
Метод основан на явлении флюоресценции — способности вещества испускать световые волны различной длины в ответ на воздействие источника света, а также неспособности гематоретинального барьера пропускать флюоресцирующие вещества. Используемый краситель (флуоресцеин) при освещении голубым светом с длиной волны около 490 нм активируется и начинает излучать световые волны иного спектра (около 530 нм) желто-зеленого цвета. Специальная фундус-камера фиксирует изображение глазного дна на различных этапах прохождения флуоресцеина по сосудам.
С помощью флюоресцентной ангиографии определяется прохождение через гематоофтальмический барьер красителя — 10 % флюоресцеина натрия — вещества с особыми химическими и физическими свойствами:
- неорганическое вещество;
- слабая двухосновная кислота;
- в 10 % разведении близок к PH крови (до 7,4);
- не токсичен для клеток и тканей при внутривенном введении;
- при внутривенном введении легко связывается альбуминами плазмы крови (80-85 %);
- благодаря небольшим размерам молекулы и низкой молекулярной массе флю-оресцеин легко проникает путем диффузии через большинство биологических мембран.
Таким образом, с применением флюоресцентной ангиографии был преодолен ранее недостигаемый гистогематический и гематоофтальмический барьер и получена возможность объективного изучения в норме и при патологии процессов микро-циркуляции в глазу in vivo у здоровых и больных людей.
Краситель, попадающий в крупные ретинальные и хориоидальные сосуды и капилляры сетчатки, благодаря эндотелию, выстилающему их изнутри и защищающему сетчатку от токсинов и других активных веществ, не может проникнуть в окружающие ткани. Из крупных хориоидальных сосудов флуоресцеин попадает в капилляры, имеющие тонкие стенки со множеством отверстий (фенестрами), через которые осуществляется обмен питательными веществами и продуктами жизнедеятельности с глубже лежащими структурами сетчатки. Через фенестры краситель проникает во внесосудистое пространство и через мембрану Бруха. Дальнейший его путь через ПЭС в норме блокируется плотным слоем клеток этой структуры.
В России данное исследование проводится с внутривенным введением контрастного вещества, но Niranjan Manoharan с соавт. провели исследование, в рамках которого проводился сравнительный анализ качества и информативности широкопольных снимков глазного дна при внутривенном и пероральном введении контрастного вещества. Всего в рамках данного исследования было изучено 41 фундус-изображение пациентов с пероральным методом введением контраста и 62 – внутривенным. Результаты многофакторного анализа с корректировкой на возраст не выявили никакой статистически значимой разницы между качеством изображений обеих групп (Р=0,59). Также не было выявлено и разницы с точки зрения клинической полезности сравниваемых методов. Авторы пришли к выводу, что пероральное введение флюоресцеина с целью проведения ангиографии, как ценного клинического инструмента в диагностике заболеваний сетчатки у детей, может быть методом выбора, поскольку позволяет избежать выполнения общей анестезии и развития анафилактических реакций в ответ на сам препарат. (Manoharan N., Pecen P.E., Cherof A.M. Comparison of oral versus intravenous fluorescein widefield angiography in ambulatory pediatric patients // J. Vitreo Retinal Diseases. – 2017. – Vol. 1., Issue 3. – P. 191–196.)
Показания
Наследственные тапеторетинальные абиотрофии (ТРА) сетчатки.
- Дистрофии сетчатки с преобладающими изменениями в макуле вследствие нарушения кровообращения в сосудисто-капиллярной пластинке (центральная серозная ретинопатия, ВМД).
- Диабетическая ретинопатия.
- Новообразования сосудистой оболочки (меланома, невус, меланоцитома, метастазирующие опухоли).
- Острые нарушения кровообращения в сосудах сетчатки (тромбоз и эмболия центральной артерии и вены сетчатки и ее ветвей).
- Воспалительные заболевания сосудистой и сетчатки.
- Изменения в диске зрительного нерва (застойный диск зрительного нерва, псевдозастой, неврит).
Противопоказания
- Аллергические реакции в анамнезе (ангионевротический отек, крапивницы, пирогенные реакции и т.п.).
- Бронхиальная астма в стадии обострения.
- Декомпенсация сердечно-сосудистой системы.
- Заболевания почек (острый, хронический гломерулонефрит в стадии обострения, пиелонефрит, нефроптоз).
- Тяжелые заболевания сердечно-сосудистой системы.
- Беременность является относительным противопоказанием.
- При лактации необходимо отказаться от кормления в течение 4-х дней после проведения исследования.
Методика проведения

При регистрации изображений сосудов сетчатки визуализируются зоны с отсутствием перфузии и диффузии, либо наоборот затёки флюоресцеина из поражённых сосудов. На ретинофот (аппарат для фотосъёмки глазного дна) надевается кобальтовый фильтр. После введения контраста регистрируется его накопление с помощью чёрно-белой либо цветной фотографии в последовательные стадии:
- Наполнение хориоидальных сплетений
- Наполнение артерий сетчатки
- Артерио-венозная фаза
- Венозная стадия
- Поздняя стадия
Производится фотографирование всех участков сетчатки (либо какого-то конкретного), в том числе на поздней стадии, когда можно зафиксировать состояние макулы (через 5-10 минут), для исключения её отёка.
Преимуществами флюоресцентной ангиографии сетчатки являются:
- Возможность динамического наблюдения
- Детальное изображение капиллярного ложа и кровоснабжения сетчатки
- Морфологический анализ: визуализация участков с отсутствием перфузии и зон ишемии, а также неоваскуляризации
- Качественный анализ эндотелия сосудов: выявление участков с нарушенной проницаемостью, отёка
- Обнаружение ранних изменений, не выявляемых при клиническом исследовании — мелких микроаневризм, расширения капилляров, небольших участков с отсутствием перфузии, ранних изменений проницаемости сосудов
Подтверждение данных клинических исследований
- Мониторирование характера прогрессирования заболевания
- Оценка эффективности проводимого лечения
- Изображение может быть получено на экране, введено в память компьютера
Осложнения
- Временная окраска кожных покровов в желто-коричневый цвет, изменение цвета мочи, видение предметов в красном цвете после фотовспышек камеры.
- Тошнота и рвота (10%) – обычно преходящие, не нуждаются в лечении.
- Вазовагальные обмороки (1%) – не нуждаются в лечении, за исключением резкой брадикардии, требующей введения атропина.
- Аллергические реакции: бронхоспазм, крапивница и гипотензия (1%) – требуют инъекций супрастина, гидрокортизона, в некоторых случаях адреналина и ингаляции кислорода.
- Остановка сердечной деятельности и дыхания (менее 0,01%) – проводится сердечно-легочная реанимация.
В связи с вышесказанным, кабинет, где проводится ФАГ, должен иметь средства и условия для оказания неотложной помощи.
Флюоресцентная ангиография является важным инструментом в диагностике заболеваний глаз и сосудистой системы. Врачи отмечают, что этот метод позволяет получить детализированные изображения кровеносных сосудов, что существенно облегчает выявление патологий, таких как диабетическая ретинопатия и макулярная дегенерация. Специалисты подчеркивают, что использование флюоресцеина, контрастного вещества, помогает визуализировать кровоток и выявлять участки с нарушенной перфузией. Однако врачи также предупреждают о необходимости тщательной оценки показаний к проведению процедуры, так как у некоторых пациентов могут возникнуть аллергические реакции на контраст. В целом, флюоресцентная ангиография считается безопасной и высокоэффективной методикой, которая значительно улучшает диагностику и лечение заболеваний.

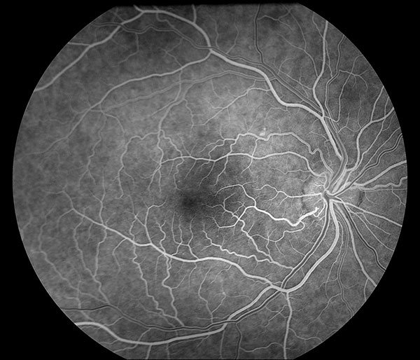
Флюоресцентная ангиограмма нормального глазного дна
Флюоресцеин поступает в глаз через 6-12 с после инъекции. Первая флюоресценция хориоидеи — слабая, неравномерная, пятнистая, т.н. пятнистое хороидальное заполнение. В течение следующих 10 с (20-25 с после инъекции) ангиограмма становится светлой, что обусловлено заполнением флюоресцеином хориокапилляров. В большинстве случаев флюоресцеин оказывается в хориоидее на 1-2 с раньше начала поступления красителя в артерии сетчатки. Заполнив ретинальные артерии, краситель следует в артериолы, капилляры, посткапиллярные венулы и, наконец, в вены. Поскольку в венах скорость тока крови в центре и пристеночно разная, заполнение вен флюоресцеином характеризуется «ламинарным током», в течение 5-10 с начальная венозная фаза переходит в развитую. В диске зрительного нерва гиперфлюоресценция начинается в начальную венозную фазу. Через 30 с после инъекции высота концентрации флюоресцеина начинает спадать. Спустя 3-5 мин после инъекции сосуды хориоидеи и сетчатки освобождаются от флюоресцеина, через 10 мин флюоресцеин полиостью вымывается из сосудистой циркуляции.
Пигментный эпителий полупрозрачен и частично экранирует свечение хориоидеи, контрастируя феномены флюоресценции сосудов прозрачной в норме сетчатки. При интенсивной пигментации рисунок сосудов сетчатки просматривается хорошо, хориоидальные сосуды плохо различимы. В случае слабой пигментации глазного дна контрастность флюоресцентных ангиограмм сильно снижается, хорошо видны сосуды хориоидеи, различимость капилляров сетчатки резко ухудшается. В макулярной области сосудистая оболочка обычно содержит повышенное количество меланина, по этой причине интенсивность свечения желтого пятна сильно ослаблена.
Фазы циркуляции красителя. В соответствии с этапами заполнения сосудистого русла сетчатки выделяется большое количество фаз исследования. В практической работе используются следующие:
- артериальная фаза — длится приблизительно с 10-й по 13-ю с от момента введения красителя, от начала до окончания прокрашивания артериол. Заполнение сосудистой оболочки (хориоидальная фаза) на 0,2-0,5 секунд предшествует по времени заполнению артерии и может иметь сегментарный характер;
- артериовенозная фаза — с 15-й по 30-ю секунду исследования, — время заполнения венул. К концу этой фазы яркость свечения артериол и венул уравнивается. Концентрация флюоресцеина в сосудах сетчатки и хориоидеи достигает максимума, апогей свечения глазного дна;
- венозная фаза — обычно начинается на 30-35-й секунде, когда венулы сетчатки начинают флюоресцировать ярче артериол. При слабой пигментации глазного дна хорошо заметны темные хориоидальные сосуды на фоне интенсивно прокрашенных сосудистой оболочки и склеры;
- поздняя венозная фаза — начинается через 1-1,5 минуты, с момента повторного уравнивания яркости свечения артериол и венул. Интенсивность флюоресценции глазного дна снижается;
- фаза рециркуляции красителя (поздняя фаза) начинается с момента, когда сосуды на диске зрительного нерва становятся темнее его поверхности (через 10-15 минут). Время начала фазы существенно зависит от характеристики светофильтров фундус-камеры. Качество получаемых фотоснимков обычно снижено вследствие крайне слабого свечения глазного дна и накопления флюоресцеина во влаге передней камеры глаза.
Оценка результатов

Причины гиперфлуоресценции:
- атрофический процесс, создающий «окончатые» дефекты в ПЭС;
- скопление флуоресцеина под отслойкой ПЭС или в субретинальном пространстве (при ЦСР) из-за несостоятельности наружного гематоретинального барьера (плотного соединения клеток ПЭС);
- внутритканевые утечки и окрашивание тканей при несостоятельности внутреннего гематоретинального барьера (при кистовидном отеке макулы), новообразованных сосудах хориоидеи (ХНВ), патологии сосудов сетчатки или ДЗН (пролиферативная ДРП);
- прокрашивание окружающих тканей в результате длительного удержания ими флуоресцеина (друзы).
Причины гипофлуоресценции:
- блокировка флуоресценции тканями и пигментами увеличенной оптической плотности, кровоизлияниями или появлением атипичных тканей и образований в центральных слоях сетчатки;
- уменьшение содержания или полное отсутствие флуоресцеина в тканях из-за препятствий кровотоку в сетчатке и хориоидее (окклюзии);
- отсутствие сосудистой ткани, например, при колобомах и дистрофических процессах в сосудистой оболочке при высокой миопии.
Флюоресцентная ангиография (ФА) вызывает множество обсуждений среди пациентов и специалистов. Многие отмечают, что этот метод позволяет получить детальную информацию о состоянии сосудов и сетчатки, что особенно важно при диагностике заболеваний глаз. Пациенты часто делятся своими впечатлениями о процедуре: некоторые находят её комфортной, в то время как другие испытывают легкий дискомфорт из-за инъекции контрастного вещества. Важно отметить, что результаты ФА помогают врачам точно определить наличие патологии и выбрать оптимальное лечение. Однако, как и любая медицинская процедура, ФА имеет свои противопоказания и риски, о которых стоит поговорить с врачом. В целом, большинство людей считают флюоресцентную ангиографию полезным инструментом в диагностике и лечении глазных заболеваний.

Памятка пациенту
Флюоресцентная ангиография – это исследование, с помощью которого диагностируются патологические процессы на глазном дне: патология кровеносных сосудов, кровоизлияния, воспаления, новообразования, отеки и т.п.
Перед исследованием
- Советуем надеть блузу с широкими рукавами, так как Вам в руку будет установлена венозная канюля.
- Ешьте только легкую пищу, поскольку после укола может появиться тошнота
Если у Вас диабет, Вы должны обязательно сделать инъекцию необходимого количества инсулина, а также поесть.
Примерно за полчаса до начала процедуры Вам в глаз закапают капли, расширяющие зрачок. Вам будут заданы вопросы об общем состоянии здоровья и о принимаемых Вами лекарствах. В руку будет установлена венозная канюля, через которую будет вводиться флюоресцин (красящее вещество), который оттуда поступит в кровеносные сосуды глаза.
Обязательно сообщите процедурной сестре:
- если у Вас имеется аллергия на какие-либо лекарства, пищевые продукты или на шерсть животных,
- о лекарствах, которые Вы принимаете,
- о беременности или о подозрении на беременность,
- об острой или хронической почечной недостаточности.
Ход исследования:
Во время исследования глазного дна Вас попросят сидеть спокойно и смотреть в камеру. После этого Вам в вену введут флюоресцин и сфотографируют картину глазного дна. Вся процедура в целом продлится примерно два часа, в течение которых расширяется зрачок, делаются снимки глазного дна и через определенное время удаляется венозный катетер.
После исследования:
- Ваша кожа может обрести желтоватый оттенок, однако это временное явление, которое пройдет через 1-2 дня.
- Флюоресцин выделяется из организма через почки, поэтому Ваша моча после процедуры будет ярко-желтой. Это также пройдет через 1-2 дня.
- До конца дня Ваше зрение может быть затуманено, поэтому, приходя на процедуру, самостоятельно управлять автотранспортом не рекомендуется. Можете взять с собой темные солнцезащитные очки.
- После укола в вену может возникнуть чувство тошноты, которое быстро пройдет.
- В течение одной недели нельзя загорать.
Вопрос-ответ

Что такое флуоресцентная ангиография?
Флуоресцентная ангиография (ФАГ) — метод исследования сосудов сетчатки и хориоидеи, заключающийся во внутривенном введении особого красителя — флуоресцеина, и наблюдении за его прохождением по сосудам глазного дна. Метод основан на свойстве этого красителя — флуоресценции.
Как делают ангиографию глаза?
В исследуемый глаз ему закапывают капли для расширения зрачка. До введения красителя выполняют первый контрольный снимок состояния глазного дна. Затем проводят быстрое внутривенное вливание раствора 10% флуоресцеина (5 мл), а после в течение 25-30 секунд выполняют ежесекундное фотографирование.
Что может показать ангиография?
Ангиография — это рентгеновское исследование, визуализирующее кровоток в венах, артериях и камерах сердца. Ангиография используется для обнаружения сужений или закупорки артерий. Также можно обнаружить сгустки крови, отложения кальция, ослабления и выпячивания стенок артерий (аневризмы).
Как сделать флюоресцентную ангиографию?
Чаще всего его вводят во внутреннюю часть локтя. Устройство, похожее на камеру, делает снимки движения красителя по кровеносным сосудам в задней части глаза. Новый метод, называемый сверхширокоугольной флуоресцентной ангиографией, может предоставить больше информации о некоторых заболеваниях, чем обычная флуоресцентная ангиография.
Советы
СОВЕТ №1
Перед проведением флюоресцентной ангиографии обязательно проконсультируйтесь с врачом. Обсудите все свои медицинские истории, аллергии и принимаемые лекарства, чтобы избежать возможных осложнений.
СОВЕТ №2
Убедитесь, что вы понимаете процесс процедуры. Задайте врачу все интересующие вас вопросы о том, как будет проходить ангиография, какие ощущения вы можете испытать и как долго продлится исследование.
СОВЕТ №3
После процедуры следуйте рекомендациям врача по восстановлению. Это может включать в себя питьевой режим, ограничение физической активности и наблюдение за возможными побочными эффектами.
СОВЕТ №4
Не забывайте о важности последующего наблюдения. После флюоресцентной ангиографии важно пройти повторные обследования, чтобы оценить результаты и следить за состоянием здоровья.
Наследственные тапеторетинальные абиотрофии (ТРА) сетчатки.
Подтверждение данных клинических исследований