
Обычно застойный диск зрительного нерва возникает при повышении внутричерепного давления (внутричерепной гипертензии), обусловленного стенозом или окклюзией ликворных путей, или развитием в полости черепа объемного патологического процесса, чаще опухоли, а нередко и сочетанием того и другого. Повышение внутричерепного давления может быть также следствием таких объемных патологических процессов, как абсцесс мозга, инфекционные гранулемы, паразитарные кисты, реже оно обусловлено другими причинами, в частности краниостенозом, возникающим вследствие преждевременного зарастания черепных швов.
В большинстве случаев, но не всегда, застойные изменения в дисках зрительных нервов проявляются с обеих сторон. В процессе развития они проходят определенные этапы, при этом выраженность проявлений застоя зрительных нервов меняется, при прогрессировании основного заболевания — нарастает.
Е. Ж. Трон (1968) рассматривал застойный диск зрительного нерва как определенную форму его поражения, которое проявляется характерной офтальмоскопической картиной, так и нарушением функций глаза. При застойных дисках зрительных нервов обычно есть и другие клинические проявления, характерные для внутричерепной гипертензии. Большое значение имеет характер, локализация и динамика развития основного патологического процесса. Е. Ж. Трон подчеркивал важность выявления застойных дисков зрительных нервов в диагностике многих неврологических и нейрохирургических заболеваний, отмечая при этом, что застойный диск «является наиболее частым глазным симптомом при опухолях головного мозга».

Внутричерепная гипертензия обычно характеризуется сначала периодической, а затем постоянной, временами обостряющейся, диффузной, распирающей головной болью. На этом фоне при усилении головной боли (гипертензионные кризы) возможны мозговые рвоты, периодическое ощущение тумана перед глазами, расстройства вестибулярных функций, двустороннее поражение отводящих нервов, выраженные вегетативные реакции, повышенная психическая истощаемость. загруженность. На этом фоне, в случаях когда больному не оказывается адекватной помощи, возможно развитие синдрома Брунса.
Причиной внутричерепной гипертензии обычно являются вызывающие расстройства ликвородинамики объемные патологические процессы — внутричерепные опухоли, кисты, абсцессы, инфекционные гранулемы, паразитарные кисты и пр. В связи с этим выявление застойных дисков зрительных нервов требует развернутого целенаправленного обследования больного с целью уточнения обусловившего их развитие патологического процесса. Чаще всего таким процессом оказывается внутричерепное новообразование, реже другие объемные патологические очаги, краниостеноз или воспалительные заболевания, протекающие по типу менингита или менингоэнцефалита, редко арахноидита, вызывающие нарушения ликвородинамики.
Иногда встречаются клинические наблюдения, при которых застойные диски зрительных нервов являются основным клиническим проявлением. В первую очередь к ним относится синдром первичной доброкачественной внутричерепной гипертензии.
Теории патогенеза
Патогенез застойных дисков зрительного нерва до настоящего времени признается дискуссионным. Первая гипотеза была предложена в 1866 г. А. Грефе (Graefe А., 1828-1870). Он считал, что причиной застойных явлений на глазном дне является нарушение оттока из глазного яблока венозной крови по центральной вене сетчатки в пещеристый синус. Инфильтрация ткани зрительного нерва и его диска объяснялась застоем в центральной вене сетчатки. Однако эта версия в дальнейшем была оспорена, так как венозный отток из глазного яблока возможен не только через центральную вену, но и через анастомозы между глазными венами и венами лица, а также через этмоидальное венозное сплетение, к тому же при тромбозе центральной вены сетчатки характерна иная офтальмоскопическая картина.
В связи с этим Т. Лебер (немецкий офтальмолог Leber Th., 1840-1917) в 1877 г высказал предположение, что офтальмоскопические изменения, трактуемые как проявления застоя, обусловлены воспалением зрительного нерва. Он предложил пользоваться в таких случаях терминами «папиллит», или «застойный неврит» его поддержал авторитетный в начале XX в. офтальмолог А. Эльшниг, который был согласен с тем, что «застойный сосок это не что иное, как особая форма воспаления». Такое воспаление он признавал вторичным, обычно спровоцированным воспалительным очагом в орбите или в полости черепа.
Так как разные по сути понятия «застойный сосок» и «неврит» стали восприниматься как один и тот же выявляемый при офтальмоскопии феномен, английский физиолог и офтальмолог Г. Парсон в 1908 г. вместо термина застойный сосок ввел термин «отек соска» или «papilloedema» («отек мозга»). Термин же «неврит» он применял в тех случаях, когда имело место относительно небольшое выстояние диска зрительного нерва в сочетании с выраженным расстройством зрения. Необходимость дифференциации отека диска зрительного нерва от его воспаления, т.е. от неврита, была явной, поэтому предложение Парсона о введении в практику нового термина было поддержано многими физиологами и клиницистами того периода, в частности К. Вильбрандом и А. Зенгером, авторами первой монографии по нейроофтальмологии «Неврология глаза» (1912-1913). Охотно пользовался этим термином уже в средине XX в. и известный отечественный нейроофтальмолог И.И. Меркулов.
Значительную определенность в дифференциацию между застоем и воспалением диска зрительного нерва внес В. Гиппель (Hippel W., 1923). Он подчеркивал, что застойный диск зрительного нерва это не его воспаление, а нечто совершенно иное. Ученый отмечал, что застойные проявления в ДЗН обычно возникают у больных с опухолями мозга и другими заболеваниями, проявляющимися повышением внутричерепного давления. Тогда же он обратил внимание на то, что в отличие от воспалительного поражения зрительного нерва, при застойном его соске (диске) может длительно сохраняться нормальная или близкая к нормальному состоянию острота зрения.
Таким образом, вопрос о патогенезе застойных дисков зрительных нервов длительное время был предметом дискуссий и до настоящего времени не может быть признан абсолютно разрешенным. Многие теории отошли в небытие. И в настоящее время признание имеют, пожалуй, лишь две из них, которые на сегодня могут рассматриваться как основные —
- транспортная теория Шмидта-Манца, признаваемая наиболее вероятной Р. Бингом и Р. Брюкнером (1959), и
- ретенционная теория Бэра (немецкий офтальмолог Behr С., род в 1876 г.), которую считали предпочтительной Е. Ж. Трон (1968) и И. И. Меркулов (1979).
Согласно транспортной теории развития застойного диска зрительного нерва, субарахноидальное пространство интраорбитального отдела зрительного нерва сообщается с субарахноидальным пространством полости черепа, так как образовано оно мозговыми оболочками, проникающими в полость глазницы вместе со зрительным нервом, состоящим из мозговой ткани.
При повышении внутричерепного давления цереброспинальная жидкость проникает в субарахноидальное пространство зрительного нерва, скапливается в нем и постепенно образует булавовидное расширение, сдавливающее его волокна. В нерве происходит сдавливание прежде всего тех волокон, которые составляют наружные его отделы. Параллельно в зрительном нерве возникает затруднение кровообращения. Все это и провоцирует отек этого нерва и его диска. Версия привлекательная. Однако оказалось не бесспорным наличие сообщения между межоболочечными пространствами в полости черепа и ретробульбарной внутриглазной части зрительного нерва, так как появились экспериментальные работы, которые опровергали связь между ними.
В основе ретенционной теории Бора (1912) лежит представление о том, что образуемая главным образом в ресничном теле водянистая тканевая жидкость и норме оттекает по зрительному нерву в его интракраниальную часть, а затем в субарахноидальное пространство. Согласно этой теории, застойный диск зрительного нерва при повышении внутричерепного давления обусловлен задержкой оттока тканевой жидкости по зрительному нерву в полость черепа. Это обусловлено чем, что при повышении внутричерепного давления возникает затруднение, а затем и блокада передвижений тканевой жидкости, как считал Бер, главным образом у места выхода зрительного нерва через костное отверстие (зрительный канал) в полость черепа.
Фиброзная (внутричерепная) часть зрительного канала oбразуется зa счет складки твердой мозговой оболочки, натянутой между передним наклоненным отростком и верхним краем отверстия зрительного канала. Эта складка частично прикрывает сверху зрительный нерв у выхода его из костного канала в полость черепа. При повышении внутричерепного давления складка твердой мозговой оболочки придавливается к зрительному нерву, а сам нерв при этом оказывается прижатым к подлежащим костным структурам. В результате оттекающая по нерву тканевая жидкость глаза задерживается в его орбитальном и внутриглазном отделах, в том числе и в диске зрительного нерва. Волокна зрительного нерва постепенно сдавливаются ею по всей окружности нерва и, параллельно, развивается и прогрессирует его отечность, прежде всего отечность пучков его волокон, расположенных по периферии. Со временем, обычно по прошествии недель, иногда многих месяцев, в процесс вовлекается и занимающий на этом уровне зрительного нерва центральное положение пупилломакулярный пучок.
В диске зрительного нерва пупилломакулярный пучок располагается в височной его части и этим объясняется, почему при застойном диске зрительного нерва отек височного края диска обычно развивается позднее других его отделов. Проявляется же отечность диска зрительного нерва чаще, начиная с его верхнего края. Относительно позднее вовлечение в патологический процесс пупилломакулярного пучка позволяет понять и нередко длительную сохранность остроты зрения у больного с застойными явлениями на глазном дне.
В 1935 г. Бэр писал, что в начальной стадии застойного диска зрительного нерва тканевая жидкость скапливается между пучками его волокон, что ведет к развитию интрафасцикулярного отека зрительного нерва. В дальнейшем она появляется и в самих нервных волокнах, распространяется по нерву, проникая при этом и в окружающее его субпиальное пространство. Бэр предполагал, что распространение отека зрительного нерва происходит от его диска к костному каналу. Достигая канала зрительного нерва, отечность диска обрывается на этом уровне.
Большинство авторов, проводивших морфологические исследования зрительного нерва с застойными явлениями в его диске (Hippel E., 1923; Schick F., Bruckner A., 1932; и др.), приходили к выводу, что отек зрительного нерва особенно выражен в периваскулярных пространствах ветвей центральных сосудов сетчатки (артерии и вены), а также в диске зрительного нерва и проксимальных его отделах, в составе которых проходят эти сосуды.
И. И. Меркулов (1979) придерживался ретенционной теории развития застойных явлений на глазном дне и при этом признавал, что отек диска, или застойный диск зрительного нерва, это результат нарушения циркуляции водянистой тканевой жидкости в его субпиальном пространстве и в периневральных щелях, а также расстройства микрогемоциркуляции в зрительном нерве. Он отмечал также, что давление тканевой жидкости, скапливающейся в случае нарушения ее оттока в субпиальном пространстве, на зрительный нерв происходит равномерно, в соответствии с законом Паскаля, по которому давление на какой-либо участок поверхности жидкости передается во все стороны с одинаковой силой.
Е. Ж. Трон (1968) признавал большим достоинством ретенционной теории Бера то, что она объясняет не только патогенез, но и ряд клинических особенностей состояния зрительных функций при застойном диске зрительного нерва. Вместе с тем он отмечал, что не одну из существующих теорий, в том числе и ретенционную, нельзя признать окончательно доказанной. Он считал, что, изучая патогенез застойных дисков зрительных нервов, следует уточнить степень распространения отека по зрительному нерву и выяснить действительно ли отек нерва, как утверждал Бер, не выходит за пределы его внутриглазничного отрезка, обрываясь на уровне костного зрительного отверстия. Кроме того, Е.Ж. Трон отмечал, что с позиций этой теории не поддаются удовлетворительному объяснению такие факты, как односторонний застойный диск, различная частота застоя дисков зрительных нервов при внутричерепных объемных патологических процессах разной локализации, а также возможное отсутствие застойных явлений в дисках зрительных нервов в некоторых случаях опухолей головного мозга, сопровождающихся повышением давления ЦСЖ.
Врачи отмечают, что застойный диск зрительного нерва является важным клиническим признаком, который может указывать на различные патологии, включая повышенное внутричерепное давление. Специалисты подчеркивают, что своевременная диагностика и выявление причин этого состояния критически важны для предотвращения серьезных осложнений, таких как потеря зрения. Врачи рекомендуют проводить комплексное обследование пациентов с застойным диском, включая нейровизуализацию и оценку общего состояния здоровья. Кроме того, они акцентируют внимание на необходимости индивидуального подхода к каждому случаю, так как причины могут варьироваться от доброкачественных до угрожающих жизни заболеваний. Профессионалы призывают к повышению осведомленности о симптомах и важности обращения к врачу при первых признаках ухудшения зрения.

Офтальмоскопическая картина
Офтальмоскопическая картина при застойном диске зрительного нерва зависит от стадии процесса. По Е. Ж. Трону, их пять:
- начальный застойный диск
- выраженный застойный диск
- резко выраженный застойный диск
- застойный диск в стадии атрофии;
- атрофия диска зрительного нерва после застоя.
Эти стадии не имеют четкого разграничения и постепенно переходят друг в друга. Развитие застойных дисков зрительных нервов и их прогрессирование во многом зависит от длительности и выраженности внутричерепной гипертензии, а ввиду определенной их вариабельности не идентична и динамика офтальмоскопических изменений на глазном дне. Однако такое выделение стадий развития застойного диска зрительного нерва все-таки имеет практический смысл, так как способствует характеристике имеющейся у пациента совокупности офтальмоскопических признаков и создает при этом возможности для суждений о степени выраженности внутричерепного давления и, следовательно, позволяет прогнозировать дальнейшую динамику клинической картины.
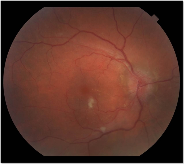
В ранней стадии развития застойного диска (начальный застойный диск зрительного нерва) характерна венозная гиперемия в области диска и нечеткость его границ. По краю диска постепенно развивается небольшой неравномерный отек его ткани, при этом появляется легкое выстояние диска. Отек сначала захватывает не всю окружность диска, а только отдельные его участки, чаще это верхний и нижний его края и место перехода через край диска крупных сосудов. Затем отек распространяется на внутренний (носовой) край диска. Дольше всего, и это признается практически всеми авторами, остается свободным от отека наружный (височный) край диска зрительного нерва. В зоне краевого отека диска ткань его приобретает белесоватый оттенок, обусловленный тем, что скопление тканевой жидкости между нервными волокнами у края диска в какой-то степени скрадывает обычную его окраску. Кроме того, в месте краевого отека диска можно отметить радиальную исчерченность, вызванную раздвиганием нервных волокон отечной жидкостью. Венозные сосуды глазного дна в начальной стадии застойного диска постепенно расширяются, калибр артерий при этом остается прежним.
В дальнейшем краевой отек диска зрительного нерва нарастает и постепенно распространяется по всему диску, в последнюю очередь отечной тканью заполняется углубление диска (физиологическая экскавация). Перед его заполнением еще некоторое время на дне углубления можно видеть центральные сосуды сетчатки. С нарастанием отека ткани зрительного нерва происходит увеличение размеров диска, его диаметра, а также степени выстояния диска над уровнем окружающей сетчатки по направлению к стекловидному телу. Вены становятся не только расширенными, но и извитыми, артерии несколько сужаются. С распространением отека на физиологическую экскавацию диска, как считает Е. Ж. Трон, стадию начального застойного диска зрительного нерва можно считать завершенной.
При выраженном застойном диске зрительного нерва обращают на себя внимание более значительные гиперемия и увеличение диска, а также нарастание размытости его границ. Отек границ диска наблюдается по всей его окружности, при этом диск уже значительно выстоит в сторону стекловидного тела. Вены широки и извиты. Подлежащая отечная ткань сетчатки местами перекрывает фрагменты сосудов. Отечная ткань диска мутнеет. На глазном дне возможно появление кровоизлияний и белых очажков. Кровоизлияния могут быть множественными различными по размеру, по форме чаще бывают линейными и располагаются преимущественно по краям диска, а также в прилежащих к нему отделах сетчатки. Их обычно признают следствием затруднения кровообращения в венах диска и разрыва мелких венозных сосудов. Есть мнение, что в происхождении кровоизлияний возможна и роль токсических факторов (И. И. Меркулов, 1979) или сопутствующих проявлений асептического воспаления. Однако даже при выраженном застойном диске зрительного нерва кровоизлияний на глазном дне длительно может и не быть. Появление в отечной ткани диска различных по размеру и очертаниям белых очажков принято объяснять дегенеративным перерождением участков нервной ткани. Встречаются они в застойном диске зрительного нерва реже кровоизлияний, а когда возникают, то обычно сочетаются с очагами кровоизлияний.
При резко выраженном застойном диске диаметр ДЗН настолько увеличен, что весь диск можно увидеть только расширив мидриатиками зрачок, он значительно выстоит и проминирует в прилежащее стекловидное тело (до 2,5 мм), а гиперемия в этой стадии застоя становится настолько выраженной, что при осмотре отмечается почти полное его слияние по цвету с окружающей сетчаткой. Сосуды при этом могут быть почти полностью погружены в отечную ткань диска и становятся видимыми только перед их выходом за его пределы.
Вся поверхность диска при этом усеяна мелкими и крупными кровоизлияниями и белыми очажками. Множественные очаги кровоизлияния нередко есть и в сетчатке. Тогда они располагаются преимущественно вокруг застойного диска зрительного нерва, некоторые из них сливаются между собой, образуя кровяные «лужи». Иногда при выраженном застое диска зрительного нерва очаги кровоизлияния могут возникать между диском зрительного нерва и макулярной зоной, возможно их появление и на отдалении от диска. В таких случаях (в 3-5%) они могут образовывать мелкие белые очаги в виде полузвезды или звезды, известные как псевдоальбуминурический (или звездный) ретинит, который может распространяться и на область макулы. Подобные изменения сетчатки наблюдаются в области макулярной зоны при гипертонической болезни и заболеваниях почек, осложняющихся артериальной гипертензией. Быстрое снижение остроты зрения при застойных дисках зрительных нервов обычно возникает в период их перехода из стадии резко выраженных застойных дисков в стадию атрофии.
Длительно проявляющиеся признаки резко выраженного застойного диска зрительного нерва постепенно переходят в следующую стадию его развития, известную как застойный диск в стадии атрофии. В этой стадии обращает на себя внимание тот факт, что гиперемированный застойный диск покрывается серым налетом, при этом постепенно уменьшается выраженность степени отека диска. Если в период кульминации застойного диска в нем выявлялись очаги кровоизлияния и белые очажки, то в период перехода застойного диска в его атрофию они постепенно рассасываются и исчезают, диск при этом постепенно бледнеет. В результате он приобретает белый цвет с грязноватым оттенком, границы его остаются нечеткими, размеры уменьшаются, но остаются несколько большими, чем в норме. Местами какое-то время сохраняется небольшое, неравномерное выстояние диска зрительного нерва. Вены его в этой стадии процесса еще расширены и извиты, артерии сужены.
В дальнейшем окончательно исчезают последствия застойных явлений в диске, и формируется типичная заключительная фаза застойного диска — стадия вторичной атрофии диска зрительного нерва после застоя. Для нее характерны бледность диска, некоторая неправильность его очертаний и нечеткость границ, вены и артерии диска при этом становятся узкими. Признаки этой стадии развития застойного диска зрительного нерва могут сохраняться очень долго, иногда год и больше. Однако со временем его границы становятся все более четкими, цвет белым (цвет фольги или мышечного сухожилия), размеры диска достигают исходной (нормальной) величины. На этом этапе вторичную атрофию диска зрительного нерва после застоя трудно, а иногда и невозможно отличить от его первичной атрофии, если пользоваться только офтальмоскопическими данными. Уточнение происхождения атрофии диска зрительного нерва в таких случаях возможно только с учетом тщательно собранных анамнестических данных, а также сопоставления имеющегося состояния глазного дна с результатами ранее проводимых офтальмоскопии и других методов нейроофтальмологического, а также неврологического обследования.
Если причина застойного диска ликвидирована в процессе лечения, но до этого уже развилась вторичная атрофия диска зрительного нерва после застоя, то в таком случае исчезновение остатков офтальмоскопических признаков застоя на глазном дне и развитие офтальмоскопической картины, имитирующей состояние, характерное для простой атрофии диска зрительного нерва, происходит быстрее. Застойный диск зрительного нерва обычно развивается одновременно с обеих сторон, но из этого правила возможны и исключения.
Односторонний застойный диск зрительного нерва возможен при опухоли орбиты, травматическом повреждении интраорбитальных тканей и в некоторых случаях супратенториальных по локализации объемных патологических процессов (опухоль, абсцесс и т.п.). Односторонний застойный диск характерен и для синдрома Фёстера Кеннеди, при котором сначала на одной стороне (обычно на стороне патологического очага) выявляется первичная атрофия диска зрительного нерва, а затем на другой стороне возникают признаки застойного диска. Синдром этот чаще встречается при внутричерепных новообразованиях, растущих в средней черепной ямке, иногда при опухолях нижнезадних отделов лобной доли.
Таким образом, выявление у больного той или иной стадии застойного диска зрительного нерва само по себе зачастую не позволяет судить о давности и исходе основного патологического процесса.
Темп формирования и смены стадий застойного диска зрительных нервов обычно соответствует темпу развития и локализации обусловившей его причины В случае возникновения у больного окклюзионной гидроцефалии проявления внутричерепной гипертензии, включая развитие застойных дисков зрительных нервов, могут развиваться бурно. Иногда проявления начального застойного диска трансформируются в выраженный застойный диск в течение 1-2 нед. Однако офтальмоскопическая картина застойного диска зрительного нерва может и стабилизироваться на несколько месяцев, а в некоторых случаях и регрессировать, как это бывает, к примеру, при первичной доброкачественной внутричерепной гипертензии.
Застойный диск зрительного нерва вызывает множество обсуждений среди пациентов и специалистов. Многие отмечают, что это состояние может быть признаком серьезных заболеваний, таких как гипертензия или опухоли мозга. Люди делятся своими переживаниями о том, как диагноз влияет на их повседневную жизнь и эмоциональное состояние. Некоторые пациенты сообщают о тревоге и страхе перед возможными последствиями, в то время как другие находят поддержку в группах, где обсуждают свои симптомы и лечение. Важно отметить, что своевременная диагностика и консультация с врачом могут значительно улучшить прогноз. Многие врачи подчеркивают, что не стоит паниковать, но и игнорировать симптомы нельзя. Обсуждения на форумах и в социальных сетях помогают людям чувствовать себя менее одинокими в своей борьбе с этим состоянием.
Зрительные функции
Острота зрения и поля зрения при развитии застойных дисков зрительных нервов в типичных случаях могут какое-то время, иногда длительно, сохраняться без изменений (соответствовать преморбидному состоянию). Первым клиническим признаком развития застойного диска зрительного нерва обычно является увеличение физиологической скотомы — слепого пятна, которое проще всего обнаружить при кампиметрии. Отек ткани диска зрительного нерва распространяется на прилежащие к нему отделы сетчатой оболочки и влияет на ее функции. Нарастание признаков застоя и размеров диска и ведет к дальнейшему увеличению размеров слепого пятна.
В 1953-55 гг. С. Н. Федоров, пользуясь данными кампиметрии и строго стандартизированными фотографиями глазного дна у больных с внутричерепными опухолями, в процессе выполнения кандидатской диссертации показал, что увеличение размеров слепого пятна опережает появление и последующее развитие офтальмоскопических признаков застойных дисков зрительных нервов, прежде всего изменения их диаметра. Если же у больного с застойными дисками зрительных нервов опухоль удалялась до возникновения их атрофии, то уменьшение слепого пятна начинало уменьшаться раньше офтальмоскопической картины, указывающей на тенденцию к нормализации дисков.
Первыми субъективно воспринимаемыми больным с застойными дисками зрительного нерва нарушениями зрения обычно являются кратковременные эпизодические ощущения тумана перед глазами. Возникают эти кратковременные, но значительные расстройства зрения обычно в периоды физического напряжения или пребывания в положении нагнувшись. Такое периодическое затуманивание зрения К. Бэр считал возможным объяснить ухудшением проводимости нервных волокон в области канала зрительного нерва в результате временного нарастания у больного внутричерепного давления.
Границы полей зрения при застойном диске зрительного нерва могут долго сохраняться в пределах нормы. Однако через месяцы, иногда через год и больше, возникает и постепенно нарастает выявляемое при периметрии сужение полей зрения по концентрическому типу, при этом сначала происходит сужение их границ на цвета, а затем и на белый свет, в большинстве случаев равномерно по всем меридианам.
С увеличением выраженности атрофии дисков зрительных нервов проявляется и довольно быстро нарастает снижение остроты зрения. Иногда падение зрения при этом может развиваться катастрофически: при быстро прогрессирующей атрофии зрительных нервов через 2-3 нед возможно наступление слепоты.
Однако если больному с застойными дисками зрительных нервов производится радикальная нейрохирургическая операция или паллиативное вмешательство, направленное на снижение внутричерепного давления, застойные явления на глазном дне через несколько недель начинают регрессировать и этот процесс продолжается 2-3 мес, а иногда и дольше. Развитию признаков регресса застойных явлений в диске зрительного нерва обычно предшествует постепенное уменьшение размеров слепого пятна. Сохранение зрения более вероятно, если нейрохирургическое вмешательство производилось до появления офтальмоскопических признаков вторичной атрофии дисков зрительных нервов. В таких случаях можно надеяться на возможность нормализации состояния глазною дна и почти полное или полное восстановление зрительных функции.

Вопрос-ответ
Какое заболевание может вызвать застойный диск зрительного нерва?
Застойный диск при опухолях головного мозга и длительном течении приводит к резкому понижению остроты зрения вследствие атрофии зрительного нерва. Скорость развития атрофии зависит от локализации и характера опухоли. Одним из характерных симптомов при опухолях головного мозга является осложненный застойный диск.

Можно ли восстановить диск зрительного нерва?
Зрительные нервы не способны к регенерации. «Больной» нерв иногда может восстановиться, но мёртвые нервы не восстанавливаются. Существует множество причин оптической нейропатии, таких как токсины, дефицит питательных веществ, опухоли головного мозга, воспалительные заболевания, инфекции, генетические заболевания, повышение внутричерепного давления и глаукома.
Какой из перечисленных признаков характерен для начальной стадии застойного диска зрительного нерва?
I стадия – начальный ЗД, проявляющийся гиперемией диска, расплывчатостью его границ, расширением вен. Затем отек постепенно захватывает весь диск, наблюдается его некоторое увеличение, вены при этом становятся расширенными и извитыми, а артерии сужаются.
Советы
СОВЕТ №1
Регулярно проходите обследования у офтальмолога. Раннее выявление проблем со зрительным нервом может предотвратить серьезные осложнения. Не забывайте о плановых осмотрах, особенно если у вас есть предрасположенность к заболеваниям глаз.
СОВЕТ №2
Следите за своим артериальным давлением и уровнем сахара в крови. Высокое давление и диабет могут негативно влиять на здоровье зрительного нерва. Поддерживайте здоровый образ жизни, включая сбалансированное питание и физическую активность.
СОВЕТ №3
Обратите внимание на симптомы, такие как ухудшение зрения, головные боли или изменения в восприятии цветов. Если вы заметили что-то необычное, не откладывайте визит к врачу. Чем раньше будет поставлен диагноз, тем больше шансов на успешное лечение.
СОВЕТ №4
Изучите информацию о возможных причинах застоя диска зрительного нерва, таких как опухоли или воспалительные заболевания. Это поможет вам лучше понять свое состояние и обсудить с врачом возможные варианты лечения и профилактики.