
Первое сообщение о заболевании, известном в настоящее время под эпонимом болезнь Коатса, вероятно, принадлежит перу W.A. Brailey (1876). В 1908 г. G. Coats опубликовал сообщение, в котором были описаны три формы поражений заднего отрезка глаза, характеризующиеся изменениями сосудов сетчатки и выраженной экссудацией
- экссудативные изменения без сосудистых нарушений;
- варианты с аномалиями сосудов;
- сочетания васкулярных нарушений с обширными артериовенозными мальформациями.
Во второй работе, появившейся в печати в 1912 г., G. Coats представил описанные им ранее первые две формы патологических состояний как единое заболевание, назвав его наружным геморрагическим ретинитом. Третья форма ангиоматоза сетчатки, описанная G. Coats, известна в настоящее время как болезнь Гиппеля.
Патогенез
Генетические дефекты, ответственные за развитие ретинита Коатса, не установлены. За два последние десятилетия описаны многочисленные случаи сочетания болезни Коатса с различными генетически детерминированными аномалиями, в частности, с пигментным ретинитом, туберозным склерозом, синдромами Халлермана-Штрейфа, Сеньора-Локена, Парри-Ромберга и Корнелии де Ланге.
Выявлено повышение уровня фактора роста фибробластов в сыворотке крови у пациентов с множественными гломусными опухолями и болезнью Коатса. Авторы не исключают возможной роли этого фактора в патогенезе заболевания. Предполагают также влияние фактора сосудистой проницаемости (или фактора роста эндотелия сосудов) на процессы ангиогенеза при поражениях сосудов сетчатки различной этиологии, в частности при болезни Коатса.
Врачи отмечают, что болезнь Коатса, редкое заболевание, характеризующееся прогрессирующим ухудшением зрения, требует внимательного подхода к диагностике и лечению. Специалисты подчеркивают важность раннего выявления симптомов, таких как затуманивание зрения и изменение восприятия цвета. Врач-офтальмолог, занимающийся этой патологией, акцентирует внимание на необходимости комплексного обследования, включая визуализацию сосудов сетчатки. Лечение может варьироваться от наблюдения до хирургического вмешательства, в зависимости от стадии заболевания. Врачи также рекомендуют пациентам следить за состоянием здоровья и регулярно проходить осмотры, чтобы минимизировать риск осложнений.

Классификация
Общепринятой классификации болезни Коатса в настоящий момент нет. В клинической практике для более четкой оценки тяжести заболевания, прогнозирования его исхода и унификации тактики лечения пациентов с болезнью Коатса рекомендуется клиническую классификацию, выделяя 4 стадии в течении заболевания
- Начальная стадия.
- Сосудистые мальформации (микро- и макроаневризмы, телеангиэктазии, артериовенозные шунты) и мелкие рассеянные очажки твердого экссудата на средней и крайней периферии.
- Сосудистые мальформации и непроминирующие очаги твердого экссудата в макуле, а также на периферии.
- Развитая стадия.
- Локальные проминирующие отложения твердого экссудата в заднем полюсе. Ограниченная экссудативная отслойка сетчатки (протяженность менее 2 квадрантов).
- Обширные отложения твердого экссудата, образующего туморообразные депозиты. Субтотальная экссудатинная отслойка сетчатки (протяженность 2-3 квадранта). Задняя отслойка стекловидного тела.
- Далеко зашедшая стадия.
- Тотальная отслойка сетчатки, субрстинальные мембраны.
- Увсит, катаракта, рубеоз радужки.
- Терминальная стадия.
- Неоваскулярная глаукома.
- Субатрофия глазного яблока (фтизис).
Клинические картина

В начальной стадии болезнь Коатса протекает бессимптомно, и ее наиболее часто диагностируют у детей в возрасте 2-8 лет при случайных осмотрах офтальмолога перед поступлением в ясли, сад или школу. У взрослых заболевание чаще развивается в возрасте 40-60 лет.
Дети старшего возраста и взрослые могут предъявлять жалобы на постепенное снижение остроты зрения, появление «пятен» перед больным глазом или искажения формы и размеров рассматриваемых объектов.

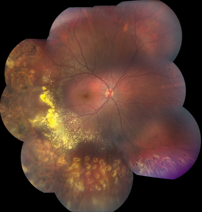
Доминирующим симптомом болезни Коатса являются проминирующие отложения твердого экссудата ярко-желтого цвета в слоях сетчатки и субретннальном пространстве, локализующиеся преимущественно в заднем полюсе или тех областях, где находятся измененные сосуды. Сосудистые аномалии располагаются преимущественно на периферии и включают телеангиэктазии, расширенные артериолы, капилляры и венулы, микро- и макроаневризмы, артериовенозные шунты. При офтальмоскопии измененные сосуды могут напоминать «красные бусы» или «гроздь рябины». Аномальные сосуды чаще локализуются в височной половине сетчатки, особенно в нижненаружном квадранте (в 40% случаев).
Клинические проявления варьируют по тяжести от минимальных сосудистых капиллярных нарушений с незначительной экссудацией, захватывающих менее одного квадранта, до обширных полей телеангиэктазий. перекрывающих 3-4 квадранта и сопровождающихся массивной экссудацией и развитием ограниченной или тотальной отслойки сетчатки.
При отсутствии лечения заболевание продолжает прогрессировать, что приводит к развитию тотальной отслойки сетчатки. Особенно неблагоприятно болезнь Коатса протекает у детей раннего возраста. У 96% детей с болезнью Коатса, не получающих лечение, в течение 6 лет развиваются тотальная отслойка сетчатки, иридоциклит, формируется осложненная катаракта. В итоге у 57-75 % пациентов с ретинитом Коатса развивается неоваскулярная глаукома, у 23 % — субатрофия глазного яблока.
Болезнь Коатса — редкое заболевание, которое вызывает значительное беспокойство как у пациентов, так и у медицинских специалистов. Многие люди, столкнувшиеся с этой болезнью, отмечают, что недостаток информации о ней создает дополнительные трудности. В социальных сетях можно встретить обсуждения о симптомах, таких как ухудшение зрения и изменения в глазном дне. Пациенты делятся своими историями, подчеркивая важность ранней диагностики и своевременного лечения. Некоторые родители детей с болезнью Коатса выражают надежду на новые исследования и разработки, которые могут привести к более эффективным методам терапии. В целом, общественное мнение о болезни формируется через личные опыты и научные публикации, что подчеркивает необходимость повышения осведомленности о данном заболевании.

Диагностика
Для уточнения диагноза и определения тактики лечения, помимо рутинного офтальмологического обследования, пациентам с болезнью Коатса необходимо проводить более тщательное исследование глазного дна методами непрямой офтальмоскопии с использованием бинокулярного налобного офтальмоскопа, биомикроскопии с трехзеркальной линзой Гольдманна и флюоресцентной ангиографии (ФАГ).
При ФАГ выявляют сосудистые мальформации, окклюзии капилляров артериол и артерий, зоны нарушенной проницаемости стенок расширенных сосудов сетчатки, неперфузируемые области, артериовенозные шунты. ФАГ позволяет точно локализовать сосудистые аномалии и оценить объем предстоящей лазерной коагуляции. В некоторых случаях, особенно у больных с макулярным отеком или отложениями твердого экссудата в макуле, целесообразно использовать оптическую когерентную томографию.
У пациентов с болезнью Коатса в развитой, далеко зашедшей и терминальной стадиях заболевания, характеризующихся наличием экссудативной отслойки сетчатки и/или обширных интра- и субретинальных отложений твердого экссудата, необходимо применять эхографию. Ультразвуковое сканирование позволяет исключить наличие новообразований, которые могут располагаться под отслоенной сетчаткой или маскироваться экссудатом, вследствие чего их не выявляют при офтальмоскопии, определить локализацию, протяженность и высоту отслойки сетчатки и экссудативных тумороподобных депозитов, оценить состояние субретинального пространства. В трудных случаях у пациентов с тотальной отслойкой сетчатки для исключения ретинобластомы, злокачественной медуллоэпителиомы или меланомы целесообразно проводу КТ, МРТ и цветовую допплерографию.
При длительном наблюдении за пациентами с болезнью Коатса полезно использовать периметрию. Оценка изменений поля зрения в динамике в некоторых случаях позволяет судить о характере течения заболевания: увеличение площади дефектов в поле зрения свидетельствует о прогрессировании наружного экссудативного ретинита.
Гистологические исследования
Результаты морфологических исследований в начальной стадии заболевания противоречивы. Некоторые авторы обнаружили значительное утолщение стенок мелких сосудов с неизмененным или слегка увеличенным просветом и относительно сохранным эндотелием. Другие исследователи сообщают о выраженном истончении стенок мелких сосудов, увеличении их просвета и отсутствии эндотелия на отдельных участках.
С помощью электронной микроскопии установлено, что утолщение стенок капилляров в развитой стадии заболевания обусловлено ее пропитыванием липидами, плазмой и фибрином, а также инфильтрацией макрофагами и лейкоцитами. Плазмолемма эндотелиальных клеток не имеет четких контуров мембраны. В их цитоплазме определяются юные формы пластинчатого комплекса — диктиосомы, связанные с его новообразованием. Отмечается утолщение мембраны Бруха за счет скопления в ее наружном коллагеновом слое плазменного экссудата, выходящего из слоя хороикапилляров.
Субретинальный материал в основном состоит из свободного холестерина и его эфиров. Наличие эозинофилов и лейкоцитов в стенках аномальных сосудов и вокруг них свидетельствует о воспалительной реакции, вызванной наличием экссудата.

Дифференциальная диагностика
Ретинит Коатса необходимо дифференцировать со следующими заболеваниями:
- ретинобластомой
- злокачественной медуллоэпителиомой
- макроаневризмами
- болезнью Гиппеля и Гиппеля-Линдау
- задним увеитом (токсокарозной или токсоплазмозной этиологии)
- Х-сцепленным ювенильным ретиношизисом
- семейной экссудативной витреоретинопатией
- паразитарными поражениями заднего отрезка
- болезнью Илза
- ретинопатией недоношенных
- первичным гиперпластическим персистирующим стекловидным телом
Наиболее трудно дифференцировать болезнь Коатса с экзофитно растущей ретинобластомой. В этих случаях опухоль часто маскируется под отслоенной сетчаткой, могут выявляться вторичные васкулярные изменения в виде расширения сосудов сетчатки и телеангиэктазий. Обычно ретинобластома имеет вид плотного узла, хотя встречаются случаи диффузной инфильтрации сетчатки опухолевыми массами. Кроме того, в далеко зашедшей или терминальной стадиях ретинита Коатса ретролентальный глиоз имитирует опухолевые узлы. Иногда трудно установить правильный диагноз у пациентов с далеко зашедшей стадией заболевания, когда происходит распад ретинобластомы или она располагается на отслоенной сетчатке.
С целью дифференциальной диагностики ретинобластомы и болезни Коатса используют множество параклинических тестов: КТ, МРТ, сонографию, цветовую доплерографию, определение содержания нейронспецифической энолазы в плазме и лактатдегидрогеназы во влаге передней камеры. К сожалению, ни один из упомянутых выше диагностических методов не является специфическим. При проведении дифференциальной диагностики наиболее информативны эхография и КТ, в ходе которых можно обнаружить интраокулярные кальцификаты и оценить состояние зрительного нерва, склеры и орбитальных тканей. У пациентов с экзофитно растущей ретинобластомой кальцификаты выявляются в 95 % случаев. Хотя наличие кальцификатов и не является патогномоничным симптомом ретинобластомы, тем не менее у пациентов с болезнью Коатса интраокулярные кальцификаты или оссификация встречаются крайне редко.
MPT обладает низкой чувствительностью по отношению к интраокулярным кальцификатам, но позволяет надежно дифференцировать субретинальный экссудат от опухоли. В некоторых случаях целесообразно применять транссклеральную биопсию и ДНК-анализ.
Медуллоэпителиома— первичная опухоль беспигментного цилиарного эпителия, чаще манифестирует у детей в возрасте 4-5 лет, но есть сообщения о случаях ее обнаружения у младенцев в первые месяцы жизни. Нередко правильный диагноз пациентам с медуллоэпителиомой устанавливают в поздней стадии заболевания спустя год и более после появления первых симптомов. В этих случаях клиническая симптоматика при злокачественной медуллоэпителиоме у детей раннего возраста напоминает картину в далеко зашедшей стадии ретинита Коатса. Часто заболевание выявляют, когда у пациентов развиваются лейкокория или, несколько позже, неоваскулярная глаукома, сопровождающаяся выраженным болевым синдромом.
КТ и эхография в этой стадии заболевания, как правило, неинформативны, особенно при передней локализации опухоли, так как нет четкого эффекта «плюс-ткани». Помощь в диагностике может оказать МРТ, в частности с использованием «жир-супрессивной» техники исследования. В сомнительных случаях, особенно при развитии неоваскулярной глаукомы с болевым синдромом, единственным выходом для клинициста является энуклеация.
Болезнь Гиппеля и Гиппеля-Линдау. Необходимость в проведении дифференциальной диагностики возникает лишь в далеко зашедшей и терминальной стадиях заболевания у пациентов с тотальной экссудативной отслойкой сетчатки и/или неоваскулярной глаукомой. В отличие от ретинита Коатса при болезни Гиппеля у 30-50 % пациентов поражаются оба глаза. Приблизительно у 25 % пациентов с болезнью Гиппеля-Линдау при КТ и МРТ головного мозга выявляют гемангиобластому или гемангиому мозжечка и имеется неврологическая симптоматика. У 1/3 пациентов диагностируют кистозные изменения почек и/или поджелудочной железы, у 7% — феохромоцитому.
Важными диагностическими критериями в пользу болезни Гиппеля или Гиппеля-Линдау являются также обнаружение гемангиомы сетчатки в ходе офтальмоскопического обследования кровных родственников или анамнестические данные, свидетельствующие о наличии больных с данной формой факоматоза в семье.
Х-сцепленный ювенильный ретиношизис У детей раннего возраста с буллезной формой Х-сцепленного ювенильного ретиношизиса иногда выявляют скопления твердого экссудата желтого цвета в заднем полюсе и периферические полиморфные сосудистые изменения в виде периваскулярных «муфт», неоваскуляризации, микроаневризм, облитерированных сосудов, образующих древовидные фигуры. В ряде случаев течение заболевания осложняется формированием витреоретинальных фиброваскулярных тяжей, развитием гемофтальма и тракционной или экссудативной отслойки сетчатки. При эхографии в таких случаях выявляют отслойку сетчатки с плотным субретинальным содержимым, что также может вводить в заблуждение офтальмологов.
Решить возникающую в таких случаях диагностическую дилемму помогают данные анамнеза указывающие на сцепленный с полом характер наследования заболевания у пациентов с врожденным ретиношизисом. При врожденном ретиношизисе в отличие от болезни Коатса поражаются оба глаза. Важную роль в дифференциальной диагностике играют электрофизиологические исследования, в ходе которых у пациентов с Х-сцепленным ювенильным ретиношизисом при регистрации максимального комбинированного ответа или скотопической ЭРГ выявляют двустороннее снижение амплитуды b-волны при сохранности параметров а-волны. У пациентов с болезнью Коатса в начальной и развитой стадиях ЭРГ не изменяется. В далеко зашедшей стадии заболевания при наличии распространенной экссудативной отслойки сетчатки ЭРГ пораженного глаза субнормальная или не регистрируется, тогда как ответ интактного глаза остается нормальным.
Семейная экссудативная витреоретинопатия. Необходимость в дифференциальной диагностике возникает главным образом у пациентов с болезнью Коатса в далеко зашедшей или терминальной стадии. Заболевание билатеральное, но глаза могут поражаться со значительной разницей по времени. Важное значение для дифференциальной диагностики имеют данные семейного анамнеза и результаты офтальмологического обследования других членов семьи. В отличие от ретинита Коатса при семейной экссудативной ретинопатии экссудативные изменения минимальные, нередко определяются периферические фиброваскулярные изменения, приводящие к тракционной деформации диска зрительного нерва и гетеротопии макулы в височную сторону. У больных с семейной экссудативной витреоретинопатией даже при отсутствии офтальмоскопических изменений на глазном дне отмечается снижение b-волны ЭРГ. Кроме того, для пациентов с болезнью Коатса нехарактерны изменения в стекловидном теле, за исключением вторичной воспалительной реакции, наблюдаемой в развитой и далеко зашедшей стадиях болезни.
Токсокарозный увеит характеризуется выраженной воспалительной реакцией стекловидного тела и наличием белых или серых масс (хороидальная гранулема) в заднем полюсе или на периферии сетчатки. В дальнейшем формируются грубые витреоретинальные тяжи и мембраны. Как в острой стадии заболевания, так и в периоде ремиссии возможно развитие отслойки сетчатки. Заболевание, как правило, одностороннее и развивается преимущественно в детском возрасте.
Дифференциальная диагностика основывается на клинических различиях: при ретините Коатса превалируют сосудистые аномалии, витреальные изменения слабо выражены и появляются лишь в развитой стадии болезни. Кроме того, у 60-80 % пациентов с токсокарозом в острой фазе заболевания отмечаются различные соматические расстройства: лихорадка, кашель и хрипы в легких, гепатоспленомегалия, судороги, уртикарные высыпания на коже, эозинофилия крови. Позднее при рентгенологическом исследовании органов грудной клетки в легких выявляют рассеянные инфильтративные тени.
Информативным является иммунологическое исследование — ферментоподобная иммуносорбентная проба с использованием яиц паразита в качестве антигена: приблизительно у 45 % пациентов с поражением глаз титр антител превышает 1:32. Косвенным подтверждением диагноза у ребенка, у которого заподозрен токсокарозный увеит, является выраженный терапевтический эффект при назначении кортикостероидов и диэтилкарбамазина.
Токсоплазмозный увеит. Заражение Toxoplasma gondii в постнатальном периоде обычно проходит незамеченным. Хороиретинит встречается приблизительно у 1 % больных с приобретенной формой токсоплазмоза. Заболевание одностороннее. Хороиретинальные поражения сочетаются с витреитом различной тяжести. При тяжело протекающем витреите просвечивающие сквозь помутнения в стекловидном теле ретинохороидальные бело-желтые проминирующие очаги создают эффект, образно называемый «фара в тумане». В тяжелых случаях воспаление распространяется на передний отрезок, сопровождаясь появлением клеток во влаге передней камеры и преципитатов на эндотелии, а также формированием синехий. В некоторых случаях отмечаются явления папиллита, множественные интра- и субретинальные геморрагии, массивная экссудация, сопровождающаяся развитием экссудативной отслойки сетчатки.
Дифференциальная диагностика основывается на типичной клинической картине и позитивных результатах иммунологических исследований — реакции с красителем или определения антител с помощью непрямой флюоресценции (IgM и IgG). В некоторых случаях при остром токсоплазмозе отмечаются недомогание, лихорадочное состояние, боли в мышцах, пятнисто-папулезная сыпь, лимфаденопатия и увеличение печени. Высыпания на коже сохраняются в течение 3-4 дней, остальные симптомы заболевания — в течение нескольких дней или даже недель. При назначении этиотропных препаратов и кортикостероидов (комбинация пириметамина или клиндамицина с сульфадиазином и дексазоном) у большинства пациентов с приобретенным токсоплазмозом отмечается постепенная регрессия витреальных и ретинальных нарушений.
Болезнь Илза — идиопатический периферический ретиноваскулит сочетающийся с ишемией периферических отделов сетчатки. Приблизительно 80% пациентов с болезнью Илза — мужчины. Заболевание обычно развивается в возрасте 20-30 лет. Как правило, поражаются оба глаза. У 17-48% больных поражения глаз сочетаются с вестибулослуховыми дисфункциями. Другие экстраокулярные нарушения наблюдаются реже и включают главным образом поражения нервной системы: острые и подострые миелопатии, эпилепсию, периферические нейропатии, пара- и гемиплегии, инсульты. Болезнь Илза часто встречается у жителей Ближнего Востока. Некоторое время заболевание может протекать бессимптомно.
Основными причинами снижения зрения являются гемофтальм и макулярный отек. При ФАГ на периферии определяют обширные, четко отграниченные неперфузируемые зоны и признаки васкулита. Вдоль границы аваскулярных зон выявляют микроаневризмы, расширенные вены, артериовенозные шунты, участки отложения твердого экссудата и множественные ватообразные очаги. По мере прогрессирования заболевания развиваются преретинальная и препапиллярная неоваскуляризация, окклюзии ветвей центральной вены сетчатки, витреоретинальный фиброз и рубеоз радужки. Заболевание часто осложняется рецидивирующим гемофтальмом. Тем не менее для пациентов с болезнью Илза характерна высокая острота зрения: в отдаленном периоде у 67%больных острота зрения 0,5 и выше.
Дифференциальная диагностика иногда сопряжена с определенными трудностями, особенно в начальной стадии заболевания. Она основывается на офтальмоскопических различиях, результатах ФАГ и данных нейросоматического обследования больных. Кроме того, практически у всех пациентов с ретинитом Коатса выявляют проминирующие очаги твердого экссудата в заднем полюсе. В то же время такие осложнения, как рецидивирующий гемофтальм и преретинальный фиброз, при болезни Коатса развиваются чрезвычайно редко и обычно являются следствием неадекватного выбора параметров лазерной коагуляции.
Первичное персистирующее стекловидное тело (ППГСТ) — редко наблюдаемая спорадическая врожденная аномалия, обусловленная персистенцией и вторичным фиброзом примитивной гиалоидной сосудистой системы. Поражение, как правило, одностороннее. У пациентов с ППГСТ фиброваскулярный тяж отходит от диска зрительного нерва и прикрепляется к задней капсуле хрусталика, вызывая ее помутнение в месте контакта. Нередко ППГСТ сочетается с микрофтальмом или микрокорнеа.
Дифференциальная диагностика болезни Коатса с остальными патологическими состояниями вызывает сложности лишь в далеко зашедшей стадии и основывается на анализе данных анамнеза, результатах клинического и иммунологического обследований.
Лечение
В 1960 г. G. Meyer-Schwickerath и K. J. Pesch впервые сообщили о положительных результатах использования ксеноновой фотокоагуляции для лечения пациентов с болезнью Коатса и телеангиэктазиями сетчатки, сочетавшимися с вторичной субретинальной экссудацией. Позднее появились публикации, свидетельствующие об эффективности криотерапии и лазерной коагуляции сетчатки при лечении пациентов с ретинитом Коатса.
Эффективность реабилитации больных с ретинитом Коатса в частности функциональные результаты, зависит от того, в каком возрасте манифестировала болезнь и в какой стадии заболевания начато лечение. В тех случаях, когда имеются обширные отложения экссудата в заднем полюсе и на периферии, нередко сочетающиеся с экссудативной отслойкой сетчатки, лазерную коагуляцию проводят в основном с органосохранной целью. Лазерная коагуляция сетчатки эффективна в начальной и развитой (IА-IIА) стадиях заболевания при поражениях протяженностью до 240°. При поражениях, имеющих большую площадь или локализующихся на крайней периферии, целесообразно сочетать лазерную коагуляцию сетчатки с криотерапией.
Во IIБ-IIIА стадиях заболевания криотерапия более эффективна, чем лазерная коагуляция. У детей, особенно в раннем возрасте, ремиссии заболевания, как правило, удается достичь лишь в результате проведения нескольких курсов (2-6) лазерной коагуляции и/или криотерапии. Интервалы между курсами лечения составляют 3-4 мес.
Лазерную коагуляцию заднего сегмента при ретините Коатса проводят с помощью лазерных установок, адаптированных к щелевой лампе или бинокулярному налобному офтальмоскопу. В первом случае для лазерной коагуляции используют различные роговичные контактные линзы. Широко применяют трехзеркальную линзу Гольдманна, четырех — зеркальную линзу Карикхоффа, линзу «Трансэкватор» фирмы Volk и др. При неконтактной периферической коагуляции используют линзы 60, 78 или 90 диоптрий. Необходимо помнить, что при использовании этих линз размеры пятна на сетчатке изменяются в 0,92, 1,15 и 1,39 раза соответственно.
Лечение целесообразно начинать с барьерной лазерной коагуляции вокруг сосудистых аномалий и вдоль границы отслоенной сетчатки, формируя демаркационную линию из 2-3 рядов коагулятов. Диаметр коагулятов при периферической коагуляции 200-500 мкм, экспозиция 0,1-0,3с, мощность 150-800 мВт. За один сеанс можно наносить до 500-700 коагулятов. Через 5-7 дней проводят повторный сеанс, в ходе которого коагулируют сосудистые мальформации.
В ряде случаев полезна коагуляция опухолеподобных депозитов субретинального экссудата, что значительно ускоряет их резорбцию. При этом параметры мощности, экспозиции и диаметра пятна идентичны тем, которые используют при коагуляции зон, граничащих с субретинальными отложениями экссудата. В торпидных случаях возможно комбинированное применение лазерной коагуляции и транссклеральной криотерапии. Деструкция всех сосудистых аномалий — необходимое условие для полного излечения. Первый курс лечения можно считать завершенным лишь после того, как будут коагулированы все сосудистые мальформации, включая мельчайшие телеангиэктазии и микроаневризмы.
При проведении лазерной коагуляции у пациентов с ретинитом Коатса могут возникнуть следующие осложнения:
- кровоизлияния в момент выполнения лазерной коагуляции или в первые дни после нее;
Причиной кровоизлияния в момент проведения коагуляции сосуда может быть повреждение сосудистой стенки вследствие неправильного выбора параметров операции (например, при использовании коагулятов слишком малого диаметра или очень большой мощности коагуляции). В послеоперационном периоде кровоизлияние может быть обусловлено некрозом сосудистой стенки. - глиоз макулы — развивается, как правило, после интенсивной лазерной коагуляции у больных с обширными по площади (не менее двух квадрантов) поражениями
- макулярные складки или тракции— в основном после чрезмерной лазерной коагуляции.
С целью профилактики указанных осложнений необходимо в каждом случае тщательно подбирать параметры коагуляции (мощность, диаметр пятна и экспозицию), а у пациентов с поражениями, занимающими несколько квадрантов, проводить коагуляцию за несколько сеансов с интервалами между ними в 7-10 дней.
Через некоторое время (приблизительно 2-3 мес) после лазерной коагуляции или криодеструкции сосудистых аномалий происходит частичное рассасывание интра- и субретинальных кровоизлияний и экссудата, включая отложения субретинального экссудата в макуле. В зонах экссудативной отслойки сетчатки в зависимости от степени резорбции субретинального содержимого отмечается полное или частичное прилегание отслоенной сетчатки.
По мере рассасывания экссудата и прилегания отслоенной сетчатки могут быть выявлены скрывавшиеся под ними и вследствие этого не диагностированные ранее аневризмы. В связи с этим для предупреждения рецидива заболевания необходимо проводить их коагуляцию или (сриодеструкцию, а также повторно коагулировать крупные сосудистые мальформации, которые не удалось блокировать в ходе проведения первого курса лечения. Число курсов лазерной коагуляции, необходимых для достижения стабилизации в течении заболевания у больных с ретинитом Коатса, обычно колеблется от 1 до 6. При реабилитации детей раннего возраста с ретинитом Коатса, имеющих предметную остроту зрения (0,01 и выше), определенную по таблицам или пороговому ЗВП, наряду с лазерной коагуляцией или криотерапией необходимо проводить плеоптическое лечение пораженного глаза и дозированную окклюзию лучше видящего глаза для профилактики глубокой зрительной депривации.
В тех случаях, когда у пациентов с болезнью Коатса развивается распространенная экссудативная или тракционная отслойка сетчатки (стадии IIб-IIIа), показано применение экстрарасклерального пломбирования или циркляжа в сочетании с витрэктомией, иссечением пре- и субрстинальных мембран, трансретинальным дренированием экссудата и последующей тампонадой силиконовым маслом или перфторуглеродами. Одновременно необходимы эндодиатермия или эндолазерная коагуляция телеангиэктазий.
Пассивное наблюдение за детьми с болезнью Коатса приводит к развитию слепоты в 94 % случаев, грубым косметическим дефектам, обусловленным потерей глаза вследствие энуклеации, — в 39 %. Своевременное лечение при соблюдении пациентами или, в большей степени, их родителями рекомендуемого режима позволяет сохранить глаз у 97% детей, предметное зрение — у 88 %. Высокую эффектовность агрессивной фотокоагуляции и/или криотерапии подтверждают также результаты М.Е. Ridley и соавт. (1982), которым удалось достичь стабилизации остроты зрения в отдаленном периоде после проведения лечения у 70 % детей старше 4 лет.
Детей с болезнью Коатса, у которых в результате лечения была достигнута ремиссия, необходимо обследовать не реже 1 раза в 4-6 мес, так как у 40 % из них в среднем через 4,5 года возникают новые зоны сосудистых мальформаций. Во избежание развития экссудативных осложнении все вновь появляющиеся сосудистые аномалии должны быть коагулированы.
Вопрос-ответ
Можно ли вылечить ретинит Коатса?
Ретинит Коатса редко поражает оба глаза. Вылечить болезнь, к сожалению, невозможно, но можно успешно затормозить ее развитие, особенно на ранней стадии.
Каковы симптомы болезни Коутса?
Болезнь Коутса — редкое заболевание глаз, обычно поражающее только один глаз. Заболевание не является наследственным и встречается преимущественно у молодых мужчин, обычно до 15 лет, но может проявиться и в более позднем возрасте. Симптомы могут включать в себя белый зрачок, косоглазие или снижение остроты зрения.
Каков прогноз при болезни Коутса?
Если болезнь Коутса диагностирована на ранней стадии 1 или 2, у вашего ребёнка, скорее всего, не будет серьёзных долгосрочных последствий. Однако даже после лечения у него может сохраняться снижение или понижение зрения в поражённом глазу. На поздней стадии болезнь Коутса повышает риск слепоты в поражённом глазу.
Заразна ли болезнь Коутса?
Болезнь Коутса не является заразной. Это генетическое заболевание, которое влияет на развитие глаз и может привести к потере зрения, но не передается от человека к человеку.
Советы
СОВЕТ №1
Обратитесь к специалисту. При первых признаках болезни Коатса, таких как ухудшение зрения или изменения в глазном дне, важно незамедлительно обратиться к офтальмологу для диагностики и назначения правильного лечения.
СОВЕТ №2
Регулярно проходите обследования. Если у вас есть предрасположенность к заболеваниям глаз или в вашей семье были случаи болезни Коатса, регулярные осмотры у врача помогут выявить проблему на ранней стадии.
СОВЕТ №3
Следите за своим здоровьем. Здоровый образ жизни, включая сбалансированное питание, физическую активность и отказ от вредных привычек, может помочь снизить риск развития заболеваний глаз, включая болезнь Коатса.
СОВЕТ №4
Поддерживайте эмоциональное здоровье. Заболевания глаз могут вызывать стресс и беспокойство. Обсуждение своих переживаний с близкими или специалистами поможет справиться с эмоциональными трудностями, связанными с болезнью.