
С клинической точки зрения можно говорить только о преимущественной локализации ретинального сосудистого процесса, так как отдельные части сосудистой системы сетчатки, а иногда и увеального тракта, не могут реагировать на сосудистые изменения изолированно, особенно при воспалении. Так, например, при тромбозе ретинальных вен или окклюзии артерий на фоне ангиита в той или иной степени в процесс вовлекается стекловидное тело, а если воспаление носит генерализованный характер, то появляются симптомы поражения цилиарного тела.
При патологии сосудов сетчатки следует выделить наиболее типичные клинические признаки. Из субъективных симптомов поражения ретинальных сосудов необходимо отметить понижение остроты зрения, особенно значительное при вовлечении в процесс макулярной области (отек, геморрагии. отложение твердого экссудата и др.). В этом случае, также возможно появление фотопсий, макро- или микропсий. Ощущение больным вспышек света в соответствующем поражению секторе может быть единственным симптомом в начале заболевания, что вызвано ирритацией палочек и колбочек.
Метаморфопсии появляются при изменении расстояния между клетками. Так, если зрительные клетки отдаляются друг от друга, зрительный образ уменьшается (микропсия), а при сближении — изображение увеличивается (макропсия). Существенное значение в определении локализации сосудистых и других изменений сетчатки принадлежит исследованию поля зрения. Дефекты, выявляемые в поле зрения, как правило, соответствуют вовлеченной в процесс области сетчатки.
Нарушение гемоциркуляции в артериальном и венозном русле сетчатки может сопровождаться развитием геморрагии, отложением твердого экссудата. При стенозах и окклюзиях сосудов различного уровня формируется «мягкий экссудат», ишемические зоны и как следствие этого — неоваскуляризаиия сетчатки, зрительного нерва или радужки. Следует помнить, что ведущая роль в диагностике сосудистых заболеваний глазного дна по-прежнему принадлежит офтальмоскопии в сочетании с флюоресцентной ангиографией, так как каждое анатомическое или патологическое образование, расположенное на глазном дне, имеет характерные офтальмоскопические и флюоресцеинангиографические признаки.

Поражение ретинальных сосудов проявляется патологической проницаемостью сосудистой стенки, что приводит к развитию геморрагии, отека сетчатки, формированию периваскулярного экссудата, который, наиболее часто, встречается при ретинальных ангиитах. При офтальмоскопии сосуды сетчатки неравномерного калибра, по их ходу полосы сопровождения или муфты (периваскулярный экссудат), а также утолщенная со сниженной прозрачностью отечная сетчатка. Периваскулярный экссудат и отечная сетчатка могут частично или полностью прикрывать сосуды.
Локализованный интра- или экстрацеллюлярный отек сетчатки и периваскулярный экссудат могут сдавливать сосуды и вызывать выраженные изменения гемоциркуляции в них вплоть до полного стаза. Если кровоток в сосуде сохранен, он может быть узким, иногда, прерывистым, но прослеживается как дистальнее, так и проксимальнее зоны ретинального отека и периваскулярного экссудата. При полной облитерации сосудов ток крови в них исчезает и, тогда они выглядят в виде белых полос. На ангиограммах, при поражении сосудистой системы сетчатки, может наблюдаться изменение последовательности фаз, неравномерность заполнения флюоресцеином сосудов, контрастирование сосудистой стенки и флюоресценция окружающей области за счет экстравазального выхода флюоресцеина в результате нарушения проницаемости.
Микроаневризмы

Макроаневризмы можно разделить на: артериальные, венозные, капиллярные и связанные с коллатералями. Так, артериальные макроаневризмы сетчатки, представляют собой аневризмы, локализующиеся на артериолах первого, второго или третьего порядка. Предрасполагающим моментом для формирования макроаневризм может служить гипертоническая болезнь и атеросклероз, а также возраст и врожденная слабость сосудистой стенки. Длительное повышение артериального давления приводит к отёку и разрушению стенки сосуда, это, вероятно, является основой развития макроаневризм ретинальных артерий.
Следует выделить два типа макроаневризм: мешотчатые (в виде выпячивания стенки) и в виде «манжетки». Макроаневризмы или их группы часто находятся в зоне артериовенозного перекреста или бифуркации, преимущественно, располагаясь по верхне-височной ветви центральной артерии сетчатки, значительно реже — по другим артериальным ветвям. При офтальмоскопии на артериоле первого-третьего порядка определяется изолированный, серый, умеренно проминирующий фокус, вокруг которого обычно имеются интраретинальные геморрагии различной величины. Сетчатка в зоне аневризмы отечна и утолщена. Нередко макроаневризма не просматривается под геморрагиями и экссудатом.
Твердый кольцевидный экссудат обусловлен патологической проницаемостью стенок сосудов. Если экссудат и ретинальный отек захватывает макулярную область, то отмечается снижение остроты зрения. Также в зоне макроаневризм выявляется неравномерный калибр артериол, муфты по ходу сосудов, расширение дистального отдела. Иногда в просвете артериолы выявляются холестериновые эмболы.

Разрыв стенок макроаневризмы приводит к суб-, интра-, преретинальным или интравитреальным геморрагиям. Локализация кровоизлияний в основном зависит от разрыва передней или задней стенки аневризмы.
По течению макроаневризмы следует разделить на острые и хронические. Капиллярные аневризмы часто формируются у больных с тромбозом центральной вены сетчатки или ее ветви. Как правило, они располагаются в неперфузируемой (ишемической) зоне сетчатки, которая дренировалась тромбированной веной. Полагают, что ретинальная ишемия и повышение гидростатического давления после окклюзии приводят к развитию капиллярных аневризм. По размерам они могут быть аналогичны артериальным аневризмам, но локализуются на венозной стороне капиллярного ложа. Следствием сосудистых нарушений являются ишемические зоны сетчатки, которые могут формироваться либо при окклюзии артериол, либо в результате затруднения гемоциркуляции в капиллярах с последующим стазом в них крови. В этих случаях образуются неперфузируемые капиллярные зоны с гипоксией окружающих тканей.
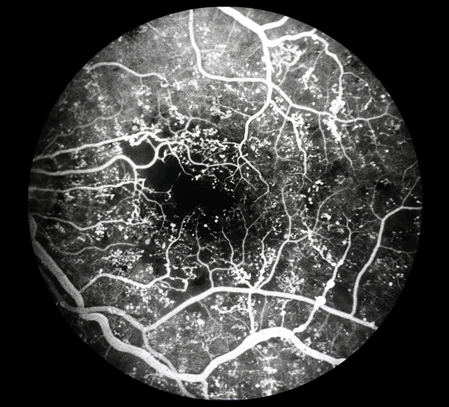
При офтальмоскопировании ишемические зоны не видны, на их существование косвенно могут указывать облитерированные сосуды, некоторая бледность и локальная отечность сетчатки. Нередко неперфузируемые области сетчатки окружены расширенными сосудами и микроаневризмами. Только флюоресцентная ангиография позволяет определить и четко локализовать ретинальные ишемические зоны. На флюоресцентных ангиограммах они выглядят в виде темных, серых, нефлюоресцирующих или гипофлюоресцирующих участков сетчатки, часто окруженных расширенными флюоресцирующими, с экстравазальным выходом контраста сосудами и микроаневризмами по краям ишемии. Ишемические зоны являются предвестниками неоваскуляризации, которая может развиваться на диске, сетчатке или радужке.
Врачи отмечают, что клиническая картина поражения сосудов сетчатки может варьироваться в зависимости от причины и степени заболевания. Основные симптомы включают ухудшение зрения, появление темных пятен или вспышек света. При осмотре глазного дна специалисты могут выявить изменения в состоянии сосудов, такие как их сужение, расширение или наличие аневризм. Важно отметить, что такие изменения могут быть связаны с различными заболеваниями, включая диабетическую ретинопатию, гипертонию и атеросклероз. Врачи подчеркивают необходимость регулярных осмотров у офтальмолога, особенно для пациентов с факторами риска, так как ранняя диагностика и лечение могут значительно улучшить прогноз и сохранить зрение.

Неоваскуляризация

- ретино-витреальные;
- преретинальные;
- интраретинальные;
- субретинальные;
- субпигментные;
- папиллярные.
Ретино-витреальная неоваскуляризация представляет собой новообразованные сосуды, распространяющиеся кпереди от сетчатки в стекловидное тело. Они могут локализоваться на любых участках сетчатки, кроме диска зрительного нерва. Неоваскуляризация часто развивается из крупных сосудов, расположенных, как правило, дистальнее первого разветвления больших сосудистых аркад (на артериолярном или венулярном уровне). Формирование неоваскуляризации, в большинстве случаев, начинается с развития одного венозного ствола в сосудистой аркаде. Затем новообразованная сосудистая ветвь постепенно превращается в сосудистоглиальную, продолжая врастать в стекловидное тело. Распространение новообразованных сосудов в стекловидном теле происходит вдоль остатков фибрина или фиброзной ткани, являющейся, например, результатом организации предшествующих интравитреальных кровоизлияний. Прогрессирование ретино-витреальной неоваскуляризации, как правило, медленное. Геморрагии обычно отмечаются при повышении кровяного давления или при натяжении и разрыве новообразованных сосудов в результате сокращения стекловидного тела, с которым они интимно связаны. При этом типе неоваскуляризации обычно наблюдается очень высокая отслойка стекловидного тела.
Преретинальная неоваскуляризация представляет собой новообразованные сосуды, расположенные на внутренней поверхности сетчатки. Они развиваются в любом месте сетчатки, исключая диск зрительного нерва. Однако необходимо заметить, что данный тип неоваскуляризации преимущественно локализуется: у дистальных концов сосудистых аркад, в макулярной и парамакулярной области, а также между артериолой и венулой основных сосудистых пучков.
Преретинальная неоваскуляризация развивается из поверхностных капилляров сетчатки и состоит из мелких, чрезвычайно извилистых сосудов, на начальных этапах, ограниченных внутренней пограничной мембраной. Затем сосуды прорастают через эту мембрану и в дальнейшем могут преобразовываться из поверхностной разновидности в ретиновитреальный (при пролиферировании в стекловидное тело) или перипапиллярный тип неоваскуляризации. По мере роста между сосудами появляется сначала небольшое, а затем значительное количество глиальной ткани (в зависимости от завершенности сосудистого процесса). Преретинальные новообразованные сосуды отличаются порозностью и высокой проницаемостью.
Интраретинальная неоваскуляризация поверхностная и глубокая расположена соответственно во внутренних слоях и на границе наружных слоев сетчатки. Возможно, поверхностная интраретинальная неоваскуляризация представляет собой новообразованные интраретинальные сосуды, являющиеся начальным этапом формирования преретинальной или ретино-витреальной неоваскуляризации. К тому же по морфологическим данным В. Aronson (1972), то, что клинически определяется как интраретинальная неоваскуляризация, в действительности может быть дилатацией капилляров сетчатки. К глубокой интраретинальной неоваскуляризации, если строго придерживаться анатомического строения, относятся новообразованные сосуды, локализующиеся между пигментным эпителием и нейроэпителием. Но клиницисты, традиционно, такую неоваскуляризацию рассматривают как субретинальную, а не как интраретинальную или субнейроэпителиальную. Отметим, что истинной субретинальной неоваскуляризацией можно считать только новообразованные сосуды, расположенные между пигментным эпителием и мембраной Бруха. Тем не менее, в дальнейшем мы будем придерживаться общепринятой точки зрения.
Субретинальная и субпигментная неоваскуляризация имеет хориоидальное происхождение и представляет собой врастание сосудов из хориокапиллярного слоя через дефекты в мембране Бруха. В результате этого процесса разрушаются наружные слои сетчатки. При субретинальной неоваскуляризации новообразованные сосуды расположены между пигментным эпителием и слоем палочек и колбочек, а при субпигментной — между мембраной Бруха и пигментным эпителием.

По отношению к диску зрительного нерва неоваскуляризация может быть: эпипапиллярной, перипапиллярной и папилло-витреальной.
Эпипапиллярная неоваскуляризация представляет собой новообразованные кровеносные сосуды, выходящие из центральной зоны диска зрительного нерва и проникающие на коротком расстоянии в стекловидное тело. Этот тип неоваскуляризации начинается с появления почковидных образований на сосудах диска с последующим развитием из них сети мелких сосудов, которые сначала могут быть видны только при прямой офтальмоскопии или при биомикроскопии с линзой. Если эти сосуды единичные, то имеют вид тонких фибриллярных каналов, при значительном их количестве. Из сосудистой ткани образуются пучки, напоминающие по форме ягоду малины Как правило, локализация новообразованных сосудов ограничивается областью диска зрительного нерва. Крайне редко, при этом типе неоваскуляризации сосуды могут распространяться вдоль сосудистых аркад. На ранних этапах эпипапиллярная неоваскуляризация имеет мало сосудов, содержит небольшой объем крови и лишена глиальной ткани, дальнейший сосудистый рост сопровождается глиальной пролиферацией вокруг сосудов. В конечном итоге сосудистоглиальный комплекс глубоко проникает в стекловидное тело и формируется папилло-витреальный тип неоваскуляризации Эпипапиллярная неоваскуляризация прогрессирует довольно медленно, если отсутствуют системные заболевания и артериальная гипертония
Перипапиллярная неоваскуляризация представляет собой новообразованные сосуды, которые радиально и циркулярно выходят из диска зрительного нерва и, слегка приподнимаясь, располагаются над окружающей сетчаткой и сосудистыми аркадами. В редких случаях новообразованные сосуды локализуются над макулярной областью. Неоваскуляризация может начать формироваться в любом квадранте диска зрительного нерва. Сосуды с края диска переходят на перипапиллярную сетчатку и образуют над ней нежные сосудистые аркады в форме паутины, состоящие из артериол и венул, затем между сосудами появляется глиальная ткань, количество которой постепенно увеличивается. Выраженная перипапиллярная неоваскуляризация имеет фестончатые границы, напоминает блюдце и по площади может занимать 3-4 диаметра диска. Трофика неоваскулярного комплекса сначала осуществляется за счет сосудов, выходящих из диска зрительного нерва, позже — за счет основных сосудистых аркад, в результате развития коллатералей. Как правило, кровоточат сосуды дистальных отделов, однако, при декомпенсации заболевания массивные интравитреальные геморрагии появляются в результате кровотечения из хорошо развитой центральной зоны перипапиллярной неоваскуляризации.
Папилло-витреальная неоваскуляризация — массивный сосудисто-глиальный комплекс, который начинается на диске зрительного нерва и распространяется вглубь стекловидного тела. Этот тип неоваскуляризации нередко является конечным этапом развития эпипапиллярной или перипапиллярной неоваскуляризации, имеющей, обычно, вначале мощные новообразованные сосуды, которые проникают в стекловидное тело одним из трех путей:
- наиболее часто, вдоль задней поверхности стекловидного тела, причем, новообразованные сосуды как бы вплетаются в гиалоидную мембрану, которая выступает в качестве опоры;
- вдоль фибрина, оставшегося после интравитреальных геморрагий;
- из хорошо сформированных сосудисто-глиальных стволов.
Во всех случаях для формирования папилло-витреальной неоваскуляризации необходимо наличие поддерживающих структур, локализующихся в стекловидном теле. Существует три основных типа папилло-витреальной неоваскуляризации: колоннообразный, дугообразный и сливной.
- При колоннообразном типе сосуды и глиальная ткань сначала тесно собраны в пучки, которые затем расширяются и распространяются вдоль гиалоидной мембраны, также могут прикрепляться к любой сосудистой аркаде, что способствует увеличению площади неоваскуляризации. Этот тип неоваскуляризации имеет один или более питающих сосудов, идущих от диска и несколько коллекторов, кровь по которым возвращается от неоваскулярного комплекса в область диска.
- Дугообразный тип папилло-витреальной неоваскуляризации первоначально развивается вдоль сосудистых аркад, чаще на височной стороне, содержит несколько больше глиальной ткани, чем колоннообразный тип. В некоторых случаях сосудисто-глиальный комплекс одной аркады соединяется с противоположной аркадой. Когда комплекс оформляется окончательно, то от него появляются ветви в стекловидное тело. На начальных этапах формирования неоваскуляризации рост ее быстрый, особенно в центральных отделах, в развитую фазу — замедляется и осуществляется преимущественно за счет дистальных отделов. В начальной стадии пролиферации кровоизлияния могут быть обширными из новообразованных сосудов любой зоны. В поздней стадии — геморрагии небольшие, из сосудов, расположенных дистально и локализуются по границе неоваскуляризации. Вовлечение в процесс задней поверхности стекловидного тела приводит к натяжению сетчатки в заднем полюсе. В районе перипапиллярной неоваскуляризации появляются складки сетчатки. Прогрессирование тракционных процессов может закончиться отслоением сетчатки.
- Сливной тип папилло-витреальной неоваскуляризации можно представить как новообразованную сосудисто-глиальную ткань, в форме блюда или глубокой чаши, распространяется с диска в стекловидное тело и не связана с сосудистыми аркадами. Питающие и отводящие сосуды множественные, без флюоресцентной ангиографии трудно дифференцируются. Пролиферация при этом типе неоваскуляризации, обычно, чрезвычайно быстрая, особенно к носовой стороне. При прогрессировании процесса с височной стороны новообразованная ткань может прикрывать макулярную область, что значительно снижает остроту зрения. Интравитреальные геморрагии происходят из дистальных неоваскулярных сосудов. Если кровоизлияния обширные, то их источник — крупные новообразованные сосуды проксимальных отделов.
Неоваскуляризация любой локализации имеет общие флюоресцеин-ангиографические признаки, обусловленные повышенной проницаемостью стенок новообразованных сосудов для флюоресцеина. В артериальную фазу (для субретинальной неоваскуляризации в хориоидальную) на флюоресцентной ангиограмме отмечается контрастирование новообразованных сосудов. В артериовенозную фазу регистрируется экстравазальная гиперфлюоресценция, которая постепенно усиливается, отдельные сосуды неоваскулярного комплекса видны с трудом или уже не определяются. В позднюю фазу на месте зоны неоваскуляризации имеется участок сплошной гиперфлюоресценции. В отличие от неоваскулярных сосудов, стенки шунтов и коллатералей практически не пропускают флюоресцеин, поэтому на флюоресцентной ангиограмме они контурируются довольно четко, даже в поздние фазы.
Шунты и коллатерали
При сосудистых заболеваниях сетчатки нередко образуются шунтирующие сосуды. Шунты можно разделить на: ретинальные (вено-венозные, артерио-артериальные, артерио-венозные), ретинохориоидальные и оптико-цилиарные. Шунты служат для быстрого транспорта крови из одной системы сосудов в другую. Например, оптико-цилиарные шунты связывают сосудистую систему сетчатки с сосудами хориоидеи. При офтальмоскопии оптико-цилиарные шунты представляют собой расширенные сосудистые петли на диске зрительного нерва, которые ныряют в перипапиллярную хориоидею.
Ретинальные сосудистые шунты могут соединять сосуды различных аркад или сосуды одной аркады, например, артериовенозные шунты. Особенностью таких сосудов является выраженная их извитость. Несмотря на то, что шунты относят к признакам репаративного процесса, они вызывают нарушение местной ретинальной циркуляции, что в свою очередь может привести к усилению ишемического поражения сетчатки с последующей интраретинальной нейрональной атрофией.
Коллатерали как правило, развиваются в зоне окклюзии и соединяют проксимальный и дистальный отделы сосуда. Они делятся на вено-венозные и артерио-артериальные.
Сначала кровоток в шунтах и коллатералях слабый, по мере их развития усиливается, принимая окончательный вид только через 6 месяцев
Офтальмоскопически шунты и коллатерали часто трудно отличить от неоваскуляризации. В дифференциальной диагностике этих сосудистых состояний основная роль принадлежит флюоресцентной ангиографии.
Поражение сосудов сетчатки — это серьезная проблема, о которой говорят многие специалисты в области офтальмологии. Пациенты часто описывают ухудшение зрения, появление темных пятен или искажений в поле зрения. Врачи отмечают, что такие симптомы могут быть связаны с различными заболеваниями, включая диабетическую ретинопатию и гипертоническую болезнь. Многие пациенты не осознают, что ранняя диагностика и лечение могут предотвратить серьезные последствия, такие как слепота. Офтальмологи подчеркивают важность регулярных осмотров, особенно для людей с предрасположенностью к сосудистым заболеваниям. Важно также учитывать, что образ жизни, включая питание и физическую активность, играет значительную роль в здоровье глаз. Обсуждая эту тему, люди часто делятся своими историями и опытом, что помогает повысить осведомленность о необходимости заботы о зрении.

Экссудат

В то же время отложения твердого экссудата приводят к вторичной дегенерации и некрозу окружающих клеток наружного плексиформного слоя. В результате фагоцитоза очаги твердого экссудата могут исчезать в течение 2-3 мес. Если же экссудат откладывается в аваскулярной зоне, то его резорбция протекает более длительное время из-за недостаточного дренирования этой области. При флюоресцеинангиографическом исследовании твердый экссудат не абсорбирует, не экранирует флюоресцеин и, поэтому на флюоресцентной ангиограмме он не визуализируется.
Мягкий экссудат(хлопкообразные очаги) на самом деле таковым не является. При офтальмоскопии он представляет собой белые, как бы «пушистые», несколько проминирующие, с довольно четкими краями ретинальные фокусы, часто локализующиеся в заднем полюсе Очаги «мягкого экссудата» могут быть единичными или множественными. Они возникают при микроинфарктах сетчатки в результате окклюзии терминальных артериол, следствием чего является нарушение аксоплазматического тока в слое нервных волокон и отек аксон-цилиндров в области ишемии.
На флюоресцентной ангиограмме «мягкий экссудат» на ранних и средних фазах не контрастируется. В поздней фазе исследования отмечается его слабая флюоресценция за счет проникновения контрастного вещества из окружающих зон. Появление «мягкого экссудата» свидетельствует о поражении сосудистой системы сетчатки с развитием ишемии. Пациенты, имеющие хлопкообразные очаги, иногда замечают маленькие скотомы, соответствующие поврежденной области, но центральная острота зрения, как правило, не страдает. Специфического лечения эти фокусы обычно не требуют, так как они нередко самостоятельно исчезают в течение 5-7 недель, хотя могут оставаться и более длительный срок, например, у больных с диабетической ретинопатией или тромбозом вен сетчатки.
Геморрагии
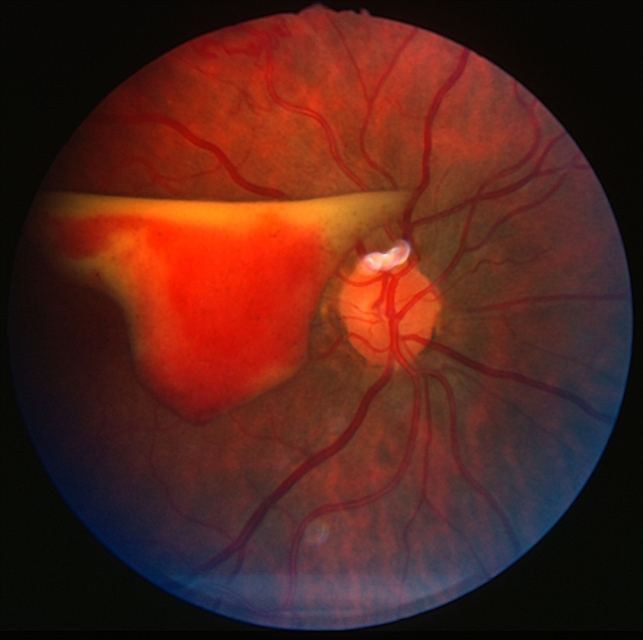
Геморрагии, локализующиеся на глазном дне, имеют различный цвет, который зависит от месторасположения, длительности существования и толщины слоя излившейся крови. Так свежие или тонкие кровоизлияния имеют светло-красный цвет, а старые или массивные — кажутся более темными. Все кровоизлияния можно разделить на преретинальные, интраретинальные и ретроретинальные.

При массивных преретинальных геморрагиях может произойти разрыв гиалоидной мембраны и, тогда кровь, проникая в стекловидное тело, образует интравитреальные кровоизлияния. Через несколько дней, при оседании эритроцитов, офтальмоскопическая картина преретинальных геморрагий изменяется. В это время они состоят как бы из двух частей: более прозрачной полукруглой верхней части розового или бледно-желтого цвета (за счет плазмы) и нижней части в виде темно-красной чаши с четким горизонтальным уровнем. В этом случае цвет обусловлен скоплением эритроцитов.
При флюоресцеинангиографическом исследовании, на всех фазах, преретинальные геморрагии не абсорбируют и экранируют флюоресцеин, поэтому на ангиограмме они регистрируются в виде черных фокусов, прикрывающих подлежащие флюоресцирующие структуры (хориоидею, сетчатку, ретинальные сосуды и др.). Преретинальные кровоизлияния могут полностью или частично рассосаться, а также организоваться. При постепенной резорбции через верхнюю (более светлую) зону начинают прослеживаться сосуды сетчатки, в то же время более темная нижняя часть геморрагии уменьшается, центральная область приобретает желтоватую окраску. При организации кровоизлияний может развиться фиброз различной степени выраженности: от нежных преретинальных мембран до грубых витрео-ретинальных шварт.

- кровоизлияния во внутренних слоях (в слое нервных волокон);
- кровоизлияния в средних и наружных слоях.
В то же время клинически или офтальмоскопически можно выделить: поверхностные (в слое нервных волокон) и глубокие геморрагии (до наружного плексиформного слоя). Далее будет использоваться клиническое (офтальмоскопическое) деление геморрагий.
Поверхностные интраретинальные геморрагии (в слое нервных волокон), если они мелкие, имеют форму штрихов, более крупные -треугольников или пламени, которые основанием обращены к периферии, а вершиной — к диску. На диске и перипапиллярно кровоизлияния располагаются радиально, а вокруг макулы — циркулярно, соответственно ходу нервных волокон. На флюоресцентной ангиограмме поверхностные интраретинальные кровоизлияния выявляются в виде темных пятен или радиальных полос на фоне флюоресцирующих участков. Обширные поверхностные интраретинальные кровоизлияния могут отслаивать внутреннюю пограничную мембрану, тогда кровь скапливается между слоем нервных волокон и внутренней пограничной мембраной. Клинически такое кровоизлияние выглядит как преретинальное (прикрывает подлежащие участки сетчатки и полностью или частично — ретинальные сосуды). При разрыве внутренней пограничной мембраны формируются истинные преретинальные, а затем и интравитреальные геморрагии
Глубокие интраретинальные геморрагиирасположены в средних слоях сетчатки или на границе ее наружных слоев. Они, обычно, небольшие, округлой формы или точечные, так как видны в поперечном разрезе. Эти кровоизлияния проходят через все слои сетчатки в виде столбиков, что связано с особенностями ее строения. Источником таких геморрагий, как правило, являются мелкие сосуды сетчатки, проникающие в средние слои. На флюоресцентной ангиограмме эти геморрагии представляют собой темные мелкие нефлюоресцирующие фокусы. В отличие от точечных геморрагий микроаневризмы всегда четко окрашиваются флюоресцеином.
Ретроретинальные геморрагии, если придерживаться анатомического принципа, можно подразделить на: субретинальные и хориоидальные. Причем, к субретинальным геморрагиям относятся только субпигментные кровоизлияния. В то же время геморрагии, клинически обозначаемые как субретинальные, на самом деле располагаются в слоях сетчатки между пигментным эпителием и слоем палочек и колбочек, т. е., по сути, являются интраретинальными или субнейро-эпителиальными.
Однако, анатомически, среди ретроретинальных геморрагий выделяются: субретинальные (субнейроэпителиальные), субпигментные и хориоидальные.
- Субретинальные (субнейроэпителиальные) кровоизлияния расположены между пигментным эпителием и слоем палочек и колбочек. Эти геморрагии не имеют резких границ, могут быть различной толщины, величины и цвета (от неинтенсивно красного до темнокрасного). Сосуды сетчатки всегда расположены над кровоизлияниями и, соответственно, их ход не прерывается. Если геморрагии имеют значительную толщину, то они приподнимают сетчатку, в результате чего появляется перегиб ретинальных сосудов по краям кровоизлияния. При флюоресцеинангиографическом исследовании субретинальные геморрагии представляют собой нефлюоресцирующие очаги темного цвета, экранирующие подлежащую флюоресценцию хориоидеи, в то же время сосуды сетчатки контрастируются в полном объеме.
- Субпигментные геморрагии находятся между пигментным эпителием сетчатки и мембраной Бруха. Их можно рассматривать как геморрагические отслойки пигментного эпителия, которые представляют собой фокусы с четкими границами темного или черного цвета, иногда несколько проминирующие На флюоресцентной ангиограмме определяются нефлюоресцирующие участки, соответствующие зонам отслоек.
- Хориоидальные кровоизлияния расположены в сосудистой оболочке, имеют различные размеры и, преимущественно, аспидносерый цвет. Поэтому, зачастую, их дифференцируют с меланомой хороидеи.
Судьба геморрагий различна: они могут полностью резорбироваться в течение нескольких недель или месяцев, но нередко после кровоизлияний остаются беловатые фиброзные, а также темные пигментированные очаги.

Нейропатия

При офтальмоскопии, в норме, диск зрительного нерва округлой формы с четкими границами, бледно-розового цвета, причем, височная его половина бледнее носовой. Цвет диска зрительного нерва обусловлен не только количеством капилляров, расположенных на нем, но и рефракцией. Так у лиц с миопией диск зрительного нерва кажется бледнее, а у лиц с гиперметропией — более розовым, по сравнению с эмметропами.
При сосудистой патологии сетчатки страдание зрительного нерва может проявляться в виде его нейропатии или атрофии. Выраженность изменений в зрительном нерве зависит от месторасположения, протяженности, этиологии процесса и его стадии.
Офтальмоскопическая картина нейропатии диска зрительного нерва, на начальных этапах ее развития, характеризуется расширением собственных капилляров, некоторой стушеванностью границ диска и небольшой его проминенцией, также возможны единичные мелкие геморрагии. При выраженной нейропатии границы диска стушеваны или отсутствуют из-за значительного расширения папиллярных капилляров и отека не только диска, но и перипапиллярной сетчатки. В отличие от других заболеваний зрительного нерва (неврит, задняя или передняя ишемическая нейропатия) при простой нейропатии диска зрительного нерва поле зрения обычно соответствует ретинальным изменениям и может быть даже сохранено в полном объеме. А данные электрофизиологического исследования указывают на сохранность аксиального пучка зрительного нерва. На флюоресцентной ангиограмме нейропатия диска зрительного нерва выглядит следующим образом: в артериальную фазу контрастируются резко расширенные, нередко с микроаневризмами, папиллярные капилляры, при наличии геморрагии, последние блокируют подлежащую флюоресценцию. В раннюю венозную фазу начинается экстравазальный выход флюоресцеина из капилляров, расположенных на диске и, из пораженных сосудов сетчатки. В позднюю фазу выявляется гиперфлюоресценция диска зрительного нерва и перипапиллярной сетчатки, которая сохраняется длительное время.
При воспалении или окклюзии ретинальных сосудов на диске зрительного нерва могут локализоваться геморрагии различной величины, распространяющиеся и на перипапиллярную сетчатку. Иногда, при васкулитах, диск прикрыт экссудативной мембраной.
При остром или хроническом сосудистом процессе нередко формируется частичная или полная атрофия зрительного нерва. Тогда офтальмоскопически диск зрительного нерва выглядит бледным, с четкими границами, в некоторых случаях в перипапиллярной зоне определяются участки хориоретинальной атрофии. Однако ни границы, ни цвет диска не могут служить определяющими факторами при постановке диагноза атрофии зрительного нерва. Только ряд исследований, включающих и флюоресцентную ангиографию, позволяет точно диагностировать это заболевание. На флюоресцентных ангиограммах при атрофии в ранние и поздние фазы регистрируется гипофлюоресценция диска зрительного нерва. При наличии перипапиллярной хориоретинальной атрофии, обычно, в этой зоне имеется гиперфлюоресценция, а в случаях отложения пигмента — гипофлюоресценция.
Макулярные изменения
При сосудистых заболеваниях сетчатки в той или иной степени в процесс вовлекается макулярная область. Это может сопровождаться геморрагиями, формированием ишемии или отека, кистозной дистрофией, отложением пигмента, истончением и разрывами сетчатки.
Ишемия макулы является последствием окклюзии перифовеальных капилляров. При офтальмоскопии ишемию макулы определить не представляется возможным. На ее существование иногда могут указывать облитерированные (в виде белых полосок) сосуды, расположенные в макулярной зоне. Также неперфузируемая область, как правило, ограничена несколько расширенными и извитыми сосудами и микроаневризмамй, расположенными по наружному краю ишемической зоны. Только флюоресцентная ангиография позволяет точно диагностировать ишемию макулы. При флюоресцеинангиографическом исследовании в макулярной области определяются темные нефлюоресцирующие участки, по наружным краям которых расположены расширенные флюоресцирующие, с экстрава-зальным выходом контраста, сосуды и микроаневризмы.
Макулярный отек развивается при повышенной проницаемости сосудов и нарушении капиллярной перфузии, что приводит к скоплению жидкости в наружном плексиформном и внутреннем ядерном слоях сетчатки.

- диффузные и кистовидные;
- флюоресцеинпозитивные и флюоресцеиннегативные.
Диффузный макулярный отек представляет собой гомогенный отек сетчатки без видимых полостей и микрокист.
Кистовидный макулярный отек характеризуется образованием микрокист, количество и размер которых постепенно увеличивается. При офтальмоскопии кистовидный отек макулы не всегда хорошо виден. При слабо выраженном отеке исчезает нормальный фовеальный рефлекс, сосуды в макулярной области приподнимаются над пигментным эпителием.
При биомикроскопии, с использованием бесконтактной или контактной линзы, выявляется утолщение сетчатки, мелкие кисты, разделенные нежными перегородками. Следует отметить, что в фовеальной зоне кистовидный отек имеет звездчатую форму (полости радиально расходятся от центральной микрокисты), в пара- и перифовеальной области — он сотовидный. Это обусловлено анатомическим строением сетчатки. Так в фовеа нервные волокна имеют косое, а в пара- и перифовеальной зоне — вертикальное направление. При выраженном кистовидном отеке полости увеличиваются в размерах, сливаются, септы утолщаются, приобретают беловато-серый цвет. В длительно существующих крупных кистах нередко возникает разрыв ее внутренней стенки при сохраненной наружной. В этом случае формируется ламеллярный макулярный разрыв, что клинически проявляется значительным и стойким понижением остроты зрения. При кистовидном отеке макулы, без нарушения целостности внутренней стенки, зрение после купирования основного процесса может частично или полностью восстанавливаться.

При ламеллярных разрывах из-за нарушения целостности внутренней стенки кисты образуется связь между полостью кисты и стекловидным телом. Флюоресцеин, заполняющий центральную кисту, быстро вымывается в стекловидное тело, поэтому центральный отдел «цветка», как правило, не контрастируется. Редко центральная полость контрастируется в раннюю фазу, но ее флюоресценция быстро затухает.
Флюоресцеинпозитивный макулярный отек определяется офтальмоскопически и ангиографически. На флюоресцентной ангио-грамме регистрируется накопление контраста в макулярной области за счет повышенной проницаемости сосудов сетчатки или хориои-деи. Флюоресцеиннегативный макулярный отек выявляется офтальмоскопически, он не флюоресцирует на ангиограммах. При этом виде отека отсутствует патологическая проницаемость сосудистых стенок, функции эндотелия сохранены. Наиболее часто встречается флюоресцеинпозитивный вид макулярного отека.
Длительное существование кистовидного отека или кистовидной дистрофии макулы иногда ведет к развитию центрального разрыва сетчатки в результате нарушения целостности внутренней и наружной стенок кисты.
Макулярный разрыв имеет характерные офтальмоскопические признаки. Он локализуется в фовеальной зоне и выглядит в виде фокуса розового цвета, с четкими границами, овальной или округлой формы. По краю разрыва обычно располагается зона отслойки нейроэпителия с кистовидно измененной сетчаткой и перераспределенным пигментом. На дне разрыва могут быть видны желтые точечные дистрофические очажки. При гистологическом исследовании выявляется деструкция пигментного эпителия, а также макрофаги с включениями пигмента. С течением времени макулярные разрывы претерпевают изменения. Редко их диаметр уменьшается или остается прежним, чаще — увеличивается, как и отслойка нейроэпителия и кистовидный отек. На дне разрыва величина, форма и число желтых очагов также изменяется. Нередко над макулярным разрывом располагается крышечка несколько меньшего размера, чем сам разрыв.
При макулярном разрыве может определяться частичная или полная задняя отслойка стекловидного тела.
В диагностике макулярных разрывов помогает проба со щелью, при которой узкий световой пучок в виде щели направляется на область разрыва. Световая полоса ровно проходит по сетчатке и дну разрыва, а по его краям — изгибается или исчезает. При субъективном восприятии больным световая полоса прерывается в центре. Если разрыв ламеллярный или небольшой по площади центральный, то этот симптом отсутствует. Также следует помнить, что, чем меньше диаметр разрыва, тем выше зрительные функции.
При флюоресцеинангиографическом исследовании макулярные разрывы всех слоев сетчатки на ранних фазах флюоресцируют за счет дезорганизации пигментного эпителия в основании разрыва. В эти фазы также может отмечаться легкая гипофлюоресценция вокруг разрыва в результате экранирующего эффекта отечной сетчатки. Слабая парафокальная гиперфлюоресценция обычно вызвана деструкцией пигментного эпителия. В венозную фазу интенсивность флюоресценции в области разрыва незначительно нарастает, но без изменения границ флюоресцирующего участка. Нередко в этой зоне имеются очаги гипофлюоресценции, обусловленные желтыми фокусами на дне разрыва. В позднюю фазу сохраняется легкая флюоресценция в области разрыва, вызванная контрастированием склеры и стекловидной пластинки. Такая флюоресценция постепенно затухает.
Макулярные разрывы сетчатки приходится дифференцировать с ретинальными псевдоразрывами, которые формируются при контракции глиальной ткани, расположенной в районе фовеа. При этом патологическом состоянии больные либо не предъявляют никаких жалоб, либо они минимальны. Острота зрения у таких пациентов, как правило, довольно высокая. На глазном дне, в центральной зоне, офтальмоскопируется розовый, иногда ярко красный очаг, с четкими границами, окруженный беловато-серой тканью, расположенной преретинально. При сокращении этой фиброзной ткани могут формироваться истинные разрывы сетчатки, но они обычно локализуются парацентрально и имеют неправильную форму. На флюоресцентной ангиограмме псевдоразрывы макулы не флюоресцируют.
При сосудистых заболеваниях сетчатки воспалительного генеза в процесс, практически всегда, вовлекается стекловидное и цилиарное тело, что проявляется фиброзом, клеточной реакцией в стекловидном теле, а также могут быть роговичные и хрусталиковые преципитаты, клетки в передней камере. Причем, количество воспалительных клеток в стекловидном теле или передней камере соответствует выраженности воспалительного процесса.
Вопрос-ответ
Какие симптомы могут указывать на поражение сосудов сетчатки?
Симптомы поражения сосудов сетчатки могут включать ухудшение зрения, появление «мушек» или вспышек света перед глазами, искажение изображения, а также затуманивание зрения. В некоторых случаях пациенты могут не замечать изменений до тех пор, пока заболевание не станет более серьезным.
Каковы основные причины поражения сосудов сетчатки?
Основные причины поражения сосудов сетчатки включают диабетическую ретинопатию, гипертонию, атеросклероз, воспалительные заболевания и тромбообразование. Эти факторы могут приводить к нарушению кровоснабжения и повреждению тканей сетчатки.
Какие методы диагностики используются для выявления поражений сосудов сетчатки?
Для диагностики поражений сосудов сетчатки применяются различные методы, включая офтальмоскопию, флуоресцентную ангиографию, оптическую когерентную томографию (ОКТ) и ультразвуковое исследование глаз. Эти методы позволяют визуализировать состояние сосудов и выявить возможные изменения.
Советы
СОВЕТ №1
Регулярно проходите обследование у офтальмолога, особенно если у вас есть предрасположенность к заболеваниям сосудов, таким как диабет или гипертония. Раннее выявление проблем с сосудами сетчатки может предотвратить серьезные осложнения.
СОВЕТ №2
Обратите внимание на свое питание. Употребление продуктов, богатых антиоксидантами, таких как фрукты и овощи, может помочь поддерживать здоровье сосудов сетчатки. Омега-3 жирные кислоты, содержащиеся в рыбе, также полезны для зрения.
СОВЕТ №3
Контролируйте уровень сахара в крови и артериальное давление. Эти факторы напрямую влияют на состояние сосудов. Регулярные проверки и соблюдение рекомендаций врача помогут снизить риск поражения сосудов сетчатки.
СОВЕТ №4
Избегайте курения и чрезмерного употребления алкоголя. Эти привычки негативно сказываются на здоровье сосудов и могут усугубить состояние сетчатки. Здоровый образ жизни способствует улучшению общего состояния организма и зрения.