
Атрофия зрительного нерва занимает одно из ведущих мест в нозологической структуре, уступая лишь глаукоме и дегенеративной близорукости. Атрофией зрительного нерва принято считать полное или частичное разрушение его волокон с замещением их соединительной тканью.
По степени снижения зрительных функций атрофия может быть частичной или полной. Согласно данным исследований видно, что от частичной атрофии зрительного нерва страдают мужчины в 57,5%, а женщины в 42,5%. Чаще всего наблюдается двустороннее поражение (в 65% случаев).
Прогноз атрофии зрительного нерва всегда серьезный, но не безнадежный. В связи с тем, что патологические изменения обратимы, лечение частичной атрофии зрительного нерва является одним из важных направлений в офтальмологии. При адекватном и своевременном лечении этот факт позволяет добиться повышения зрительных функций даже при длительном существовании заболевания. Так же в последние годы увеличилось количество данной патологии сосудистого генеза, что связано с ростом общей сосудистой патологии — атеросклерозом, ишемической болезнью сердца.
Этиология и классификация
- По этиологии
- наследственная: аутосомно-доминантная, аутосомно-рецессивная, митохондриальная;
- ненаследственная.
- По офтальмоскопической картине — первичная (простая); вторичная; глаукоматозная.
- По степени поражения (сохранности функций): начальная; частичная; неполная; полная.
- По топическому уровню поражения: нисходящая; восходящая.
- По степени прогрессирования: стационарная; прогрессирующая.
- По локализации процесса: односторонняя; двусторонняя.
Различают врожденную и приобретенную атрофию зрительного нерва. Приобретенная атрофия зрительного нерва развивается в результате повреждения волокон зрительного нерва (нисходящая атрофия) или клеток сетчатки (восходящая атрофия).
Врожденную, генетически обусловленную атрофию зрительного нерва разделяют на аутосомно-доминантную, сопровождающуюся асимметричным понижением остроты зрения от 0,8 до 0,1, и аутосомно-рецессивную, характеризующуюся noнижением остроты зрения нередко до практической слепоты уже в раннем детском возрасте.
К нисходящей приобретенной атрофии приводят процессы, повреждающие волокна зрительного нерва на различном уровне (орбита, зрительный канал, полость черепа). Природа повреждения различна: воспаление, травма, глаукома, токсическое повреждение, нарушение кровообращения в сосудах, питающих зрительный нерв, нарушение метаболизма, сдавление зрительных волокон объемным образованием в полости глазницы или в полости черепа, дегенеративный процесс, близорукость и т. д.).
Каждый этиологический фактор обусловливают атрофию зрительного нерва с определенными, типичными для нее офтальмоскопическими особенностями. Тем не менее имеются характеристики, общие для атрофии зрительного нерва любой природы: побледнение диска зрительного нерва и нарушение зрительных функций.
Этиологические факторы атрофии зрительного нерва сосудистого генеза разнообразны: это и патология сосудов, и острые сосудистые нейропатии (передняя ишемическая нейропатия, окклюзия центральной артерии и вены сетчатки и их ветвей), и следствие хронических сосудистых нейропатий (при общесоматической патологии). Атрофия зрительного нерва появляется в результате непроходимости центральной и периферических артерии сетчатки, питающих зрительный нерв.
Офтальмоскопически обнаруживается сужение сосудов сетчатки, побледнение части или всего диска зрительного нерва. Стойкое побледнение только височной половины бывает при поражении папилломакулярного пучка. Когда атрофия является следствием заболевания хиазмы или зрительных трактов, тогда имеются гемианопические типы дефектов поля зрения.
В зависимости от степени повреждения зрительных волокон, а следовательно, и от степени понижения зрительных функций и побледнения диска зрительного нерва различают начальную, или частичную, и полную атрофию зрительного нерва.
Врачи отмечают, что атрофия зрительного нерва представляет собой серьезное заболевание, которое может привести к потере зрения. Специалисты подчеркивают, что данное состояние может быть вызвано различными факторами, включая травмы, воспалительные процессы и сосудистые нарушения. Важно, что ранняя диагностика и своевременное лечение могут замедлить прогрессирование болезни. Врачи рекомендуют пациентам, испытывающим проблемы со зрением, незамедлительно обращаться к офтальмологу для проведения необходимых обследований. Кроме того, они акцентируют внимание на важности регулярных осмотров, особенно для людей с предрасположенностью к заболеваниям глаз. Профилактика и своевременное вмешательство могут значительно улучшить качество жизни пациентов.

Диагностика
Жалобы: постепенное снижение остроты зрения (различной степени выраженности), изменение поля зрения (скотомы, концентрическое сужение, выпадение полей зрения), нарушение цветовосприятия.
Анамнез: наличие объёмных образований головного мозга, внутричерепной гипертензии, демиелинизирующего поражения ЦНС, поражения сонных артерий, системных заболеваний (в том числе васкулитов), интоксикаций (в том числе алкогольных), перенесенных неврита зрительного нерва или ишемической нейропатии, окклюзий сосудов сетчатки, прием лекарственных препаратов, обладающих нейротоксическим действием, в течение последнего года; травмы головы и шеи, сердечно-сосудистые заболевания, гипертоническая болезнь, острые и хронические нарушения мозгового кровообращения, атеросклероз, менингит или менинго-энцефалит, воспалительные и объемные процессы придаточных пазух, профузные кровотечения.
Физикальное обследование:
- наружный осмотр глазного яблока (ограничение подвижности глазного яблока, нистагм, экзофтальм, птоз верхнего века)
- исследование роговичного рефлекса – может быть снижен на стороне поражения
Лабораторные исследования
- биохимический анализ крови: холестерин крови, липопротеиды низкой плотности, липопротеиды высокой плотности, триглицериды; ·
- коагулограмма;
- ИФА на вирус простого герпеса, цитомегаловирус, токсоплазмоз, бруцеллез, туберкулез, ревмопробы (по показаниям, для исключения воспалительного процесса)
Инструментальные исследования
- визометрия: острота зрения может колебаться от 0,7 до практической слепоты. При поражении папилломакулярного пучка острота зрения значительно снижена; при незначительном поражении папилломакулярного пучка и вовлечении в процесс периферических нервных волокон ЗН острота зрения снижается незначительно; при поражении только периферических нервных волокон — не меняется. ·
- рефрактометрия: наличие аномалий рефракции позволит провести дифференциальный диагноз с амблиопией.
- тест Амслера — искажение линий, затуманивание рисунка (поражение папилломакулярного пучка). ·
- периметрия: центральная скотома (при поражении папилломакулярного пучка); различные формы сужения поля зрения (при поражении периферических волокон зрительного нерва); при поражении хиазмы — битемпоральную гемианопсию, при поражении зрительных трактов — гомонимная гемианопсия. При поражении интракраниальной части зрительного нерва гемианопсия возникает на одном глазу.
- Кинетическая периметрия на цвета – сужение поля зрения на зелёный и красный цвет, реже – на желтый и синий.
- Компьютерная периметрия — определение качества и количества скотом в поле зрения, в том числе и в 30 градусах от точки фиксации.
- исследование адаптации к темноте: нарушение темновой адаптации. · исследование цветового зрения: (таблицы Рабкина) — нарушение цветовосприятия (повышение цветовых порогов), чаще зелёно-красной части спектра, реже — жёлто-синей.
- тонометрия: возможно повышение ВГД (при глаукоматозной атрофии зрительного нерва).
- биомикроскопия: на стороне поражения — афферентный зрачковый дефект: снижение прямой зрачковой реакции на свет с сохранением содружественной реакции зрачка.
- офтальмоскопия:
- начальная атрофия ЗН – на фоне розовой окраски ДЗН появляется побледнение, которое в дальнейшем становится более интенсивным.
- частичная атрофия ЗН – побледнение височной половины ЗН, симптом Кестенбаума (уменьшение количества капилляров на ДЗН от 7 и меньше), артерии сужены,
- неполная атрофия ЗН – равномерное побледнение зрительного нерва, умеренно выражен симптом Кестенбаума (уменьшение количества капилляров на ДЗН), артерии сужены,
- полная атрофия ЗН – тотальное побледнение ЗН, сосуды сужены (артерии сужены больше, чем вены). Резко выражен симптом Кестенбаума (уменьшение количества капилляров на ДЗН – до 2-3 или капилляры могут отсутствовать).
При первичной атрофии ЗН границы ДЗН четкие, цвет его белый, серовато-белый, голубоватый или слегка зеленоватый. В бескрасном свете контуры остаются четкими, тогда как контуры ДЗН в норме становятся нечеткими. В красном свете при атрофии ДЗН — синего цвета. При вторичной атрофии ЗН границы ДЗН нечеткие, размытые, ДЗН серый или грязно-серый, сосудистая воронка заполнена соединительной или глиальной тканью (в отдаленный период границы ДЗН становятся четкими).
- оптическая когерентная томография ДЗН (по четырем сегментам – височному, верхнему, носовому и нижнему): снижение площади и объема нейроретинального пояска ДЗН, уменьшение толщины слоя нервных волокон диска зрительного нерва и в макуле.
- гейдельбергская ретинальная лазерная томография – уменьшение глубины головки зрительного нерва, площади и объема нейроретинального пояска, увеличение площади экскавации. При частичной атрофии зрительного нерва — диапазон глубины головки ЗН менее 0,52 мм, площадь ободка — менее 1,28 мм2, площадь экскавации — более 0,16 мм2.
- флюоресцентная ангиография глазного дна: гипофлюоресценция диска зрительного нерва, сужение артерий, отсутствие или уменьшение числа капилляров на ДЗН;
- электрофизиологические исследования (зрительные вызванные потенциалы) — снижение амплитуды ЗПВ и удлинение латентности. При поражении папилломакулярного и аксиального пучка ЗН электрическая чувствительность нормальная, при нарушении периферических волокон порог электрического фосфена резко повышен. Лабильность особенно резко снижается при аксиальных поражениях. В период прогрессирования атрофического процесса в ЗН существенно увеличивается ретино-кортикальное и кортикальное время;
- УЗДГ сосудов головы, шеи, глаза: снижение кровотока в глазничной, надблоковой артерии и интракраниальной части внутренней сонной артерии;
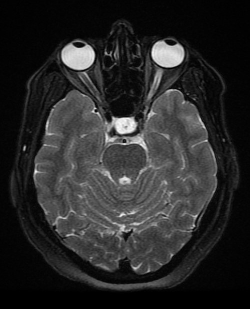
- МРТ сосудов головного мозга: очаги демиелинизации, интракраниальная патология (опухоли, абсцессы, кисты головного мозга, гематомы);
- МРТ орбиты: сдавление орбитальной части ЗН;
- Рентгенография орбиты по Ризе – нарушение целостности зрительного нерва.
Дифференциальная диагностика
Степень понижения остроты зрения и характер дефектов поля зрения определяются характером процесса, вызвавшего атрофию. Острота зрения может колебаться от 0,7 до практической слепоты.
Атрофия зрительного нерва при табесе развивается на обоих глазах, но степень поражения каждого глаза может быть далеко не одинаковой. Острота зрения падает постепенно, но т.к. процесс при табесе всегда прогрессирующий, то в конечном итоге наступает в разные сроки (от 2-3 недель до 2-3 лет) двусторонняя слепота. Наиболее частой формой изменения поля зрения при табетической атрофии является постепенно прогрессирующее сужение границ при отсутствии скотом в пределах сохранившихся участков. Редко при табесе наблюдаются битемпоральные скотомы, битемпоральное сужение границ поля зрения, а также центральные скотомы. Прогноз при табетической атрофии зрительного нерва всегда плохой.
Атрофия зрительного нерва может наблюдаться при деформациях и заболеваниях костей черепа. Такая атрофия наблюдается при башнеобразном черепе. Понижение зрения обычно развивается в раннем детском возрасте и редко после 7 лет. Слепота обоих глаз наблюдается редко, иногда наблюдается слепота одного глаза с резким понижением зрения на другом глазу. Со стороны поля зрения отмечается значительное сужение границ поля зрения по всем меридианам, скотом не бывает. Атрофию зрительного нерва при башнеобразном черепе большинство считают последствием застойных сосков, развивающихся на почве повышения внутричерепного давления. Из других деформаций черепа атрофию зрительных нервов вызывает dysostosis craniofacialis (болезнь Крузона, синдром Аперта, мраморная болезнь и др.).
Атрофия зрительного нерва может быть при отравлении хинином, плазмоцидом, папоротником при изгнании глистов, свинцом, сероуглеродом, при ботулизме, при отравлении метиловым спиртом. Метилалкогольная атрофия зрительного нерва встречается не так редко. После употребления метилового спирта через несколько часов появляется паралич аккомодации и расширение зрачков, возникает центральная скотома, резко снижается зрение. Затем зрение частично восстанавливается, но постепенно нарастает атрофия зрительного нерва и наступает необратимая слепота.
Атрофия зрительного нерва может быть врожденная и наследственная, при родовых или послеродовых повреждениях головы, длительной гипоксии и т.д.
| Диагноз | Обоснование для диф.диагноза | Обследования | Критерии исключения диагноза |
| Амблиопия | Значительное снижение зрения при отсутствии патологии со стороны переднего отрезка глаза и сетчатки. | Физикальные обследования | У маленького ребенка — наличие косоглазия, нистагма, невозможности четко зафиксировать взгляд на ярком предмете. У детей старшего возраста — снижение остроты зрения и отсутствие улучшений от его коррекции, нарушение ориентировки в незнакомом месте, косоглазие, привычка закрывать один глаз при взгляде на предмет или чтении, наклон или поворот головы при взгляде на интересующий предмет. |
| Рефрактометрия | Анизометропическая амблиопия развивается при некорригированной анизометропия высокой степени на глазу с более выраженными нарушениями рефракции (миопия более 8,0дптр., гиперметропия более 5,0 дптр, астигматизм более 2,5 дптр в любом меридиане), рефракционная амблиопия — при длительном отсутствии оптической коррекции гиперметропии, миопии или астигматизма при разнице рефракции обоих глаз: гиперметропия более 0,5 дптр, миопия более 2,0 дптр, астигматическая 1,5 дптр. | ||
| HRT ОКТ |
По данным НРТ: диапазон глубины головки зрительного нерва более 0,64 мм, площадь ободка зрительного нерва более 1,48 мм2, площадь экскавации зрительного нерва менее 0,12 мм2.. | ||
| Наследственная атрофия Лебера | Резкое снижение зрения обоих глаз при отсутствии патологии со стороны переднего отрезка глаза и сетчатки. | Жалобы и анамнез | Заболевание развивается у мужчин — членов одной семьи в возрасте от 13 до 28 лет. Девочки болеют очень редко и лишь в случае, если мать является пробандом, а отец страдает этим заболеванием. Наследственность связана с Х-хромосомой. Резкое снижение зрения на оба глаза в течение нескольких дней. Общее состояние хорошее, иногда больные жалуются на головную боль. |
| Офтальмоскопия | Вначале появляется гиперемия и легкая стушеванность границ ДЗН. Постепенно ДЗН приобретают восковидный характер, бледнеют, особенно в височной половине. | ||
| Периметрия | В поле зрения — центральная абсолютная скотома на белый цвет, периферические границы в норме. | ||
| Истерическая амблиопия (амавроз) | Внезапное ухудшение зрения или полная слепота при отсутствии патологии со стороны переднего отрезка глаза и сетчатки. | Жалобы и анамнез | Истерическая амблиопия у взрослых — внезапное ухудшение зрения, сохраняющееся от нескольких часов до нескольких месяцев, развивается на фоне сильных эмоциональных потрясений. Чаще наблюдается у женщин в возрасте 16-25 лет. |
| Физикальные обследования | Возможно полное отсутствие реакции зрачков на свет. | ||
| Визометрия | Снижение остроты зрения различной степени вплоть до слепоты. При повторных исследованиях данные могут совершенно отличаться от предыдущих. | ||
| Офтальмоскопия | ДЗН бледно-розовый, контуры четкие, симптом Кестенбаума отсутствует. | ||
| Периметрия | Концентрическое сужение поля зрения, характерно нарушение нормального типа границ — самое широкое поле зрения на красный цвет; реже—гемианопсия (гомонимная или гетеронимная). | ||
| ЗВП | Данные ЗВП – в норме. | ||
| Гипоплазия зрительного нерва | Двустороннее снижение или полная потеря зрения при отсутствии патологии со стороны переднего отрезка глаза и сетчатки. | Визометрия | Гипоплазия зрительного нерва сопровождается двусторонним снижением зрения (в 80% случаев от средней степени до полной слепоты). |
| Физикальные обследования | Афферентный зрачковый рефлекс отсутствует. Одностороннее изменение ДЗН часто сочетается с косоглазием и может быть замечено по относительному афферентному зрачковому дефекту, а также односторонней слабой или отсутствующей фиксации (вместо установочного нистагма). | ||
| Офтальмоскопия | ДЗН уменьшен в размере, бледный, окружён слабо выраженным пигментным кольцом. Наружное кольцо (величиной с нормальный диск) состоит из решётчатой пластинки, пигментированной склеры и хориоидеи. Варианты: жёлто-белого цвета маленький диск с двойным кольцом или полное отсутствие нерва и аплазия сосудов. При двустороннем процессе диск часто трудно обнаружить, в этом случае его определяют по ходу сосудов. | ||
| Периметрия | При сохранности центрального зрения возможно обнаружение дефектов в полях зрения. | ||
| Консультация невропатолога, эндокринолога, лабораторные исследования | Оптическая гипоплазия нерва редко сочетается с септооптической дисплазией (синдром Морсье: отсутствие прозрачной перегородки (septum pellucidum) и гипофиза, что сопровождается расстройствами функций щитовидной железы и другими гормональными нарушениями: возможно замедление роста, приступы гипогликемии, сочетание с замедлением умственного развития и мальформациями мозговых структур). | ||
| Колобома головки зрительного нерва | Патология зрительного нерва | Офтальмоскопия | При офтальмоскопии — ДЗН увеличен в размере (удлинение вертикального размера), глубокая экскавация или локальная экскавация и увеличенная серповидная пигментация при частичном вовлечении в процесс нижне-назальной части ДЗН. При вовлечении в процесс и хориоидеи возникает линия демаркации, представленная оголённой склерой. Глыбки пигмента могут маскировать границу между нормальной тканью и колобомой. На поверхности ДЗН может быть глиальная ткань. |
| МРТ | МРТ — оболочки зрительного канала слабо выражены или отсутствуют. | ||
| Синдром «утреннего сияния» | Патология зрительного нерва | Физикальные обследования | Почти у всех пациентов с односторонней патологией находят косоглазие и высокую миопию поражённого глаза. |
| Визометрия | Острота зрения чаще снижена, но может быть и очень высокой. | ||
| Рефрактометрия | Часто при одностороннем процессе – высокая миопия поражённого глаза. | ||
| Офтальмоскопия | При офтальмоскопии — ДЗН увеличен и располагается как бы в воронкообразной впадине. Иногда головка ЗН приподнята, возможно также изменение положения головки ДЗН от стафиломатозного углубления до его проминенции; вокруг нерва расположены участки прозрачной сероватой дисплазии сетчатки и глыбки пигмента. Демаркационная линия между тканями ДЗН и нормальной сетчаткой неразличима. Определяют множество аномально ветвящихся сосудов. У большинства больных присутствуют зоны локальной отслойки сетчатки и радиальные складки сетчатки в пределах экскавации. | ||
| Периметрия | Возможны дефекты в поле зрения: центральные скотомы и увеличение слепого пятна. | ||
| Консультации отоларинголога | Синдром «утреннего сияния» встречается как самостоятельное проявление или может сочетаться с гипертелоризмом, расщеплением губы, нёба и другими аномалиями. |
Атрофия зрительного нерва вызывает множество обсуждений среди пациентов и специалистов. Многие люди, столкнувшиеся с этой проблемой, отмечают, что потеря зрения становится настоящим испытанием, влияющим на качество жизни. Некоторые делятся своими переживаниями о том, как сложно адаптироваться к новым условиям, когда привычные вещи становятся недоступными. Врачебные мнения также разнообразны: одни специалисты подчеркивают важность ранней диагностики и своевременного лечения, другие акцентируют внимание на необходимости психологической поддержки. Многие пациенты ищут информацию о возможных методах реабилитации и новых технологиях, которые могут помочь в восстановлении зрения. Сообщества в интернете становятся местом, где люди обмениваются опытом, советами и поддержкой, что помогает справляться с эмоциональными трудностями, связанными с заболеванием.

Лечение
Лечение атрофий зрительного нерва — очень сложная задача. Кроме патогенетической терапии применяется тканевая терапия, витаминотерапия, спинномозговая пункция в сочетании с осмотерапией, сосудорасширяющие средства, витаминами группы В, особенно В1 и В12. В настоящее время широко применяют магнито-, лазер- и электростимуляцию.
В лечении частичной атрофии зрительного нерва, как правило, используется фармакотерапия. Применение лекарственных препаратов дает возможность воздействовать на различные звенья патогенеза атрофии зрительного нерва. Но не стоит забывать о методах физиовоздействия и различных путях введения лекарственных средств. Вопрос об оптимизации путей введения лекарственных препаратов так же актуален в последние годы. Так, парентеральное (внутривенное) введение сосудорасширяющих препаратов может способствовать системному расширению сосудов, что, в некоторых случаях, может приводить к синдрому обкрадывания и ухудшать кровообращение в глазном яблоке. Общепризнанным считается факт большего терапевтического эффекта при местном применении препаратов. Однако при заболеваниях зрительного нерва местное применение лекарств сопряжено с определенными трудностями, вызванными существованием ряда тканевых барьеров. Создание терапевтической концентрации лекарственного препарата в патологическом очаге достигается более успешно при сочетании медикаментозной терапии и физиовоздействий.
Медикаментозное лечение (в зависимости от степени тяжести заболевания)
Консервативное (нейропротекторное) лечение направлено на усиление кровообращения и улучшение трофики зрительного нерва, стимулирование жизнедеятельных сохранившихся и/или находящихся в стадии апоптоза нервных волокон.
Медикаментозное лечение включает нейропротекторные препараты прямого (непосредственно защищают ретинальные ганглии и аксоны) и непрямого (снижают действие факторов, вызывающих гибель нервных клеток) действия.
- Ретинопротекторы: аскорбиновая кислота 5% 2 мл внутримышечно один раз в день 10 дней, с целью снижения проницаемости стенки сосудов и стабилизации мембран эндотелиоцитов
- Антиоксиданты: токоферола 100 МЕ 3 раза в сутки – 10 дней, с целью улучшения снабжения тканей кислородом, коллатерального кровообращения, укрепления сосудистой стенки
- Препараты, улучшающие обменные процессы (прямые нейропротекторы): ретиналамин для внутримышечного по 1,0 мл и/или парабульбарного введения 5 мг по 0,5 мл парабульбарно 1 раз в сутки 10 дней
- Перечень дополнительных лекарственных средств:
- винпоцетин – взрослым по 5-10 мг 3 раза в сутки в течение 2 месяцев. Оказывает сосудорасширяющее, антигипоксическое и антиагрегантное действие
- цианокобаламин 1 мл внутримышечно 1 раз в сутки 5/10 дней
Тауже применяют электростимуляцию – она направлена на восстановление функции нервных элементов, которые были работоспособны, но не проводили зрительную информацию; формирование очага стойкой возбудимости, что приводит к восстановлению активности нервных клеток и их связей, ранее слабо функционировавших; улучшение метаболических процессов и кровообращения, что способствует восстановлению миелиновой оболочки вокруг осевых цилиндров волокон ЗН и, соответственно, ведет к ускорению проведения потенциала действия и возрождению анализа зрительной информации.
Показания для консультации узких специалистов:
- консультация терапевта – для оценки общего состояния организма;
- консультация кардиолога – высокий уровень артериального давления — один из главных факторов риска развития окклюзий сосудов сетчатки и зрительного нерва;
- консультация невролога — для исключения демиелинизирующего заболевании ЦНС и уточнения топической зоны поражения зрительных путей;
- консультация нейрохирурга — при появлении у больного признаков внутричерепной гипертензии или симптомов, характерных для объёмного образования головного мозга;
- консультация ревматолога — при наличии симптомов, характерных для системных васкулитов;
- консультация сосудистого хирурга для решения вопроса о необходимости хирургического лечения при наличии признаков окклюзирующего процесса в системе внутренней сонной и глазничной артерии (появление у больного scotoma fugax);
- консультация эндокринолога – при наличии сахарного диабета/другой патологии эндокринной системы;
- консультация гематолога (при подозрении на заболевания крови);
- консультация инфекциониста (при подозрении на васкулит вирусной этиологии).
- консультация отоларинголога – при подозрении на воспаление или новообразование в гайморовой или лобной пазухе.
Индикаторы эффективности лечения:
- повышение электрической чувствительности зрительного нерва на 2-5% (по данным компьютерной периметрии),
- повышение амплитуды и/или снижение латентности на 5% (по данным ЗВП).
Вопрос-ответ

Как видит глаз при атрофии зрительного нерва?
К основным симптомам атрофии зрительного нерва относят: выпадение полей зрения (когда человек видит только центральную часть изображения, а периферийная часть исчезает), нарушение цветовосприятия, туннельное зрение (когда человек видит только узкий круг вокруг центральной точки).
Какая группа инвалидности при атрофии зрительного нерва?
При снижении остроты зрения гражданина на лучше видящем глазу с учетом коррекции до 0,09-0,04 присваивается III группа инвалидности. Назначение II группы инвалидности происходит при частичной атрофии зрительного нерва, что приводит к сужению полей зрения до 1/5.
Можно ли носить очки при атрофии зрительного нерва?
Использование очков не провоцирует ухудшения зрения.
Советы
СОВЕТ №1
Регулярно проходите обследования у офтальмолога. Раннее выявление проблем со зрением может помочь предотвратить дальнейшее ухудшение состояния и сохранить зрительные функции.
СОВЕТ №2
Следите за своим общим здоровьем. Заболевания, такие как диабет и гипертония, могут негативно влиять на здоровье зрительного нерва, поэтому важно контролировать уровень сахара в крови и артериальное давление.
СОВЕТ №3
Обратите внимание на свое питание. Включение в рацион продуктов, богатых антиоксидантами (например, зелени, ягод и рыбы), может поддержать здоровье глаз и замедлить прогрессирование атрофии зрительного нерва.
СОВЕТ №4
Избегайте чрезмерной нагрузки на глаза. Регулярные перерывы при работе за компьютером и использование защитных очков при ярком свете помогут снизить напряжение на зрительный нерв.