
а,б — передняя и задняя обзорные проекции,
в — боковая проекция,
г,д — теменная (г) и подбородочная (д) аксиальные проекции,
е,ж — передняя (е) и задняя (ж) полуаксиальная проекции,
Из-за невозможности выполнения укладка (ж) заменяется укладкой (з).
Лучевая диагностика является ведущим инструментальным методом исследования состояния глазницы, как в норме, так и при патологии. В состав лучевой диагностики входят
- рентгенодиагностика,
- ультразвуковая диагностика,
- рентгеновская компьютерная томография,
- радионуклидная диагностика,
- магнитно-резонансная томография.
Алгоритм неотложного лучевого исследования пострадавшего должен опираться на следующие общие принципы:
- максимальное расширение показаний к неотложной лучевой диагностике;
- участие хирургов, реаниматологов и специалиста по лучевой диагностике в определении объема одномоментного и исчерпывающего лучевого исследования (командный подход);
- принцип разумной минимальной достаточности, т. е. выполнение наиболее информативных исследований, обеспечивающих постановку диагноза в кратчайшие сроки;
- выполнение исследования в экстренном порядке в любое время суток (принцип постоянной готовности).
При укладке головы для лучевых методов исследования следует ориентироваться на общепринятые условные плоскости, знание которых необходимо для правильной ориентации центрального рентгеновского луча. Основными плоскостями являются:
- сагиттальная (срединная сагиттальная плоскость), проходящая спереди-назад по сагиттальному шву и делящая голову на правую и левую половины;
- горизонтальная (плоскость физиологической горизонтали), перпендикулярная сагиттальной и фронтальной плоскостям, проходящая через наружные слуховые отверстия и подглазничные края (инфраорбито-меатальная линия), разделяя голову на верхний и нижний отделы;
- фронтальная (плоскость ушной вертикали), перпендикулярная сагиттальной и горизонтальной плоскостям, проходящая вертикально через наружные слуховые отверстия и делящая голову на передний и задний отделы.
Рентгенография
Наиболее простой и доступной методикой начальной оценки состояния глазницы остается рентгенография. Показаниями к ее выполнению должны служить любые повреждения мягких тканей головы, а также подозрениена черепно-лицевую травму.
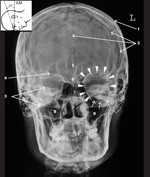
Хорошо видны кости свода черепа (1) и черепные швы (2). Изображение пирамид височных костей (3) наслаивается на глазницы (4), из-за чего вход в глазницу, обозначенный маленькими треугольными стрелками, и особенно подглазничный край (маленькие стрелки) прослеживаются фрагментарно. Достаточно отчетливо видна верхняя глазничная стенка. Кроме того, на снимке визуализируются лобные пазухи (5), решетчатая пластинка решетчатого лабиринта (6), полость носа (7), верхнечелюстные пазухи (8).
Первым этапом неотложного рентгенологического исследования пострадавшего с черепно-лицевой травмой является оценка состояния костей черепа.
Основными (стандартными) укладками для этого исследования являются
- прямая передняя и задняя обзорные проекции. Плоскость ушной вертикали ориентирована параллельно кассете, а срединная сагиттальная плоскость и плоскость физиологической горизонтали — перпендикулярно к ней.
- правая и левая боковая проекции. Параллельно кассете ориентируют срединную сагиттальную плоскость, а перпендикулярно кассете — плоскость ушной вертикали и физиологической горизонтали.
- теменная и подбородочная аксиальные проекции, при которых параллельно плоскости кассеты ориентируют плоскость физиологической горизонтали, а перпендикулярно к ней — сагиттальную плоскость и плоскость ушной вертикали.
- передняя и задняя полуаксиальная проекции, при которых плоскости физиологической горизонтали и ушной вертикали ориентируют к кассете под углом 45° при строго перпендикулярной ориентации к кассете срединной сагиттальной плоскости.
Исследование начинается с выполнения снимков черепа в двух взаимно перпендикулярных проекциях — прямой передней и боковых, при необходимости сразу же дополняя их снимками в прямой задней и задней полуаксиальной проекциях. Пострадавшему с тяжелой черепно-мозговой травмой (ЧМТ) рентгенография выполняется в максимально щадящем режиме (в положении лежа на спине) с применением четырех проекций — задней прямой, задней полуаксиальной и двух боковых.
Cреди тяжелых повреждений органа зрения одно из главных мест занимают ранения, которые сопровождаются проникновением инородного тела внутрь глазного яблока.
Снимки черепа в задней прямой проекции выполняют главным образом пострадавшим с тяжелой ЧМТ. Из орбитальных структур на получаемыхснимках хорошо различимы крылья клиновидной кости и верхние глазничные щели.

На снимке видны лобные пазухи (1), клиновидное возвышение (3), турецкое седло (4), передний (5) и задний (6) наклоненные отростки клиновидной кости, а также одноименная пазуха (7). Из глазничных структур эта проекция наилучшим образом отображает латеральный край, а также верхнюю стенку (2). Интерпретация состояния дна глазницы (обозначена стрелками) на боковой проекции затруднена из-за его S-образного профиля, элевации по направлению к вершине глазницы, а также суммации изображений обеих глазниц, в результате чего дно создает несколько контуров на снимке.
Стенки глазницы представляют собой тонкие плоские компактные структуры, поэтому при прохождении сквозь них перпендикулярного пучка рентгеновских лучей формирующееся на пленке изображение практически не идентифицируется. Единственным способом получения отчетливой линейной тени, характерной для каждой орбитальной стенки локализации и конфигурации, является тангенциальное направление рентгеновских лучей.
Таким образом, переломы костей средней зоны лица зачастую отображаются не столько прямыми признаками (формирование типичной линии перелома, смещение отломков), сколько косвенными — изменением гладкости очертаний (краев орбиты, скуловых дуг и т. д.), деформацией контура полостей (глазницы, придаточных пазух носа) или поверхностей костей. Анализ интересующих врача линий выявляет их разрыв, фрагментацию или же ступенеобразные и угловые деформации.
Другими косвенными признаками повреждения глазницы являются обусловленные кровоизлиянием и реактивным отеком утолщение и уплотнение периорбитальных мягких тканей, подкожная или орбитальная эмфизема, гемосинус, появление образования мягкотканной плотности под крышей верхнечелюстной пазухи, пневмоцефалия.
В общем, приходится признать, что многочисленные и трудоемкие рентгенологические исследования глазницы не обладают должной информативностью, нередко вводя врача в заблуждение и существенно удлиняя постановку диагноза. Вероятность ошибки (пропущенный при рентгенографии перелом, диагностированный с помощью последующей корональной компьютерной томографии) составляет 10-13% для нижней стенки и 20-50% для переломов медиальной стенки.
Поэтому в настоящее время рентгенография в объеме обзорных исследований черепа и орбиты применяется только на этапе приема пострадавших в качестве скринингового метода.
Постановка окончательного диагноза и выработка тактики лечения должна опираться на данные рентгеновской компьютерной томографии (КТ), признанной «золотым стандартом» лучевой диагностики орбитальных переломов. Современные аппараты сканируют структуры головы в течение нескольких секунд, создавая изображения высокой четкости при минимальной лучевой нагрузке на пациента.
Врачи отмечают, что лучевое исследование глазницы является важным инструментом в диагностике различных заболеваний. Оно позволяет получить детализированные изображения структур глазницы, что особенно полезно при выявлении опухолей, воспалительных процессов и травм. Специалисты подчеркивают, что использование современных технологий, таких как компьютерная томография и магнитно-резонансная томография, значительно повышает точность диагностики.
Кроме того, врачи акцентируют внимание на необходимости правильной интерпретации полученных данных. Опытный радиолог может выявить даже незначительные изменения, которые могут указывать на серьезные патологии. Однако, как отмечают специалисты, важно учитывать и клиническую картину пациента, чтобы избежать ложноположительных или ложноотрицательных результатов. В целом, лучевое исследование глазницы является незаменимым методом в арсенале офтальмологов и неврологов, способствующим более точной и своевременной диагностике.

Компьютерная томография
Показаниями к выполнению КТ является подозрение на ЧМТ, а также наличие у пациента повреждений мягких тканей лица. Как правило, КТ начинается с исследования головы с шагом стола 2-3 мм при оценке основания черепа, 8 мм — при анализе супратенториальных структур. Плоскость срезов параллельна общепринятой для исследования мозга плоскости по орбито-меатальной линии, а зона исследования распространяется от основания головного мозга до темени.
Оценка челюстно-лицевой области проводится в плоскости сканирования, параллельной плоскости твердого нёба с толщиной среза 1-2 мм. Область исследования включает зону от дна полости рта до окончания лобных пазух. В ситуациях, когда необходимо оценить состояние горизонтально расположенных
костных структур и остио-меатального комплекса томография, выполняется повторно — в корональной проекции.
Обнаружение на КТ-граммах головы периорбитального отека или перелома глазничной стенки является показанием для прицельной КТ орбиты. Оптимальная визуализация глазницы предполагает исследование по крайней мере в двух плоскостях — аксиальной (горизонтальной) и корональной (фронтальной) с толщиной среза не более 3 мм.
Аксиальные срезы, ориентированные параллельно физиологической горизонтали (линии, соединяющей подглазничный край с наружным слуховым отверстием и на 10° отклоняющейся от орбито-меатальной линии) и зрительному нерву, идеально подходят для оценки его состояния, однако не позволяют визуализировать повреждения нижней и верхней стенок глазницы. Для их поиска и последующей оценки требуется сканирование в корональной (фронтальной) проекции.
При исследовании во фронтальной проекции пациент укладывается на живот, опираясь подбородком на приподнятый подголовник стола с тем, чтобы отклонить голову максимально кзади. Максимальное разгибание шейного отдела позвоночника при необходимости дополняется отрицательным углом наклона сканирующего устройства. Срезы осуществляются по направлению от входа в глазницу к ее вершине.
Корональные (фронтальные) томограммы являются наиболее информативными при анализе состояния всех четырех стенок глазницы. Дополнение корональной проекции косыми сагиттальными реформациями упрощает оценку протяженности перелома, объема сместившихся в верхнечелюстную пазуху или решетчатый лабиринт тканей, а также степени ущемления в костном дефекте глазодвигательных
мышц.
Получению корональных изображений может препятствовать тяжелое общее состояние пациента, наличие в трахее интубационной трубки (изображение которой наслаивается на контуры глазницы) или травма шеи, препятствующая ее гиперэкстензии. В этих случаях незаменим спиральный компьютерный томограф с его высокой скоростью сканирования, возможностью создания трехмерных и мультипланарных реформаций. Кроме того, для получения корональных срезов глазницы отпадает необходимость в переразгибании шеи.
К несомненным достоинствам КТ относятся:
- ее универсальность
- высокая точность;
- возможность быстрой оценки состояния нескольких анатомических областей (голова, живот, таз, позвоночник), при необходимости, одномоментно с реанимационными мероприятиями;
- отчетливая визуализация небольших и сочетанных (несколько стенок) переломов, костных отломков (в том числе при наличии в глазнице металлических или малоконтрастных ферромагнитных инородных тел);
- а также относительно небольшие финансовые затраты.
Кроме того, с помощью КТ возможна диагностика таких осложнений травмы, как ретробульбарная или поднадкостничная гематома, кровоизлияние в подоболочечные пространства зрительного нерва, толщу нижней прямой и нижней косой мышц, целлюлит и абсцесс орбиты.
Существенным недостатком КТ, особенно многократной, является лучевая нагрузка на хрусталик. Кроме того, на послеоперационных контрольных снимках далеко не всегда удается адекватно оценить
положение закрывающего костный дефект трансплантата относительно экстраокулярных мышц и орбитальной клетчатки.
Лучевое исследование глазницы, включая компьютерную томографию (КТ) и магнитно-резонансную томографию (МРТ), вызывает у людей разнообразные мнения. Многие пациенты отмечают, что эти методы диагностики позволяют получить четкое и детальное изображение, что особенно важно при выявлении заболеваний и травм. Некоторые пациенты выражают благодарность врачам за возможность быстро и безболезненно получить результаты, что значительно облегчает процесс диагностики.
Однако не все отзывы положительные. Некоторые люди испытывают беспокойство из-за необходимости находиться в замкнутом пространстве аппарата МРТ или из-за использования рентгеновского излучения при КТ. Также встречаются мнения о том, что подготовка к исследованию может быть неудобной, особенно если требуется ограничение в питании или прием контрастного вещества.
В целом, лучевое исследование глазницы воспринимается как важный инструмент в современной медицине, который помогает врачам ставить точные диагнозы и разрабатывать эффективные планы лечения.
Магнитно-резонансная томография
МРТ глазниц предполагает получение взвешенных по Т1-, Т2- и протонной плотности томограмм с использованием различных программ в трех взаимно перпендикулярных плоскостях.
Магнитно-резонансная томография играет вспомогательную роль в диагностике орбитальных переломов, что объясняется:
- плохой визуализацией костных отломков;
- длительным (до 1 часа) временем сканирования, в течение которого надо обеспечить неподвижность пациента;
- высокой (в 2-3 раза выше, чем у КТ стоимостью;
- невозможностью выполнения исследования при наличии ферромагнитных инородных тел, смещение и/или нагревание которых может вызвать тяжелые вторичные повреждения
Ограничивают использование МРТ для диагностики травм глазницы достаточно многочисленные противопоказания — наличие у пациента водителя ритма, металлических имплантатов, перманентного макияжа и татуировок (создающих артефакты и затрудняющих интерпретацию изображений), клаустрофобия, неконтролируемые движения пострадавшего во время исследования, невозможность использования реанимационной аппаратуры для жизнеобеспечения.
В то же время несомненными достоинствами МРТ являются хорошая визуализация мягких тканей, отсутствие лучевой нагрузки, возможность получения изображений во всех возможных (аксиальной, корональной, сагиттальной, косой) проекциях без изменения положения тела пациента.
С учетом выше сказанного ядерно-магнитный резонанс используется для оценки положения имплантата в орбите, возможного остаточного ущемления мышцы или жировой клетчатки в зоне перелома, диагностики травматического каротидно-кавернозного соустья, поиска неметаллических инородных тел, анализа скоплений жидкости в глазнице и поднадкостничном пространстве, динамики трансформации метгемоглобина в гемосидерин (эволюция орбитальной гематомы) и т. д. Кроме того, МРТ оказывается полезна для оценки состояния вершины глазницы, параселлярной области и структур задней черепной ямки, а также канальной и внутричерепной части зрительного нерва.
В последние годы активно внедряется ультразвуковая диагностика орбитальных переломов. Основными аргументами в ее пользу являются экономическая целесообразность, широкая распространенность УЗ-аппаратуры, а также отсутствие лучевой нагрузки.
Наиболее оправданным оказалось применение УЗИ для диагностики переломов подглазничного края и передних отделов дна глазницы. Весьма низка чувствительность УЗИ при оценке переломов без смещения отломков, требует дальнейшего изучения целесообразность использования УЗИ для диагностики переломов медиальной стенки глазницы. В общем, УЗИ в настоящее время не может обеспечить уровень
информативности, присущий КТ, хотя вполне может заменить рентгенографию в качестве первого этапа визуализации перелома.

Вопрос-ответ
Что показывает КТ глазницы?
Компьютерная томография (КТ) глазниц (орбит) представляет собой высокоинформативную процедуру диагностики, позволяющую выявить наличие костных дефектов и других заболеваний офтальмологического профиля. В ОН КЛИНИК обследование проводится уже в день обращения под контролем врача.

Что такое рентген глазницы?
Рентген глазницы – это диагностическая методика, основанная на использовании рентгеновского излучения. На снимках, полученных таким способом, хорошо видны различные структуры, находящиеся вокруг глазного яблока. Это один из быстрых и информативных методов диагностики травматических повреждений и некоторых заболеваний.
Сколько по времени делают КТ глаз?
Сколько длится КТ глаз? Стандартная компьютерная томография орбит длится от 5 до 10 минут. При контрастном исследовании время процедуры увеличивается на 10–15 минут из-за необходимости двухэтапного сканирования. Расшифровка результатов занимает около часа.
Что показывает МРТ глазницы?
Что показывает МРТ глазницы? Обследование помогает оценить размеры, однородность, форму структур, выявить патологические изменения и их распространенность, степень влияния на окружающие ткани.
Советы
СОВЕТ №1
Перед проведением лучевого исследования глазницы обязательно проконсультируйтесь с врачом-офтальмологом. Он поможет определить, какой именно метод (КТ, МРТ или УЗИ) будет наиболее подходящим для вашей ситуации.
СОВЕТ №2
Убедитесь, что у вас нет противопоказаний к выбранному методу исследования. Например, при МРТ важно сообщить врачу о наличии металлических имплантов или кардиостимуляторов.
СОВЕТ №3
Перед исследованием постарайтесь расслабиться и не волноваться. Стресс может повлиять на результаты, особенно если требуется длительное удержание неподвижности.
СОВЕТ №4
После получения результатов исследования обязательно обсудите их с вашим врачом. Он поможет правильно интерпретировать данные и назначить дальнейшее лечение, если это необходимо.
