный отказ от пищи, капризность ребенка, боль постоянного характера.
Рассматривают первичный и вторичный кариес. В случае с первым болезнь возникает впервые, что касается второго — наблюдается рецидив заболевания. Бывают случаи, когда кариес развивается под пломбой, при этом он называется внутренним.
По скорости развития различают:
- компенсированный — течение болезни замедленное, иногда может и совсем тормозить;
- субкомпенсированный — развивается постепенно, родители могут продолжительное время не замечать его появление;
- декомпенсированный – быстрый процесс деструкции поверхности зуба, сопровождается характерными симптомами, сильной болезненностью и невозможностью пережевывать пищу.
Основываясь на месте локализации различают:
- фиссурный — возникает в углублениях на поверхности зуба;
- циркулярный — поражает ткани зубов по периферии, в районе десен;
- апроксимальный кариес — поражает верхнюю часть зубов, лежащих на противоположной челюсти, то есть тех, с которыми соприкасается первично инфицированный зуб;
- пришеечный — возникает на месте соединения десны и коронки.
Основываясь на том, сколько зубов повреждены, различают:
- генерализованный — подвержена большая часть зубов;
- множественный — обнаруживается на нескольких зубах;
- единичный — зона поражения лишь на одном зубике.
Кариес молочных зубов у детей — распространенная проблема, с которой сталкиваются многие родители. Врачи отмечают, что основными причинами его появления являются неправильное питание, недостаточная гигиена полости рта и частое употребление сладостей. Молочные зубы более подвержены кариесу из-за их структуры и меньшей минерализации по сравнению с постоянными.
Лечение кариеса у детей требует особого подхода. Врачи рекомендуют проводить регулярные осмотры у стоматолога, чтобы выявить проблему на ранних стадиях. В зависимости от степени поражения, лечение может включать реминерализацию, пломбирование или, в крайних случаях, удаление зуба. Также важно обучать детей правильной гигиене полости рта и формировать здоровые привычки в питании, чтобы предотвратить повторное возникновение кариеса.

Особенности у детей
- Важно понимать, что у малышей низкая степень минерализации зубов. В отличии от взрослых, присутствуют широкие канальцы дентина. Активность пульпы низкая. Все это способствует ускоренному развитию кариеса.
- В результате инфекционных процессов в организме, у карапуза может развиваться кариес.
- У карапузов встречается больше форм проявления этого заболевания. В отличие от взрослых присутствуют поверхностный и циркулярный.
- Болезнь может возникнуть даже у самых маленьких, вскорости после появления первого зуба.
- Для карапузов характерно множественное поражение. Кариес возникает не на одном зубе, а сразу на десяти и больше.
- У деток наличие даже серьезных дефектов зубной ткани может не вызывать никаких симптомов.
У нас, как и у любого малыша появлялся кариес, причём неоднократно. Хочу отметить, что первоначальный опыт с кабинетом стоматолога (в государственной поликлинике) был очень неприятным. Меня сильно разозлило то, как врачи грубо обращаются с маленькими пациентами и отказывается одевать перчатки. Я, конечно, контролировала процесс и следила за тем, чтобы к моему ребенку относились с уважением, и заставила врача натянуть стерильные перчатки, которые заранее были мной куплены. Результат этого лечения — развитие воспаления под пломбой. В эту поликлинику мы не стали возвращаться, повела сына в платную. Условия и отношение несравнимо. К тому же для сына включили его любимый мультфильм, что тоже порадовало. Когда мы попали на первый прием, оказалось, что малыш не правильно чистит зубы, в смысле, и я тоже неправильно это делала. Стоматолог показал на примере макета, какими движениями должна проводиться очистка ротовой полости. Хоть я водила сына дважды в год в кабинет стоматолога, кариес все равно успевал сформироваться. Как говорил наш доктор, это из-за чрезмерной любви к сладостям и постоянные проблемы с нежеланием чистки зубов.
Кариес и грудное вскармливание
Мамино молоко оказывает благоприятное влияние, является хорошим средством профилактики, предотвращает развитие кариеса. Необходимо знать, что в состав грудного молока входят специфические иммуноглобулины, обладающие защитной функцией, которые успешно подавляют всю жизнедеятельность бактерий. Если мама вскармливает своего малыша дольше, чем полтора года, у него в организме возрастает уровень лактоферрина, белка убивающего патогенные микроорганизмы. Важно, что малыш получает ценные вещества с маминым молоком, к тому же в такой форме, которая является легко усваиваемой для детского организма. Таким образом, грудное вскармливание благоприятно влияет на укрепление эмали зуба, минерализацию тканей.
Кариес молочных зубов у детей — распространенная проблема, о которой говорят многие родители. Причины его появления могут быть разнообразными: неправильное питание, недостаточная гигиена полости рта и частое употребление сладостей. Многие родители не придают значения состоянию молочных зубов, считая, что они все равно выпадут. Однако это заблуждение, так как кариес может привести к болям, инфекциям и даже повлиять на формирование постоянных зубов.
Лечение кариеса у детей требует особого подхода. Важно не только устранить проблему, но и объяснить ребенку, как правильно заботиться о зубах. Врач-стоматолог может предложить различные методы лечения, включая пломбирование и фторирование. Также стоит обратить внимание на профилактику: регулярные визиты к стоматологу, правильное питание и ежедневная гигиена помогут избежать кариеса в будущем. Забота о молочных зубах — это залог здоровья всей зубочелюстной системы ребенка.

Нужно лечить
- Проблема многих молодых родителей в том, что они несерьезно относятся к появлению изменений на молочных зубах у ребенка. Мама может посчитать, что нет необходимости лечить зубы сыну 4 лет, если они итак сменятся постоянными. Однако, она не знает, что бактерии, провоцирующие кариес могут нанести вред всему организму малыша, а последствия данного недуга могут быть достаточно серьезными.
- Мама должна понимать, кариес — инфекционный недуг. Микроорганизмы из ротовой полости во время глотания проникают в органы пищеварения, что приводит к возникновению отклонений в их функционировании. Кроме того, пораженные зубы становятся достаточно чувствительными к изменениям температуры еды, так малыш будет остро реагировать на холодный или горячий продукт. Из-за боли ребенок начнет отказываться от приема пищи. Считается, что карапуз, страдающий зубной болью, начинает отставать в развитии.
- Важно понимать, что отсутствие лечения приведет к тому, что инфекционный процесс затронет зачатки коренных зубов. К тому же, запущенный кариес приводит к преждевременному удалению молочного зубика, что приведет к развитию неправильного прикуса.
- И не стоит забывать о том, что запущенный зуб может начать разрушаться, воспаление перейдет на корни — у малыша будет невыносимая боль.
Причины

Важно знать, что послужило фактором развития кариеса, для того, чтобы в следующий раз иметь возможность предупредить данный процесс. Существуют разнообразные причины кариеса у детей, давайте ознакомимся с основными.
- Наследственная предрасположенность.
- Нездоровый образ жизни, неправильное питание будущей мамочки. Необходимо помнить, что зачатки зубов формируются еще в период внутриутробного развития.
- Передача кариозных микробов от родителя ребенку при поцелуе или использовании одинаковой посуды.
- Отсутствие твердой пищи в рационе ребенка не позволяет естественным способом очищать поверхность зубов.
- Недостаток в организме кальция, ответственного за зубную эмаль (ее укрепление).
- Низкая степень минерализации молочных зубов.
- Запоздалое отучение от соски.
- Наличие такой патологии, как рахит влияет на ускоренное разрушение зубных тканей.
- Ферментативный состав слюны может оказывать негативное влияние на эмаль зубов.
- Аномалия прикуса и зубного ряда.
- Отсутствие гигиены ротовой полости.
- Повышенное содержание фтора в продуктах и питьевой воде.
- Переизбыток в рационе ребенка углеводсодержащих продуктов приводит к усиленному размножению бактерий, в процессе распада последних образовывается органическая кислота, повреждающая эмаль зуба.
- У грудничков чаще всего встречается бутылочный кариес, возникающий из-за того, что малыш засыпает с бутылочкой в ротовой полости.
- Если мама при вынашивании беременности перенесла тяжелое заболевание или вынуждена была принимать медикаменты, особенно это касается первого триместра, то высока вероятность, что нарушится правильное развитие зубов, которые в этот период начинают формироваться.
- Возникновение кариеса у малыша младше 3 лет чаще всего обусловлено действием медикаментов или наличием хронических патологий. Очень важно, чтобы дети в таком возрасте не увлекались перекусами, в частности сладостями, это негативно влияет на зубки.
Симптомы
Как вовремя определить, что у малыша кариес? Иногда процесс протекает незаметно, и родители узнают про болезнь, когда она находится в достаточно запущенном состоянии.
- Возникновение пятен белого цвета на поверхности зуба, что приводит к изменению однородной окраски.
- Болезненность во время пережевывания пищи, острая реакция на холодное или горячее, кислое, соленое.
- Плохой запах изо рта.
- Появление кратерообразных полостей.
Важно, что на ранних стадиях болезнь протекает бессимптомно и весь комплекс признаков присутствуют лишь при самом запущенном этапе болезни. Поэтому так важно посещать стоматологический кабинет дважды в год, недожидаясь возникновения болевых ощущений у ребенка.
Если рассматривать кариес зубов у детей раннего возраста, можно выделить бутылочный и пришеечный тип. У деток до 3 лет микроорганизмы активно вредят пришеечной зоне клыков и резцов на верхней челюсти, при этом нижняя челюсть остается нетронутой в связи с тем, что во время сосания груди или кормления из бутылочки, зубы расположенные снизу, очищаются естественным путем (языком).
Признаки пришеечного кариеса:
- локализация поражения при основании десен;
- отсутствует повышенная чувствительность;
- вследствие истончения эмали происходит изменение цвета пораженного участка;
- происходит увеличение пятна, что приводит к образованию отверстия в полости зуба, возникает сильная боль;
- в начале заболевания заметить какие-либо изменения сможет только специалист.
Признаки бутылочного кариеса:
- возникновение налета на верхних клыках и резцах;
- происходит поражение сразу двух и более зубов;
- характерен желтоватый или белесый оттенок пятен;
- имеет место множественный характер;
- у малыша повышенная чувствительность;
- очаги локализуются в районе шейки зуба;
- по мере прогрессирования заболевания, окраска пятен будет меняться в темно-коричневый;
- у малыша наблюдаются болезненные ощущения, контактируя с пищей разной температуры или химического состава.
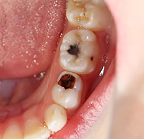
О том, как проявляется кариес у детей, фото этого заболевания:
Диагностика
Чтобы провести диагностику заболевания на ранней стадии, зачастую незаметной для обычного глаза, могут проводить такие процедуры:
- осмотр специалистом полости рта карапуза с применением зеркала и зонда;
- рентген, который позволяет осмотреть начальную стадию кариеса;
- трансиллюминация — производится просвечивания зубиков малыша;
- фотополимеризационная;
- электроодонтометрия — болевой симптом определяется с использованием тока слабого разряда;
- высушивание — метод диагностики ранней стадии заболевания;
- витальное окрашивание — на зуб наносится синька, зоны поражения окрашиваются в синий цвет;
- люминесцентная стоматоскопия — диагностика проводится ультрафиолетовым излучением. При этом, здоровые участки окрашиваются в синей оттенок, а пораженные – в темный.
Возможные осложнения
Если кариес своевременно не лечить, это может привести к появлению серьезных последствий.
- У ребенка может развиться флюс.
- Возникновение периодонтита. Происходит воспаление близлежащих тканей, может приводить к абсолютной гибели зачатка постоянного зуба. Такой случай и станет ответом для родителей, у которых возник вопрос «почему зуб выпал, а новый не растет».
- Если зубы не лечить, может начаться обширный инфекционный процесс, который приведет зуб к такому состоянию, что его нужно будет удалять. Из-за преждевременного удаления появится высокая вероятность нарушения прикуса, и даже отклонений в развитии челюсти.
- Если у малыша будет болеть или вовсе вырвут зуб — это приведет к проблемам с пережевыванием пищи, что в свою очередь вызовет нарушение процесса пищеварения.
Лечение
Важно, чтобы родители малыша осознавали необходимость медицинских процедур даже при заболевании молочных зубов. К тому же, нужно понимать, чем раньше вы обратитесь к стоматологу, тем менее болезненным будет препарирование.
Если вы впервые отправляетесь на прием к врачу, позаботьтесь о том, чтобы это был хороший специалист, любящий детей. Важно, чтобы малыш не испугался, нормально воспринял этого доктора.
Процесс лечения в себя включает:
- проведение анестезии в два этапа наносится гель на слизистую, после делается инъекция;
- после того, как подействовал местный наркоз, начинается сверление полости, затрагиваемой кариесом, если уже нельзя применить другой способ.
Родители должны понимать, что метод предполагаемого лечения зависит от стадии развития заболевания:
Если наблюдаются начальный этап болезни, то ребенку предложат:
- серебрение. Популярен среди малышей до 3 лет. Серебро оказывает антибактериальное действие, способствует предотвращению разрушения эмали. Процедура проводится нанесением нитрата серебра на ватный шарик, с последующей обработкой зубов. Однако, нужно учитывать, что при проведении этой процедуры, зуб окрашивается в черный цвет.
- терапия реминерализации. Являет собой проникновение препаратов кальция в структуру зуба, при этом восстанавливается кристаллическая решетка. Существует большое разнообразие средств этого направление, поэтому препарат подбирается индивидуально под каждого ребенка в зависимости от его возраста, особенностей течения заболевания и уровня его интенсивности. Сложность в том, что курс лечения продолжительный, посещение стоматолога проводятся ежедневно. Малышу нужно находиться под наблюдением, потому как большое количество фтора в организме может привести к серьезному отравлению.
Если у ребенка присутствует средний или глубокий кариес то, как правило, используют варианты классического препарирования с дальнейшим пломбированием. Однако есть и альтернатива:
- препарирование бормашиной — происходит сверление наконечником на достаточно низких оборотах, после чего производится водяное охлаждение;
- арт-методика — используются ручные инструменты для удаления различных тканей. Данный способ является весьма безболезненным;
- лазерное препарирование — данный метод удобен в использовании, действие направлено исключительно на пораженный участок зуба, также не вызывает болевых ощущений;
- озонирование — происходит питание тканей озоном, что помогает активно бороться с микроорганизмами;
- депофорез — активные вещества проникают внутрь зубных тканей под воздействием электрического тока.
При запущенном состоянии зуб может не поддаваться лечению, придется его удалить.
Нужно знать, что для процедуры пломбирования используются композиты, стеклоиономерные цементы, компомеры и герметики. Большой популярностью у маленьких детей пользуются компомеры, которые представляет собой пломбы разных цветов. Малыш с интересом выбирает понравившуюся краску, а потом с удовольствием демонстрирует новую пломбу своим друзьям.
Помощь дома
- Наряду с медицинскими действиями в кабинете стоматолога важно проводить терапию в домашних условиях. Врач назначит специальный ополаскиватель или детскую зубную пасту, обладающую противокариозным эффектом.
- Если речь идет о ребенке, которому еще нет 4 лет, то данное средство необходимо подбирать без содержания фтора. В таком возрасте правильным будет применение ионов активного кальция, также антибактериальных компонентов. Важно, чтобы малыш полоскал ротик после каждого приема пищи, только при том условии, что он справляется с данной процедурой.
- Карапузу, которому больше 2 лет, могут назначить полоскание ротовой полости:
- слабым раствором морской соли (на стакан теплой воды ложиться чайная ложка);
- настоем аптечной ромашки (для приготовления необходима столовая ложка сушеного растения на стакан кипяченой воды; раствор настраивается в течение получаса);
- отваром шалфея (для приготовления необходимо на стакан горячей воды всыпать столовую ложку измельченного сухого растения).
Профилактика
Важно с детства приучать ребенка беречь свои зубки. Что же можно сделать, чтобы снизить риск возникновения кариеса.
- Соблюдение гигиены. Очень важно чистить зубы с самого младшего возраста. Поначалу это делает мама с использованием специальных приспособлений, затем она приучает ребенка к детской зубной щетке.
- После каждого употребления еды, нужно ополаскивать ротовую полость.
- Нужно снизить потребление углеводсодержащих продуктов.
- При нехватке фтора, назначаются специальные препараты, рекомендуется применение фторированной воды.
- Ежедневно в рационе малыша должны присутствовать твердые продукты, например, морковка и яблоко. Они будут оказывать благоприятное влияние на состояние зубов, а также десен. Кроме того, жевание твердой пищи положительно влияет на нейтрализацию кислоты, содержащейся в ротовой полости, тем самым предотвращает развитие кариозных микроорганизмов.
- Важно приходить на консультацию к стоматологу не реже, чем дважды в год.
Теперь вы знаете, что собой представляет такое состояние, как кариес у детей. Помните о необходимости проведения медицинских процедур у детей любого возраста при наличии любых изменений в структуре зуба. Позаботьтесь о том, чтоб малыш не боялся встречи со стоматологом, нормально к этому относился. Уделяйте больше времени профилактическим мероприятиям, ведь всегда проще следовать особым правилам, чем потом мучать ребенка видом бормашины.
Вопрос-ответ
Как лечить кариес молочных зубов у детей?
Лечение кариеса у детей раннего возраста осуществляется без сверления щадящими методами: фторированием и методом инфильтрации (препаратом Icon). Для удаления глубокого кариеса у детей до 3 лет применяют пломбирование стеклоиономерным цементом или фотополимерным композитом, обычно под общим наркозом или седацией.
От чего появляется кариес на молочных зубах?
Кариес молочных зубов часто возникает из-за неправильного рациона, богатого сахарами и углеводами. Когда ребенок употребляет сладкие продукты или напитки, бактерии, находящиеся в полости рта, начинают перерабатывать сахара в кислоты. Эти кислоты постепенно разрушают эмаль зубов, что и приводит к образованию кариеса.
Как остановить кариес на молочном зубе?
Стоматолог очищает пораженную поверхность и обрабатывает ее 30% раствором нитрата серебра, после чего образуется защитная пленка, которая препятствует дальнейшему развитию кариеса. Процедура занимает всего несколько минут и абсолютно безболезненна, и не токсична для малыша. Реминерализация.
Каковы причины появления кариеса у детей?
Кариес у детей возникает в результате сочетания нескольких факторов: недостаточной гигиены полости рта, потребления сахара и углеводов, которые способствуют размножению бактерий, а также недостатка фтора, который укрепляет зубную эмаль. Кроме того, анатомические особенности зубов, такие как глубокие fissures, могут увеличивать риск кариеса, особенно если родители не следят за регулярной чисткой зубов у детей.
Советы
СОВЕТ №1
Регулярно проводите гигиену полости рта у ребенка. Чистите зубы дважды в день с использованием фторсодержащей зубной пасты, начиная с появления первых зубов. Это поможет предотвратить образование кариеса и укрепить эмаль.
СОВЕТ №2
Обратите внимание на рацион питания ребенка. Ограничьте потребление сладостей и кислых напитков, которые могут способствовать развитию кариеса. Включайте в меню больше овощей, фруктов и молочных продуктов, которые способствуют укреплению зубов.
СОВЕТ №3
Регулярно посещайте стоматолога для профилактических осмотров. Это поможет выявить проблемы на ранних стадиях и предотвратить развитие кариеса. Стоматолог также сможет дать рекомендации по уходу за зубами в зависимости от индивидуальных особенностей вашего ребенка.
СОВЕТ №4
Обучайте ребенка правильным привычкам ухода за зубами. Объясните, как важно чистить зубы и заботиться о здоровье полости рта. Сделайте процесс чистки зубов увлекательным, используя специальные детские щетки и пасты с приятными вкусами.










