
Зрительный нерв начинается в области зрительной части сетчатки (pars optica retinae) диском зрительного нерва (discus nervi optici), выходит из глазного яблока через решетчатую пластинку склеры, в глазнице направляется назад и медиально, затем проходит через костный зрительный канал (canalis opticus) в полость черепа. В зрительном канале он располагается сверху и медиально от глазничной артерии (a. ophthalmica).
После выхода из зрительного канала на основании мозга зрительные нервы образуют неполный зрительный перекрест (chiasma opticum) и переходят в зрительные тракты (tractus opticus). Таким образом, волокна зрительного нерва непрерывно продолжаются до наружного коленчатого тела.
Общая длина зрительного нерва сильно варьирует и у взрослых составляет от 35 до 55 мм.
Отделы зрительного нерва
- Внутриглазной (интрабульбарный) — от диска до выхода нерва из склеры. Длина 0,5-1,5 мм.
- Орбитальный (ретробульбарный) – от выхода из склеры до орбитального отверстия канала зрительного нерва. Длина 25-35 мм.
- Внутриканальный – от орбитального до внутричерепного отверстия канала зрительного нерва. 5-8 мм.
- Внутричерепной (интракраниальный) – от места выхода из зрительного канала до хиазмы. Длина 4-17 мм.
Классификация
Патологоанатомическая классификация ( Е.В. Адамюк, 1897 г.)
- Neuritis communis — воспалительный процесс захватывает все поперечное сечение зрительного нерва.
- Neuritis partialis— воспаление распространяется лишь на отдельные участки поперечного сечения зрительного нерва.
- Perineuritis
- Neuritis axialis
- Neuritis disseminata
Классификация воспалительных заболеваний зрительного нерва на основании изменений поля зрения (Вильбранд, Зенгер, 1913 г.)
Характер изменений полей зрения авторы связывают с распространением воспалительного процесса по поперечному сечению зрительного нерва.
- Neuritis axialis. Со стороны поля зрения отмечается центральная скотома, границы поля зрения остаются нормальными.
- Neuritis interstitialis peripherica. Со стороны поля зрения отмечается различная степень сужения периферических границ.
- Neuritis transversa totalis. Характерных для этой формы изменений полей зрения авторы не приводят.
Изменения в поле зрения при воспалительных заболеваниях зрительного нерва более многообразны, чем предусмотрено этой классификацией. Характер изменений поля зрения может меняться в течение заболевания. Не всякое сужение границ поля зрения свидетельствует о поражении исключительно периферических волокон зрительного нерва. Заболевание средней тяжести, захватывающее весь поперечник зрительного нерва, благодаря более низкой чувствительности периферических отделов сетчатки в какой-то период времени может проявляться только сужением периферических границ поля зрения (Гиппель).
Неврит зрительного нерва (собственно неврит зрительного нерва) — воспалительный процесс захватывает и диск зрительного нерва. Офтальмоскопически выявляются изменения диска зрительного нерва.
Ретробульбарный неврит. Воспаление зрительного нерва за глазным яблоком, не распространяющееся на ДЗН. В дальнейшем понятие ретробульбарного неврита было расширено и дополнено. По существу при ретробульбарном неврите воспалительный процесс может захватывать периферические или центральные пучки нервных волокон.
В соответствие с этим в поле зрения могут наблюдаться два типа изменений: сужение границ при отсутствии изменений в центре или появление центральных скотом.
К ретробульбарным невритам принято относить лишь те воспалительные заболевания зрительного нерва, которые протекают с центральными скотомами. Кроме того, установлено, что ретробульбарные невриты не всегда протекают без изменений на глазном дне. Нередко ретробульбарный неврит все же сопровождается слабо выраженными воспалительными явлениями на глазном дне.
Слабой стороной этой классификации является неопределенность понятия ретробульбарного неврита. Само деление воспалительных заболеваний зрительного нерва по отсутствию или наличию изменений со стороны ДЗН является формальным. В структуре зрительного нерва нет особенностей, которые могли бы препятствовать распространению воспаления со ствола зрительного нерва на его диск. Поэтому многие этиологические факторы приводят к развитию как неврита, так и ретробульбарного неврита.
По этой классификации неизвестно, куда относить ретробульбарные невриты, протекающие с изменениями границ поля зрения, воспалительными изменениями ДЗН, доступными офтальмоскопии.
Врачи отмечают, что неврит зрительного нерва является серьезным заболеванием, которое может привести к потере зрения. По их мнению, основными причинами этого состояния являются инфекционные заболевания, аутоиммунные реакции и травмы. Специалисты подчеркивают важность ранней диагностики и своевременного лечения, так как это может существенно повлиять на восстановление зрительных функций. Врачи рекомендуют пациентам не игнорировать первые симптомы, такие как размытость изображения или потеря цветового восприятия. Они также акцентируют внимание на необходимости комплексного подхода к лечению, включая медикаментозную терапию и реабилитацию. В целом, мнение врачей сводится к тому, что при правильном и своевременном вмешательстве прогноз для пациентов может быть весьма благоприятным.

Патологическая анатомия
Воспалительный процесс захватывает как сам ствол, так и его оболочки. Значительно реже процесс ограничивается одними только оболочками и периферическими нервными волокнами.
Соответственно этому различают
- Периневрит — воспаление захватывает все три оболочки зрительного нерва, причем слабее всего выражено в твердой оболочке, где распространяется преимущественно на ее внутренние слои.
Воспалительные изменения сводятся к мелкоклеточной инфильтрации, пролиферации соединительнотканных клеток и эндотелия. В межвлагалищном пространстве скапливается экссудат. Перекладины арахноидеи вначале раздвинуты экссудатом, далее становятся неразличимыми вследствие замещения соединительной тканью и разросшимся эндотелием. Из мягкой оболочки воспалительный процесс распространяется на поверхностные нервные волокна.
Вследствие организации экссудата и кровоизлияний происходит облитерация межвлагалищного пространства. Последнее заполняется волокнистой соединительной тканью и отдельные оболочки различить становится невозможно.
- Неврит — воспалительный процесс носит интерстициальный характер. В соединительнотканных перекладинах наблюдается мелкоклеточная инфильтрация лейкоцитами, лимфоцитами, плазматическими клетками, отек, пролиферация соединительной ткани, новообразование кровеносных сосудов.
Нервные волокна вовлекаются в процесс вторично. При этом миелиновые оболочки и осевые цилиндры зрительных волокон подвергаются дистрофии, дегенерации и последующей атрофии, замещаются разросшейся соединительной тканью и глией. После дегенерации нервного волокна (аксона) происходит гибель его материнской ганглиозной клетки.
Этиология и патогенез
- Воспалительные заболевания головного мозга и его оболочек: менингиты, энцефалиты. Приводят к развитию нисходящих невритов зрительного нерва.
- Общие острые и хронические инфекции: грипп, ангина, рожа, сыпной тиф, оспа, малярия, сифилис, туберкулез, бруцеллез, лепра и др. Любая общая инфекция может вызвать воспаление зрительного нерва.
- Фокальные очаги инфекции: воспалительные процессы придаточных пазух носа, зубов, отиты, тонзиллиты.
- Воспалительные заболевания глазного яблока и орбиты, травмы глаза. Приводят к развитию восходящих невритов.
- Заболевания внутренних органов: нефриты, сахарный диабет, подагра, болезни крови. Наиболее частыми причинами оптического неврита являются заболевания головного мозга и почек.
Неврит зрительного нерва вызывает множество обсуждений среди пациентов и специалистов. Люди, столкнувшиеся с этой проблемой, часто описывают свои ощущения как резкое ухудшение зрения, появление размытости и даже потерю зрения на одном глазу. Многие отмечают, что симптомы могут развиваться быстро, что вызывает панические настроения и страх перед возможными последствиями. В социальных сетях пациенты делятся своими историями, обсуждают методы лечения и реабилитации. Врачи подчеркивают важность ранней диагностики и своевременного обращения за медицинской помощью. Некоторые пациенты отмечают, что после курса лечения зрение восстанавливается, но не все могут вернуться к прежнему уровню. Это создает атмосферу неопределенности и тревоги, что подчеркивает необходимость поддержки и информации для тех, кто сталкивается с этой болезнью.

Клиника
В зависимости от интенсивности воспалительного процесса офтальмоскопическая картина неврита зрительного нерва может быть весьма разнообразной.
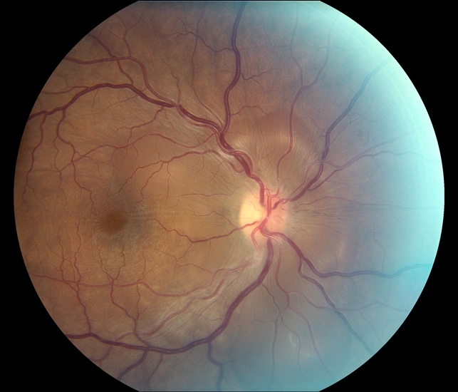
При слабо выраженном воспалении ДЗН умеренно гиперемирован, границы его смыты, артерии и вены слегка расширены.
При более сильном воспалительном процессе все перечисленные изменения нарастают по интенсивности. В ткани ДЗН появляются кровоизлияния, бляшки экссудата. В результате выпотевания экссудата ткань диска несколько набухает, становится мутной и частично прикрывает сосуды.
При резко выраженном неврите гиперемия диска и нечеткость его границ настолько выражены, что ДЗН сливается с фоном окружающего глазного дна. В этом случае его можно узнать только по месту выхода центральных сосудов. Вся поверхность диска усеяна кровоизлияниями и белыми очажками (экссудат). Артерии и вены резко расширены. Большей частью прикрыты мутной тканью диска. В прилегающей сетчатке также имеются кровоизлияния и белые очажки.
В подавляющем большинстве случаев для оптического неврита характерно отсутствие выстояния диска над уровнем окружающей сетчатки (исключения составляют так называемые невриты с отеком). Возможна экссудация в задние отделы стекловидного тела.
При переходе неврита в невритическую атрофию прежде всего отмечается уменьшение гиперемии и развитие в начале слабого побледнения ДЗН. Одновременно с этим сосуды становятся узкими, кровоизлияния и бляшки экссудата постепенно рассасываются. Со временем диск становится более бледным и развивается типичная картина вторичной атрофии.
Для неврита является характерным ранее нарушение функций, наступающее одновременно с офтальмоскопическими изменениями. Редко функции зрения некоторое время могут не изменяться или возникают их преходящие нарушения. Нарушение функций выражается как в снижении остроты зрения, так и в изменениях полей зрения. Степень и характер изменений функций определяется в основном интенсивностью воспалительного процесса и его локализацией. Само нарушение функций при неврите вызвано как разрушением нервных волокон в очаге воспаления, так и угнетением еще сохранившихся.
По мере стихания воспалительного процесса проводимость угнетенных ранее нервных волокон восстанавливается. Этим объясняется характерное для невритов значительное восстановление функций даже в тех случаях, когда в начале заболевания они были значительно снижены.
Степень понижения остроты зрения связана с вовлечением в воспалительный процесс папилломакулярного пучка.
- Параллельно со снижением остроты зрения ослабляется реакция зрачка на свет.
- При невритах в поле зрения чаще всего наблюдаются различные формы сужения периферических границ (равномерное концентрическое, неравномерное, секторальное).
- Раннее и частое повышение порогов цветового восприятия на красный и зеленый цвета (по таблицам Рабкина).
- Резкое сужение границ на красный цвет или полное отсутствие цветоощущения.
- При вовлечении в воспалительный процесс центральных пучков в поле зрения могут появляться центральные и парацентральные скотомы (более характерны для ретробульбарного неврита).
- Могут быть смешанные изменения поля зрения.
- Наблюдается так же снижение показателей КЧСМ, электрической чувствительности и лабильности зрительного нерва, по данным записи вызванных зрительных корковых потенциалов увеличение ретинокортикального времени.
- Нарушается темновая адаптация.
При ФАГД в начале заболевания отмечается интенсивная гиперфлюоресценция ДЗН, усиливающаяся в поздних фазах ФАГД. На конечной стадии процесса при развитии атрофии зрительного нерва на флюоресцентной ангиограмме наблюдается стойкая гипофлюоресценция диска.
Дифференциальный диагноз
Диагностические трудности могут возникать в двух случаях: при слабо выраженном неврите без нарушения функций глаза и при неврите с отеком. В обоих случаях необходимо провести дифференциальный диагноз между оптическим невритом и застойным диском.
Нормальное состояние функций при офтальмоскопических изменениях ДЗН крайне не характерно для неврита, но в виде исключения это может быть (периневрит, недостаточная диагностика). Такая ситуация может указать на застой, но против этого диагноза может говорить отсутствие отека ДЗН. При застойном диске могут долго сохраняться зрительные функции, но отек диска есть всегда, только в стадии краевого отека офтальмоскопически его выявить трудно.
Правильная диагностика в такой ситуации возможна на основании динамического наблюдения, наличии или отсутствии симптомов повышенного внутричерепного давления, данных дополнительных методов исследования, позволяющих выявить возможные причины повышения ВЧД и развития застойного ДЗН.
Неврит с отеком следует дифференцировать от осложненных застойных дисков (сочетание повышения ВЧД и непосредственного воздействия патологического очага головного мозга на зрительный путь). При этой форме неврита происходит выраженное снижение функций в сочетании со значительным отеком ДЗН и не выраженными или слабо выраженными атрофическими изменениями. Для осложненных застойных дисков характерно наличие симптомов повышенного ВЧД, необычные для застоя изменения полей зрения (гемианопические дефекты); высокая острота зрения при сильно измененном поле зрения,; резкая разница в остроте зрения обоих глаз; резкое понижение остроты зрения без атрофических изменений или при начальной, слабо выраженной атрофии ДЗН; двусторонние застойные диски при значительной атрофии только на одном глазу. Большое значение имеет изучение анамнеза, так как степень понижения зрительных функций и изменения при офтальмоскопии находятся в разных соотношениях при неврите и застойном диске.
Дифференцировать также необходимо от псевдоневрита.
- Врожденная аномалия зрительного нерва.
- Чаще в глазах с гиперметропической рефракцией.
- В большинстве случаев двусторонний.
- Ткань диска гиперемирована, серо-розовая, границы стушеваны, по краю диска радиарная исчерченность, часто сочетается с аномалиями сосудов сетчатки, может быть проминенция в стекловидное тело.
- Характерная особенность – хорошее состояние функций глаза и отсутствие изменений офтальмоскопической картины в динамике.

Ретробульбарный неврит
Ретробульбарный неврит характеризуется локализацией воспалительного процесса на участке зрительного нерва между глазным яблоком и хиазмой, не распространяясь на ДЗН. На глазном дне изменения выявляются не всегда.
Ретробульбарные невриты можно подразделить на три клинические формы:
- Воспаление только оболочек зрительного нерва – периневрит, который развивается вторично, по продолжению.
- Воспаление периферических волокон ствола нерва – интерстициальный неврит, при котором воспалительный процесс начинается обычно в мягкой мозговой оболочке зрительного нерва и по соединительнотканным перегородкам (септам) переходит на периферические слои нервных волокон. 3.
- Воспаление папилломакулярного пучка зрительного нерва — аксиальный неврит.
Этиология
- Демиелинизирующие заболевания нервной системы: рассеянный склероз, острый рассеянный энцефаломиелит.
- Нейроинфекции: менингит различной этиологии, менингоэнцефалит, герпетическая инфекция.
- Воспалительные процессы глаза и орбиты.
- Воспалительные процессы придаточных пазух носа.
- Заболевания зубов (оральный сепсис).
- Общие инфекционные процессы: грипп, ангина, сыпной тиф, сифилис, туберкулез и другие.
- Некоторые обменные, эндокринные (сахарный диабет, тиреотоксикоз) процессы, патология беременности, хронические интоксикации свинцом, табаком, алкоголем, хинином, авитаминозы и голодание вызывают изменения зрительного нерва, сходные с ретробульбарным невритом, но в основе этих процессов лежит не воспаление, а дистрофия нервных волокон.
Общие данные о клинике ретробульбарного неврита
Картина глазного дна при ретробульбарном неврите может быть разнообразной. Она определяется главным образом двумя факторами: локализацией процесса в зрительном нерве и интенсивностью воспалительных изменений. Когда воспалительный процесс расположен далеко за глазом, никаких изменений ДЗН не наблюдается.
При локализации очага воспаления поблизости от глазного яблока, в особенности при выраженности процесса, могут наблюдаться при знаки воспалительных изменений диска зрительного нерва, но чаще эти изменения слабо выражены.
Со стороны диска – небольшая гиперемия, границы его не совсем отчетливы, вены немного расширены. Иногда изменения становятся более выраженными и напоминают неврит зрительного нерва. При очень большой интенсивности воспалительного процесса коллатеральный отек, развивающийся в окружности очага, распространяется на ДЗН. Диск отечен, увеличен в диаметре, проминирует в стекловидное тело, границы его стушеваны, вены расширены и извиты. Такая картина напоминает застойный диск зрительного нерва.
Таким образом, при ретробульбарном неврите офтальмоскопическая картина может соответствовать как нормальному глазному дну, так и невриту, и застойному диску зрительного нерва.
При длительно существующем воспалительном процессе и большой его интенсивности наступает частичная гибель нервных волокон в области очага воспаления. Из этого очага нисходящая атрофия распространяется до ДЗН, в результате на глазном дне видна типичная картина простой атрофии зрительного нерва. Так как при ретробульбарном неврите преимущественно поражается папилломакулярный пучок, то эта простая атрофия чаще всего выражается побледнением височной части диска. Иногда развивается простая атрофия с побледнением всего ДЗН.
В тех случаях, когда на высоте развития ретробульбарного неврита отмечаются воспалительные изменения в диске зрительного нерва, появляющаяся впоследствии атрофия носит вторичный характер.
При быстро преходящих и не резко выраженных ретробульбарных невритах после выздоровления глазное дно может остаться без патологических изменений.
Ретробульбарный неврит чаще развивается на одном глазу. Иногда через некоторое время после выздоровления заболевает второй глаз. В более редких случаях ретробульбарный неврит является двусторонним поражением.
По течению заболевания различают
- Острый ретробульбарный неврит. Резкое (в течение нескольких дней или даже часов) и значительное падение остроты зрения в начале заболевания (вплоть до светоощущения). Боли за глазом, усиливающиеся при движениях глазным яблоком. Экзофтальм. Наступившая первоначально слепота или резкое снижение зрения обычно держится несколько дней, после чего зрение начинает восстанавливаться. Иногда период временного снижения зрения держится более длительное время. Лишь в очень редких случаях восстановления зрения не наступает.
В поле зрения выявляется центральная скотома. В начале заболевания центральная скотома имеет очень большие размеры, является абсолютной на все цвета, включая белый.
В дальнейшем, по мере восстановления зрения, меняется и скотома: уменьшается в своих размерах, начиная с периферии; становится относительной сперва на белый цвет, оставаясь абсолютной на цветные объекты; далее превращается в относительную скотому и исчезает. В некоторых случаях остается небольшая центральная относительная скотома на цвета и некоторое сужение границ поля зрения. Центральная скотома может подвергаться обратному развитию, начиная из центра. При этом промежуточным этапом является образование кольцевидной парацентральной скотомы.
Острый ретробульбарный неврит иногда сопровождается изменениями в макулярной области: мелкие очажки, отек, неравномерная пигментация. - Хронический ретробульбарный неврит. Острота зрения падает медленно, в течение одной или нескольких недель. Последующее восстановление тоже идет медленно и часто не полностью. Прогноз хуже, чем при острой форме, так как чаще остается более значительное снижение остроты зрения и стойкие изменения полей зрения (сужения и скотомы). На глазное дно постепенно спускается нисходящая атрофия, изменяя диск зрительного нерва по типу первичной атрофии.
Ретробульбарные невриты всегда выявляются расстройствами цветового зрения (в самых ранних стадиях – понижением порога цветовосприятия), снижением темновой адаптации, неодинаковым в разных участках сетчатки.
Дифференциальная диагностика
- Понижение остроты зрения и центральная скотома с одной стороны может встречаться при сдавлении интракраниальной части зрительного нерва опухолью, локализованной в задних отделах передней черепной ямки или в передних отделах средней черепной ямки (опухоли ольфакторной ямки или основания лобной доли). При этом снижение остроты зрения происходит постепенно. Снижение или потеря обоняния на стороне поражения.
- Двусторонние центральные скотомы с понижением остроты зрения могут быть вызваны заболеванием папилломакулярного пучка в области хиазмы. При этом в поле зрения наблюдаются битемпоральные дефекты (скотомы, гемианопсии).
- Дифференциальный диагноз с невритом зрительного нерва: центральная скотома и резкое понижение остроты зрения при слабо выраженных изменениях со стороны ДЗН скорее говорят за ретробульбарный неврит.
Ретробульбарный неврит при рассеянном склерозе
Рассеянный склероз – хроническое, демиелинизирующее заболевание, развивающееся вследствие воздействия внешнего патологического фактора (наиболее вероятно инфекционного) на генетически предрасположенный организм. При этом заболевании наблюдается многоочаговое поражение белого вещества ЦНС. Это самая частая причина ретробульбарного неврита (около половины случаев). Развивается у лиц молодого возраста, чаще протекает остро. Ретробульбарный неврит может служить самым ранним симптомом рассеянного склероза.
- Излюбленная локализация бляшек при рассеянном склерозе: передний отдел орбитальной части (от решетчатой пластинки до входа центральных сосудов) и интракраниальная часть зрительного нерва.
- Характерной особенностью рассеянного склероза являются изменения миелиновых влагалищ нервных волокон. В свежих бляшках видны лишь начальные стадии распада миелина; в старых – нервные волокна лежат совершенно обнаженные в склерозированной ткани.
- Для рассеянного склероза характерна сохранность осевых цилиндров, несмотря на полное разрушение миелиновых оболочек. Этим объясняется не выраженность восходящей или нисходящей атрофии. В области бляшки происходит образование округлых или веретенообразных утолщений и расщепление нервных волокон на фибриллы. Часть фибрилл подвергаются дегенерации, остальные обеспечивают непрерывность нервного волокна. В области бляшек также присутствует пролиферация глии, соединительной ткани, увеличение количества сосудов (стенки их утолщены, склерозированы).
- Клинически наблюдается иногда отек верхнего века.
- Боли при движении глазным яблоком и экзофтальм держаться несколько дней. О
- строта зрения в начале заболевания падает очень резко до светоощущения (реже до сотых).
- Часто бывает инверсия поля зрения на синий цвет.
- Если и имеются изменения ДЗН (гиперемия, отек), то они слабо выражены.
- Затем острота зрения повышается постепенно или скачкообразно. Вместе с повышением остроты зрения исчезает и центральная скотома. От начала снижения остроты зрения до максимального ее восстановления (длительность атаки) проходит обычно 1-3 месяца.
- После атаки на глазном дне развивается первичная атрофия зрительного нерва, чаще в виде побледнения височной половины диска. Редко после атаки глазное дно остается без изменений.
Характерными особенностями ретробульбарного неврита при рассеянном склерозе являются:
- Совпадение начала побледнения диска с началом восстановления зрительных функций.
- Ремитирующее течение с рецидивами.
- Склонность к самопроизвольному излечению.
- Расхождение между картиной глазного дна и состоянием зрительных функций после атаки (высокая острота зрения и нормальное поле зрения при выраженной атрофии диска на глазном дне).
- Может сопровождаться нистагмом, парезом верхней прямой мышцы глаза, парадоксальной реакцией зрачков на свет, приступами ритмичных сужений и расширений зрачка, продолжающихся несколько секунд (гиппус).
Лечение
Лечение экстренное в условиях стационара, направленное против основного заболевания, вызвавшего неврит.
Первый этап лечения – это незамедлительное оказание помощи до выяснения этиологии процесса. Больному проводят общую противовоспалительную, десенсибилизирующую, дегидратационную, дезинтоксикационную и рефлекторную терапию.
- В случаях неясной этиологии применяют антибиотики широкого спектра действия.
- Обязательно применение витаминов (группа В, никотиновая кислота, аскорбиновая кислота).
- Дегидратационная терапия (25% сульфат магния, диакарб, глицерол, фуросемид и др.).
- Дезинтоксикационная терапия (гемодез, р-р аскорбиновой кислоты на гипертонической глюкозе, натрия тиосульфат, уротропин).
- Десенсибилизация (антигистаминные препараты, хлорид кальция, глюконат кальция).
- Противовоспалительная терапия (глюкокортикостероиды, НПВП).
- При остром начале процесса, сопровождающемся резким нарушением зрительных функций и наличием центральной скотомы показано парентеральное применение АБ и кортикостероидов.
- При остром моносимптомном неврите зрительного нерва применение метилпреднизолона или адренокортикотропного гормона может ускорять процесс восстановления остроты зрения; прием преднизона такого влияния не оказывает. Однако доказательства отдаленной эффективности подобного лечения отсутствуют.
- Гравитационные методы лечения.
Второй этап – проведение этиологического лечения. На первом этапе больному проводят общую противовоспалительную, десенсибилизирующую, дегидратационную, дезинтоксикационную и рефлекторную терапию.
Патогенетическое лечение при рассеянном склерозе направлено подавление воспаления и иммуносупрессию.
- Используются глюкокортикостероиды (метилпреднизолон) и препараты АКТГ (синактен-депо), азатиоприн, циклоспорин А, циклофосфан.
- Ангиопротекторы и антиагреганты.
- Антиоксиданты (эмоксипин, токоферол). Антиоксиданты (эмоксипин, токоферол).
- Ингибиторы протеолитических ферментов.
- Дегидратационная терапия.
- Плазмаферез.
- Интерфероны.
- Индукция толерантности путем приема пептидных аналогов миелина (копаксон).
- Гиперборическая оксигенация.
- Иммуномодуляторы (при наличии вторичного иммунодефицита в подострой стадии выхода из обострения с преимущественно хелперным действием (Т-активин, Тималин).
Вопрос-ответ
Как проявляется неврит зрительного нерва?
Неврит зрительного нерва (оптический неврит) ‒ воспаление зрительного нерва, сопровождающееся потерей зрения, нарушением цветовосприятия и появлением скотом (слепых пятен). При отдельных формах заболевания возможна боль в пораженном глазу.
Сколько восстанавливается зрение после неврита?
Чаще всего симптомы ухудшения зрения исчезают через 7-10 дней. Через 2-3 недели (иногда – до 5 недель) зрение восстанавливается. Без лечения либо при тяжелом течении неврита возможна атрофия зрительного нерва с полной потерей зрения.
Советы
СОВЕТ №1
Обратитесь к врачу при первых симптомах. Если вы заметили ухудшение зрения, появление пятен или затуманивание, не откладывайте визит к офтальмологу. Раннее обращение за медицинской помощью может значительно улучшить прогноз лечения.
СОВЕТ №2
Следите за общим состоянием здоровья. Неврит зрительного нерва может быть связан с различными заболеваниями, такими как рассеянный склероз или инфекционные болезни. Поддерживайте иммунную систему, правильно питайтесь и занимайтесь физической активностью.
СОВЕТ №3
Изучите методы реабилитации. После лечения неврита зрительного нерва может потребоваться реабилитация для восстановления зрения. Обсудите с врачом возможные методы, такие как специальные упражнения для глаз или использование вспомогательных средств.
СОВЕТ №4
Поддерживайте эмоциональное здоровье. Проблемы со зрением могут вызывать стресс и тревогу. Рассмотрите возможность обращения к психологу или участия в группах поддержки, чтобы справиться с эмоциональными последствиями заболевания.