Узи мочевого пузыря у мужчин

Для диагностирования заболеваний мочевыделительной системы используется множество методик. Одно из первых мест среди них отдано ультразвуковой диагностике, которая назначается для исследования органов мочевыделения, мужской половой сферы. Перед проведением Узи мочевого пузыря у мужчин необходима подготовка, которая поможет получить наиболее точный результат.
Виды диагностики
Исследование мочевого пузыря у мужчин делается следующими способами:
- Трансабдоминально. Исследование данным методом проводится через брюшную стенку. Позволяет диагностировать заболевания мочевого пузыря, простаты.
- Трансректально. Диагностирование проводят через анальное отверстие при помощи специального ультразвукового датчика. Данный вид позволяет определить наличие связи между патологиями предстательной железы и мочевым пузырем. С его помощью возможно контролировать количество остаточной мочи. Позволяет провести биопсию.
- Трансуретрально. Проводится в исключительных случаях. Выявляет взаимосвязь между мочеиспускательным каналом и мочевым пузырем. Делается при помощи уретрального датчика. Это довольно болезненная процедура, которая производится путем местного обезболивания. Путем его проведения имеется риск повреждения уретры.
Показания для исследования
Врачом-урологом производится исследование при наличии следующих показателей:
- учащенного, болезненного мочеиспускания;
- наличие различных примесей, осадков в моче;
- задержке мочеиспускания;
- при подозрении на МКБ;
- резких болей тянущего характера в нижней области живота.
Кроме того, исследование ультразвуком назначается после следующих оперативных вмешательств: после удаления опухолевых новообразований мочевого пузыря, дробления или удаления камней, удаления аденомы посредством мочевого пузыря, операции на мочеиспускательном канале, мочеточнике. УЗИ мочевого пузыря мужчинам назначают при наличии опухолей органа. Причем диагностика должна проводится как до начала терапии, так и после нее. Она позволяет выявить наличие метастаз.
Широко используется данный метод для дифференциации других заболеваний, которые имеют схожую клиническую картину. Среди них:
- воспаление предстательной железы;
- воспалительные процессы мочеточника;
- патологии почек.
Противопоказания
Для проведения исследования ультразвуком мочевого пузыря есть некоторые противопоказания, которые имеют связь с методом проведения диагностики.
Не показано проводить обследование органа трансабдоминальным способом при наличии недержания мочи, так как данное исследование проводится только при хорошем наполнении мочевого пузыря, избыточного веса (поскольку происходит затруднение сканирования подкожным жиром), поражении кожного покрова на исследовательской области, рубцов и швов на мочевом пузыре.
Трансректальная диагностика не проводится при воспалительных процессах прямой кишки, отсутствии прямой кишки, кишечной непроходимости, аллергической реакции на латекс. Трансуретральное исследование не делают при непереносимости медикаментозных средств, обладающих обезболивающим действием, воспалительных процессах мочеиспускательного канала.
Подготовительные мероприятия
Подготовка к исследованию также разнится в зависимости от вида проведения диагностики. Если процедура проводится трансабдоминально, то на нее следует приходить с наполненным мочевым пузырем и опустошенным кишечником.
Для этого необходимо в течение 2 часов выпить не менее 1 л чистой воды. Перед процедурой принять мочегонное средство, которое необходимо для ускоренного оттока почками мочи.
Диетическое питание ограничивает употребление:
Как подготовиться к УЗИ мочевого пузыря?
- сырых овощей;
- соков;
- молочных продуктов;
- алкоголя;
- газированных напитков;
- свежей выпечки;
- бобовых;
- кофе.
Последний прием пищи должен приходиться не позднее, чем на 7 часов вечера. На диагностику необходимо прийти натощак. Также накануне следует поставить очищающую микроклизму.
Уменьшить число газов можно при помощи активированного угля, Эспумизана.
Подготовиться к трансректальному обследованию следует очищением кишечника, путем употребления мягкого слабительного средства на растительной основе, клизмы.
Если пациенту необходимо провести трансуретральное обследование, то, вследствие того, что оно проводится под введением анестезии, необходимо:
- исключить употребление любых алкогольных напитков, поскольку они могут непредсказуемым образом взаимодействовать с лекарственными средствами;
- утром принять легкий завтрак. В течение двух часов до процедуры необходимо исключить попадание никотина. Так как никотин в результате обезболивания способен привести к тошноте;
- предупредить врача о наличии аллергических реакций, болезней органов дыхания, сердечно-сосудистой системы.
Как проводится исследование
Если диагностика проводится трансабдоминально, то пациент ложится на кушетку с освобожденным от одежды животом. Врач водит ультразвуковым датчиком по кожному покрову, сканируя мочевой пузырь и близрасполагающиеся органы.
Для оценивания работы предстательной железы в ходе процедуры врач просит посетить туалет. Далее производится визуализация после опорожнения мочевого пузыря. Обычно процедура не занимает более 20 минут. При трансректальном УЗИ ультразвуковой зонд вводится в прямую кишку.
В ходе диагностики врач может попросить о смене расположения тела.
На датчик одевается презерватив с нанесенным гелем. В ходе проведения внутреннего обследования сокращается расстояние между мочевым пузырем и датчиком. Это позволяет детально рассмотреть орган.
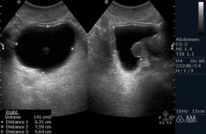
Нормальными показателями мочевого пузыря у мужчин являются:
- округлая форма с четкими и ровными контурами;
- эхогенная структура, которая меняется за счет возраста пациента. У пожилых людей и лиц, страдающих хроническими заболеваниями мочевого пузыря, наблюдается повышенная эхогенность;
- объем от 350 до 750 мл;
- толщина стенок варьируется от 2 до 4 мм. Это имеет связь с наполненностью органа. Если в каком-либо участке наблюдается утолщение или истончение, то это относится к разряду патологий;
- объем остаточной мочи не должен быть более 50 мл.
Диагностируемые патологии
В результате исследования возможно выставление следующих диагнозов:
- цистита;
- раковых новообразований;
- МКБ;
- присутствие инородного тела;
- сосудистых изменений;
- рефлюкс в виде обратного заброса урины в мочеточник из мочевого пузыря;
- воспаление;
- врожденные патологии;
- повышение функциональности;
- энурез;
- дивертикулы.
Патологические состояния на УЗИ аппарате выглядят утолщением стенок, которые превышают допустимые 5 мм. Это явления возникает при закрытом пространстве камнем или опухолью, паразитарных инвазиях, туберкулезе. Данное явление обычно сопровождает повышение допустимого объема остаточной мочи.
Увеличение органа происходит в результате перерастяжения органа уриной.
Чаще всего отток мочи затрудняется в результате гиперплазии предстательной железы (данное разрастание оказывает давление на уретру, что приводит к затруднению оттока мочи), патологий иннервации, камней и песка, клапанов в мочевыводящих путях.
Кроме увеличенных параметров, встречается уменьшение размеров мочевого пузыря. Чаще всего показателем этого является снижение объема остаточной урины. Причины данного явления кроются в паразитарных инвазиях на последней стадии, туберкулезе, последствиях хирургического вмешательства. При цистите диагностируется осадок в виде хлопьев, которые являются воспалительными клетками.
Повышение эхогенности органа встречается:
- при камнях;
- кистах;
- полипах;
- суженном размере мочеточника;
- новообразованиях.
Образования, которые вызывают повышение эхогенности, бывают подвижными, например, камни, и неподвижными – полипы. Новообразования, имеющие более плотную структуру, на аппарате видны светлыми пятнами, например, камни.
Полипы и кисты будут проявляться менее светлыми пятнами. К рефлюксу урины в мочеточник из мочевого пузыря, который может доходить до лоханок почек, приводит аномалия мочевыводящих путей, осадок и камни, новообразования.
В этом случае проводится допплерграфия, определяющая объем забрасываемой и остаточной мочи. Она обнаруживает направление тока, оценивает степень заболевания.
Ультразвуковое диагностирование мочевого пузыря позволяет определить множественные патологии в самом начале их развития.
Это безопасная методика, которая может проводиться не единожды для контролирования результата назначенного лечения.
Узи мочевого пузыря: что показывает, как делается у женщин и мужчин?

УЗИ мочевого пузыря — это один из самых распространенным методов диагностики. Популярность обоснована тем, что наполненный мочевой пузырь служит «окном» для УЗ-исследования органов малого таза.
Показания к исследованию
УЗИ мочевого пузыря проводят по ряду показаний, среди которых:
- дизурические расстройства (нарушения мочеиспускания);
- частые позывы на мочеиспускание;
- примеси в выделяемой моче (кровь, хлопья);
- затрудненное мочеиспускание, сопровождаемое болью;
- невозможность самостоятельного мочеиспускания;
- боли в надлобковой области.
Показанием к проведению УЗИ мочевого пузыря, является не только жалобы больного, но и контроль над терапией. При помощи диагностики отслеживают динамику течения болезни после операции. Оперативные вмешательства, контролируемые проведением УЗИ мочевого пузыря следующие:
- лечение онкологии (рак предстательной железы);
- цистолитотрипсия (дробление камней) или удаление камней;
- резекция аденомы простаты;
- операции на мочеточниках.
УЗИ мочевого пузыря позволяет врачу не только выявлять патологические состояния, но и осуществлять контроль над проводимой терапией
Зачастую, причиной жалоб пациента служит патология иных органов малого таза. Объяснение этому — близкое анатомическое расположение мочеточников, предстательной железы, маточных труб и матки. С помощью расшифровки результатов УЗИ мочевого пузыря можно поставить диагноз.
Способы диагностики мочевого пузыря
Выделает несколько методов обследования:
- Трансабдоминальное исследование. Делают в положении лежа на спине, диагностику осуществляют через брюшную стенку. Условие проведения исследования — наполненность мочевого пузыря. Абдоминальное УЗИ позволяет определить объем, размер, строение органа. Применяют у мужчин и женщин.
- Трансректальное исследование. Делается в положении на боку, исследуют орган с помощью введения датчика в прямую кишку. Методика предназначена для мужчин и девочек. Метод отличается высокой информативностью, по сравнению с трансабдоминальным.
- Трансвагинальное исследование. Способ применим у женщин. Проводят в положении лежа на спине, датчик вводят во влагалище. Преимущества способа: высокая информативность и отсутствие необходимости в предварительной подготовке. Трансвагинальный способ помогает определить заболевания репродуктивных органов у женщин.
- Трансуретральное исследование. Обследование проводится в положении лежа на спине, с введением датчика в уретру. Достоинствами метода является возможность оценки степени поражения уретры, визуализация мочеиспускательного канала. Недостатки трансуретрального УЗИ мочевого пузыря: обезболивание и риск осложнений (повреждение мочевыводящих путей датчиком). Метод используется редко из-за вышеперечисленных недостатков.
Трансректальное УЗИ предназначено для обследования мочевого пузыря у мужчин и девочек (трансвагинальное исследование назначают только тем женщинам, у которых уже были половые контакты)
Что показывает исследование?
В норме УЗИ мочевого пузыря (совместно с определением остаточной мочи) показывает:
- форму: грушевидная при наполненном пузыре и блюдцеобразная после мочеиспускания;
- структуру: эхонегативная (на экране монитора она представлена в виде темных оттенков);
- объем: от 250 до 550 мл. у женщин и от 350 до 750 мл. у мужчин;
- толщину стенки: от 2 до 4 мм.;
- наполнение: в норме, скорость наполнения составляет 50 мл. в час;
- объем остаточной мочи: не более 50 мл.
Признаки патологии на УЗИ-картине
Данные, получаемые на УЗИ обследовании представляют собой лишь предварительную информацию, на основе которой строится диагноз. Заключительный анализ данных диагностики может разниться в зависимости от качества аппаратуры, способа проведения сканирования, квалификации специалиста. Рассмотрим некоторые УЗИ-признаки патологических состояний.
Равномерное или очаговое утолщение стенок, при котором размеры превышают 5 мм., характеро для таких заболеваний как:
- закрытие просвета органа (опухоль, камень);
- паразитарные инвазии (например, поражение шистосомами);
- туберкулез мочевыводящих путей (появление на стенках туберкулезных гранулем).
Возможные причины затруднения оттока мочи:
- гиперплазия предстательной железы (патологическое разрастание: из-за анатомических особенностей простата сдавливает уретру и затрудняет отток мочи);
- патология иннервации органа;
- конкременты в мочевом пузыре (камни и осадок);
- клапаны мочевыводящих путей (чаще — патология у новорожденных).
Уменьшение нормальных размеров органа наблюдается вследствие врожденных аномалий или при последних стадиях неспецифических заболеваний мочевого пузыря. Основной показатель — это сниженный объем остаточной мочи. Возможные причины уменьшения размеров органа:
- паразитарная инвазия шистосомами в последней стадии;
- туберкулез, с частым проявление цистита;
- последствия оперативного вмешательства.
Во время УЗИ врач может выявить новообразования, инфекционные заболевания, наличие камней и хлопьев в полости мочевого пузыря
Осадок (хлопья) в мочевом пузыре наблюдается при цистите. Хлопья — это масса воспалительных клеток (клетки эпителия и лейкоциты). Зачастую, осадок образован солями (фосфатами), что является предпосылкой для развития мочекаменной болезни. При обследовании хлопья определяются как гиперэхогенные образования (т. е.в виде светлых пятен на темном фоне).
Образования повышенной эхогенности на УЗИ мочевого пузыря:
- камни;
- кисты или полипы;
- сужение просвета мочеточника;
- новообразования мочевыводящих путей.
Данные образования могут быть неподвижными (например, полипы, опухоли) или, напротив, подвижными (камни, хлопья). При расшифровке результатов учитывается, что степень эхогенности зависит от плотности тканей: чем она плотнее, тем светлее участки на УЗИ-картине. Например, максимально светлыми пятнами будут отображаться камни, а менее эхогенными (а значит, и менее светлыми) являются кисты.
Обратный заброс (рефлюкс) мочи из пузыря в мочеточники, который может достигать даже почечных лоханок. Состояния, приводящие к рефлюксу мочи:
- аномалии мочевыводящих путей;
- камни и хлопья (осадок) в полости мочевого пузыря;
- новообразования мочевыводящих путей.
При данном виде патологии УЗИ мочевого пузыря проводят совместно с допплерографией, которая позволяет определить количественный объем остаточной и забрасываемой мочи, направление её тока, а также позволяет оценить тяжесть заболевания. Объем диагностики определяет врач. Для точной постановки диагноза применяют не только УЗИ, а также лабораторные и инвазивные методы диагностики мочевыводящих путей.
Узи мочевого пузыря — эффективная методика обследования органа

Мочевой пузырь в организме человека служит резервуаром, где происходит накопление мочи, которую образуют почки. Для своевременного обнаружения возможных патологий используются различные виды обследований, среди них совершенно безопасным и эффективным является проведение ультразвукового исследования (УЗИ).
Для чего делают УЗИ и что можно определить
Осуществление процедуры УЗИ способствует выявлению широкого спектра отклонений в работе органа и оценке различных параметров:
- определению контуров, объема, размеров и толщины стенок рассматриваемого органа;
- установлению объема так называемой остаточной мочи;
- оценке работы мочеточников;
- своевременному обнаружению наличия новообразований;
- диагностированию мочекаменной болезни;
- выявлению патологий в развитии органа;
- нахождению очагов воспаления.
Так, при маленьких размерах органа врач может диагностировать фиброзирование стенок, хронические циститы. При увеличенном размере не исключено, что в мочевом пузыре находятся камни или развивается аденома простаты. После расшифровки данных они передаются специалисту узконаправленного профиля (урологи или нефролог), который и осуществляет постановку диагноза.
Стоит отметить, что проведение УЗИ рекомендуется даже при отсутствии явных признаков наличия заболеваний как минимум 1 раз в несколько лет, поскольку такая профилактика позволит избежать развития осложнений, начать лечение до перехода болезни в хроническую стадию.
Показатели нормы для мочевого пузыря
Мочевой пузырь выступает органом, способным к изменению своего размера в зависимости от того, насколько он наполнен. УЗИ мочевого пузыря способствует выявлению следующих параметров:
- Форма. Описание: мочевой пузырь может принимать различную форму, что зависит от того, какова степень его наполненности и в каком состоянии находятся расположенные рядом с ним органы. Например, у представительниц женского пола форма напрямую связана с расположением матки, родами (их числом), состоянием беременности.
- Структурное строение. Структура мочевого пузыря в нормальном состоянии должна быть эхонегативной. На такой параметр, как эхогенность, оказывает воздействие возрастной критерий: по мере старения она усиливается, если присутствуют воспалительные процессы хронического характера.
- Объем. Объем органа у представителей мужского пола несколько больше, чем у женщин и в среднем находится в границах 350-750 миллилитров. У представительниц женского пола эта величина варьируется в пределах 250-550 миллилитров. Не исключены значительные изменения данного параметра вследствие беременности, наличия опухолевых образований, патологий в изменении органов, находящихся в непосредственной близости, перенесенных операций и других факторов.
- Толщина стенок. Они формируются наружной фиброзной и внутренней слизистой оболочкой. Степень наполнения органа воздействует на толщину стенки, из-за чего она в среднем может достигать 2-4 миллиметров. При любом нарушении локального типа параметра, как правило, судят о возникновении патологии.
- Наполнение и опорожнение. Скорость наполнения в норме составляет не менее 50 миллилитров в час. При накоплении более 100 миллилитров мочи человек чувствует первые позывы к мочеиспусканию. Взрослый человек в день должен опорожнять мочевой пузырь не менее 4 раз, при этом в одном акте в норме выделяется 150-250 миллилитров мочи.
- Количество остатка мочи. Данный показатель не должен превышать 50 миллилитров согласно установленным нормам, обратная ситуация свидетельствует о возможном наличии отклонений в функционировании органа.
Расшифровка результатов ультразвукового исследования
Проведение УЗИ способствует выявлению симптомов, лежащих в основе для постановки первоначального диагноза. Информация, полученная в результате осуществления процедуры, может быть интерпретирована по-разному в зависимости от того, каким способом она проводилась. Также влияние оказывает квалификация специалиста.
При расшифровке УЗИ мочевого пузыря обращают внимание на наличие или отсутствие эхографических признаков, указывающих на поражение органа:
- Утолщения стенок. Стенку можно считать толстой при превышении ею толщины 4-5 миллиметров. При этом существует выделение равномерного или локального типа утолщения. Выявление этого симптома в большинстве случаев свидетельствует о наличии хронического цистита. Такое отклонение может привести к дивертикуле мочевого пузыря, его паразитарному поражению, туберкулезному поражению и прочим заболеваниям.
- Изменения размеров. Выражается в увеличении или наоборот, в уменьшении мочевого пузыря. Ситуация, при которой мочевой пузырь увеличивается в размере, указывает на его излишнее растяжение мочой. Это происходит, если в органе образуется скопление камней или опухоль, закупоривающие его и препятствующие оттеканию мочи, вследствие чего наблюдается ее накопление.
- Обратный процесс. Когда мочевой пузырь уменьшен в размере, возникает в результате шистосомоза на последней фазе развития, частых циститов, сопровождающихся туберкулезом, процедур по хирургическому вмешательству и химиотерапии. Процесс уменьшения размеров можно наблюдать, если есть врожденные аномалии или неспецифические поражения органа на последнем этапе развития.
- Воспалительного инфильтрата или наличия осадка. Такой симптом развивается вследствие острой фазы воспаления мочевого пузыря, то есть цистита. Под осадком или хлопьями, как он еще называется, понимается скопление воспаленных клеток, в состав которых входят эпителиальные клетки и лейкоциты. Реже осадок образуется кристаллами соли, оксалатами. Острый цистит сопровождается наличием подвижного осадка, местом локализации которого служит задняя стенка органа. УЗИ позволяет обнаружить этот симптом.
- Эхогенных образований. Представляет собой один из наиболее распространенных симптомов, наблюдаемых в результате УЗИ. Образования могут иметь как опухолевую, так и неопухолевую природу. Могут иметь как подвижный характер, так и примыкать к стенке органа. Вид образования на УЗИ определяется по их эхогенности, например, максимальной эхогенностью обладает камень, минимальной – киста.
- Рефлюкса мочи. Рефлюкс означает процесс заброса мочи в мочеточники. Наиболее тяжелые случаи приводят к ее забросу в лоханки почек. Возникновение такого симптома связано с различными патологиями при одновременной закупорке устьев мочеточников. Рефлюкс мочи образуется из-за врожденных аномалий, связанных с развитием уретры, функционированием мочевого пузыря; наличием инородных образований. Диагностирование этого симптома на УЗИ предполагает необходимость проведения повторного исследования с допплерографией с целью определения количества заброса мочи, направления ее тока. Кроме того, исследование позволит выявить одну из 5 степеней самого рефлюкса.
Как правильно подготовиться к УЗИ
Большое значение в диагностике имеет правильное выполнение всех подготовительных процедур перед прохождением исследования. Основным требованием подготовки к УЗИ являются одинаковыми как для мужчин так и для женщин.
Следует помнить, что должна быть наполненность исследуемого органа, для чего необходимо постараться воздерживаться от опорожнения и выпивать необходимое количество жидкости – около 2 литров за несколько часов до начала процедуры.
Также на подготовку к УЗИ мочевого пузыря оказывает влияние способ проведения исследования. Выделяют 4 основных метода.
Трансабдоминальный метод
При трансабдоминальном методе осуществления процедуры необходимо выполнение предварительных мероприятий, заключающихся в подготовке кишечника и наполнении мочевого пузыря. Для этого предписывается соблюдение специальной диеты в течение 1-2 дней до исследования.
Также рекомендуется исключение из рациона овощей и фруктов, не подвергавшихся термической обработке. Для снижения газов следует провести подготовку организма с помощью микроклизмы, глицериновой свечи, активированного угля или других лекарственных препаратов.
Необходимо подготовить и мочевой пузырь. Примерно за 4-5 часов до начала процедуры нужно пить 2-3 стакана воды и постараться воздержаться от посещения туалета. При задержке наполнения мочевого пузыря можно принять предписанные врачом мочегонные препараты.
Трансректальный метод
Трансректальный метод проведения УЗИ предполагает опорожнение прямой кишки. Можно выделить несколько способов подготовки, в том числе применение микроклизмы, глицериновых свечей, употребление слабительного, имеющего растительную основу.
Для использования микроклизмы необходимо наличие следующих предметов: шприца Жане, раствора, средства, чтобы смазать наконечник.
В качестве раствора можно приготовить ромашковый отвар или солевой раствор, добавить масло и подогреть непосредственно перед применением. Затем набрать раствор, смазать наконечник с помощью вазелина или какого-либо жирного крема.
Опорожнению кишечника способствует прием препаратов, обладающих слабительным действием, например, фитолакса, сенадексина, мукофалька и других.
Другие методы исследования
Трансвагинальный метод проведения УЗИ в качестве обязательного условия требует очищения кишечника. Наполнение органа не нужно.
Трансуретальный метод заключается в соблюдении подготовительных мер для обеспечения хорошей переносимости препарата. Так, перед исследованием на основе этого метода необходимо исключить употребление пищи в обильном количестве, спиртных напитков, табачных изделий.
Также рекомендуется заранее позаботиться о наличии определенных вещей:
- одноразовой пеленки или полотенца;
- салфетоки;
- презерватив;
- бахилы.
Как проходит процедура
Наиболее распространен трансабдоминальный метод осуществления исследования.
В первую очередь пациент ложится на кушетку. После освобождения низа живота от одежды следует процедура нанесения специального геля. Затем врачом прикладывается датчик на область, куда нанесен гель, и при оказании небольшого давления водится по животу для рассмотрения мочевого пузыря и органов, находящихся в непосредственной близости.
Длительность исследования составляет примерно 20 минут. После этого пациенту передается бланк с указанием итогов процедуры.
Противопоказания для исследования
В целом УЗИ нельзя проводить при наличии:
- ран;
- ожогов;
- пиодермии;
- герпеса;
- кожного туберкулеза;
- болезни Лайама;
- воспалительных процессов.
Поэтому перед осуществлением процедуры необходимо в обязательном порядке проконсультироваться с врачом для предотвращения возможных осложнений.
Узи диагностика: подготовка к исследованию мочевого пузыря

Ультразвуковое исследование мочевого пузыря — это безболезненный, не инвазивный метод аппаратной диагностики, позволяющий быстро получить информацию о наличии или отсутствии патологии. Метод применяется в случае подозрения на заболевания мочеполовой системы у женщин и мужчин, при этом имеется возможность одновременно получит данные о состоянии других органов мочеполовой системы.
Показания к назначению
Узи мочевого пузыря у мужчин и женщин проводится при наличии следующих симптомов и заболеваний:
- частые позывы к мочеиспусканию;
- хроническое воспаление мочевого пузыря;
- острая инфекция;
- ощущение неполного опорожнения;
- не типичный цвет мочи (например, наличие следов крови);
- боли и рези в надлобковой зоне;
- визуально определяемый осадок в моче;
- боль при мочеиспускании;
- имеющееся новообразование в области малого таза;
- при патологии почек.
Чаще всего пациент направляется на УЗИ после предъявления жалоб на проблемы с мочеиспусканием или нетипичное окрашивание мочи. Метод позволяет комплексно обследовать все органы, которые принимают участие в выведении жидкости из организма, не занимая большого количества времени, а также не нарушая целостности кожного покрова.
Подготовка к УЗИ
Как правильно подготовиться к диагностике? Для того, чтобы обследование было информативным и данные не были искажены, требуется определенная подготовка.
При проведении Узи мочевого пузыря большую роль имеет такая особенность органа, как его способность значительно уменьшаться в размерах в опорожненном состоянии.
Однако полый орган должен быть наполненным жидкостью на время диагностики — только так можно получить достоверную информацию о его размерах и состоянии.
Подготовка к исследованию не сложная. Подготовительные мероприятия сводятся к тому, что за 2 часа до назначенного времени необходимо выпить до 1,5 литров воды.
Узи мочевого пузыря ребенку также проводится при полной наполненности органа. Для этого надо выпить жидкость из расчета 5-10 мл на 1 кг веса.
Если ребенок отказывается пить воду, ее можно заменить любой другой жидкостью, не повышающей газообразование в кишечнике, например чай (нельзя использовать газированные напитки и молоко).
Для проведения УЗИ органов малого таза новорожденным подобные мероприятия не обязательны.
Если пациент склонен к метеоризму и вздутию, то за 2-3 дня до диагностики, необходимо убрать из рациона такие продукты, как бобовые, капусту, цитрусовые, молоко, лук, орехи, выпечку.
Как наполнить мочевой пузырь быстро? В случае, если УЗИ требуется провести в срочном порядке и на подготовку нет времени, то для обеспечения достоверного результата нужно выпить не менее 1 л жидкости и принять мочегонный препарат. Такие меры помогут наполнить мочевой пузырь быстро и тем самым обеспечить достоверность результата. Однако выполнять рекомендации можно лишь после согласования своих действий с лечащим врачом.
Проведение процедуры
Несмотря на частое использование этого метода исследования в медицинской практике, пациенты столкнувшись с таким назначение хотят предварительно знать как делается УЗИ и что ожидать в момент его проведения.
Прежде всего от пациента требуется соблюдение не сложных подготовительных мер, в частности необходимо убедиться в наполненности органа. Врач ультразвуковой диагностики проводит исследование трансабдоминальным путем.
Во время сеанса пациент лежит на кушетке в положении на спине (иногда требуются дополнительные измерения в положении на боку).
На датчик и обследуемую область наносят специальный гель, который улучшает проведение ультразвуковых волн и одновременно обеспечивает скольжение датчика. Средство гипоаллергенно, не имеет цвета и запаха, легко смывается с поверхности не оставляя следов.
Врач проводит осмотр и определенные замеры согласно протоколу, затем просит обследуемого сходить в туалет и повторно осуществляет манипуляцию, обследуя уже опустошенный орган.
Общее время процедуры — 10-20 минут. Часто пациенту назначают комплексное обследование включающее оценку состояния мочеточников и почек.
Трансабдоминальный доступ обследования
Значительно реже и при наличии сложной урологической патологии Узи мочевого пузыря ребенку или взрослому проводится трансректальным доступом.
Если врач назначает проведение диагностики трансректально, то помимо описанных советов, требуется еще и очистительная клизма в день проведения ультразвукового осмотра.
Обследование женщин проводится также на полный мочевой пузырь и при наличии определенных показаний может выполняться трансвагинально. Трансвагинальный доступ применим в случае имеющейся сопутствующей патологии со стороны матки, яичников и маточных труб, которые необходимо осмотреть в рамках комплексного обследования мочеполовой системы.
Достаточно новый, применяемый в андрологии трансуретральный или внутрипузырный способ диагностики проводят, проникая в полый орган через уретру специальным тонким датчиком. Такой метод позволяет получить точные данные, если есть необходимость:
- найти связь или отличить патологические процессы в области пузыря или мочеиспускательного канала (часто перед или после операции на предстательной железе);
- определить степень вовлечения в патологический процесс стенок канала и шейки мочевого пузыря;
- выявить наличие поражения соседних органов.
Существует методика, совмещающая Узи мочевого пузыря с допплерографией. Она применяется, при необходимости оценить параметры кровотока и состояние стенок сосудов кровоснабжающих органы малого таза.
УЗИ в режиме допплерометрии назначают для дифференциальной диагностики на наличие новообразования (опухоли), а также при развитии пузырно-мочеточникового рефлюкса (патология, при которой моча забрасывается из пузыря обратно в мочеточники).
Результаты исследования
Расшифровка Узи мочевого пузыря по результатам обследования иногда требует дополнительного привлечения узкого специалиста, с целью сопоставления УЗИ картины и анамнеза заболевания .
Что показывает диагностика? Ультразвуковое исследование полого органа позволяет оценить и измерить такие показатели:
- объем и форму;
- скорость наполнения;
- количество остаточной мочи;
- толщину стенок;
- структуру.
Мочевой пузырь на УЗИ определяется, как анэхогенная полость, выдающаяся из полости малого таза в наполненном состоянии. При показателях нормы, границы органа будут ровными, с симметричными поперечными срезами. Толщина стенок колеблется в зависимости от уровня наполненности (около 4 мм), однако должна быть равномерной и одинаковой во всех зонах.
После мочеиспускания орган осматривается повторно на наличие остаточной мочи — в норме её количество не должно превышать 50 мл, поэтому если она имеется, доктор фиксируют ее объем. После этого протокол обследования предусматривает осмотр мочеточников и почек.
Какие патологии можно выявить?
Узи мочевого пузыря позволяет выявить косвенные или прямые признаки заболевания:
- повышенная трабекулярность;
- изменение толщины стенки;
- ассиметричность стенок;
- внутренние кисты;
- новообразования в полости органа или у его основания.
Варианты локализации опухолей
Рассмотрим распространенные диагнозы, выявляемые на Узи мочевого пузыря.
Утолщение стенок органа по всей площади у мужчин чаще всего происходит из-за закупорки на уровне простаты. При таких изменениях требуется обследование почек и мочевыводящих путей, исключение гидронефроза.
В случае повышенной плотности стенок органа также необходимо удостоверится в отсутствии дивертикул (выступающих наружу образований). Визуализировать их можно в том случае, если размер дивертикула превышает 1 см в диаметре.
Такие образования эхогенны и проводят ультразвук.
Уплотнение стенок также может быть вызвано острым или хроническим воспалением пузыря или паразитозом. Шистосомы легко визуализируются в следствии повышенной эхогенности структур и наличия кальцинированных включений.
Сильно уплотненная трабекулярная стенка фиксируется при таких изменениях как:
- Нейрогенный мочевой пузырь (в сочетании с уретрогидронефрозом).
- Внешняя обструкция задним клапаном уретры (или урогенитальная диафрагма в педиатрии).
Локальное уплотнение стенок может трактоваться по разному и навести доктора на мысль о таких состояниях и заболеваниях как:
- развитие онкоклеток;
- недостаточное наполнение органа;
- паразитарное поражение пузыря;
- развитие туберкулеза;
- острая реакция на шистосомоз (диагностируется при проведении Узи мочевого пузыря ребенку);
- гематома после травмы.
Правильно интерпретировать результаты поможет доктор
Выявленные уплотнения или новообразования в области мочевого пузыря могут иметь разное происхождение и поэтому требуют квалифицированной дифференциальной диагностики с такими заболеваниями как:
- полип на ножке;
- уретроцеле (кистозное образование);
- камни, спаянные с поверхностью слизистой оболочки;
- увеличением матки у женщин;
- увеличением простаты у мужчин.
Также на УЗИ удается обнаружить не исходящие из органа, а подвижные эхогенные объекты. К ним относят:
- сгустки крови (тромбы);
- инородные тела;
- камни;
- воздух.
Чрезмерно растянутый и увеличенный мочевой пузырь указывает на проблемы связанные с:
- увеличением простаты; камнями или наличием стриктур мочеиспускательного канала у мужчин;
- травмой мочеиспускательного канала у женщин;
Если визуализируется маленький пузырь, это может свидетельствовать о такой патологии как:
- цистит;
- травма;
- перерождение мышечной ткани в фиброзную или онкопатологию.
В случае выявленной патологии бланк-заключение, как правило, сопровождается снимком на котором четко видны отклонения от нормы (если аппарат располагает такой функцией).
Обследование через прямую кишку у мужчин
Особенности методики у различных групп пациентов
Широкое распространение ультразвукового обследования объясняется не только своей доступностью и информативностью, но и отсутствием противопоказаний к проведению — метод применим всем, не зависимо от возраста и пола.
Пациентам женского пола
Как делается Узи мочевого пузыря у женщин? В арсенале врача имеется два способа — транвсагинальный и трансабдоминальный. Оба метода позволяют одновременно провести диагностику не только пузыря, но и почек, мочеточников и органов репродуктивной системы. Лактация и беременность не препятствуют проведению процедуры.
При обследовании органов малого таза у беременных важно проконсультироваться со специалистом — в некоторых случаях не рекомендовано обследовать женщину трансвагинально. К противопоказаниям применения такого вида УЗИ относят поздний срок беременности (существует вероятность спровоцировать схватки) и угроза прерывания беременности.
Пациентам мужского пола
УЗИ мочеполовой системы у мужчин осуществляется трансабдоминальным или трансректальным способом. Они позволяют попутно оценить анатомию и состояние предстательной железы, тем самым выявить очаги измененной ткани, уплотнения и новообразования.
Применение в педиатрии
Узи мочевого пузыря ребенку можно сделать в любом возрасте — противопоказаний к исследованию нет, его можно применять с самого рождения. При подготовке к диагностике, необходимо принять меры по наполнению пузыря лишь старшим детям. Для грудничков, которые не контролируют процесс мочеиспускания самостоятельно, такие меры не применяются.
- Обследование поможет выявить воспалительный процесс и аномалии развития органов мочеполовой системы.
- Узи мочевого пузыря у детей проводится трансабдоминально — такой способ абсолютно безболезненный и не приносит дискомфорта.
- Определить, какой вид УЗИ органов мочеполовой системы необходим в конкретном случае, может только специалист, который хорошо изучил историю болезни и располагает всей информацией о состоянии здоровья пациента.
УЗИ органов малого таза — одно из первых диагностических назначений, которое получает человек при жалобах на боль при мочеиспускании, или при изменении цвета мочи.
Обследование позволяет узнать все физические показатели мочевого пузыря, выявить аномальные изменения в нем, а также получить информацию о других органах малого таза — мочеточниках, почках, простате (у мужчин), яичниках и матке (у женщин).
Узи мочевого пузыря — подготовка
Но для того чтобы получить достоверную информацию и правильно ее интерпретировать необходимо правильно подготовиться. Если пациент не осведомлен о подготовке то, как правильно подготовиться к УЗИ мочевого пузыря ему расскажет его лечащий врач.
Узи мочевого пузыря у мужчин. эффективная диагностика

Лечение любого заболевания начинается с его диагностики. В диагностике различных заболеваний применяются всевозможные методы, ведь где-то будет достаточно всего лишь осмотра и опроса врача, а где-то потребуются исключительно передовые методы. Патологии мочеполовой системы сегодня не редкость и, хотя в большинстве ими страдают женщины, мужчины также могут заболеть.
Заболевания связанные с мочевым пузырем у мужчин часто доставляют множество проблем пациентам, особенно если больной, по каким-либо причинам, долгое время не обращался к врачу.
В качестве инструментальной диагностики у мужчин нередко применяют УЗИ простаты и мочевого пузыря, которое позволит быстро и эффективно диагностировать патологию.
Об узи
Ультразвуковые методы диагностики в настоящее время занимают одно из важнейших мест в медицине. Спектр заболеваний, который охватывает УЗИ, тяжело перечислить. Но причины, почему этот метод так популярен, будут освещены далее.
УЗИ является одним из относительно молодых методов диагностики, который достаточно быстро обрел широкое распространение не только во всем мире, но и во множестве отраслей медицины. Урологи, одни из тех врачей, для кого ультразвуковое исследование является одним из ключевых методов.
Такая популярность обусловлена несколькими факторами:
- Безопасность. Ультразвуковая диагностика мочевого пузыря у мужчин абсолютно безопасная для организма человека и не нанесет никакого вреда;
- Точность. Один из важнейших критериев всех диагностических методов, ведь как бы безопасен не был метод, при неэффективности его попросту не будут использовать. В случае с УЗИ, его широкое применение говорит само за себя в вопросе о точности;
- Безболезненность и неинвазивность. Когда выполняется УЗИ не потребуется выполнять проколов кожи, а сама диагностика абсолютно безболезненна;
- Доступность. Множество людей страдает заболеваниями мочеполовой системы, в том числе и патологиями мочевого пузыря, а выполнить исследование нужно как у мужчин так и у женщин. УЗИ является дешевым и общедоступным методом, ведь он распространен повсеместно.
Не обошлось и без недостатков. В некоторых случаях УЗИ мочевого пузыря и простаты недостаточно и потребуется прибегнуть к более сложным и дорогостоящим видам исследований. Также, после УЗИ нередко может потребоваться дополнительная диагностика, как например при опухолях мочевого пузыря.
Что же показывает УЗИ мочевого пузыря и простаты:
- Во время исследования врач может оценить состояние стенок мочевого пузыря, измерить необходимые структуры. Оценивается толщина стенок, наличие воспаления и патологических элементов на них. Что касается воспаления, то УЗИ способно отличить хронический процесс от острого.
- Обнаруживаются и такие патологии, как дивертикулы, то есть выпячивания мочевого пузыря. Они могут воспаляться и делают это гораздо чаще чем нормальная стенка мочевого пузыря. Хотя иногда человек может прожить всю жизнь и даже не знать об этом дивертикуле.
- Также оценивается содержимое мочевого пузыря, его характер, количество, спаянность со стенкой мочевого пузыря. Обнаруживаются камни и песок. Камни могут стать причиной закупорки мочеиспускательного канала и сильной болезненности.
- Бывают и более курьезные случаи, когда в мочевом пузыре у мужчины обнаруживаются инородные тела и для их обнаружения используется УЗИ. Зачастую, при УЗИ мочевого пузыря изучается и простата.
Иногда обычного УЗИ недостаточно и применяется допплерография (УЗДГ). Этот метод позволяет оценить ток жидкостей в нашем организме. Таким образом может быть обнаружен обратный ток мочи или, если имеется опухоль, будет обнаружено изменение кровотока. УЗДГ поможет оценить степень тяжести закупорки, определить на каком уровне она произошла, а также поможет хирургам в оперативном вмешательстве.
УЗИ мочевого пузыря и простаты у мужчин делается как планово, так и при наличии симптомов и признаков. Показаниями являются:
- Из жалоб, первыми признаками могут стать затруднения, а иногда и вовсе отсутствие мочеиспускания. Причиной может быть воспаление предстательной железы, перекрытие мочеиспускательного канала камнем (он же конкремент), опухоли, как стенок мочевого пузыря, так и простаты. Также процесс может быть прерывистым и с наличием воздуха. Что касается первого, то такое вполне может быть как при опухолях и конкрементах, так и при дивертикулезе.
- Еще одна частая проблема — болезненность. Причины ее аналогичны таковым при затруднении мочеиспускания, однако сюда же можно добавить цистит. Он представляет собой воспаление мочевого пузыря.
- Еще одним ярким признаком, сигнализирующим о необходимости диагностики, а затем и дальнейшего лечения — изменение цвета мочи. Она может быть мутной, с какими-то включениями или кровью. Наличие крови может свидетельствовать о большом спектре заболеваний.
- Учащение мочеиспускания — один из наиболее часто встречающихся симптомов. Часто он сочетается с трудностями во время процесса мочеиспускания и болями. Поэтому тяжело назвать данный симптом очень специфическим и при появлении такой симптоматики стоит немедленно обратиться к врачу.
- Кроме цвета, больной мужчина может заметить в моче видимые для него невооруженным глазом “хлопья” или любые другие включения. Но их природу можно установить только после тщательного обследования.
Виды УЗИ для исследования мочевого пузыря у мужчин
Ультразвуковое исследование мочевого пузыря и простаты мужчинам выполняется в основном через переднюю брюшную стенку. Однако бывают случаи, когда необходимо использовать и трансректальное исследование.
- Трансабдоминальное УЗИ выполняется через стенку живота. Не требует повреждений наружных кожных покровов и каких-либо других проникновений в организм инородных тел, а также введения контрастных веществ.
- Трансректальное УЗИ выполняется реже. Показаний к нему несколько. Это ожирение, асцит, то есть наличие большого количества жидкости в брюшной полости, и при подозрении или уже имеющихся опухолях предстательной железы и мочевого пузыря.
Подготовка к УЗИ простаты и мочевого пузыря
Подготовка к ультразвуковому исследованию простаты и мочевого пузыря для мужчины включает в себя ряд не сложных действий:
- УЗИ делают на полный мочевой пузырь. Это позволит рассмотреть все патологии, которые способно увидеть ультразвуковое исследование, так как УЗ-волны лучше всего проходят в жидкой среде.
- Перед УЗИ мочевого пузыря, мужчине примерно за сутки, желательно придерживаться диеты. В особенности это касается пациентов с повышенным газообразованием в кишечнике по любым причинам. Диета исключает из рациона свежую выпечку, множество свежих овощей и фруктов, кисломолочные продукты. Если это не помогло, то перед УЗИ потребуется принять несколько таблеток ветрогонного средства.
- Что касается наполнения мочевого пузыря, то тут все просто — необходимо за час до исследования выпить от 0.5 до 1 литра жидкости. Желательно, чтобы это была обычная вода. Ни в коем случае нельзя наполнять мочевой пузырь напитком с газом. Затем, потребуется потерпеть до окончания проведения ультразвукового исследования мочевого пузыря. Помимо мочевого пузыря можно разглядеть и предстательную железу.
- Трансректальное УЗИ простаты и мочевого пузыря, подготовкой отличается, но также потребует наполненного мочевого пузыря. Перед таким исследованием потребуется очистить прямую кишку. Применить можно слабительные средства, специальные свечи или микроклизмы. Отличается и методика проведения, о которой речь пойдет далее.
Теперь пациента будет интересовать вопрос о том: “Как делают УЗИ мочевого пузыря?”.
- Трансабдоминальное УЗИ выполняется предельно просто: пациент приходит в кабинет УЗИ и врач просит его лечь на кушетку и оголить живот. Затем на область исследования наносится специальный гель, который необходим для улучшения его скольжения по коже и повышении качества исследования, ведь воздух, который скапливается между трансдьюсером (датчиком) и кожей является довольно сильным искажающим элементом. Из-за него может сильно снизится точность и достоверность получаемых данных. После окончания исследования, пациент может сходить в туалет и убрать остатки геля при помощи полотенца или салфеток.
- Трансректальное УЗИ мочевого пузыря и простаты выполняется уже другим датчиком, который адаптирован для исследований через прямую кишку. Преимущества такого исследования в том, что датчик находится в непосредственной близости от мочевого пузыря и все, что их разделяет — стенка прямой кишки.
Таким образом, если имеется опухоль предстательной железы, ее можно будет рассмотреть гораздо лучше, нежели при трансабдоминальном УЗИ.
Противопоказания
- Противопоказаний к трансабдоминальному УЗИ мочевого пузыря мужчинам практически нет, а те которые имеются, поддаются лечению, после чего диагностика может быть выполнена. К ним относятся обширные и сильные воспалительные поражения кожи, ожоги и другие повреждения.Основная причина невозможности проведения УЗИ, в данном случае, его неинформативность, так как невозможно обеспечить оптимальное соприкосновение датчика и кожи, тем более это может причинять сильный дискомфорт и боль пациенту.
- Трансректальное ультразвуковое исследование простаты и мочевого пузыря также не имеет строгих противопоказаний, однако тут они гораздо опаснее. Его нельзя проводить после оперативных вмешательств на прямой кишке, если у пациента имеются хронические анальные трещины или геморрой в стадии обострения.Если все же есть острая необходимость в проведении трансректального УЗИ, то можно выполнить его через кожу промежности, однако качество такого исследования будет ниже.
Результаты
Оценкой результатов занимается врач уролог, который направлял пациента на УЗИ или к которому был направлен больной уже после исследования. Врач не просто проводит сравнение УЗИ мочевого пузыря с нормами, а выполняет комплексную оценку всех полученных данных, не только из УЗИ.
Нормы УЗИ мочевого пузыря у мужчин и определение остаточной мочи составляют:
- Форма: при наполненном мочевом пузыре грушевидная, а после мочеиспускания она становится блюдцеобразной;
- Структура: эхонегативная ( на снимках УЗИ мочевого пузыря она отображается в виде темных пятен);
- Объем: от 350 — 750 мл.;
- Толщина стенки: от 2 до 4 мм.;
- Наполнение: скорость наполнения в норме 50 мл./час
- Объем остаточной мочи: не более 50 мл.
В заключение
УЗИ на сегодня является одним из самых безопасных методов исследования организма и, в тоже время — доступным. В случае с диагностикой патологий мочевого пузыря, безопасность крайне важна из-за непосредственной близости к органам репродуктивной системы, которые довольно сильно подвержены воздействию разного рода лучевых воздействий.
Отзывы об исследовании со стороны врачей и пациентов крайне положительны.
Врачи удовлетворены теми данными, которые они могут быстро получить, что поможет начать исследование как можно раньше и вылечить пациента, избавив его от мучительных симптомов поражения мочеполовой системы. Мужчины же выделяют простоту подготовки и безопасность. Если врач объясняет все и отвечает на интересующие больного вопросы.
Нужно ли УЗИ мочевого пузыря мужчинам? Исходя из данных, которые имеются по всем клиникам в мире, такая диагностика помогла множеству пациентов, что привело к их быстрому выздоровлению и увеличению, таким образом, качества жизни.
Особенно это касается онкологических процессов, для которых крайне важна своевременная диагностика и лечение. На сегодня ультразвуковые методы стали полноценным “членом” среди методов диагностики мочеполовой системы и множества других.