«Взрывные» переломы нижней стенки глазницы являются наиболее распространенным видом переломов глазницы и занимают второе место (после травм носа) по частоте встречаемости среди всех повреждений средней зоны лица. В большинстве случаев являются односторонними, хотя описаны не столь редкие (до 5 %) случаи возникновения двусторонних «взрывных» переломов нижней стенки орбиты.
Предполагаемые механизмы
Хотя первое описание и фоторегистрация травматического энофтальма, возникшего в результате тупой травмы глазницы у двенадцатилетнего мальчика, датированы 1889 г., причинно-следственная связь энофтальма с орбитальным переломом была установлена R. Pfeiffer лишь в 1943 г. Термин «blow-out» для обозначения растрескивания нижней стенки орбиты без вовлечения подглазничного края предложен J. M. Converse и B. Smith в 1956 г.

Любопытно, что, вопреки устоявшемуся мнению, удар теннисным мячом не приводит к пере-лому, хотя может вызвать повреждение глазного яблока. По-видимому, деформация полого мячика во время контакта и эффект присасывания, возникающий в момент отскока от периор-битальной области, демпфируетподъем внутриорбитального давления. Для возникновения перелома требуется воздействие неспособного к преходящей деформации ранящего агента, например, кулака.
При обширных оскольчатых дефектах нижней стенки мягкие ткани не столько ущемляются, сколько смещаются вниз под воздействием силы тяжести и реактивного отека. Не столь многочисленные сторонники «механической» гипотезы, сформулированной R. Le Fort (1901), считают основным механизмом взрывного растрескивания дна орбиты волнообразные деформации, передающиеся с подглазничного края.
В зависимости от направления вектора силы дно орбиты (в первую очередь его внутренняя половина) испытывает или горизонтальную, или ротаторную деформацию. Площадь перелома будет максимальной в случае, если ранящий агент движется снизу-вверх под углом 30º к подглазничному краю. Кинетическая энергия, требующаяся для разрушения дна глазницы путем волнообразной деформации и через гидравлический удар, практически одинакова, но локализация и протяженность «гидравлических» и «механических» переломов существенно различаются. Экспериментальные исследования на кадаверных орбитах продемонстрировали, что переломы, обусловленные волнообразной деформацией, ограничиваются передней половиной внутренней части дна глазницы, не распространяются на медиальную стенку и не сопровождаются ущемлением мягких тканей в зоне костного дефекта.
Гидравлический механизм вызывает гораздо более протяженные переломы, захватывающие не только всю нижнюю, но и медиальную стенку глазницы, пролапс мягких тканей и энофтальм. По мнению некоторых авторов, в возникновении перелома играют роль оба механизма, и противопоставлять их в корне неверно. Одновременная инициация обоих механизмов травмы, их сосуществование, взаимодополнение с доминированием в каждом конкретном случае какогото одного варианта и объясняет многообразие орбитальных фрактур.

Для изолированного «взрывного» перелома дна глазницы требуется меньше энергии, чем для повреждения медиальной стенки или возникновения инферо-медиального перелома. Этот, казалось бы, нелогичный, но давно известный клиницистам факт нашел свое объяснение в работе H. Takizawa с соавт. (1988). На основе экспериментов и последующего компьютерного моделирования авторы наглядно продемонстрировали, что очень важную роль играет не только толщина, но и контур (профиль) стенок глазницы. В частности, аркообразная крыша орбиты гораздо более устойчива к деформации, чем практически плоское дно, которое легче деформируется и ломается. Медиальная стенка еще более тонкая, но ее сзади наподобие контрфорсов укрепляют ячейки решетчатой кости. Поэтому для перелома медиальной стенки требуется больше механической энергии, чем для разрушения глазничного дна.
Способствуют повреждению дна орбиты такие анатомические образования, как нижняя глазничная щель, подглазничная борозда и канал, а также рефлекторное сокращение круговой мышцы глаза и наличие под орбитой большой воздухоносной полости. Именно недоразвитием верхнечелюстной пазухи и продолжающимся ростом глазницы объясняется редкость возникновения переломов дна орбиты у детей до 7–8 лет. Если фрактура все же возникает, то реже чем у взрослых требует хирургического лечения.
Врачи отмечают, что перелом нижней стенки глазницы является серьезной травмой, требующей внимательного подхода к диагностике и лечению. Специалисты подчеркивают, что такие переломы часто сопровождаются повреждением мягких тканей, что может привести к различным осложнениям, включая нарушения зрения и эстетические дефекты. Важно, чтобы пациенты обращались за медицинской помощью сразу после травмы, так как своевременная диагностика с помощью компьютерной томографии позволяет точно оценить степень повреждения. Лечение может варьироваться от консервативного наблюдения до хирургического вмешательства, в зависимости от тяжести перелома и наличия сопутствующих травм. Врачи также акцентируют внимание на необходимости реабилитации, которая поможет восстановить функции глаза и предотвратить возможные осложнения в будущем.

Классификация
Согласно рентгенологической классификации G. F. Fueger, A. T. Milauskas и W. Britton (1966), «взрывные» переломы подразделяются на шесть основных типов, некоторые из которых содержат подтипы:
- Классический — низкоэнергетический перелом внутренней (наиболее слабой) половины нижней стенки медиальнее подглазничного канала.
- С вовлечением подглазничного канала.
- Инферомедиальный, то есть перелом нижней и медиальной стенок.
- Полный (тотальный) переломнижней стенки глазницы . Распространение фрактуры латеральнее подглазничного канала, как правило, обусловлено воздействием ранящего агента с достаточно большой кинетической энергией, что и приводит к растрескиванию всей нижней стенки.
- Атипичные формы взрывных переломов:
- прямоугольная;
- треугольная;
- звездчатая.
- Y-образный;
- латеральный линейный
Симптомы

Весьма характерными являются жалобы на гипостезию по ходу подглазничного нерва, предъявляемые 70 % пациентов. А сочетание неврологических расстройств с вертикальной диплопией и энофтальмом позволяет практически безошибочно сформулировать клинический диагноз перелома дна орбиты.
- Периокулярные признаки (а, б): периорбитальный экхимоз, субконъюнктивальное кровоизлияние (гипосфагма), отек и подкожная эмфизема различной степени.
- Сужение глазной щели поврежденного глаза, хорошо видимое при сравнении положения нижнего века с обеих сторон (в — сужение левой глазной щели).
- Анестезия области иннервации нижнеглазничного нерва затрагивает нижнее веко, щеку, спинку носа, верхнее веко, верхние зубы и десны, поскольку «взрывной» перелом часто затрагивает стенки нижнеглазничной щели.
- Диплопия может быть обусловлена одним из следующих механизмов:
- Кровоизлияние и отек вызывают уплотнение тканей орбиты между нижней прямой, нижней косой мышцами и надкостницей, что ограничивает подвижность глазного яблока. Подвижность глаза обычно улучшается после разрешения кровоизлияния и отека.
- Механическое ущемление в области перелома нижней прямой или нижней косой мышцы или прилежащей соединительной и жировой ткани. Диплопия обычно проявляется при взгляде как вверх, так и вниз (двойная диплопия). В этих случаях тракционный тест и дифференциальный тест репозиции глазного яблока положительны. Диплопия впоследствии может уменьшиться, если была обусловлена в основном ущемлением соединительной ткани и клетчатки, но обычно сохраняется при вовлечении в перелом непосредственно мышц.
- Прямая травма экстраокулярных мышц в сочетании с отрицательным тракционным тестом. Мышечные волокна обычно регенерируют, и через 2 месяца нормальная функция восстанавливается.
Перелом нижней стенки глазницы — это серьезная травма, о которой говорят многие. Люди отмечают, что такие повреждения часто сопровождаются сильной болью, отеком и ограничением подвижности глаз. Важно, что симптомы могут варьироваться: некоторые пациенты испытывают двоение в глазах или снижение зрения, что вызывает дополнительное беспокойство. Многие делятся опытом лечения, подчеркивая важность своевременной медицинской помощи. Врачи рекомендуют не игнорировать даже легкие травмы, так как последствия могут быть серьезными. Также обсуждают необходимость реабилитации, которая помогает восстановить функции глаза и избежать осложнений. В целом, информация о переломах нижней стенки глазницы подчеркивает важность внимательного отношения к своему здоровью и необходимости обращения к специалистам.

Диагностика
Диагностике «взрывного» перелома нижней стенки глазницы способствуют весьма характерные жалобы, из которых наиболее важной является двоение при вертикальных движениях глаз, встречающееся у 58 % пациентов.
Первичное положение взора, а также изменение выраженности диплопии при движениях глазного яблока позволяет предположить зону ущемления нижней прямой мышцы.
В 1970 г. S. Lerman были сформулированы весьма интересные закономерности, касающиеся диплопии при «взрывных» переломах.
- Так, если диплопия усиливается при взгляде вверх и уменьшается при взгляде вниз, а при первичном положении взора глазное яблоко в поврежденной орбите слегка отклонено книзу, то нижняя прямая мышца ущемлена в преэкваториальной зоне.
- Если ограничение подвижности и двоение одинаково выражены при взгляде вверх и вниз, а при первичном положении взора глаз занимает центральное положение, то мышца ущемлена в зоне экватора глазного яблока.
- Наконец, если диплопия усиливается при взгляде вниз и ослабевает при взгляде вверх, а при первичном положении взора глазное яблоко слегка отклонено кверху, то нижняя прямая мышца ущемлена за экватором глазного яблока
В качестве возможной причины девиации глазного яблока кверху рассматривается парез нижней прямой мышцы, смещение нижнего мышечного комплекса в зону перелома, неестественный угол прикрепления дислоцированной нижней прямой мышцы к склере.
В постановке диагноза помогает детальная оценка механизма травмы. При этом следует обратить внимание на два фактора, в значительной мере определяющих клиническую картину перелома: размер ранящего агента и энергетическую составляющую травмы. Если площадь тупого твердого предмета меньше размеров входа в глазницу, у пациента возможно развитие субконъюнктивального разрыва склеры. Если размеры ранящего снаряда больше размеров орбитального входа, то возможны два варианта:
- при воздействии агента, обладающего относительно низкой скоростью и, соответственно, небольшой кинетической энергией возникает низкоэнергетический «взрывной» перелом нижней стенки, при выраженном воздействии — среднеэнергетический комбинированный перелом подглазничного края и дна орбиты.
- Наконец, ранящий агент больших размеров, обладающий высокой кинетической энергией, вызывает перелом не только края и дна орбиты, но и других костей лица, вплоть до формирования высокоэнергетических панфациальных переломов. Чаще всего подобные ситуации возникают в результате дорожно-транспортных происшествий.
Таким образом, анализ обстоятельств травмы имеет важное практическое значение, ибо позволяет предугадать характер повреждения и заподозрить те изменения, которые во время первичного осмотра могут маскироваться отеком и гематомой периокулярных тканей.
Объективное исследование начинается с наружного осмотра. На вероятный перелом дна орбиты указывают такие симптомы, как выраженный отек и гематома век, гипосфагма, хемоз бульбарной конъюнктивы.
Общепринятым является мнение, что при наличии у пациента подобной симптоматики достоверная оценка положения глазного яблока в орбите (в трех плоскостях) и объема его движений становится возможной лишь через 2–3 недели после травмы, так как реактивный отек и гематома мягких тканей глазницы могут скрыть энофтальм величиной до 3 мм.
Аксиальная дистопия (эно- или экзофтальм) определяется относительно здорового глаза с помощью экзофтальмометра Hertel-Krahn. Выбирается такой базис, чтобы упоры экзофтальмометра плотно прижались к передней поверхности латеральных краев орбиты. Врач оценивает своим левым глазом выстояние правого глаза пациента и наоборот. При оценке правого глаза испытуемого левый глаз врача открыт, а пациент должен смотреть на закрытый правый глаз врача. Используя свой левый глаз, исследователь сводит в одну параллельные линии в зеркале и по нанесенной на нем шкале оценивает выстояние роговицы.
Экзофтальм при повреждении нижней стенки глазницы возможен лишь в остром периоде травмы и обусловлен отеком и/или гематомой орбитальных тканей. Типичным для «взрывного» перелома симптомом является западение глазного яблока.
Энофтальм свидетельствует об увеличении объема орбиты, что характерно для «взрывного» перелома со
значительным смещением отломков (классический, инферомедиальный, тотальный).
Легкой считается аксиальная дистопия в 1-2 мм, умеренной — 3-4 мм, энофтальм свыше 5 мм является выраженным.
K. Yab с соавторами (1997) на основании анализа КТ-грамм пациентов с глазничными переломами установили, что пока прирост орбитального объема не превысит 2 мл, энофтальм сохраняется на уровне 1 мм. Затем степень западения глазного яблока растет пропорционально увеличению объема глазницы, но при изолированном переломе нижней стенки никогда не превышает 4 мм.
Вертикальная дистопия (гипофтальм) оценивается относительно горизонтальной линии, проходящей через центр зрачка здорового глаза. Как правило, опущение глазного яблока свидетельствует о протяженном переломе нижней стенки глазницы. Наиболее выраженным вариантом гипофтальма являются казуистические случаи вывиха глазного яблока в верхнечелюстную пазуху.
Латеральная дистопия (во фронтальной плоскости) измеряется путем сравнения расстояния от середины переносицы до носовой части лимба. Разница между здоровой и поврежденной стороной свидетельствует о сопутствующем переломе медиальной стенки орбиты.
Следующим этапом исследования является анализ глазодвигательных расстройств. Сначала оценивается положение глазных яблок при первичном направлении взора, затем — их экскурсии в горизонтальном и вертикальном меридианах. Далее проверяется подвижность глаз в каждом из шести основных направлений взора — вправо, влево, вверх-кнаружи, вверх-кнутри, книзу-кнаружи, книзу-кнутри.
Тотальное ограничение подвижности обычно свидетельствует об отеке или гематоме орбиты. Диагностической ценностью обладает факт уменьшения супрадукции или инфрадукции на поврежденной стороне в сравнении с подвижностью парного глаза. Следует помнить, что очевидные ограничения моторики глазного яблока встречаются редко.
Для выявления не столь явных глазодвигательных расстройств проводится проба с «провоцированной» диплопией, основанная на оценке относительного положения в пространстве изображений, принадлежащих фиксируемому и отклоненному (пораженному) глазу.
Появление диплопии вызывается приставлением к одному глазу красного стекла. Это позволяет одновременно определить, какое из двойных изображений принадлежит правому и какое — левому глазу.
Врач и пациент находятся на расстоянии 1,5–2 м и обращены лицом друг к другу. В руках у врача карманный фонарь, который он передвигает вправо, влево, вверх, вниз и в промежуточные положения, спрашивая при этом у пострадавшего, видит он одно или два изображения лампочки. Если пациент видит два изображения, то его просят сообщить, в каком положении относительно друг друга они находятся, каково расстояние между ними и когда оно увеличивается или уменьшается.
При оценке результатов исследования пользуются следующими правилами:
- поражена мышца того глаза, изображение которого отходит дальше от средней горизонтальной или вертикальной линии, это изображение называют мнимым;
- мнимое изображение всегда проецируется в сторону действия парализованной мышцы, поэтому одноименная диплопия возникает при поражении отводящих мышц, разноименная диплопия — при поражении приводящих мышц;
- расстояние между двойными изображениями увеличивается по мере перемещения взора в сторону действия пораженной мышцы.
Дифференциальная диагностика между основными причинами расстройств моторики (парез веточки глазодвигательного нерва или ущемление мышцы в зоне перелома) осуществляется с помощью тракционного теста, который выполняют следующим образом

- Положительный тракционный тест (в) — это затрудненное пассивное смещение глазного яблока кверху при сохранении его нормальной подвижности книзу. При этом клинически подвижность глаза ограничена и вверх, и вниз. Положительный тракционный тест свидетельствует об ущемлении нижней прямой или нижней прямой и нижней косой мышц в зоне перелома. В ряде случаев ущемляется только нижняя порция передней подвешивающей системы, однако ее тесная связь с мышцами также приводит к возникновению диплопии и требует хирургического лечения.
- Отрицательный тракционный тест (г) (незатрудненное пассивное смещение глазного яблока кверху) встречается в 18 % случаев и указывает на паралич поднимателя глаза или повреждение мышцы (контузионный отек, гематома, отрыв от склеры).
В этом случае осуществляется так называемый генерационный тест (тест генерации мышечного усилия). После эпибульбарной анестезии конъюнктива у лимба в меридиане 6 часов фиксируется роговичным пинцетом и глазное яблоко удерживается в первичном направлении взора. Пациента просят смотреть в направлении действия исследуемой нижней прямой мышцы, т. е. вниз. При сохраненной иннервации врач почувствует мышечную тягу, стремящуюся опустить глазное яблоко (положительный тест). Отрицательный результат теста нельзя интерпретировать столь же однозначно, т. к. он может быть обусловлен как параличом глазодвигательного нерва, так и повреждением мышцы. В большинстве случаев причина отрицательного теста заключается в мышечной дисфункции, как правило, исчезающей в течение 1–2 недель. Затяжной характер глазодвигательных расстройств свидетельствует об их нейрогенной природе.
Противопоказанием к выполнению тестов является наличие у пациента болевого синдрома, блефароспазма, орбитальной гематомы или отека тканей, когда высока вероятность получения ложноположительных результатов.
Несмотря на то, что «взрывной» перелом демпфирует резко возросшее внутриорбитальное давление, в 30-40 % случаев подобные травмы сочетаются с различными повреждениями глаза, нередко (20-30 %) тяжелыми.
По данным L. Tong с соавторами (2001), из них 40 % приходятся на контузионные разрывы склеры. В 38 % случаев перелому нижней стенки глазницы сопутствуют повреждения за пределами костей лица, прежде всего черепа и головного мозга. Вообще, при «взрывном» переломе вероятность травмы глазного
яблока в 2,5 раза выше, чем при скулоорбитальном.
Поэтому в обязательном порядке следует убедиться в целости глазного яблока, являющейся непременным условием реконструкции нижней стенки орбиты. К сожалению, травмы глаза и периорбитальной области на этапе приема пациентов с переломами средней зоны лица нередко просматриваются.
При поступлении пострадавшего в первую очередь нужно оценить остроту зрения и зрачковые реакции.
Низкая острота зрения в приемном отделении может быть обусловлена самыми разными причинами — отсутствием средств коррекции, примесью крови в слезе, болью, интоксикацией, испугом, не позволяющими пострадавшему сконцентрироваться. В общем, тщательная визометрия на этапе поступления
зачастую невозможна и, наверное, не столь важна. Но амавроз однозначно свидетельствует о серьезном повреждении зрительного анализатора.
При отсутствии (реальном или кажущемся) предметного зрения оценивается восприятие интенсивности обычного белого цвета здоровым и пораженным глазом. Для оценки состояния зрительного нерва проводится проба на различение красного цвета. Окрашивание тестового объекта (им может быть
просвечиваемая фонариком ногтевая фаланга указательного пальца или колпачок красного цвета от флакона с мидриатиком) в оранжевый или коричневатый оттенки является плохим прогностическим признаком.
Если пациент находится в бессознательном состоянии, то единственным интегральным показателем функционирования зрительного анализатора оказывается состояние зрачков, в частности их форма и размеры. Корэктопия (деформация и смещение зрачка) характерна для проникающего ранения глазного яблока или контузионного разрыва склеры.
При оценке зрачка следует помнить, что его диаметр не находится в тесной корреляции с остротой зрения, так как она является функцией зрительного нерва (n. II), а величина зрачка определяется взаимодействием симпатических волокон глазной ветви тройничного нерва (n. VI) и парасимпатических волокон, находящихся в нижней ветви глазодвигательного нерва (n. III).
Как следствие, слепой глаз может иметь нормальный диаметр зрачка и, наоборот, максимальный мидриаз не препятствует высокой остроте зрения.
Далее анализируются зрачковые реакции на яркий свет. Афферентный зрачковый дефект, или зрачок Маркуса–Гунна (ослабленная прямая реакция зрачка на свет при сохраненной содружественной), является наглядным подтверждением травмы зрительного нерва. Суть симптома заключается в парадоксальной реакции зрачка при быстром перемещении светового потока со здорового глаза на больной, зрачок которого при освещении не только не сужается, а расширяется вследствие утраты прямой реакции из-за нарушения афферентной части дуги зрачкового рефлекса.
Следующим этапом является исследование центрального поля зрения с помощью сетки Амслера и ориентировочное определение границ поля зрения.
Затем с помощью фонарика осматривается передний отрезок. Завершается обследование офтальмоскопией глазного дна в условиях медикаментозного мидриаза. Фармакологическое воздействие на зрачок, так же как и детальное описание его исходного состояния, должно быть обязательно зафиксировано в истории болезни. Без крайней необходимости не стоит расширять зрачок контрлатерального здорового глаза.

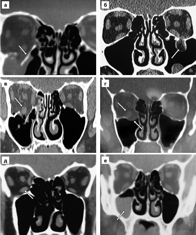
- Обширный костный дефект со смещением отломка (обозначен стрелкой) в пазуху (а)
- Пролапс в верхнечелюстную пазуху ущемленной в «переломе-капкане» орбитальной жировой клетчатки (стрелка) (б)
- Округление в норме уплощенного брюшка нижней прямой мышцы (обозначено стрелкой). Симптом не обладает особой диагностической ценностью при очевидном переломе (в), но весьма информативен при небольших по протяженности повреждениях нижней стенки (г, д)
- Массивное кровоизлияние в верхнечелюстную пазуху, облегчающее диагностику перелома с минимальным смещением отломков.
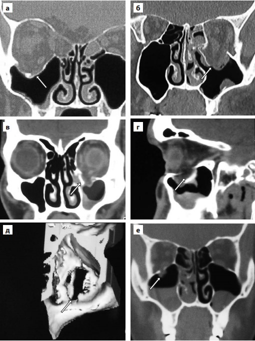
Косвенные признаки перелома:
- Предлежание мышцы к, казалось бы, неповрежденному дну глазницы. Сочетание этого симптома с характерной клинической картиной свидетельствует об ущемлении футляра глазодвигательной мышцы и окружающих соединительнотканных перемычек в зоне линейного перелома по типу «капкана»
- Симптом «пропавшей нижней прямой мышцы», когда при переломе по типу «капкана» мышца оказывается ущемленной в зоне костного дефекта таким образом, что на корональных КТ-граммах не визуализируется ни в орбите, ни в верхнечелюстной пазухе
- Хорошо различимое на корональной КТ-грамме округление в норме уплощенного брюшка нижней прямой мышцы , свидетельствующее об утрате ее костной и соединительнотканной поддержки. В эксперименте на кадаверных орбитах установлено, что при площади перелома до 1 см округление брюшка нижней прямой мышцы возникает лишь при разрыве надкостницы (что чревато поздним энофтальмом и требует раннего оперативного вмешательства). При площади перелома 4 см брюшко округляется и без травмы надкостницы, но при ее разрыве симптом более выражен.
- Наличие свободной жидкости в параназальном синусе
При тяжелом общем состоянии пациента и невозможности выполнить корональную КТ помогает трансантральная (через доступ к верхнечелюстной пазухе по Caldwell–Luc) эндоскопия нижней стенки глазницы, выполняемая в палате под местной анестезией и обладающая достаточной информативностью.
Лечение
Вначале консервативное и включает антибиотики, если перелом затрагивает верхнечелюстную пазуху. Пациента следует проинформировать о нежелательности сморкания. Последующее нацелено на предотвращение постоянной вертикальной диплопии и/или косметически неприемлемого анофтальма.
Существуют три фактора, определяющих риск данных осложнений:
- размер перелома,
- грыжа орбитального содержимого в верхнечелюстную пазуху
- ущемление мышц. Хотя может быть некоторое смешение признаков.
Большинство переломов относят к одной из следующих категорий:
- Небольшие трещины без формирования грыжи не требуют лечения, поскольку риск осложнений незначительный.
- Переломы, затрагивающие меньше половины дна орбиты, с небольшими грыжами или их отсутствием, положительной динамикой диплопии также не требуют лечения, пока не проявится анофтальм больше 2 мм.
- Переломы, распространяющиеся на половину или большую площадь дна орбиты, с ущемлением орбитального содержимого и постоянной диплопией в прямой позиции должны быть прооперированы в течение 2 нед. Если хирургическое вмешательство отсрочено, результаты будут менее эффективны из-за развития фиброзных изменений в орбите.

Показания к операции

а — тотальный перелом,
б — существенное увеличение объема,
в — дефект н. стенки, равный 0,5 ее S в корональной проекции,
г — дефект н. стенки, равный 0,5 ее S в сагиттальной проекции,
д — трехмерная реконструкция.
е — ущемление н. прямой м. в зоне линейного «перелома-капкана».
«Взрывные» переломы, от которых пациент не страдает в функциональном или косметическом плане, не подлежат хирургическому лечению. Остальные случаи требуют оперативного пособия.
Консервативное и отсроченное хирургическое лечение орбитальных переломов осталось в прошлом. Цель лечения перелома нижней глазничной стенки — воссоздание первоначальной формы и объема глазницы, репозиция ее содержимого и восстановление подвижности глазного яблока. Залог успеха — адекватное обнажение зоны перелома, четкая визуализация его заднего края и восполнение дефекта на всей его площади. Вмешательство должно быть ранним, одномоментным и исчерпывающим.
Показаниями к пластике нижней стенки глазницы в течение первых трех суток с момента травмы являются:
- ранний гипо- и энофтальм, свидетельствующий о тотальном переломе (разрушении) дна орбиты
- перелом нижней стенки по типу «капкана» у детей
- окулокардиальный рефлекс, не имеющий тенденции к спонтанному регрессу
В остальных случаях свежих сочетанных повреждений глазницы и средней зоны лица восстановление целостности орбиты должно осуществляться на 3–9-е сутки — по миновании или при отсутствии угрозы
для жизни, а также риска потери или серьезных нарушений зрения.
Более двух третей американских пластических хирургов выполняют подобное вмешательство в первые 14 суток, а половина британских хирургов оперируют перелом нижней стенки орбиты через 6–10 дней после травмы
Показанием к операции является каждый из перечисленных ниже критериев в отдельности или их сочетание:
- диплопия в функционально важных направлениях взора, например вниз (в пределах 30º от первичного направления взора)или прямо, сохраняющаяся на протяжении 2 недель после травмы при радиологически подтвержденном переломе и положительном тракционном тесте
- энофтальм свыше 2 мм; дефект дна глазницы, превышающий половину его площади, чреватый развитием позднего гипо- и энофтальма
- значительное опущение орбитального содержимого и энофтальм свыше 3 мм, возникающие при радиологически подтвержденном увеличении объема глазницы на 20 % и более
Энуклеация с имплантацией орбитального вкладыша, выполняемая на фоне сопутствующего обширного дефекта нижней стенки глазницы, в обязательном порядке должна завершаться остеопластикой. В противном случае у пациента разовьется анофтальмический эно- и гипофтальм.
- По срокам выполнения вмешательство считается ранним, если выполнено в «остром» периоде травмы, то есть в первые 14 суток. Именно эти сроки считаются оптимальными для реконструкции поврежденной орбиты и восстановления подвижности глазного яблока, хотя шансы на успех не снижаются на протяжении месяца после травмы.
- Отсроченной считается операция, выполненная через 3 недели-4 месяца после травмы, в так называемый «серый» период, когда сросшиеся отломки еще можно мобилизовать без помощи остеотомии, а пролабированные мягкие ткани — отделить от краев перелома.
- Наконец, поздним считается вмешательство, осуществляющееся через 4 и более месяцев после травмы и требующее обязательной остеотомии. В эти сроки трудно достичь не только хороших эстетических, но и функциональных результатов из-за неизбежного послеоперационного рубцевания мягких тканей, покрывающих зону перелома
Лечение «взрывных» переломов нижней стенки глазницы должно быть ранним, одномоментным и исчерпывающим. Используемый в ходе операции имплантат должен удовлет-ворять ряду требований, к числу которых относятся:
- легкость моделирования и последующей имплантации;
- способность выполнять функцию опоры для орбитальных структур;
- стабильность приданного положения за счет быстрой интеграции с окружающими тканями;
- устойчивость к бактериальной контаминации;
- формирование отчетливых изображений на КТ- и МР-срезах.
В наибольшей степени этим требованиям соответствуют современные небиологические пористые материалы, к числу которых относятся пористый полиэтилен, коралловый гидроксиапатит и разработанный в Росии пористый поли-тетрафторэтилен, не уступающий по своим химическим и физико-механическим свойствам лучшим зарубежным аналогам.
Окончательная оценка результатов операции по таким критериям, как подвижность глазного яблока и его положение в орбите, наличие или отсутствие диплопии, выполняется не ранее, чем через 6 месяцев после вмешательства. КТ после операции при явной положительной динамике выполнять нецелесообразно, дабы избавить пациента от дополнительной лучевой нагрузки.
Интегральным показателем отдаленного успеха считается правильное положение глазного яблока в орбите и отсутствие диплопии.
Антибиотикотерапия
Отдельного рассмотрения заслуживает вопрос о необходимости антибиотикотерапии при «взрывных»переломах нижней стенки глазницы. Оказалось, что в литературе отсутствует описание стандартизированных схем приема антибиотиков данной категорией пациентов.
Единственная четко сформулированная рекомендация — это использование в ходе вмешательства и на протяжении 5-7 дней после него амоксиклава или клиндамицина.
Учитывая отсутствие единого мнения по этому поводу, предлагают использовать общехирургические стандарты назначения антибиотиков в зависимости от типа раны:
- I тип — чистая рана; риск бактериальной инфекции не превышает 1,5 %. Эффективность, соответственно, необходимость профилактической антибиотикотерапии не доказана;
- II тип — условно-чистая рана, контактирующая с верхними дыхательны-ми путями без массивной бактериальной контаминации. Риск инфекционных осложнений составляет 7,7 %, показана профилактическая антибиотикотерапия;
- III тип — контаминированная рана, имеющая сообщение с пищеварительным трактом. Риск осложнений достигает 15,2 %, показана профилактическая антибиотикотерапия;
- IV тип — инфицированная рана (старая травма, предшествующая инфекция, наличие гнойного отделяемого, нежизнеспособных тканей, инородных тел). Риск раневой инфекции равен 40 %, показана антибиотикотерапия, играющая не только профилактическую, но и лечебную цель.
Наличие трансплантата или инородного тела в ране (состояние после остеопластики дна орбиты) существенно повышает риск инфекции и также является показанием к профилактической антибиотикотерапии.
К какому же классу ран отнести «взрывной» перелом? Придаточные пазухи носа считаются стерильными. Поэтому взрывной перелом, соединяющийся с интактным синусом, можно рассматривать как чистую рану (I тип); если перелом развился на фоне синусита, то рана инфицирована (IV тип).
Если перелом соединяется с носоглоткой (считающейся нестерильной), то его следует отнести ко II типу — рана условно-чистая. Таким образом, «взрывной» переломможет быть отнесен к любому из четырех типов хирургических ран (кроме третьего); нередко требует антибактериального лечения с момента травмы и обязательно — после операции с использованием имплантата.
В идеале антибиотикотерапия должна быть начата в первые три часа после травмы, что зачастую нереально. Очень эффективной профилактикой гнойных осложнений является интраоперационная антибиотикотерапия, например, внутривенное введение 1,5 г цефуроксима (зинацефа), начатое уже в ходе вводной анестезии. Если вмешательство длится более четырех часов, то осуществляется повторная инфузия препарата.
Крайне важен выбор антибиотика, сроки и пути введения. Отсутствие анамнестических упоминаний о синусите, а также контакта с ротоглоткой позволяет ограничиться внутривенным введением цефалоспорина первого поколения (цефазолина). В остальных случаях показаны цефалоспорины третьего поколения, а при возможности попадания в зону перелома (например, скулоорбитального) слюны — аминогликозиды, амоксициллин или клиндамицин.
В ходе вмешательства вводится 2 г амоксициллина или 600 мг клиндамицина. В первые двое суток послеоперационного периода каждые 8 часов в/в вводится 1 г амоксициллина или (при аллергии на пенициллин) 600 мг клиндамицина, затем на протяжении 5 дней трехкратная в/в инфузия
600 и 300 мг соответственно.
Не вызывает сомнений целесообразность включения в схему лечения орбитальных переломов глюкокортикоидов, так как они существенно ускоряют регресс отека мягких тканей глазницы и связанной с ним диплопии, не замедляя темпы остеогенеза.
Гораздо быстрее визуализируется энофтальм, и становятся очевидными показания к операции. Рекомендуется введение 250 мг метилпреднизолона (20 мг дексаметазона) перед вмешательством и последующая трехкратная внутривенная инфузия препарата в той же (для дексаметазона — уменьшенной вдвое) дозе через каж-дые 6-8 часов.
Вопрос-ответ
Каковы основные симптомы перелома нижней стенки глазницы?
Основные симптомы могут включать отек и синяки вокруг глаза, затрудненное движение глаз, двоение в глазах, а также потерю чувствительности в области щек и верхней губы. В некоторых случаях может наблюдаться утечка жидкости из носа, что указывает на возможное повреждение носовых проходов.
Как проводится диагностика перелома нижней стенки глазницы?
Диагностика обычно начинается с клинического осмотра, после чего могут быть назначены визуализирующие исследования, такие как рентгенография или компьютерная томография (КТ), чтобы подтвердить наличие перелома и оценить его степень.
Каковы возможные методы лечения данного перелома?
Лечение может варьироваться в зависимости от тяжести перелома. В легких случаях может быть достаточно наблюдения и консервативной терапии, включая применение льда и обезболивающих. В более серьезных случаях может потребоваться хирургическое вмешательство для восстановления нормальной анатомии глазницы и предотвращения осложнений.
Советы
СОВЕТ №1
Обратитесь к врачу сразу после травмы. Перелом нижней стенки глазницы может привести к серьезным осложнениям, таким как повреждение зрительного нерва или глазного яблока. Не откладывайте визит к специалисту, даже если на первый взгляд травма кажется незначительной.
СОВЕТ №2
Следите за симптомами. Если вы заметили ухудшение зрения, отек, синяки вокруг глаз или затруднения при движении глаз, немедленно сообщите об этом врачу. Эти симптомы могут указывать на более серьезные проблемы, требующие немедленного вмешательства.
СОВЕТ №3
Соблюдайте рекомендации врача по восстановлению. После диагностики и лечения перелома важно следовать указаниям врача, включая прием назначенных медикаментов и ограничение физической активности, чтобы избежать повторных травм.
СОВЕТ №4
Заботьтесь о своем здоровье в будущем. Чтобы снизить риск травм глазницы, используйте защитные очки при занятиях спортом или работах, связанных с риском травмы. Это поможет предотвратить подобные ситуации в будущем.