
Как нозологическая форма заболевание впервые описано французским невропатологом Шарко в 1886 г. Рассеянный склероз может поражать как головной, так и спинной мозг. Этиология его недостаточно выяснена. Возникновению заболевания способствуют вирусная инфекция, генетическая предрасположенность. У большинства больных рассеянный склероз развивается в возрасте от 16 до 40 лет, однако возможно и более раннее начало заболевания (10 лет).
У 5 % больных рассеянный склероз может развиваться уже в детском возрасте, причем у них в 30 % случаев заболевание начиналось как оптический неврит. Характерным проявлением рассеянного склероза у детей является поражение ствола головного мозга и зрительного нерва.
Патогенез и патоморфология рассеянного склероза

При электронной микроскопии в ранние сроки заболевания выявляются признаки деструкции миелина. Определяется нарушение периодичности липопротеиновых комплексов миелиновых оболочек, в них появляются щели и вакуоли. В олигодендроглиоцитах определяется распад эндоплазматической сети. В астроцитах появляются тонкие волокнистые структуры, которые располагаются среди неизмененных органелл клетки.
Это ведет к нарушению проведения нервного импульса вплоть до его блока. Увеличивается латентный период, снижается скорость проведения импульса, возрастает рефрактерный период, что вызывает нарушение проведения повторных раздражений.
На месте погибших нервных волокон развивается глиофиброз. Образуются так называемые бляшки, которые оказываются рассеянными по всей зоне головного и спинного мозга. Бляшки локализуются как в сером, так и в белом веществе, но в основном они поражают белое вещество головного и спинного мозга.
Бляшки рассеянного склероза — это очаги сочетания демиелинизации нервных волокон с реактивными изменениями других глиальных элементов поражения. Происходит пролиферация волокнистых астроцитов и микроглии. Бляшки часто имеют овальную, округлую или, реже, неправильную форму.
Микроскопические исследования показывают, что начальные явления формирования бляшки заключаются в незначительных структурных повреждениях миелина, гибели олигодендроглиоцитов и начинающейся пролиферации астроцитов. Затем наступает прогрессирующий распад миелиновых оболочек, усиливается пролиферация астроцитов и микроглии. В очаге поражения обнаруживаются воспалительная клеточная инфильтрация, макрофаги. На этой стадии осевые цилиндры нервных волокон сохранены. Затем, через несколько недель, формируется типичная бляшка. В ней выявляются гипертрофированные волокнистые астроциты, микроглиоциты, осевые цилиндры. При этом олигодендроциты исчезают.
Старая бляшка без признаков активности включает в себя осевые цилиндры, кровеносные сосуды и значительное количество глиальных волокон. Если заболевание длится уже долго, то в осевых цилиндрах появляются признаки дистрофии, деструкции и в последующем возникает типичная валлеровская дегенерация нервных волокон.
Врачи отмечают, что офтальмологические проявления рассеянного склероза могут значительно варьироваться у разных пациентов. Наиболее распространенными симптомами являются неврит зрительного нерва, двойное зрение и нарушения цветового восприятия. Неврит, как правило, проявляется резким ухудшением зрения, что может быть временным или постоянным. Врачи подчеркивают важность ранней диагностики этих симптомов, так как они могут служить одним из первых признаков заболевания. Кроме того, офтальмологические проявления могут оказывать серьезное влияние на качество жизни пациентов, вызывая не только физический дискомфорт, но и эмоциональные трудности. Специалисты рекомендуют регулярные осмотры у офтальмолога для мониторинга состояния зрения и своевременного выявления возможных осложнений.

Нарушение зрительных функций
Аксоны ганглиозных клеток сетчатки имеют значительную протяженность и оканчиваются синаптическими контактами с ганглиозными клетками наружного коленчатого тела. Длина аксона ганглиозной клетки сетчатки около 75 мм. Аксоны последовательно проходят в трех анатомических структурах: зрительном нерве, хиазме и зрительном тракте. При воспалительном процессе в пучках аксонов или нахождении бляшки рассеянного склероза в зоне прохождения этих аксонов вокруг аксона возникает воспалительный отек и нарушается целостность его миелиновой оболочки. Это приводит к нарушению прохождения нервного импульса (потенциала) по аксону, в результате чего нарушаются зрительные функции.
Для рассеянного склероза характерно интермиттирующее течение болезни — сочетание периодов обострения воспалительного процесса со стадиями ослабления воспаления (ремиссией). Быстрое снижение зрения при рассеянном склерозе в период обострения можно объяснить тем, что нарушение зрительных функций связано с преходящим отеком, нарушением миелинового покрытия аксона, а также угнетением функции окружающих аксон олигодендроцитов и астроцитов. Последующее улучшение зрительных функций связано со сравнительно быстрым рассасыванием отека и улучшением функциональных особенностей олигодендроцитов по выработке миелиновых композиций для восполнения образовавшихся дефектов миелинового покрытия аксона. Такое течение заболевания является характерным дифференциально-диагностическим признаком рассеянного склероза.
Молекулярный субстрат для ремиссий появляется за счет восстановления демиелинизированной оболочки аксона между перехватами Ранвье, которая приобретает большую плотность натриевых каналов. В связи с этим аксон продолжает проводить потенциал, несмотря на малое количество миелина в зоне поражения.
Применяя конфокальную микроскопию и реконструируя трехмерное компьютерное изображение, В. D. Тгарр и соавт. показали наличие повреждающих субстанций, воздействующих на аксоны и их миелиновую оболочку в мозгу больных рассеянным склерозом. При использовании антител к нефосфорилированным нервным волокнам (маркеры для участков нервной ткани с недостатком миелина) в стадии активного процесса при рассеянном склерозе было обнаружено обилие воспалительных клеток.
Для сохранения аксона и модуляции нейротрансмиттеров имеют значение ионные каналы и ионные обменники. Нарушение этого процесса лежит в основе повреждений аксона. Целостность и функция аксона после его повреждения могут быть сохранены посредством применения нейропротекторов, которые блокируют или модулируют ионные потоки.
В зоне поражения аксонов также определяются воспалительный отек, дегенерация и деструкция клеток нейроглии. В воспалительном инфильтрате определяются различные клеточные элементы: лимфоциты, нейтрофилы, макрофаги. В последующем эти клетки входят в состав бляшек рассеянного склероза. При непрогрессирующей форме рассеянного склероза характерно вялое течение воспалительного процесса в очаге поражения. В связи с этим, при неблагоприятном течении рассеянного склероза, выражающемся в длительном снижении зрительных функций, можно выделить 4 последовательные стадий разрушения аксонов, а именно: стадия дистрофии, стадия деструкции, стадия дегенерации на участке демиелинизации аксона. Последняя стадия — атрофия аксона, полностью прерывающая проведение нервного импульса от ганглиозной клетки сетчатки.
По всей длине аксона ганглиозной клетки сетчатки, на любом участке от решетчатой пластинки склеры до наружного коленчатого тела, нарушение трофики и целости миелиновой оболочки является началом патологического процесса в аксоне. В последующем этот процесс с миелиновой оболочки переходит на нервное волокно, что и приводит к нарушению зрительных функций.
В наружном коленчатом теле аксоны ганглиозных клеток сетчатки через синаптические связи передают нервный импульс (потенциал) ганглиозным клеткам наружного коленчатого тела. Аксоны ганглиозных клеток наружного коленчатого тела также имеют значительную длину, доходя до корковых структур затылочных отделов головного мозга. Они образуют зрительную лучистость Грациоле и оканчиваются синаптическими связями в корковых структурах зрительных областей головного мозга. При поражении рассеянным склерозом отдельных зон этого участка зрительного пути также возникают нарушение проведения нервного импульса и нарушение зрительных функций. При нахождении очага поражения в зрительном нерве снижаются зрительные функции только больного глаза. При поражении зрительного пути в хиазме, зрительном тракте, коленчатом теле и зрительной лучистости Грациоле страдают зрительные функции обоих глаз.
Классификация и клиническая картина рассеянного склероза
Классификация рассеянного склероза строится по топическому признаку и основывается на клинических данных. Выделяют три основные формы рассеянного склероза: церебральный, спинальный и цереброспинальный (Шмидт Е. В., 1980). Как правило, болезнь начинается среди полного здоровья, но нередко после гриппа, ангины и других лихорадочных заболеваний, которые провоцируют и ускоряют выявление этого заболевания. При выраженной клинической картине рассеянного склероза наиболее частые симптомы — парезы и параличи. Для мозжечковых расстройств характерны атаксия (что легко выявляется при пальценосовой и пяточноколенной пробах), шаткая с широко расставленными ногами походка. Сухожильные и периостальные рефлексы повышены.
Триада Шарко (нистагм, скандированная речь, интенционное дрожание) и пентада Марбурга (к триаде прибавляется отсутствие брюшных рефлексов и побледнение височных половин зрительных нервов) встречаются не всегда, но все же достаточно часто. Больные отмечают чувство онемения, жжения, опоясывания и другие парестезии. Нередко нарушаются функции тазовых органов. Кровь у больных остается нормальной. Различной степени изменения цереброспинальной жидкости выявляются почти у 90 % больных рассеянным склерозом. В клинической картине наиболее характерна многоочаговость процесса с поражением чувствительных, двигательных и мозжечковых систем.
Из черепных нервов чаще всего страдают II пара (зрительный нерв), VI пара (отводящий нерв) и VII пара (лицевой нерв). Нередко первыми признаками рассеянного склероза бывают нарушение зрения в виде его резкого снижения, появление скотом в поле зрения с быстрым последующим улучшением зрительных функций (иногда через сутки).
Офтальмологические проявления рассеянного склероза часто становятся первыми симптомами заболевания, и многие пациенты отмечают их значительное влияние на качество жизни. Люди сообщают о различных зрительных нарушениях, таких как двоение в глазах, затуманивание и потеря остроты зрения. Часто встречается неврит зрительного нерва, который вызывает резкую боль и временную слепоту. Эти симптомы могут возникать внезапно и вызывать панику, так как они затрагивают важную функцию восприятия окружающего мира. Многие пациенты делятся своим опытом обращения к офтальмологам, подчеркивая важность ранней диагностики и комплексного подхода к лечению. Обсуждая свои переживания, они отмечают, что поддержка со стороны врачей и близких играет ключевую роль в адаптации к новым условиям жизни.

Поражение отделов зрительного пути
Для рассеянного склероза характерна многоочаговость поражения центральной нервной системы. В большинстве случаев ошибочной диагностики этого заболевания обследуемые больные имели лишь один-единственный очаг поражения в головном или спинном мозге.
В клинической картине рассеянного склероза особого внимания заслуживает симптоматика, напоминающая ретробульбарный неврит, что длительное время может быть единственным проявлением заболевания.
Клинические наблюдения и данные статистики свидетельствуют о том, что оптический неврит часто является первым и единственным проявлением рассеянного склероза, он возникает у 25-45 % больных. Клинические наблюдения за больными, перенесшими односторонний оптический неврит, выявили через 15 лет развитие достоверно подтвержденного рассеянного склероза у 60 % наблюдаемых больных.
В настоящее время установлено, что в основе данного заболевания находится ряд иммунопатологических реакций. Это приводит к разрушению миелиновой оболочки нервных волокон зрительного нерва в острой стадии процесса. В случаях хронического течения заболевания происходит формирование очагов склероза нервной ткани (появление так называемых бляшек). Эти процессы происходят в головном и спинном мозге, а также в зрительном нерве.
Частота первичного поражения зрительного нерва и своеобразие его клинических проявлений дают основание выделять глазной вариант церебральной формы рассеянного склероза. Главной особенностью оптического неврита при рассеянном склерозе является разрушение миелиновой оболочки нервных волокон зрительного нерва.
Функции миелиновых оболочек нервных волокон многообразны. Они передают нервные импульсы, обладают опорными, барьерными, трофическими функциями, а также участвуют в иммунологических реакциях. В состав миелина входят гликопротеиды, фосфолипиды, стероиды. Появление клинических симптомов болезни и соответствующих признаков свидетельствует о повреждении миелиновых оболочек и в последующем — нервных волокон, что выражается в нарушении проведения нервного импульса. Зрительные нервы являются особенно тропными к демие-линизирующим процессам. При рассеянном склерозе иногда наблюдается истончение зрительных нервов.
Глазной вариант церебральной формы рассеянного склероза
Поражение диска зрительного нерва (папиллит) при рассеянном склерозе не может иметь место, так как этому поражению подвергаются только нервные волокна, уже окутанные миелиновой оболочкой. Известно, что в норме миелиновой оболочкой начинают покрываться нервные волокна только в ретроламиллярном отделе зрительного нерва. Поэтому все уровни поражений зрительных нервов рассеянным склерозом следует трактовать как поражения за пределами глазного яблока — ретробульбарные невриты.
Проявление на диске зрительного нерва в виде частичной деколорации его височной половины является результатом простой нисходящей атрофии волокон папилломакулярного пучка зрительного нерва, следствием ретробульбарного неврита.
При рассеянном склерозе довольно часто поражаются черепные нервы, однако чаще всего и, как правило, в первую очередь поражаются зрительные нервы. Ранняя диагностика рассеянного склероза нередко представляет значительные трудности в связи с бедностью и иногда отсутствием неврологической симптоматики. Ретробульбарный неврит при этом служит одним из ранних симптомов рассеянного склероза. Быстро возникающий и проходящий односторонний ретробульбарный неврит, проявляющийся на одной, иногда и на другой стороне, является одним из первых признаков рассеянного склероза. Он бывает не только самым частым, но и самым ранним симптомом, предшествуя нередко задолго неврологическим проявлениям этого заболевания.
Определить по клинической картине причину возникновения и развития ретробульбарных невритов практически невозможно. Однако некоторые виды ретробульбарных невритов имеют свои особенности в клинической картине заболевания (туберкулезные, сифилитические, лепрозные и др.).
Свои особенности проявления и течения имеет и ретробульбарный неврит при рассеянном склерозе:
- внезапное резкое снижение остроты зрения и быстрое его восстановление в течение краткого периода времени;
- наиболее часто отмечается появление центральных и парацентральных скотом, а также центральных скотом в сочетании с некоторым ограничением границ периферического поля зрения
- выпадения в поле зрения нестойки в динамике, они могут претерпевать значительные изменения;
- в нарушения цветового зрения носят преходящий характер с преимущественным снижением хроматической чувствительности на все цвета;
- отмечается преимущественное поражение зрительного нерва одного глаза;
- несоответствие между характером зрительных функций и состоянием офтальмоскопической картины диска зрительного нерва;
- изменение глазного дна и диска зрительного нерва не носит каких-либо особенностей, характерных только для рассеянного склероза;
- характерно ремиттирующее течение ретробульбарного неврита, сопровождающееся периодами обострений от одного до нескольких с периодами улучшений;
- при проявляющемся признаке нисходящей атрофии зрительного нерва чаще вначале отмечается побледнение его височной половины (поражение папилломакулярного пучка);
- диагностическое значение в начальной стадии ретробульбарного неврита при рассеянном склерозе имеют изменения электрофизиологических показателей органа зрения. Отмечаются снижение амплитуды ЗВП и удлинение времени проведения нервного импульса по зрительному пути, а также повышение порога электрической чувствительности и снижение лабильности зрительного нерва.
При рассеянном склерозе может наблюдаться патологическая реакция зрачков на свет, выражающаяся в том, что в пораженном глазу содружественная реакция зрачка на свет выражена сильнее, чем прямая. Могут наблюдаться также приступы ритмичных сужений и расширений зрачка, продолжающиеся несколько секунд (гиппус).
Лечение
Значительную роль при лечении ретробульбарного неврита при рассеянном склерозе играют глюкокортикоиды. Предпочтение отдается метилпреднизолону (метипред, урбазон, медрол). Они особенно показаны в острой стадии и в период обострения болезни.
Метилпреднизолон вводят внутривенно капельным способом взрослым по 20-40 мг и более ежедневно в течение 3-7 дней. Затем переходят на прием метилпреднизолона внутрь, начиная с 16-32 мг в сутки в течение 7 дней с постепенным снижением дозы на 4 мг каждые 4 сут в течение месяца с последующей отменой препарата. При остром развитии процесса ретробульбарно вводится 0,4 % дексаметазона по 1 мл один раз в день. Лечение проводят 7-10 дней подряд. Очень эффективно применение ретробульбарно 1 мл дипроспана один раз в 5-7 дней, два введения в течение 2 нед.
Применяется дицинон ретробульбарно по 0,5 мл в течение 5 дней, затем вводится внутримышечно или внутрь в таблетках. Лечение дециноном продолжается 15-20 дней. Назначаются препараты антиоксидантного профиля — эмоксипин, эссенциале, витамин Е.
Показано дегидратационное лечение — этакриновая кислота, лазикс, диакарб. Применяют внутрь нестероидные противовоспалительные препараты — индометацин, метиндол. Для улучшения микроциркуляции в зоне воспаления применяют даларгин внутримышечно по 1 мг ежедневно в течение 30 дней. После стихания острых воспалительных явлений в зрительном нерве показано применение церебролизина, ноотропила, энцефабола, кавинтона, компламина, стугерона. В дальнейшем показано применение модифицирующих (превентивных) средств, таких как бетаферон. Лечение проводится офтальмологом совместно с невропатологом.

Поражение хиазмы
При рассеянном склерозе в хиазме отмечаются патоморфологические изменения, аналогичные изменениям, происходящим в зрительном нерве. В зависимости от локализации бляшки в хиазме наступают соответствующие нарушения зрения. Однако изменения диска зрительного нерва, определяемые офтальмоскопически, развиваются неодновременно с появлением зрительных расстройств, так как на распространение нисходящего атрофического процесса от хиазмы до глазного дна требуется от нескольких недель до нескольких месяцев.
Поэтому в клинике иногда встречаются больные, у которых при изменении поля зрения и снижении остроты зрения глазное дно в начале заболевания остается нормальным. С развитием патологического процесса в дальнейшем начинает определяться побледнение височной половины диска зрительного нерва. Одновременно возможно развитие общих нарушений нервной системы. Медленно и постепенно побледнение диска с височной стороны распространяется на весь диск. Застойные диски у больных с рассеянным склерозом при поражениях хиазмы почти не встречаются.
Поражение глазодвигательного аппарата
Для рассеянного склероза характерным является синдром межъядерной офтальмоплегии. Этот синдром связан с очагами демиелинизации в системе заднего продольного пучка. При поражении ствола мозга чаще всего наблюдаются глазодвигательные нарушения: расстройство координированных движений глазных яблок, появление вертикального или горизонтального косоглазия, недоведение глаз кнаружи и кнутри. Появление спонтанного нистагма является одним из основных признаков рассеянного склероза; при этом нистагм, как правило, бывает двусторонним. По своему характеру нистагм является клоническим, иногда с нарушением ритма. Маятникообразный спонтанный нистагм при рассеянном склерозе скорее всего не проявление вестибулярной патологии, а следствие нарушения тонуса наружных мышц глазного яблока и поражения мозжечково-рубральных систем.
У больных рассеянным склерозом выявляются нарушения оптокинетического нистагма, отмечаются нарушения ритма и извращения его плоскости вплоть до полного выпадения. Чаще нистагм нарушается в вертикальной плоскости, что подтверждает представление о раздельных путях возникновения вестибулярного и оптокинетического нистагма (горизонтального и вертикального) при сохранении калорического нистагма. Ранним симптомом рассеянного склероза может быть позиционный нистагм центрального типа, связанный с развитием очагов демиелинизации.
При поражении ствола мозга чаще всего наблюдаются глазодвигательные нарушения:
- расстройства координированных движений глазных яблок,
- появление вертикального или горизонтального косоглазия,
- недоведение глаз кнаружи и кнутри
- нистагм различного характера (горизонтальный, вертикальный, односторонний, асимметричный с наличием ротационного компонента)
- иногда отмечаются нарушения зрачковых реакций — вялость зрачковой реакции, расширение зрачка на свет при его прямом длительном освещении (парадоксальная реакция).
- гиппус
Наряду с поражением зрительного нерва часто поражаются и другие черепные нервы: глазодвигательный, отводящий, тройничный и лицевой. К глазным симптомам, встречающимся при рассеянном склерозе, относятся симптомы ретробульбарного поражения зрительного нерва, поражение глазодвигательного аппарата, нистагм, зрачковые расстройства. Характер изменения поля зрения и другие симптомы находятся в прямой зависимости от локализации склеротической бляшки в структурах мозга, в частности в структурах зрительного пути.
Диагностика рассеянного склероза

Согласно данным Международного совета экспертов по рассеянному склерозу, не существует тестов, позволяющих на основании результатов исследования крови поставить диагноз рассеянного склероза.
Поэтому диагностика основывается в основном на выявлении двух клинических особенностей заболевания — волнообразном течении болезненного процесса (чередование обострений и ремиссий) и на многоочаговости поражения белого вещества центральной нервной системы.
Лабораторными исследованиями при рассеянном склерозе у 90 % больных можно выявить характерные изменения спинномозговой жидкости.
При рассеянном склерозе в цереброспинальной жидкости более чем у 50 % пациентов определяется повышенное содержание клеток крови — лимфоцитов и моноцитов. В спинномозговой жидкости обнаруживаются лимфоцитарный плеоцитоз, повышение уровня гамма-глобулина, олигоклональные антитела. Изменяется белковый состав цереброспинальной жидкости. В ней определяется увеличение содержания гамма-глобулинов, что имеет место у 85 % больных. Нередко определяется корреляция между повышением содержания гамма-глобулинов в цереброспинальной жидкости и характерной для рассеянного склероза реакцией Ланге. В диагностике заболевания применяют также специальные иммунологические исследования спинномозговой жидкости. В ней изменяется соотношение Т-лимфоцитов и В-лим-фоцитов. Число Т-лимфоцитов снижается, а число В-лимфоцитов остается без изменения.
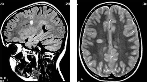
При рассеянном склерозе широкое применение нашли методы компьютерной томографии и магнитно-ядерной томографии (МРТ). При компьютерной томографии изображение получают только в аксиальной плоскости, при этом из-за лучевой нагрузки приходится ограничивать объем и частоту проводимых исследований. При MPT-исследовании имеется возможность проведения широкой вариабельности плоскостей изображения и одномоментное получение трехмерного изображения различных очагов поражения. Отсутствие лучевой нагрузки дает возможность многократного проведения исследования.
Информативность метода магнитно-резонансной томографии (МРТ) уже в начале развития рассеянного склероза достигает 80-90 %. При помощи этого метода удается выявить в веществе головного мозга даже самые маленькие участки патологически измененной ткани в объеме всего 2-3 мм3.
Метод контрастного усиления повышает диагностические возможности МРТ. Введение в вену непосредственно перед процедурой МРТ специальных контрастирующих препаратов гадолиния дает возможность определить как свежие бляшки, так и активность старых бляшек. В этих случаях в местах нахождения бляшек контрастное вещество просачивается через сосудистые стенки и дает резкое усиление сигнала. Повторные MPT-исследования позволяют проследить за динамикой патологического процесса.
С помощью МРТ установлено, что при рассеянном склерозе нарушается функция гематоэнцефалического барьера, в острой стадии заболевания вокруг патологического очага появляется зона отека. Отек постепенно уменьшается и даже исчезает по мере улучшения в течении болезни, особенно это заметно на фоне лечения кортикостероидами. Методом МРТ нередко определяется выраженное истончение зрительных нервов, уменьшение их поперечных размеров.
Исследование орбитального отдела зрительного нерва при рассеянном склерозе нередко показывает усиление сигнала МРТ. У части больных при этом обнаруживается усиление сигнала от клинически здорового второго глаза и расширение субарахноидального пространства его дистального отдела зрительного нерва. Почти у 70 % больных с оптическим невритом на почве рассеянного склероза обнаруживаются ретрохиазмальные поражения различной степени выраженности в наружных коленчатых телах, зонах зрительной лучистости Грациоле и около зрительных корковых центров затылочных долей мозга.
В ряде случаев клиническая ремиссия при рассеянном склерозе не означает ремиссию заболевания. Поэтому для того, чтобы оценить достоверную истинную активность болезни, следует не менее одного раза в год осуществлять МРТ-исследование головного мозга. Ежегодные исследования позволяют выявлять новые очаги заболевания и определять активность (или неактивность) старых очагов поражения. Поэтому весьма желательно проводить данные исследования на одних и тех же аппаратах, что дает возможность получить идентичные срезы для сравнения.
В диагностике глазного варианта церебральной формы рассеянного склероза важную роль играет современный высокоточный метод определения толщины слоя нервных волокон сетчатки на глазном дне. Это проводится с помощью двух современных методов: оптической когерентной томографии и сканирующей лазерной поляриметрии.
Для своевременной диагностики поражения зрительного пути при рассеянном склерозе и при атипичном его течении имеют большое значение функциональные методы исследования: статическая периметрия, хронопериметрия, цветовая кампиметрия, визоконтрастометрия, запись зрительных вызванных потенциалов, исследование электрической чувствительности и лабильности зрительного нерва.
Изменения пространственной контрастной чувствительности (ПКЧ) на ахроматический и хроматический стимулы при остром оптическом неврите выявляются в 100 % случаев. Их снижение связано с патологией как зрительного нерва, так и центральных отделов зрительного анализатора.
У больных PC в стадии ремиссии после острого оптического неврита снижение ахроматической и хроматической ПКЧ в диапазоне средних и высоких ПЧ отмечается на фоне высокой остроты зрения, при этом нарушения ПКЧ предшествуют изменениям в полях зрения. У больных с острым оптическим невритом при низкой остроте зрения больного глаза стереозрение обычно резко нарушено или отсутствует.
У больных PC в стадии ремиссии после оптического неврита отмечается наличие скотом в поле зрения, снижение показателей пространственной контрастной чувствительности на все цвета и на всех частотах. В области низких пространственных частот отмечается увеличение порогов стереоскопического зрения в 3-6 раз, а в области высоких пространственных частот стереозрение отсутствует.
Исследование зрительных вызванных потенциалов является ценным диагностическим тестом при обследовании больных рассеянным склерозом. Изменение ЗВП является характерным признаком нарушения проведения импульсов по волокнам зрительного пути, в том числе при их демиелинизирующем поражении на любом участке, от зрительного нерва до зрительной коры. Верификация поражения зрительного пути особенно важна при отсутствии у пациента изменений глазного дна и признаков демиелинизации белого вещества мозга при магнитно-резонансной томографии.
При оптическом неврите характерным, но неспецифичным изменением является увеличение латентного периода основного позитивного компонента С100 ЗВП на реверсивный шахматный паттерн. Чувствительность исследования ЗВП повышается в том случае, когда контрастность стимулирующего паттерна уменьшают, а также при учете межокулярного различия латентности компонента С100 в случае одностороннего поражения, вместо констатации только абсолютного увеличения латентности этого компонента. В остром периоде оптического неврита, при значительной потере зрения, ЗВП могут не регистрироваться или латентность С100 ЗВП на реверсивный паттерн может превышать нормальные показатели на 30-35 %. При оптическом неврите на фоне рассеянного склероза увеличение латентности более выражено, чем при идиопатическом неврите. Кроме увеличения латентности также возможно уменьшение амплитуды компонента С100 и изменение его конфигурации, которая может приобретать W-образную форму. Все указанные изменения ЗВП отражают дисфункцию волокон аксиального пучка зрительного нерва. Причиной увеличения латентности компонентов ЗВП при оптическом неврите является снижение скорости проведения импульсов по волокнам зрительного нерва вследствие их демиелинизации. Уменьшение амплитуды ЗВП связывают с блокадой проведения импульсов, вероятно вследствие повреждения осевых цилиндров аксонов.
В остром периоде оптического неврита увеличение латентности Р100 для пораженного глаза, по данным разных авторов, наблюдалось у 77-100 % больных с оптическим невритом и часто сохранялось даже после нормализации остроты зрения. У небольшой части пациентов (5-10 % случаев) с клинической картиной оптического неврита ЗВП остаются нормальными. Вероятно, в этих случаях значительная часть волокон аксиального пучка зрительного нерва (около 50 %) остаются неповрежденными.
Ретрохиазмальные очаги демиелинизации при рассеянном склерозе, выявляемые с помощью магнитно-резонансной и компьютерной томографии, чаще локализуются в заднем отделе зрительной лучистости, реже в зрительном тракте и латеральном коленчатом теле, иногда встречаются в области внутренней капсулы.
При обострении оптического неврита на фоне рассеянного склероза отмечается увеличение латентности и уменьшение амплитуды Р100. При картировании вызванная активность мозга заметно снижена — в теменно-затылочной области регистрируются низкоамплитудные позитивные или изоэлектрические зоны. Отмечены не характерные для контрольной группы позитивные зоны в височных, теменных или лобных областях. Вероятно, появление зон электрической активности в областях мозга, не участвующих в генерации компонента Р100 в норме, может объясняться реакцией неспецифических нейронов в области очагов демиелинизации.
Диагностика и дифференциальная диагностика при рассеянном склерозе имеют свои основные особенности, которые необходимо учитывать:
- наличие характерных симптомов, подтверждающих наличие рассеянного склероза на основании детального и комплексного неврологического и нейро-офтальмологического обследования больных;
- выявление типичных изменений на МРТ головного мозга в виде не одиночного, а множественных очагов поражения мозговой ткани;
- наличие в составе цереброспинальной жидкости изменений, характерных для рассеянного склероза.
Дифференциальный диагноз при рассеянном склерозе проводят со следующими заболеваниями:
- метаболические нарушения,
- аутоиммунные болезни,
- инфекционные заболевания центральной нервной системы,
- сосудистые заболевания центральной нервной системы,
- генетически обусловленные синдромы,
- психические болезни,
- опухоли центральной нервной системы.
При рассеянном склерозе нередко наблюдается выраженное побледнение диска зрительного нерва в сочетании с хорошими зрительными функциями. Гибелью миелиновых влагалищ можно объяснить интенсивное побледнение диска, а сохранностью осевых цилиндров — хорошее зрение.
При глазном варианте рассеянного склероза выявляются побледнение височных половин дисков зрительных нервов, нередко появляется афферентный зрачковый рефлекс (на стороне пораженного зрительного нерва происходит патологическая реакция зрачка на прямое освещение глаза). Отмечается одностороннее понижение зрения, появление относительных скотом в поле зрения с возможным последующим восстановлением зрения. Возникают симптомы межъядерной офтальмоплегии.
При расположении бляшек в различных участках зрительного пути отмечаются разнообразные варианты появления скотом в поле зрения и понижение остроты зрения. При расположении бляшек ниже коленчатого тела с течением времени всегда проявляется атрофия зрительного нерва, при расположении бляшек выше коленчатого тела зрительный нерв всегда остается нормальным. При ретробуль-барном неврите зрительного нерва сроки появления побледнения височной половины диска зрительного нерва зависят от уровня его поражения. Чем дальше от диска находится поражение, тем медленнее определяется его побледнение, и наоборот.
Атрофия зрительных нервов при рассеянном склерозе является первичной нисходящей атрофией. При этом очаги демиелинизирующего поражения могут находиться на любом уровне зрительного нерва — от его ретроламеллярной зоны до наружного коленчатого тела.
Лечение больных рассеянным склерозом
|
Тип рассеянного склероза |
Лекарственные препаратыи терапевтические дозы |
|
|
Ремиттирующее течение с рецидивами |
|
|
|
Вторичное прогрессирующее течение |
|
|
|
Острая стадия рассеянного склероза (без ретробульбарного неврита) |
Метилпреднизолон (метипред) в виде внутривенных вливаний по 500-1000 мг в день на 1 400-500 мл физиологического раствора или 1 раствора декстрозы в течение 3-7 дней (в зависимости от тяжести обострения). После этого 1 проводят поддерживающий курс лечения преднизолоном внутрь по 10-20 мг через день и снижая дозу по 5 мг |
|
|
Острая стадия ретробульбарного неврита при рассеянном склерозе |
Парабульбарные инъекции 0,4% раствора дексазона по 1 мл ежедневно в течение 7-10 дней 1 или дипроспана по 0,5-1 мл один раз в 5-7 дней. Два введения в течение 2 нед. Метилпреднизолон (метипред) по 20-40 мг и более ежедневно, в/в капельным способом в течение 3-7 дней. После этого поддерживающий курс лечения метилпредом внутрь, 1 начиная с 16-32 мг в сутки с постепенным уменьшением дозы на 4 мг каждые 4 сут до отмены препарата |
|
Лечение больных рассеянным склерозом представляет сложную задачу и проводится невропатологами. Современные методы лечения рассеянного склероза включают несколько направлений. Однако ни одно из них само по себе не может быть достаточно эффективным. Необходимо комплексное лечение.
- К препаратам, замедляющим течение болезни, относятся бета-интерфероны: бетаферон, ребиф, авонекс.
- Применяют также глатирамера ацетат (копаксон).
- Используют цитостатик азатиоприн.
- При разных формах рассеянного склероза применяют циклофосфамид, кладрибин метотрексат, митоксантрон.
- Назначают иммунодепрессанты, большие дозы кортикостероидов (преднизолон, метилпреднизолон, дексаметазон и др.), анаболические стероиды (неробол, ретаболил), препараты калия, кальция, аскорбиновую кислоту, верошпирон.
- Используют иммуномодулятор левамизол, тактивин, тимактид, витамины группы В, биостимуляторы, десенсибилизирующие средства — димедрол, пипольфен, супрастин, тавегил и др.
- Широко применяют средства, воздействующие на метаболизм в нервной ткани: кокарбоксилазу, АТФ, глутаминовую кислоту, метионин, трасилол, церебролизин, бета-интерферон, глатимер, реаферон.
У больных с ремиттирующим и вторично-прогрессирующим рассеянным склерозом положительные результаты отмечены при применении препарата бетаферон. Препарат удлиняет сроки ремиссий и замедляет прогрессирование заболевания.
Выбор лекарственных средств зависит от стадии процесса и глубины поражения нервной системы. При обострении заболевания показаны гормональные препараты, иммуностимуляторы, витамины группы В, биостимуляторы, симптоматические средства. В случаях прогрессирующего течения заболевания 2-3 раза в год проводят общеукрепляющее лечение, иммуностимуляцию; применение при этом гормональных препаратов малоэффективно. Неэффективным оказалось, по мнению Международного комитета экспертов в области рассеянного склероза, применение плазмафереза.
Лечение больных с симптомами ретробульбарного неврита на фоне рассеянного склероза проводит офтальмолог совместно с невропатологом по принципу, применяемому при терапии нисходящих оптических невритов с учетом динамики процесса и состояния зрительных функций.
Прогноз при рассеянном склерозе ухудшается при:
- частых обострениях болезни;
- быстро нарастающей симптоматике в зоне поражения, неврологическом дефекте;
- переходе в фазу прогрессирования болезни.
Однако в каждом конкретном случае заболевания предсказать его течение и прогноз довольно трудно.
Вопрос-ответ
Что видит офтальмолог при рассеянном склерозе?
Оптический неврит. По оценкам специалистов, у 55% людей с рассеянным склерозом диагностируют неврит глазного нерва. Это воспалительное поражение зрительного нерва, который отвечает за передачу визуального изображения в мозговой центр и обеспечивает зрительную функцию.
Какие симптомы нарушения зрения характерны для пациентов с рассеянным склерозом?
При рассеянном склерозе наблюдается комплекс зрительных симптомов, включающих ухудшение остроты зрения (от незначительного до светоощущения, быстрое его снижение – в течение нескольких часов или в течение 1-2 дней), боль при движениях глаз (особенно при взгляде вверх), связанная с раздражением оболочек.
Советы
СОВЕТ №1
Регулярно проходите обследования у офтальмолога. Офтальмологические проявления рассеянного склероза могут быть ранними признаками заболевания, поэтому важно следить за состоянием зрения и вовремя выявлять возможные изменения.
СОВЕТ №2
Обратите внимание на симптомы, такие как размытость зрения, двоение или потеря зрения. Если вы заметили что-то необычное, не откладывайте визит к врачу, так как ранняя диагностика может существенно повлиять на качество жизни.
СОВЕТ №3
Участвуйте в программах реабилитации и терапии, направленных на улучшение зрения. Существуют специальные упражнения и методы, которые могут помочь справиться с офтальмологическими проявлениями рассеянного склероза и улучшить общее состояние.
СОВЕТ №4
Поддерживайте здоровый образ жизни, включая сбалансированное питание и физическую активность. Это может помочь укрепить иммунную систему и замедлить прогрессирование рассеянного склероза, что, в свою очередь, может снизить риск офтальмологических проблем.